memo ¿´ÅÅ¿Þ
¸µ¤ËÌá¤ë¡¥
GE #71, GE #260
ÆÍÁ³»à¤Î2013ǯ°äÅÁ»Ò²òÀÏ
Utah ECG outline>
100 ECGs in the Fast Lane
ECG library A-Z
index.php
Google
³Ø²ñȽÄê´ð½à
minesota2005.pdf
ÆüËÜ¿´Åſ޳زñÍѸ콸
final.pdf
Luna Basicd ECG
code1.pdf
ECG.pdf
Channel.pdf
II < 0 ¤Ê¤é -30¡ë°Ê²¼
III <0 ¤Ê¤é 30¡ë°Ê²¼
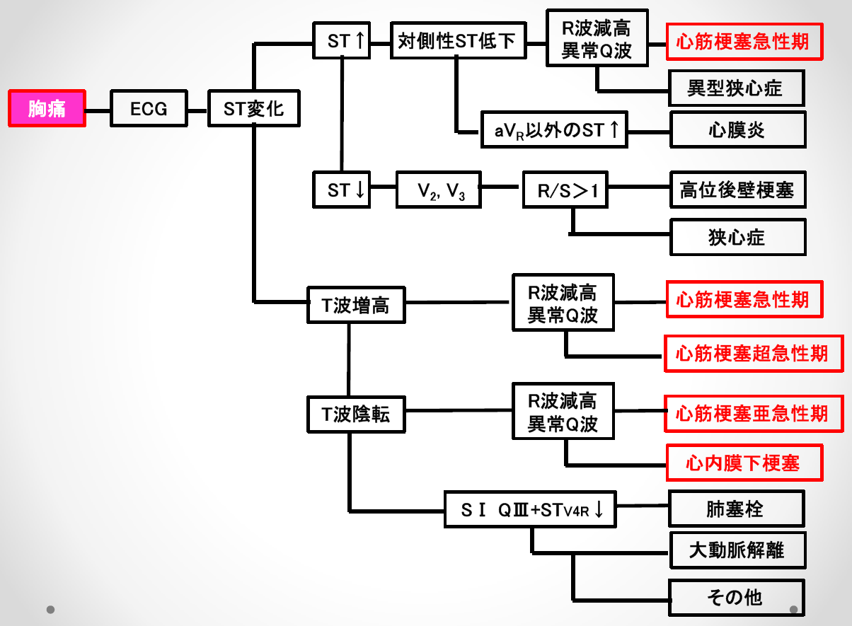
¡ù ÏÀʸÂê̾¡§ÂÎɽ¿´Åſޤο·¤·¤¤²ò¼á
2019ǯ 7·î 10Æü ¿åÍËÆü 08:26:05 JST
¡ù ¿´¶Ú¹¼ºÉ¤Ç¤Î°Û¾ïQÇȤÎȯÀ¸Íýͳ¤¬¤ï¤«¤é¤Ê¤¤¡¥
2019ǯ 5·î 24Æü ¶âÍËÆü 08:12:33 JST
¡ù R¶Ë¤ÈF¶Ë¤ÎÅŰ̺¹¤ÇECG¤¬ºîÀ®¤Ç¤¤ë¤Î¤Ê¤é¡¤IͶƳ¤è¤êRÇȤÎÅṲ̋ò
°ú¤»»¤¹¤ì¤ÐL¶Ë¤ÎÅṲ̋¬»»½Ð½ÐÍè¤ë¤Ï¤º¤Ç¤¢¤ë¡¥¤½¤ì¤ÏR¶Ë¤ÈF¶Ë¤Î
°ìÄê¤Îº®¹çÈæÎ¨¤Çɽ¸½¤Ç¤¤ë¤À¤í¤¦¡¥
¡ù ¸åÊɹ¼ºÉ¤¬È¯À¸¤¹¤ë¤È¡¤V1¤äV2¤ÎRÇȤ¬Áý¹â¡¤STÄã²¼¡¢¾å¸þ¤¤ÎÂоΤÊTÇȤˤʤ롥
12 Lead ECG p. 472.
ECG 15-28
ECG 15-29
¸åÊɹ¼ºÉ¤Î¥ß¥é¡¼¥¤¥á¡¼¥¸¤ÇSTÄã²¼¡¤¾å¸þ¤TÇȤÏfinal p.52¤Ç²òÀ⤵¤ì¤Æ¤¤¤ë¡¥
¤·¤«¤·¡¤V1-2¤ÎRÇȤÏÀâÌÀ¤¬¤Ç¤¤Ê¤¤¡¥
2019ǯ 5·î 23Æü ÌÚÍËÆü 08:12:33 JST
¡ù ¹âÄã¥Þ¥°¥Í¥·¥¦¥à·ì¾É
¡ù ¹âÄ㥫¥ë¥·¥¦¥à·ì¾É
¡ù ¿´³°Ëì±ê¤Ç¤ÎPRÄã²¼
¡ù Ä㥫¥ê¥¦¥à·ì¾É¤Ç¤ÎUÇȤÈIKr¥Á¥ã¥Í¥ë
¡ù ¥¸¥®¥¿¥ê¥¹¤Ë¤è¤ë³èưÅŰÌ2Áê¤ÎÄã²¼¤ÈIK(Ca)¤È¤Î´Ø·¸
¡ù UÇȤΥᥫ¥Ë¥º¥à¤ÎʬÀÏ
2019ǯ 9·î 23Æü ·îÍËÆü 23:28:33 JST
°Û¾ïQÇȤÎȯÀ¸¥á¥«¥Ë¥º¥à¤ò½ñ¤Ä¾¤¹¤³¤È¡¥
¿´ÆâËì²¼¹¼ºÉ¤ÏGE #293¤òÎã¤Ë¤¢¤²¤ë»ö¡¥
final pp.63¤ò½ñ¤Ä¾¤¹¤³¤È¡¥°Û¾ïQÇȤˤĤ¤¤ÆÈîÂçÀ¿´¶Ú¾É¤òÎã¤Ë¤·¤Æ¤â¤è¤¤¡¥
¥Ò¥Èξ¿´¼¼¶Úæʬ¶Ë¤Î»þ´Ö·Ð²á: fainal.pdf¤Îp.25
Block¤Ç¤ÎTÇȤÎÊѲ½ p. 409
º¸¼¼ÈîÂç¡§R V5 or V6 + S V1 >35mm; R in aVL >11mm
QT 0.3¡Á0.45 QTC 0.34¡Á0.425
111 µÏ¿ÉÔÎÉ
112 ÅŶˤΤĤ±°ã¤¤
121 È¿»þ·×²óž (V1¤ÇRs¡¤V6¤Çhigh R)transition¤¬v3°Ê²¼
122 »þ·×²óž (V1¤Çhigh R¡¤ V6¤Çhigh S) transition¤¬v4°Ê¾å
131 ÄãÅŰÌ(»Í»èͶƳ)
141 QT±äĹ c 142 QTû½Ì c
151 ±¦¶»¿´
161 ¹â¤¤TÇÈ
171 ST¾å¾º
172 STÄã²¼
174 ÅÁƳÃÙ±ä (±¦¼¼¤òÉÕ¤±¤ë)
201 ÉÔÄê¼´
202 ·ÚÅ٤ʺ¸¼´ÊÐ°Ì 203 ±¦¼´ÊÐ°Ì 90¡ë°Ê¾å
204 ¹âÅ٤ʱ¦¼´ÊÐ°Ì 205 º¸¼´ÊÑ°Ì -30¡ë°Ê²¼
206 S1S2S3
300 ±¦¼¼¹âÅÅ°Ì V1 rÇÈ>5mm¤ÇR/s >1 c
301 º¸¼¼¹âÅÅ°Ì c STÊѲ½¤Î¾ì¹ç d
303 ·ÚÅ٤ʱ¦¼¼ÈîÂç¡¥
304 º¸¼¼ÈîÂç¤Îµ¿¤¤
306 ±¦¼¼ÈîÂç¤Îµ¿¤¤ (S1Q3)
307 º¸Ë¼Éé²Ù b 308 ±¦Ë¼Éé²Ù b
315 º¸¼¼ÈîÂç
401 P-Rû½Ì 410 P-R±äĹ
402 WPW¾É¸õ·²
411 IÅÙ˼¼¼¥Ö¥í¥Ã¥¯ c
412 IIÅÙ˼¼¼¥Ö¥í¥Ã¥¯(Wenckebach) d
500 ¥Ú¡¼¥¹¥á¡¼¥«¡¼°Üư
501 ÉÔ´°Á´±¦µÓ¥Ö¥í¥Ã¥¯ b
502 ¿´¼¼Æâ¥Ö¥í¥Ã¥¯
503 ÉÔ´°Á´º¸µÓ¥Ö¥í¥Ã¥¯ b V1,V2¤Î¿¼¤¤rSÇÈ¡¤I, aVL, V5, V6¤ÇqÇȤ¬¤Ê¤¤¡¥QRS¤Ï0.12ÉÃ°ÊÆâ
504 ´°Á´±¦µÓ¥Ö¥í¥Ã¥¯ c
505 ´°Á´º¸µÓ¥Ö¥í¥Ã¥¯ d
511 º¸µÓÁ°»Þ¥Ö¥í¥Ã¥¯ <-30¡ëavL¤ÇRÇÈ¡¤III¤ÇSÇÈ¡¥c
512 º¸µÓ¸å»Þ¥Ö¥í¥Ã¥¯ >90¡ë aVL¤ÇQÇÈ¡¤I¤ÇSÇÈ¡¥c
521 ξµÓ¥Ö¥í¥Ã¥¯ d
611 Ê¿ÄãT c
621 ±¢ÀT (5mm°Ê²¼ c¡¨¤½¤ì°Ê¾å d)
622 ±¢ÀU
623 ÆóÁêÀU
624 ÈóÆÃ°ÛŪTÇȰ۾ï c
632 ·ÚÅÙST¡¼T°Û¾ï
633 ST¡¼T°Û¾ï
701 RÇȤÎÁý¹âÉÔÎÉ
712 ¿´¶Úµõ·ìµ¿¤¤
721 ¿´ÆâËì²¼¹¼ºÉ
731 Á°Êɹ¼ºÉ¤Îµ¿¤¤
732 ¦Êɹ¼ºÉ¤Îµ¿¤¤
733 ²¼Êɹ¼ºÉ¤Îµ¿¤¤
734 Á°ÊÉÃæ³Ö¹¼ºÉ¤Îµ¿¤¤
735 ¹â°Ì¸åÊɹ¼ºÉorÈ¿»þ·×²óžµ¿¤¤
742 ¦Êɹ¼ºÉ¤Î²ÄǽÀ
743 ²¼Êɹ¼ºÉ¤Î²ÄǽÀ
744 Á°ÊÉÃæ³Ö¹¼ºÉ¤Î²ÄǽÀ
745 ¹â°Ì¸åÊɹ¼ºÉ¤Î²ÄǽÀ
752 ¦Êɹ¼ºÉ
753 ²¼Êɹ¼ºÉ
754 Á°ÊÉÃæ³Ö¹¼ºÉ
774 ÄĵìÀÁ°ÊÉÃæ³Ö¹¼ºÉ
801 ´§¾õÀÅ̮ƶĴΧ
802 º¸Ë¼Ä´Î§¤Îµ¿¤¤
803 °Û½êÀ¾å¼¼ÀĴΧ
811 ƶÀ½ùÌ® 45-49 A, 40-44 C
812 ƶÀÉÑÌ® 101 > D2
813 ÉÑÌ® 101 > D2
814 ½ùÌ® 45-49 A, 40-44 C
821 ƶÀÉÔÀ°Ì®
841 ¾å¼¼À´ü³°¼ý½Ì
842 ¿´¼¼À´ü³°¼ý½Ì
843 ¾å¼¼À»°ÃÊÌ®
844 ¿´¼¼À»°ÃÊÌ®
845 ¾å¼¼´ü³°¼ý½Ì(º¢È¯)
846 ¿´¼¼´ü³°¼ý½Ì(º¢È¯)
847 ¾å¼¼ÀÆóÃÊÌ®
848 ¿´¼¼ÀÆóÃÊÌ®
871 ¿´Ë¼ºÙư d
872 ¿´Ë¼ÁÆÆ° d
881 ³ÎÄê¤Ç¤¤Ê¤¤ÉÔÀ°Ì®
883 ÇÙÀP
998 ¥Ö¥ë¥¬¥À·¿ (9-2-3, 9-2-4)
¿´Ë¼¿ÇÃÇ final p.79
IMG_20170912_0005.pdf
Brugada final p.70
? Brugada¤Î¶»ÉôͶƳ¤ËSÇȤϸºß¤¹¤ë¤«¡©
Åú¤¨¡§Â¸ºß¤·¤Æ¤â¤è¤¤¡£
GE¤Î°Û¾ïQÇÈ
#185, #183, #189, #190(WPW)
12-Lead ECG
aberrant intraventricular conduction ¿´¼¼ÆâÊѹÔÅÁƳ
ACS Acute coronary syndrome
AT Atrial Tachycardia
AVNRT ˼¼¼·ëÀá¥ê¥¨¥ó¥È¥ê¡¼ÀÉÑÇï
BER Benign Early Repolarisation (ÎÉÀÁá´üºÆÊ¬¶Ë)
CABG coronary artery bypass grafting ´§Æ°Ì®¥Ð¥¤¥Ñ¥¹½Ñ
CAD coronary artery disease
DCM dilated cardiomyopathy (³ÈÄ¥·¿¿´¶Ú¾É)
DPW Æó½ÅÅÁƳϩ(Æó½Å˼¼¼·ëÀáÅÁƳϩ)
FPW Fast Pathway ®ÅÁƳϩ
HCM hypertrophic cardiomyopathy (³ÈÄ¥·¿¿´¶Ú¾É)
IACD intraatorial conduction delay, »Í»èͶƳ¤ÎPÇȤ¬Àµ¾ï¤Ç¶»ÉôͶƳ¤Ç
RAE¡¤LAE¤Î¾õÂÖ¤ò¤¤¤¦¡¥
ID intrinsicoid deflection final p.82
12 Lead ¤Ç¤Ï´ðÀþ¤«¤éRÇȤÎĺÅÀ¤Þ¤Ç¤Î»þ´Ö(VAT)¤ò¼¨¤¹¡¥¤Þ¤¿¡¤
ĺÅÀ¤«¤é´ðÀþ¤Þ¤Ç¤Î»þ´Ö¤Ïlate intrinsicodd deflection¤È¤¤¤¦¡¥
ecg 11-10, GE #298.
ID¤¬È¯À¸¤¹¤ëÍýͳ¤Ï¿´³°Ë즿´¶Ú¤Îæʬ¶Ë»þ´Ö¤ÎÃÙ±ä¤Î¤¿¤á¡¥
VAT¤ÎÃÙ±ä¤Ï¿´ÆâË즿´¶Ú¤Îæʬ¶Ë»þ´Ö¤ÎÃÙ±ä¤Î¤¿¤á¡¥
idioventricalr rhythm ¿´¼¼¸ÇÍĴΧ
accelated idioventricalr rhythm Â¥¿ÊÀ¿´¼¼ÈøÍĴΧ
IRBBB incomplete right bundle brach block¡¤V1¤ÇRSR'¡¤qR'¡¥qR¤È¤Ï½ñ¤«¤Ê¤¤¡¥
R:S ratio¤Ïɬ¤ºÂ礤¯¤Ê¤ë¡¥
intrinsicoid deflection
RÇȤÎΩ¾å¤ê¤«¤éĺÅÀ¤Þ¤Ç¤Î»þ´Ö¤ò¼¨¤¹¡¥VAT¤ÈƱ¤¸¡¥p.45, final p.82.
late intrinsicoid deflection¤ÏĺÅÀ¤«¤é´ðÀþ¤ËÌá¤ë¤Þ¤Ç¤Î»þ´Ö¡¥
irregularly irregular ÀäÂÐŪÉÔÀ°Ì®
wandering atrial pacemaker, multifocal atrial tachycardia,
atrial fibrillation.
IVCD intraventricular conduction delay, 94, 141,198, 289-292, 504-509,
522, 621, 626, 657, QRS¤Ç¥®¥¶¥®¥¶¤Ë¤Ê¤ë¡¥
236, 14-8 ¹âK·ì¾É¤ÇQRSÉý¤¬0.12Éðʾå¤Ë±ä¤Ó¤ë¡¥
isoelectric R/SÈæ¤¬1¤ò°ÕÌ£¤¹¤ë¡¥
IWMI inferior wall myocardial infarction p.354
CHF congestive heart failure
ESRD end stage renal disease
IWMI inferior wall miocardial infaruction
ECG 13-31 (p.308 S1Q3¤Ç¤¢¤ë¤¬¡¤IIIͶƳ¤ÇJÅÀ¾å¾º¡¤
aVL¤ÇJÅÀÄã²¼(¥ß¥é¡¼¥¤¥á¡¼¥¸)¡¥
LAA Left Atrial Abnormality.
LAD Left axis deviation¡¤º¸¼´Êа̡¤(²¼Êɹ¼ºÉ¤Ç¤ÏII,III,aVF¤ËQS¤È¤Ê¤ë¤«¤é¡¤
ÅöÁ³LAD¤Ç¤¢¤ë¡¥LAFB¤È¤Ï¿ÇÃǤ·¤Ê¤¤¡¥
LAE Left atrial enlargement
º¸Ë¼ÈîÂç¤ÏV1¤Ç2ÁêÀ¤Ç¹â¤µ¡ßÉý¤¬0.3mmsec°Ê¾å¡¥
LAFB Left anterior fascicular block¡¤º¸µÓÁ°»Þ¥Ö¥í¥Ã¥¯¡¥
LAH LAH¤Ë¤ÏrÇȤ¬Â¸ºß¤¹¤ë¡¥¤Ê¤±¤ì¤Ð²¼Êɹ¼ºÉ¡¥V6¤ËSÇȤ¬Â¸ºß¤¹¤ë¡¥p.296
Left anterior hemiblock4
LBB º¸µÓ¥Ö¥í¥Ã¥¯¤Ë¤ÏV1¤ÇrÇȤ¬Â¸ºß¤¹¤ë¡¥Ìµ¤±¤ì¤ÐÁ°ÊÉÃæ³Ö¹¼ºÉ¤òȼ¤¦¡¥
left main stem º¸¼ç´´Éô Á°²¼¹Ô»Þ¤È²óÀû»Þ¤¬Ê¬´ô¤¹¤ëÁ°¤Î·ì´É¡¥
LPFB left posterior fascicular block
Àè¤Ëº¸¼¼Á°Êɤ¬¶½Ê³¤¹¤ë¤¿¤á¾®¤µ¤Êº¸¾å¸þ¤¤Î¶½Ê³¤¬¤¢¤ê¡¤¤½¤Î¸å±¦²¼¤Ë
Â礤¯¶½Ê³¤¹¤ë¡¥¤·¤¿¤¬¤Ã¤Æ¡¤II, III, aVF¤ÎTÇȤϵÕž(flip)¤¹¤ë¡¥
axis 90¡ë°Ê¾å¡¤I¡¤aVLͶƳ¤ÇrSÇÈ¡¤III¡¤aVFͶƳ¤ÇqRÇÈ¡¥
V1ͶƳ¤ËrÇȤ¬¤Ê¤¤¤³¤È¤â¤¢¤ë(p.303)¡¥
RAE±¦Ë¼³ÈÂç¤ÈRVH±¦¼¼ÈîÂç¤ò½ü³°¤¹¤ë¤³¤È¡¥
ºÇ¤â°ìÈÌŪ¤Ê±¦¼´ÊѰ̤ϱ¦¼¼ÈîÂç¤Ç¤¢¤ë¡¥
º¸¼¼Â¦Êɹ¼ºÉ¤â±¦¼´ÊѰ̤ˤʤ롥
¸å»Þ¤ÏÉý¤¬¹¤¯Ê¬ÉÛ¤·¡¤¥Ö¥í¥Ã¥¯¤Ïµ©(200¡Á3000Îã¤Ë1ÅÙ¡¤p.301)¡¥
LPH left posterior hemiblock (LPFB¤ÈƱ¤¸)¡¥
MAT Multifocal atrial tachycardia
NSTEMI non-ST-segment elevation myocardial infarction
NSSTWC non spacificd ST wave change
P-mitrale ÁÎ˼ÀP¡¤I,IIͶƳ¤Ç0.12sec(3mm)°Ê¾å¤ÎPÇȤÇMÍͤΥΥåÁ¤òȼ¤¦¡¥
Æó¤Ä¤Î¤³¤Ö(hump)¤ÎĺÅÀ¤Î´Ö³Ö¤Ï0.04sec(1mm)¤¬É¬Íס¥
P-pulmonale ÇÙÀP¡¤IIͶƳ¤Ç2.5mm°Ê¾å¤Î¹â¤µ¡¥
PRP poor R wave progression, »þ·×²óž¤Ç¤â¤½¤Î¤è¤¦¤Ë¿ÇÃǤ¹¤ë¡¥GE #298.
PRP¤ÏV3-6¤ÎR/SÈæ¤ÎÁý²Ã¤¬¾¯¤Ê¤¤¤³¤È°ÕÌ£¤¹¤ë¡¥Axis <-30¤Ê¤é¾å¸þ¤
¥Ù¥¯¥È¥ë¤À¤«¤éV3-5¤ÎRÇȤÏÁý²Ã¤·¤Ê¤¤¡¥LAFB¤ÏPRP¤Ë¤Ê¤ë¡¥
PSVT ȯºîÀ¾å¼¼ÉÑÇAVNRT¤¬ºÇ¤â¿¤¤¡¥final p.125
RAA right atrial abnormality
RAD right axis deviation
RAE right atrial enlargement
RFCA ¹â¼þÇÈ¥«¥Æ¡¼¥Æ¥ë¥¢¥Ö¥ì¡¼¥·¥ç¥ó
RVH right ventricular hypertorophy
LVH¤òȼ¤¦RVH¤ÏV1¤ÇRÇȤòȼ¤ï¤Ê¤¤(P. 362, ECG 14-25)¡¥
S1Q3T3 right ventricular strain pattern (p.85, 302, 359)
¤³¤Î¥Ñ¥¿¡¼¥ó¤ÏLPH¤ÈPE¤ÈƱ¤¸¤Ç¸½ÉÂÎò¤Ç¤É¤Á¤é¤«È½ÃǤ¹¤ë¡¥
RVH¤Ç¤âƱ¤¸¥Ñ¥¿¡¼¥ó¤Ë¤Ê¤ë(P.305, ECG13-30)¡¥
septal Q aVL¤ÎQÇÈ¡¤septal Q¤¬¤¢¤ë¤ÈLBBB¤¬ÈÝÄê¤Ç¤¤ë¡¥GE #243
Ãæ³Ö¤Ç¤Îº¸µÓ¤«¤é±¦µÓ¤Ë¸þ¤«¤¦rÇȤÏaVL¤ÇqÇȤ˸«¤¨¤ë¡¥
LBBB¤Ç¤Ï¤½¤ÎqÇȤ¬Â¸ºß¤·¤Ê¤¤¤È¹Í¤¨¤ì¤Ð¾å¤Îʸ¾Ï¤È¹çÅÀ¤¬¤¤¤¯¡¥
⤷¡¤12 Lead¤Ç¤ÏV1¤ÎrÇȤ¬Â¸ºß¤·¤Æ¤âLBBB¤È¿ÇÃǤ·¤Æ¤¤¤ë¡¥
º¸µÓÉÔ´°Á´¥Ö¥í¥Ã¥¯(ILBBB)¤Ç¤ÏI, aVL¤ËqÇȤ¬Ìµ¤¯¡¤RÇȤÎÁý¹âÉÔÎÉ¡¥
SPW Slow Pathway ÃÙÅÁƳϩ
ST Sinus Tachycardia
STEMI ST-elevation myocardial infarction¡¤ST¾å¾º·¿¿´¶Ú¹¼ºÉ
strain T waves
RVH¤Ç¤Ï¥Ô¥ó¤ÈÄ¥¤Ã¤¿°ÕÌ£¤Ç¿åÊ¿¤ÊST¥»¥°¥á¥ó¥È¤ò¤¤¤¦¡¥
LVH¤Ç¤ÏV4¤«¤éV6¤Þ¤Ç¡¤RÇȤËÂФ·¤ÆST depression,
Concave Downward, Flipped Asynmetric T wave¡¥
V1¤«¤éV3¤Þ¤Ç¡¤SÇȤËÂФ·¤ÆConcave Upard,
ST Elevation Upright Asynmetric T wave (p. 363)¡¥
three-vessel 3»Þ(Á°²¼¹Ô»Þ¡¢²óÀû»Þ¡¢±¦´§Æ°Ì®)¤ò¼¨¤¹¡¥
Tp(Ta) PÇȤκÆÊ¬¶ËTÇÈ
UA Unstable angina
uncertain age ȯ¾ÉÉÔÌÀ¤Î
upward convex ¾å¤ËÆÌ¡¤(ST¥»¥°¥á¥ó¥È¤Ç¤Îɽµ)
concavity¤Ï±ú¤ò¼¨¤¹¡¥
Ä̾ï¤ÎST¥»¥°¥á¥ó¥È¤Ïupward concavity¤Ç¤¢¤ë¡¥
V1¤ÇRÇÈ
RVH¡¤RBBB¡¤¸åÊɹ¼ºÉ¡¤WPW type A, »Ò¶¡¤È¼ãǯ
¥¹¥È¥ì¥¤¥ó¤ò´Þ¤à¿´Åſޥµ¥Þ¥ê¡¼
VAT ventricular activation time final p.82.
¿´ÆâËì¦æʬ¶Ë»þ´Ö¤ò¼¨¤¹¡¥¿´ÈîÂç¤Ç¤³¤ÎVAT¤¬Ãٱ䤹¤ë¡¥ID¤âÃٱ䤹¤ë¡¥
VTach ventricular Tachycardia ¿´¼¼ÉÑÇï
¿´Ë¼Ä´Î§¤È¤Î²òÎ¥¤Ïdissociated atrial rate¤È¤¤¤¦¡¥p. 75
WAP wandering atrial pacemaker, ecg 9-8
Durrer.png
Junctional 40¡Á60 BPM
Accelerated Junctional 60¡Á80 BPM
Idioventricular 20¡Á40 BPM (¿´¼¼¸ÇÍĴΧ)
Accelerated Idioventricular 40¡Á100 BPM
Ventriculara Tachycardia 100¡Á200 BPM
AV dissociation ˼¼¼²òÎ¥ ¿´Ë¼¤È¿´¼¼Ä´Î§¤Ï3¡ë¤Î¥Ö¥í¥Ã¥¯¤Ç¤¢¤ë¤¬¿´Çï¿ô¤ÏƱ¤¸¡¥
BB p.55
Fig 6.2¤Çñ°ì¿´¶Ú¤Îæʬ¶Ë²áÄø¡¤6.3¤ÇºÆÊ¬¶Ë²áÄø¤ò¼¨¤¹¡¥
¿´¶Ú¤¬Ã¦Ê¬¶Ë²áÄø¤Ç¡Ü¥¹¥Ñ¥¤¥¯¤È¡Ý¥¹¥Ñ¥¤¥¯¤¬Æ±»þ¤ËµÏ¿¤µ¤ì¤Æ¤¤¤ë¡¥
Ʊ¤¸Êý¸þ¤Ëæʬ¶Ë¤ÈºÆÊ¬¶Ë¤¬¤·¤ç¤¦¤¸¤ë¤Ê¤éRÇȤÈTÇȤﶤì¤ÏµÕ¤Ë¤Ê¤ë¡¥
¤³¤ÎÀâÌÀ¤ÇFig 6.4¤Ë¿´Ë¼¤Îæʬ¶Ë¤ÈºÆÊ¬¶Ë¤òÀâÌÀ¤·¤Æ¤¤¤ë¡¥
½¾¤Ã¤ÆPÇȤÈTaÇȤﶤì¤ÏµÕ¤Ë¤Ê¤ë¡¥
¿´¼¼¤Ç¤ÏFig 6.11A¤Ëæʬ¶Ë¡¤6.11B¤ËµÕÊý¸þ¤ÎºÆÊ¬¶Ë¤ò¤·¤á¤·¤Æ¤¤¤ë¤«¤é
RÇȤÈTÇȤﶤì¤ÏƱ¤¸¤Ë¤Ê¤ë¡¥
¤³¤Î¾Ï¤Ç¤ÏTÇȤεÕž¤Ïµ½Ò¤µ¤ì¤Æ¤¤¤Ê¤¤¡¥
SAH, ǾÆâ½Ð·ì¤Ê¤É¤Ç¤Ï¿¼¤¤µÕžTÇȤ¬¸½¤ì¤ë¡¥¸¶°ø¤Ï¸ò´¶¿À·Ð¤ÎÉÔÁ´¤Ë¤è¤ë¡¥
Essentials of Learning ... p. 138.
±¦¸ò´¶¿À·Ð¤Ïº¸¼¼Á°Êɤò»ÙÇÛ¡¤º¸¸ò´¶¿À·Ð¤Ïº¸¼¼¸åÊɤò»ÙÇÛ¤¹¤ë¡¥Î¾Â¦¤Î
À±¾õ¿À·ÐÀá¤ò¾ÆµÑ¡¤¥Ö¥í¥Ã¥¯¤¹¤ë¤³¤È¤Ë¤è¤ê¿´ÅſޤËÊѲ½¤òÍ褹¡¥
nejmicm020416.pdf
19ºÍÃËÀ¡¤Îû´¤¥Ö¥í¥Ã¥¯¤Çº¸Â¦Æ¬Éô¤Î»½ý¡¤48»þ´Ö¸å¤Ë¶¯ÅÙ¤ËST¾å¾º¤È
STÄã²¼¤ò¸«¤¿¤¬¡¤·ì±Õ¸¡ºº¤Ç¤ÏÀµ¾ï¡¤¼¡¤ÎÆü¤Ë¤Ï°Û¾ï¤¬²þÁ±¤·¤¿¡¥
SAH¤Ë¤è¤ë¿´ÅÅ¿ÞÊѲ½ÁíÀâ
12471_2010_Article_49.pdf
9-1 biphasic P wave¡¤S1Q3T3¡¤º¸¼´Êа̡¤V1¤Ç¹âR¡¤LVH¤«IRBBB¤Î²ÄǽÀ¡¥
PFB¤Ï¤Ê¤¤¡¥
9-2 PAC¤ÎÎ㡤¿´¼¼¤Ïº¸µÓÁ°»Þ¥Ö¥í¥Ã¥¯¤ÎÍͤÀ¤¬¡¤TÇȤÏÉÔÌÀ¡¤¿ÇÃǤε½Ò¤Ê¤·¡¥
ÁÎ˼PÇÈ
9-5 P-mitrale, LVH, IVCD, RÇȤÎÁý¹â¤Ç¤Ï¤Ê¤¯¸º¿ê¤·¤Æ¤¤¤ë¡¥
9-6 P-mitrale, biatrial enlargememnt, LVH(aVL>11mm), LAH
9-7 P-mitrale, Long-QT
9-8 WAP¤ÇÉÑÇPÇȤËTÇȤ¬½ÅÀѤ¹¤ë¤ÈÈó¾ï¤Ë¹â¤¤PÇȤˤʤ롥
9-9 RAE¡¤ÄĵìÀÁ°ÊÉÃæ³Ö¹¼ºÉ¡¥
9-10 PAE, PAD, PJC, IRBBB¤Ç¤¢¤ë¡¥qR'¤ËRVH¤Ï¸ºß¤·¤Ê¤¤¡¥cf ECG 11-15¡¥
IACD V1¤Ç¤Î2ÁêÀPÇȤÏÁ´¤ÆIACD(intra atrial conduction delay)
9-11 IACD¤ÎRAE¤ÎÎ㡤LAD, LAH, ¶Ëü¤Ê»þ·×²óž¤ÇV6¤Ç¤âtransition¤¬¸«¤¨¤Ê¤¤¡¥
9-12 IACD¤ÎLAE¤ÎÎ㡤PJC¤¬¤ß¤¨¤ë¡¥¿´¼¼¶½Ê³¤Ïabberancy¡¥
9-13 IACD¤ÎLAE¤ÎÎ㡤II, III, aVF¤ËQÇÈ¡¥ÂоÎÀTÇÈȿž¡¥
II,III,aVF¤Ï¤ÏÂоÎÀȿžTÇÈ¡¤V1-6¤ÏÁ´¤ÆÈóÂоΥ¹¥È¥ì¥¤¥óTÇÈ¡¤
»Í»è¤Ï¿åÊ¿ST¡¤LVH¡¤º¸Ë¼Éé²Ù¡¤²¼Êɹ¼ºÉ
9-14 LAE¡¤IRBBB¤«ÄĵìÀÁ°ÊÉÃæ³Ö¹¼ºÉ¡¤RVH? ±¦¼´Êа̡¤II, III, aVF¤ÎTÇȵÕž¤Ï
RVH¤Ëɬ¿Ü¡¥cf 11-12.
V1¤Ï¶¯¤¤QRÇÈ·Á¡¤V2¤Ï¾®¤µ¤ÊrS¤ÇÄ̾ï¤ÎV1¤Î¤è¤¦¤Ë¸«¤¨¤ë¡¥V1-V4¤Ï±¢À
¥¹¥È¥ì¥¤¥óTÇÈ¡¥¶»Éô¤è¤¦¤¦¤Ç¤ÎÉý¤Î¶¹¤¤SÇȤϱ¦¼¼ÈîÂç¤ËÆÃħ¡¥
9-15 IACD¤ÎLAE¤ÎÎ㡤LAH¡¤STD
9-16 IACD¤ÎLAE¤ÎÎ㡤I, aVL°Ê³°¤ÎÁ´¤Æ¤ÎͶƳ¤ÇQS¥Ñ¥¿¡¼¥ó¡¥1¡ë¤ÎAV¥Ö¥í¥Ã¥¯¡¥
9-17 IACD¤ÎLAE¤ÎÎ㡤III, aVF¤ÎQÇȤÏÉý¤¬¶¹¤¯°Û¾ï¤Ç¤Ï¤Ê¤¤¡¥
I¡¤aVL¤ËÂ礤ʥΥåÁ¡¤IVCDefect¤«¡©º¸¼¼¹âÅṲ̋ÈI, V5-V6¤Î¥¹¥È¥ì¥¤¥óT¤Ç
º¸Ë¼Éé²Ù¡¤º¸¼¼ÈîÂç¡¥
9-18 RAE, LAE, »Í»èͶƳ¤ÇTÇȤ¬¤Ê¤¤¡¥
9-19 RAE, LAE, IVCD¤«RBBB¤Ë¸«¤¨¤ë¡¥
9-20 RAE, LAE, TaÇȤ¬¸«¤¨¤ë¡¥
9-21 RAE, LAE
TESTECG 15
10-1 pericarditis. PR²¼¸þ¡¥JÅÀ¾å¾º¡¤ST¤Ï¾å¤Ë±ú¡¤QRS¤Î½ª¤ï¤ê¤Ë¥Î¥Ã¥Á¡¥
¤³¤ÎECG¤Èbenign early reporalization¤È¤Î¶èÊÌ¤ÏÆñ¤·¤¤¡¥
10-2 LGL¾É¸õ·²¡¤¥¸¥§¡¼¥à¥¹(James)«¡¥final p.112.
V1¤ÎRÇȤ¬¹â¤¤Íýͳ¤Ï¤ï¤«¤é¤Ê¤¤¡¥AVN¤È¤Î¥ë¡¼¥×¤ò²ð¤·¤ÆAVNRT¤Ë¤Ê¤ë¡¥
¿´Ë¼¥Ú¡¼¥·¥ó¥°¤ò¹Ô¤¦¤È¸º¿êÅÁƳ¤ò¤»¤º¤Ë¿´¼¼¤Ï»É·ã¤ËÄɽ¾¤¹¤ë¡¥
10-3 Type A WPW
10-4 Type A WPW
10-5 Type B WPW, PAC, WAP¤¬¤¢¤ë¤¬¡¤¸«¤Ä¤«¤é¤ó¡¥V1¤ÈV2¤ÇȽ¤ë¡¥
²¾ÀQÇȤòAMI¤Ë´Ö°ã¤¨¤Ê¤¤¤è¤¦¤Ë¡¥¤Þ¤¿ÉÔ´°Á´º¸µÓ¥Ö¥í¥Ã¥¯¤È¤â´Ö°ã¤¨¤ë¡¥
WWW¾É¸õ·²¤ÏÉÑÇïȯºî¤¬¤¢¤ë´µ¼Ô¤ò¼¨¤·¡¢Ã±¤Ë¦¤ÇȤ¬Â¸ºß¤¹¤ë¾ì¹ç¤Ï
WWW¥Ñ¥¿¡¼¥ó¤È¤¤¤¦¡¥
10-6 Type C WPW, P-R´Ö³Ö¤Ï±äĹ¡¤
10-7 Type A WPW, III¤ÈaVF¤Ç¸«¤é¤ì¤ë¥Î¥Ã¥Á¤Î¶¯¤¤QRS¤Ï¡¤
isolated intraventricular conduction delay(IVCD)¤ÇBBB¤È¿ÆÀÌ¡¥
10-8 Type A WPW, Digoxin¤ÇËß¾õTÇȤˤʤäƤ¤¤ë¡¥
10-9 Type B WPW, ±¦µÓ¥Ö¥í¥Ã¥¯·¿¤Î¿´¼¼ÉÑÇï¡¥±¦Â¦Kent«¤òÄ̲᤹¤ë¤«¤é
º¸¼¼¤¬Àè¤Ë¶½Ê³¤¹¤ë¡¥
10-10 LBBB·¿ÉÑÇï¤Ë¸«¤¨¤ë¤¬¦¤ÇȤ¬Â¸ºß¤¹¤ë¡¥300 BPM°Ê¾å¤ÎÉÑÇï¤ÏAV¥Î¡¼¥É¤Ï
²ðºß¤·¤Ê¤¤¡¥250°Ê¾å¤Ç¤¢¤ì¤ÐAV¥Î¡¼¥É¤Î²ðºß¤ÏÈÝÄê¤Ç¤¤Ê¤¤¡¥
10-11 orthodromic tachycardia OARVT 280 BOM, QRSÉý¤Ï¶¹¤¤¡¥PÇȤ¬³Îǧ¤Ç¤¤Ê¤¤
¤Î¤ÇPSVT¤È¤Î´ÕÊ̤Ϻ¤Æñ¡¥½ç¹ÔÀ˼¼¼¥ê¥¨¥ó¥È¥ê¡¼ÀÉÑÇï
10-12 WPW¤Î¿´Ë¼ÁÆÆ°¡¤ÀäÂÐÉÔÀ°Ì®(irregularly irregular)¡¤STD¤¬¸«¤¨¤ë¡¥
10-13 ´Ö·çŪWPW¡¥
10-14 ´Ö·çŪWPW¡¤Type B
10-15 1¡ëAV¥Ö¥í¥Ã¥¯¡¤²¼Êɹ¼ºÉ¡¤±¦¼¼¹¼ºÉ¡¥V1¤ÎSTE¤Ï̵»ë¤Ç¤¤Ê¤¤¡¥
V1¡ÁV5¤Þ¤Ç¤ÎRRÁý¹âÉÔÎɤâ̵»ë¤Ç¤¤Ê¤¤¡¥
10-16 1¡ëAV¥Ö¥í¥Ã¥¯¡¤Â¦Êɵõ·ì¡¥
10-17 0.48sec¤Î1¡ëAV¥Ö¥í¥Ã¥¯¡¤sinus escape, CRBBB, ¸åÊɹ¼ºÉ¡¥
10-18 Wenckebach 2¡ë¥Ö¥í¥Ã¥¯¡¤sinus escape, CRBBB, ¸åÊɹ¼ºÉ¡¥
10-19 Wenckebach 2¡ë¥Ö¥í¥Ã¥¯¡¤
10-20 3¡ëAV¥Ö¥í¥Ã¥¯¡¤¥Ö¥í¥Ã¥¯ÇÈ·Á¤ÇT¤¬¹â¤¤¤È¹âK·ì¾É¡¥
10-21 3¡ëAV¥Ö¥í¥Ã¥¯¡¤junctional escape, RBBB¤ÈLAH¡¤¥Ú¡¼¥·¥ó¥°
10-22 3¡ëAV¥Ö¥í¥Ã¥¯¡¤ventricular escape, idioventricalr rhythm (¿´¼¼¸ÇÍĴΧ).
QRSÉý0.12sec, v1¡ÁV3¤ÏQS¥Ñ¥¿¡¼¥ó¡¤V6¤Ï´°Á´º¸µÓ¥Ö¥í¥Ã¥¯¤Ë¸«¤¨¤ë¡¥
¥¢¥È¥í¥Ô¥ó¡¤¥Ú¡¼¥·¥ó¥°
ÇÙÀ¿´¡¤Ãæ³ÖQÇÈ
ÇÙÀPÇȰʳ°¤Ë¡¤»Í»è¤ÎÃæ³ÖQÇȤ¬¸«¤¨¤ë¡¥²¼Êɹ¼ºÉ¤Ë¤¹¤ë¤È¡¤ST¤ÎÊѲ½¤¬¤Ê¤¤¡¥
Ãæ³ÖQÇȤÏÈîÂçÀ¿´¶Ú¾É¤Ç¤â¤¢¤ë¡¥¿´¶Ú¾É¤Ç¤Ï¶»ÉôͶƳ¤Ç¤â¸«¤¨¤ë¡¥
11-1 low voltage
11-2 low voltage
11-3 LBBB, AMI
Luna¤è¤ê A¤ÏÀµ¾ï¡¤B¤Ïº¸¼¼¼«Í³ÊɤÎÈî¸ü¡¤C¤Ïº¸¼¼Ãæ³Ö¡¤¿´ÀíÉô¤ÎÈî¸ü¤ò¼¨¤¹¡¥p.138
Luna¤è¤ê º¸¼¼ÈîÂç¤Î¥Ù¥¯¥È¥ë¿´ÅÅ¿Þ p.138
Luna LVH.pdf
V1¤Þ¤¿¤ÏV2¤ÎSÇȤÈV5¤Þ¤¿¤ÏV6¤ÎRÇȤÎϤ¬¡æ35mm°Ê¾å¡¥
¤É¤ì¤«¤Î¶»ÉôͶƳ¤¬¡æ45mm°Ê¾å¡¥
aVL¤ÎRÇȤ¬¡æ11mm°Ê¾å¡¥
I¤ÎRÇȤ¬¡æ12mm°Ê¾å¡¥
aVF¤ÎRÇȤ¬¡æ20mm°Ê¾å¡¥
¾åµ¤Î¤É¤ì¤«¤¬³ºÅö¤¹¤ë¤Èº¸¼¼ÈîÂç¤Þ¤¿¤Ïº¸¼¼³ÈÄ¥¤Ç¤¢¤ë¡¥
(PRD(PR´Ö³Ö¤Î²¼¹ß¤¬0.8mm°Ê²¼¤Ê¤éÀµ¾ï¤Ç¤¢¤ë¡¥p.180)
11-4 º¸¼¼ÈîÂç¤Ë¤è¤ëLVH
11-5 º¸¼¼³ÈÄ¥¤Ë¤è¤ëLVH¡¤I, II, III, aVF, V5, V6¤Ç¤Î
1mm°Ê²¼¤Î¾®¤µ¤ÊQÇȤϺ¸¼¼³ÈÄ¥¤ÎÆÃħ¡¥
¾å¸þ¤¤Ë±ú¤ÎST¥»¥°¥á¥ó¥È¤ÈTÇȤϥ¹¥È¥ì¥¤¥ó(strain)ÇÈ·Á¤Ç¤¢¤ë¡¥
11-6 ŵ·¿Åª¤ÊLVH¤Ç¤Ï¤Ê¤¤¡¥UÇÈ
11-7 º¸¼¼¹âÅŰ̡¤»Í»èͶƳ¤Î¥Õ¥é¥Ã¥È¤ÊTÇÈ¡¥ÈóÆÃ°ÛŪSTÊѲ½
11-8 LVH, ¥¹¥È¥ì¥¤¥ó¥Ñ¥¿¡¼¥óµÕžTÇÈ¡¤
V1, V2¤Ïconcave upward TÇÈ¡¤V3¤Ï¾å¸þ¤ST¥»¥°¤ÇµÕžTÇÈ¡¥¤è¤¤Îã¤Ç¤¢¤ë¡¥
11-9 LGL¾É¸õ·²¡¤ÉÑÌ®¡¤LVH¡¤ÇÙÀPÇȤǤϤʤ¤¡¥
11-10 LVH, RAE, LAE, late intrinsicoid deflection, GE #298
I¤ÎRÇȤÎÁ°¤Ë¥®¥¶¥®¥¶¤¬¸«¤¨¤ë¡¥II¤Ë¦¤ÇÈÍͤˤߤ¨¤ë¤¬WPW¤Ç¤Ï¤Ê¤¤¡¥
11-11 RAE¡¤LAE¡¤LVH¡¤»Í»èͶƳ¤Îflat¤ÊTÇÈ¡¤ÈóÆÃ°ÛŪSTÊѲ½¡¥
Luna RVH.pdf
A¤ÏÀµ¾ï¡¤B¤Ï±¦¼¼ÈîÂç¡¥
±¦¼¼ÈîÂç¤Ë¤ÏÅŵ¤¼´¤¬Á°±¦¼´Êа̤ȸ屦¼´ÊÐ°Ì¤ÎÆó¤È¤¦¤ê¤¬¤¢¤ë¡¥
Á°Êý·¿¤Ï±¦µÓ¥Ö¥í¥Ã¥¯·¿¤ÇR'¤¬Â礤¤¡¥
¸åÊý·¿¤ÏV1¤¬rS¤Ë¤Ê¤ë¡¥Á°Êý¡¤¸åÊý¶¦¤ËV6¤ÎSÇȤ¬Â礤¤¡¥
S1S2S3¤Ï¸åÊý·¿¤ÇÉÔÄê¼´¤È¤Ê¤ë¡¥
ºÇ¤âÏÀÍýŪ¤ËÀâÌÀ¤·¤Æ¤¤¤ë¡¥
¡ù ±¦¼´ÊѰ̤ÇV1¤ÎÂ礤ÊRÇȤÏRVH¤ò¹Í¤¨¤ë¡¥V1¤ÏËܼÁŪ¤ËrSr'¤Ç¤¢¤ë¡¥
¤½¤Î2ÈÖÌܤÎr'¤¬Â礤¯¤Ê¤ë¤È±¦µÓ¥Ö¥í¥Ã¥¯¤«¡¤RVH¤Ë¤Ê¤ë¡¥±¦µÓ¥Ö¥í¥Ã¥¯¤Î
¾ì¹ç¤Ï±¦¼¼ÅÁƳ¤¬¶áÀÜ¿´¶Ú¤ÎÅÁƳ¤Ë¤Ê¤ë¤¿¤á¡¤Éý¤¬¹¤¯¤Þ¤¿¿¶Éý¤âÂ礤¤¡¤
°ìÊý¡¤±¦¼¼ÈîÂç¤Ï¥×¥ë¥¥ó¥¨Àþ°Ý¤ÎÅÁƳ¤Ç¤¢¤ë¤«¤éÅÁƳ»þ´Ö¤¬Ã»¤¯SÇȤÎ
Éý¤â¶¹¤¯¤Þ¤ë¡¥rSr'¤ÎºÇ½é¤Îr¤ÏÃæ³Ö¿´¶Ú¤Î¶½Ê³¡¤SÇȤϺ¸¼¼¶½Ê³¤Ç¤¢¤ê¡¤
ºÇ¸å¤Îr'¤Ï±¦¼¼¿´¶Ú¤Î¶½Ê³¤Ç¤¢¤ê¡¤Ä̾ï¤Ïr'¤¬¾®¤µ¤¯É½¤À¤Ã¤ÆÉ½¤ì¤Ê¤¤¡¥
¥Ö¥ë¥¬¥À¤Î¾ì¹ç¤Ï±¦¼¼Î®½ÐÏ©¤Î¿´¶ÚÈîÂ礬¤¢¤ë¤¿¤á¡¤Â礤Êr'¤È¹Í¤¨¤ì¤Ð
ǼÆÀ¤¬¤¤¤¯¡¥
¡ù Ä̾ï¤ÏRBB¤¬Â¸ºß¤¹¤ë¤ÈRVH¤Î¿ÇÃǤϤǤ¤Ê¤¤¤¬¡¤GE #121¤ÏRVH¤Î¿ÇÃǤ¬²Äǽ¤Ç¤¢¤ë¡¥
¡ù BB p.73¤Ç¤Ï3¼ïÎà¤ÎRVH¤¬É½¼¨¤µ¤ì¤Æ¤¤¤ë¡¥
±¦¼¼ÈîÂç¤Î3 type
Utah ECG Uwave
Right Ventricular Hypertrophy
General ECG features include:
* Right axis deviation (> 90 degrees)
* Tall R-waves in RV leads; deep S-waves in LV leads
* Slight increase in QRS duration
* ST-T changes directed opposite to QRS direction (i.e., wide QRS/T angle)
* May see incomplete RBBB pattern or qR pattern in V1
* Evidence of right atrial enlargement (RAE) (lessonVII)
Specific ECG features (assumes normal calibration of 1 mV = 10 mm):
* Any one or more of the following (if QRS duration < 0.12 sec):
o Right axis deviation (> 90 degrees) in presence of disease capable of causing RVH
o R in aVR ¡æ 5 mm, or
o R in aVR > Q in aVR
* Any one of the following in lead V1:
o R/S ratio > 1 and negative T wave
o qR pattern
o R gt; 6 mm, or S < 2mm, or rSR' with R' > 10 mm
* Other chest lead criteria:
o R in V1 + S in V5 (or V6) 10 mm
o R/S ratio in V5 or V6 < 1
o R in V5 or V6 < 5 mm
o S in V5 or V6 > 7 mm
* ST segment depression and T wave inversion in right precordial leads is usually seen in severe RVH such as in pulmonary stenosis and pulmonary hypertension.
BB¤Î¥¯¥é¥¤¥Æ¥ê¥¢ p.73
* QRS¤ÎÅŵ¤¼´¤¬90¡ë°Ê¾å¤ÏÀäÂоò·ï¤Ç¤¢¤ë¡¥
a. qR ¤ÎV1
b. V1¤ÎR¤¬7mm°Ê¾å¡¥
c. V1¤ÎR/SÈæ¤¬1°Ê¾å¡¥
d. V1¤ÎID¤¬0.03sec°Ê¾å¡¥
e. V1¡ÁV6¤ÎQRS¤¬rSÇÈ·Á¡¥
f. Âç¿Í¤ÇS1S2S3ÇÈ·Á¡¥
* ÇÙÀPÇÈ¡¥
* V1¡ÁV2¤ÎSTD¤ÈȿžTÇÈ¡¥
9-14 LAE¡¤IRBBB¤«ÄĵìÀÁ°ÊÉÃæ³Ö¹¼ºÉ¡¤RVH? ±¦¼´Êа̡¤II, III, aVF¤ÎTÇȵÕž¤Ï
RVH¤Ëɬ¿Ü¡¥cf 11-12.
V1¤Ï¶¯¤¤QRÇÈ·Á¡¤V2¤Ï¾®¤µ¤ÊrS¤ÇÄ̾ï¤ÎV1¤Î¤è¤¦¤Ë¸«¤¨¤ë¡¥V1-V4¤Ï±¢À
¥¹¥È¥ì¥¤¥óTÇÈ¡¥¶»Éô¤è¤¦¤¦¤Ç¤ÎÉý¤Î¶¹¤¤SÇȤϱ¦¼¼ÈîÂç¤ËÆÃħ¡¥
11-12 ŵ·¿Åª¤ÊRVH¡¤strain pattern¡¥S1Q3T3¤¬¸«¤¨¤ë¡¥RVH¤ÎV1¤ËqÇȤϤʤ¤¡¥RAE, LAE
11-13 ÈóÄ귿ŪRVH¡¤V2¤Ç R/S ratio¤¬1°Ê¾å¡¥
Á°ÊÉÃæ³Ö¹¼ºÉ¤òʻȯ¤·¤Æ¤¤¤ë¤¿¤á¹âV1¤Ë¤Ê¤é¤Ê¤¤±¦¼¼ÈîÂç¡¥´ÕÊÌ¿ÇÃÇ¡¥
GE #121 II, aVF¤¬¡Ý¤À¤«¤é¼´¤Ï-30¡ë°Ê²¼¡¤V1¤¬PVC¤Î¤è¤¦¤Ë¸«¤¨¤ë¤¬µðÂç¤ÊrsR'
¤Ç¤¢¤ë¡¥V1-V3¤Þ¤ÇrsR'¤ÇȿžTÇÈ¡¤V4-V6¤ÏrSÇȤÇÍÛÀTÇÈ¡¥
¿ÇÃÇ¡§LAFB+CRBBB¡¥ËÜÍèRBBB¤Ï±¦¼¼ÈîÂç¤Î¿ÇÃǤϽÐÍè¤Ê¤¤¤¬¡¤
V1¤Î°Û¾ï¤Ê¹â¤µ¤ÎR'¤ÈV6¤ÎSÇÈ¡¤¤½¤·¤ÆÈ¿Å¾TÇȤÏRVH¤òµ¿¤ï¤»¤ë¡¥
Ä̾ï¤ÎCRBBB¤Ç¤ÏV6¤ÏRÇȤÈÉý¹¤ÎSÇȤǤ¢¤ë¤¬¡¤RVH¤Ç¤ÏRÇȤ¬¾®¤µ¤¯¡¤
SÇȤϱԤ¯¿¼¤¤¡¥LAFB¤¬¹çÊ»¤¹¤ë¤ÈV6¤ÎSÇȤϤµ¤é¤Ë¿¼¤¯¤Ê¤ë¡¥
GE #196 ¼´90°Ê¾å¡¤ÇÙÀPÇÈ¡¤V1¤ÏrsR'¤Ç¤¢¤ë¤¬¡¤rs¤ÏÈó¾ï¤Ë¾®¤µ¤¤¡¥R'¤Ï¥·¥ã¡¼¥×¤Ç
Ä̾ï¤Î±¦µÓ¥Ö¥í¥Ã¥¯¤È°Û¤Ê¤ë¡¥V2¡ÁV6¤Þ¤Ç¤Ï¶¯¤¤Éý¤Î¶¹¤¤SÇÈ¡¥±¦µÓ¥Ö¥í¥Ã¥¯
¤Ç¤¢¤ì¤ÐS¤ÏÉý¤¬¹¤¤¤«¤é¡¤¤³¤ÎÅÀ¤«¤é¸«¤Æ¤âRBBB¤È¤Ï°Û¤Ê¤ë¡¥V1¤Ï
±¢ÀTÇȤǡ¤V2¤Ïʿó¡¤V3-V6¤ÏÄ̾ï¤ÎTÇÈ¡¥RÇȤÏV3¤¬ºÇ¤â¹â¤¯¡¤
V6¤Ë¹Ô¤¯¤Ë¤·¤¿¤¬¤Ã¤ÆÇȹâ¤Ï¾®¤µ¤¯¤Ê¤ë¡¥ÇÙÀPÇȤȱ¦¼¼ÈîÂç¡¥
11-14 ventricular escape beat¡¤35 BPM¡¤IVCD,
TÇȤÏQRS¤¬2ÁêÀ¤Ç¤¢¤Ã¤Æ¤âµÕž¤¹¤ë¡¥¹âK·ì¾É 8.7 mEq/L¡¥
final¤Ç¤ÏAf¤Ëȼ¤¦ÅÁƳ¤Ç1ͶƳ¤·¤«É½¼¨¤µ¤ì¤Æ¤¤¤Ê¤¤¡¥final p.169
11-15 qR'¤ÎRBBB
11-16 VT, ¹âK·ì¾É 9.4mEq/L
11-17 Àµ¾ïPÇÈ¡¤3¡ëAV¥Ö¥í¥Ã¥¯¡¤CLBBB¡¤CRBBB¡¤Àµ¾ïQRS
2¼ïÎà¤ÎPÇÈ¡¤PAC¤Î¸å¤ËÊѲ½¤·¤Æ¤¤¤ë¡¥
11-18 VTach (VT)¡¤LAH¡¤ÊаÌÅÀ¤ÏV1¤ÈV2¤Î´Ö¡¥
11-19 Àµ¾ïqÇȤȰ۾ïQÇÈ¡¤»Í»èͶƳ
11-20 Àµ¾ïqÇȤȰ۾ïQÇÈ¡¤¶»ÉôͶƳ
11-21 IIIͶƳSÇÈ¤Î¸ÆµÛ°ÜÆ°¡¤°Ü¹ÔÂÓ¤ÏV1¡ÁV2¤ÇV1¤Î¿¶Éý¤¬¾®¤µ¤¤¡¥NSSTC¡¤PR¤ÎÄã²¼
¿ÇÃǤϽñ¤«¤ì¤º¡¥
11-22 II, III, aVF¤ÎQÇȤ¬¸²Ãø¡¤V4¡ÁV6¤ÎQÇÈ¡¤V1¤ÎRÇȤ¬¹â¤¯Éý¤¬¹¤¤¡¥
²¼ÊÉ¡¤Â¦Êɤι¼ºÉ¤ÎϢ³À¤«¤é¸åÊɤι¼ºÉ¤¬¹Í¤¨¤é¤ì¤ë¡¥transition¤ÏV1¡ÁV2¡¥
I¤ÎqÇȤϾ¯¤·Â礤¯°Û¾ï¡¤aVL¤ÎqÇȤâ°Û¾ï¤Ç¹â°Ì¦Êɹ¼ºÉ¡¥
V1¤ÎRÇȤ¬¹â¤¯Éý¤¬¹¤¤¤Î¤Ï¡¤¸åÊɹ¼ºÉ¤¬¤¢¤Ã¤¿¤³¤È¤ò¼¨¤¹¡¥
V1,V2¤ÎJÅÀ¤¬Äã²¼¤·¤Æ¤¤¤Ê¤¤¤³¤È¤Ï¡¤¸åÊɤÎST¾å¾º¤¬¤Ê¤¤¤³¤È¤ò¼¨¤¹¡¥
²¼Êɹ¼ºÉ¤Î°Û¾ïQÇȤÏIII>aVF>II¤Î½ç¤Ë¾®¤µ¤¯¤Ê¤ë¤¬¡¤¹â°Ì¦Êɹ¼ºÉ¤¬
ȯÀ¸¤¹¤ë¤ÈI¤Ç°Û¾ïQÇȤ¬¸«¤¨¤ë¤¿¤áIII¤Ç¤Î°ú¤»»¹â²½¤¬¾Ã¤µ¤ì¤ë¡¥
aVL¤ÎQÇȤθº¿ê¤ÏaVL=(i-III)/2¤À¤«¤éI¤ÎQÇȤ«¤éIII¤ÎQÇȤò°ú¤¯¤¿¤á¤Ë
¤µ¤é¤Ë¾®¤µ¤ÊQÇȤˤʤ롥
11-23 II, III, aVF¤Ï°Û¾ïQÇÈ¡¤V1¤ÎQSÇȤÏÀµ¾ï¡¤V2S+V5R>35mm¤À¤«¤éLVH¡¥
11-24 II, III, aVF¤Î°Û¾ïQÇȤÈST¾å¾ºÈ¿Å¾TÇÈ¡¤
LAE¡¤V4¡ÁV6¤ÎTÇȵÕž¡¥TR¤ÏV2¡¤¸åÊɹ¼ºÉ¤«RVH¤Ï
²áµî¤Î¿´Åſޤˤè¤ê·è¤Þ¤ë¡¥¤³¤ÎECG¤À¤±¤Ç¤ÏȽÃǤǤ¤Ê¤¤¡¥
11-25 »Í»èͶƳÄãÅŰ̡¤Åŵ¤¼´¿åÊ¿¡¤V1QS¤Ë¶á¤¯ÄãÅŰ̡¤V2¡ÁV4¤ÎSTȿž¤ÏÀµ¾ï¡¥
TR¤ÏV5¡ÁV6¡¥LAE¡¤¼ã´³PRD¡¤effusion¡©
11-26 QT±äĹ¡¤1¡ëAV¥Ö¥í¥Ã¥¯¡¤»Í»èÄãÅŰ̡¤TR¤ÏV5¤«¤éV6¡¥V1¤ÏQSÇȤǤϤʤ¯rÇȤ¬¤¢¤ë¡¥
II, V2¡ÁV5¤Þ¤Ç¤Î¸²Ãø¤ÊPRD¤¬¤¢¤ë¤«¤épericarditis¡¥
»Í»èÄãÅṲ̋ˤÏPRD¤ËÃí°Õ¤¹¤ë¤³¤È¡¥
11-27 I, aVL¤ÎÅŰ̹â¤è¤êLVH¡¤Æ¶ÀÉÔÀ°Ì®¡¤Åŵ¤¼´¤Ï¿åÊ¿¡¤TR¤ÏV1¡ÁV2¡¤È¿»þ·×²óž¡¥
RVH¤Ë¤Ê¤ë¤¬¡¤¼´¤¬±¦¼´Êа̤Ǥʤ¤¡¥Î¾¿´³ÈÄ¥¤È²òÅú¤·¤Æ¤¤¤ë¡¥
ÈîÂç¤ÏST¤¬È¿Å¾¡¤³ÈÄ¥¤ÏST¤¬Àµ¾ï¡¥
11-28 RAE¡¤TR¤ÏV1¤ÈV2¤Î´Ö¡¤TÇÈȿž¡¥±¦¼¼ÈîÂ礫¸åÊɹ¼ºÉ¤«¡¥
¸åÊɹ¼ºÉ¤Ê¤éII, III, aVF¤ÎÊѲ½¤¬É¬Íס¥
RÇȤνªÎ»»þ¤Î¤³¤Ö¡¥
ÄãÂβ¹¤ÇȯÀ¸¤¹¤ë¡¥¤½¤Î¤¿¤á¤Ë½ùÌ®¤¬Â¿¤¤¡¥p.230
¡É²¼¸þ¤¤Ë¤¯¤Ó¤ì¤¿¥Î¥Ã¥Á¤ÏÃÙ¤ì¤ÆÈ¯À¸¤·¤¿¿´ÆâË즿´¶Ú¤Î
æʬ¶Ë¤È³¤¯¿´³°Ë즿´¶Ú¤Îæʬ¶Ë¤Ç¤¢¤ë¡¥
ξ¼Ô¤Îæʬ¶Ë¤¬´ËËý¤À¤È¥¹¥é¡¼¾õ¤Ë´Ý¤¯¤Ê¤ë¡¥
ST¥»¥°¥á¥ó¥È¤Ï¿åÊ¿¡¤JÅÀ¤ÎÄã²¼¤òȼ¤¦Äã²¼¡¤JÅÀ¤Î¾å¾º¤òȼ¤¦¾å¾º
¤Ê¤É¤¬¤¢¤ë¡É
11-28 Notch¤ÈJ wave¡¤¹â¤¤ÈóÂоΤÎTÇÈ¡¥
11-31 Osborn
11-32 Osborn
11-33 Osborn
13-1 RBB¤Îŵ·¿Î㡤VͶƳ¤ÇR:S ratio¤Ïɬ¤ºÂ礤¯¤Ê¤ë¡¥qR'¤Ç¤¢¤Ã¤Æ¡¤qR¤È¤Ï½ñ¤«¤Ê¤¤¡¥
13-2 rsr'r''·¿¤ÎRBBB¡¤LAH¤òȼ¤¦2»Þ¥Ö¥í¥Ã¥¯¡¥
13-3 rsr'r''·¿¤ÎRBBB¡¤inferolateral ischemia¡¥
WAT: wandering atrial pacemeker
iregurary iregular ÀäÂÐÉÔÀ°Ì®
MAT: fultifocal atrial tachycardia
iregurary iregular ÀäÂÐÉÔÀ°Ì®
TESTECG 21
´°Á´º¸µÓ¥Ö¥í¥Ã¥¯¤Ç¤¢¤ë¤¬²¼Êɹ¼ºÉ¤Î½ê¸«¤¬¤Ê¤¤¡¥
BB
20, 42, 47, 112, 112, 117, 119-121, 125, 127, 129, 131, 133
135-139, 355, 370-372, 175, 376, 432
IVCD¤ÎÆÃħ¡§
12 lead ¤Ë¤è¤ì¤Ð(p.289) ¡¤IVCD¤Ï¶É½êŪIVCD¡¤¤¹¤Ê¤ï¤Á1ͶƳ¡¤
ÆÃ¤ËIII¤Ç¸«¤é¤ì¤ëQRSÉý 0.12sec°Ê²¼¤Î¥Î¥Ã¥Á¤Î¤¢¤ëÇÈ·Á(localized IVCD)¤È¡¤
Á´Í¶Æ³¤Ç¤ß¤é¤ì¤ë0.12sec°Ê¾å¤ÎQRS¤ò¤â¤ÄÇÈ·Á¤Ç¤¢¤ê¡¤
ÆÃ¤ËLBBB¤äRBBB¤ÎÆÃħ¤ò¤â¤¿¤Ê¤¤ÇÈ·Á(Generarized IVCD)¤Ë¶èÊ̤µ¤ì¤ë¡¥
°ìÈÌIVCD¤ÏV1¤Çº¸µÓ¥Ö¥í¥Ã¥¯·¿¡¤V6¤Ç±¦µÓ¥Ö¥í¥Ã¥¯·¿¤ò¼¨¤¹¡¥
V1¤ÏrS¤Çº¸µÓ¥Ö¥í¥Ã¥¯ÍͤǤ¢¤ë¤¬¡¤¤½¤Î¸åRS¥Ñ¥¿¡¼¥ó¤ÇV6¤Ç¤âRÇȤÎÁý¹âÉÔÎɤÎ
¤Þ¤Þ¤Ç¤¢¤ê¡¤ÊѲ½¤Ë˳¤·¤¤¡¥QRSÉý¤Ï3mm¤Ç´°Á´º¸µÓ¥Ö¥í¥Ã¥¯¤È¶èÊ̤¬Æñ¤·¤¤¡¥
¤·¤«¤·¡¤´°Á´º¸µÓ¥Ö¥í¥Ã¥¯¤À¤È±¦¼¼¤¬Àè¤Ë¶½Ê³¤¹¤ë¤¿¤áV6¤ÎSÇȤϤʤ¤¡¥
IVCD¤¬¤¢¤ë¾ì¹çQTc >0.5sec¡¨¤Ê¤±¤ì¤Ð > 0.44sec (ÃË)¡¤> 0.46sec (½÷)
IVCD¤Î¥·¥ß¥å¥ì¡¼¥·¥ç¥ó

IIͶƳ¤ä¡¤V6¤Î¥·¥ß¥å¥ì¡¼¥·¥ç¥ó¤ò¼¨¤¹¡¥
2018ǯ 10·î 29Æü ·îÍËÆü 23:27:15 JST
8mEq/L°Ê¾å¤Î¹âK·ì¾É¤ÇIVCD¤Ë¤Ê¤ë¡¤¿´ÆâËì¦PerkinjeÅÁƳ®ÅÙ¤¬¶Ëü¤Ë
Äã²¼¤·¡¤¼þ°Ï¤Î°ìÈÌ¿´¶Ú¤ÎÅÁƳ®ÅÙÄã²¼¤Ï¾¯¤Ê¤¤¡¤¤½¤Î·ë²Ì¡¤rÇȤθå¤Ë
¿´³°Ë즤¬Àè¤Ë¶½Ê³¤·¡¤Â礤ÊSÇȤ¬À¸¤¸¤ë¡¥¤½¤Î¸å¡¤¿´ÆâË즤ζ½Ê³¤Ë¤è¤ê
SÇȤξå¸þÉôʬ¤¬À¸¤¸¤ë¡¥SÇȤβ¼¹ßÀþ¤Ï¾å¸þÀþ¤ËÈæ¤Ù¤ÆÈæ³ÓŪµÞ½Ô¤Ç¤¢¤ë¡¥
¤³¤ì¤Ï¿´³°Ë즿´¶Ú¤ÎÅÁƳ®ÅÙ¤¬Áᤤ¤³¤È¤ò¼¨¤·¤Æ¤¤¤ë¡¥
GE #239 IVCD¤Ç¤¢¤ë¡¥
GE #305 PQû½Ì¡¤
¿ÇÃÇ¡§WPW¡¥V4-6¤ÎSÇȤÏÀµ¾ï¤Ç¤¢¤ê¡¤IVCD¤ÏÈÝÄê¤Ç¤¤ë¡¥
GE #32¤ÏI¤Ç¤ÎRÇȤÎΩ¾å¤ê¤¬ÃÙ¤¯¡¤V1¤Ç¤Ï²¼¹ß¤¬»Ï¤Þ¤Ã¤Æ¤«¤érÇȤΥΥåÁ¤¬¸«¤¨¤ë¡¥
º¸µÓ¤Î²¼¹ß¶½Ê³¤¬ÃÙ¤ì¤Æ¤«¤é±¦µÓ¤Ë¶½Ê³¤¬ÅÁ¤ï¤ë¡¥IVCD¤È¤¤¤¦¤è¤êILBBB¤È¿ÇÃǤ¹¤Ù¤¡¥
GE #243¤ÏQRSÉý¤¬0.16ÉäÎIVCD¡¥V1-2¤ÎSÇȤÎΩ¾å¤ê¤Ç¥Î¥Ã¥Á¤¬¸«¤¨¤ë¡¥
V1¤ÎrÇȤÏÀµ¾ï¡¤STE¤À¤«¤é¡¤µÞÀÁ°Êɹ¼ºÉ¤Ç¤¢¤ë¡¥LAFB¤Ç¤¢¤ë¡¥
¼´¤Ï-60¤À¤«¤éLAFB¡¤LAFB¤ÏRÇȤÎÁý¹âÉÔÎɤÈV6¤Ç¤ÎSÇȤòȼ¤¦¡¥
aVL¤ÎqÇȤÏseptal q¤ò¼¨¤¹¤«¤éº¸µÓ¥Ö¥í¥Ã¥¯¤Ç¤Ï¤Ê¤¤¡¥
²¼¿Þ¤ÏGE #243
GE #248¤ÏQRSÉý¤¬0.10¤ÎIVCD¡¤»þ·×²óž¤Ç¤¢¤ë¤¬¡¤SÇȤÎΩ¾å¤ê¤Ç¥Î¥Ã¥Á¤¬¤¢¤ë¡¥
GE #305¤Ï°ì¸«IVCD¤Ë¸«¤¨¤ë¤¬WPW¤Ç¤¢¤ë¡¥
intraventricular conduction defect p.94 ecg 9-5
Ä̾ï¤ÎQRS¤Î´Ö¤Ë¥®¥¶¥®¥¶¤¬È¯À¸¤·¡¤¥¹¥à¡¼¥º¤Ê¶½Ê³ÅÁƳ¤¬¤Ç¤¤Ê¤¤¾õÂÖ¡¥
ecg 9-5¤ÏIVCDdelay¤Ç¤â¤¢¤ë¡¥V1¤Ïº¸µÓ¥Ö¥í¥Ã¥¯·¿¡¤V6¤Ï¿¶Éý¤¬¾®¤µ¤¯¤Æ¤âRS·¿¤Ç¤¢¤ë¡¥
¤Þ¤¿V1¤Þ¤¿¤ÏV2¤ÎSÇȤ¬ºÇ¤âÂ礤¯RÇȤÎÁý¹âÉÔÎɤΤޤÞV6¤ËÅþ¤ë¤Î¤â¶¦Ä̤·¤Æ¤¤¤ë¡¥
intraventricular conduction delay (IVCD) 12 LEAD ECG p.289
QRSÉý¤¬0.12sec°Ê¾å¡¤V1¤ÏLBBBÍͤÇV6¤ÏRBBBÍͤÎÇÈ·Á¤ÈÄêµÁ¤µ¤ì¤ë¡¥
¹âK·ì¾É¤ÎËö´üŪÇÈ·Á¡¥
141f ecg 10-7, WPW Type A¤ÎÎã¤Ç¤¢¤ë¤¬¡¤III¤ÈaVF¤ÏPÇȤ¬¸«¤¨¤º¡¤
Ê£»¨¤ÊQRSÇÈ·Á¤Ç¤¢¤ë¡¥¤³¤ì¤ÏIVCD¤È¿ÇÃǤ¹¤ë¡¥(ÆÃ¼ì¤ÊÎã)
p.336 ecg 14-8¤Ï¥Æ¥ó¥È¾õTÇÈ¡¤IVCD¤ÏV5, V6¤ÇRSÇÈ·Á¤Ë¤Ê¤é¤Ê¤¤¤¬¡¤IVCD¤È¿ÇÃÇ¡¥
198f ecg 11-14, ¹âK·ì¾É¤Ë¤è¤ëIVCD¡¤QRS¤ÎÉý¤¬¹¤¯¡¤½ùÌ®¡¤¿´¼¼¸ÇÍĴΧ¡¤
V1¤Ïº¸µÓ¥Ö¥í¥Ã¥¯¤Î·Á¤Ç¤¢¤ë¤¬¡¤V4¤Þ¤ÇÊѲ½¤¬¾¯¤Ê¤¤¡¥V6¤ÏRSÇÈ·Á¤Î¤Þ¤Þ¤Ç¤¢¤ë¡¥
QRSÉý¤Ï6mm (ŵ·¿Åª¤ÊÎã)
12 lead ECG pp. 289-293
13-21 PR 0.2sec, 77 bpm, IVCD
13-22 PÇȤʤ·¡¤48 bpm, QRS 0.24sec IVCD¡¤QT´Ö³Ö¤Ï±äŤ»¤ºÀŻ߾õÂÖ¤¬¤¢¤ë¡¥
p.336 14-18¤Ï¥Æ¥ó¥È¾õTÇÈ¡¤IVCD¤ÏV5, V6¤ÇRSÇÈ·Á¤Ë¤Ê¤é¤º¡¤ÇÈ·Á¤¬»÷¤Æ¤¤¤ë¡¥
13-23 ¿´¼¼¥Ú¡¼¥·¥ó¥°¤Ë¤è¤ë¿´¼¼ÇÈ·Á¡¤IVCDÍͥѥ¿¡¼¥ó
14-57 IVCD, QRS 0.18, ´ðËÜŪ¤ËI¤ÈV6¤Ï»÷¤¿ÇÈ·Á¤Ç¤¢¤ë¤¬¡¤V6¤ÏRS¥Ñ¥¿¡¼¥ó¡¥QRS¤¬0.12sec°Ê²¼¤À¤ÈLAFB¤Ë¤Ê¤ë¡¥TÇȤˤĤ¤¤Æ¤ÏºÇ¸å¤ÎSÇȤò´ð½à¤Ë¹Í¤¨¤ë¤ÈƱÁê(concordant)¤Ë¤Ê¤ë¤¬¥Ö¥í¥Ã¥¯¤À¤«¤é°Û¾ï¤Ç¤¢¤ë¡¥
STC.pdf
º¸Ë¼³ÈÂ硤left atrial enlargement,
±¦Ë¼¤Î¶½Ê³¤Î¸å¡¤º¸Ë¼¶½Ê³¤¬¸²Ãø¤Ë¤ß¤¨¤ë¤«¤éÆóÁÐÀ¤ÎPÇȤˤʤ롥
Ãæ±û¤¬³ç¤ì¤ÆÉý¤Ï0.12Éðʾ塤ξĺÅÀ¤Î´Ö³Ö¤Ï0.04Éðʾ塥
PÇȤ볤òhump¤È¸À¤¤¡¤two humps, a double hump ¤Èɽ¸½¤¹¤ë¡¥(hump¤È¤ÏÇÇØ¤Î°ÕÌ£)
0.12Éðʲ¼¤Ç¥Î¥Ã¥Á¤Î¤¢¤ëPÇȤÏLAE¤È¤Ï¿ÇÃǤ·¤Ë¤¯¤¤¡¥
12 Lead ECG¤Îp. 93.
ECG 9-5 V1¤ÎSÇȤ¬35mm°Ê¾å¡¤V6¤ÎRÇȤ¬¾®¤µ¤¤¡¤LVH¤È¿ÇÃǤǤ¤ë¡¥
ECG 9-6 AVL¤ÎRÇȤ¬11mm °Ê¾å¡¤LAH, LVH
ECG 9-7 LAE¤Èlong QT, V4-6¤ÎST¥»¥°¥á¥ó¥È¤ÏŤ¯¡¤Ëß¾õ¤Ç¤¢¤ë¡¥2Áê¤Î±äĹ¤Ï³Î¤«¡¤
¤·¤«¤·¡¤TÇȤβ¼¹ßÀþ¤¬µÞ½Ô¤È¤Ï¸À¤¨¤Ê¤¤¡¥
LAH Left Anterior Hemiblock º¸µÓÁ°»Þ¥Ö¥í¥Ã¥¯
II < 0 ¤Ê¤é axix < -30¡ë
II,III,aVF¤Î¤É¤ì¤«¤Ë¾®¤µ¤ÊrÇȤ¬É¬Íס¥
¤Þ¤¿¡¤I¤ÏqR¤â¤·¤¯¤ÏRÇÈ¡¤III¤ÏrSÇȤ¬É¬Íס¥
II,III,aVF¤ËrÇȤ¬Ìµ¤¯¤¹¤Ù¤ÆQÇȤʤ鲼Êɹ¼ºÉ¤Ç¤¢¤ë¡¥
¶»ÉôͶƳ¤Ï¤¹¤Ù¤Æ¥¹¥é¡¼¤Ç¤Ê¤¤SÇȤ¬½Ð¸½¤¹¤ë¡¥
¤³¤ì¤Ï±¦¼¼¤Ç¤Ï¤Ê¤¯¡¤º¸¼¼Â¦Êɤζ½Ê³ÃÙ±ä¤ò°ÕÌ£¤¹¤ë¡¥
13-24 LAH, Axis <-30¡ë¡¤I¤ËqR¡¤III¤ËrS¤¬¸«¤¨¤ë¡¥TR¤ÏV4¤À¤¬V6¤ÇRS¥Ñ¥¿¡¼¥ó
13-25 LAH, Axis <-30¡ë¡¤I¤ËqR¡¤III¤ËrS¤¬¸«¤¨¤ë¡¥TR¤ÏV5¤À¤¬V1¤«¤éV6¤ÇRS¥Ñ¥¿¡¼¥ó
13-26 LAH, Axis <-30¡ë¡¤III¤ËrS¤¬¸«¤¨¤ë¡¥»Í»èͶƳÄãÅŰ̡¤¸ÆµÛÀ°Üư
13-27 LPH¡¤RAE, LAE, II,III,aVF¤ÎST²¼ÊýµÕžTÇÈ¡¥S1Q3T3¤ÎÇÙ¹¼ºÉ¤È¤Î´ÕÊ̤Ï
ÍúÎò¤¬É¬Íס¥¤á¤º¤é¤·¤¤¡¥
13-28 Tachycardia¡¤LPH¡¤¹âK·ì¾É¡¥QT¤Ï±äŤ·¤Æ¤¤¤ë¤¬»Í»èͶƳ¤Ç¤Î¿åÊ¿ST¤¬¤Ê¤¤¡¥
13-29 ¶¯¤¤»þ·×²óž¤Ç¤¢¤ë¤¬¡¤Â¦Êɹ¼ºÉ¤Î¾Úµò¤¬¤Ê¤¤¡¥S1Q3T3¤Ç¤¢¤ë¤¬
ÉÑÌ®¡¤±¦Ë¼Éé²Ù¡¤V1¤Ê¤É¤Ç±¦¿´Éé²Ù¤Î ħ¸õ¤¬¤Ê¤¤¡¥·ë²Ì¤È¤·¤ÆLPH¤Ë¤Ê¤ë¡¥
13-30 S1Q3T3, RAE, qR'¤Ç¤Ï¤Ê¤¯qR¤Ç±¦¼¼ÈîÂç¡¥¶¯Îõ¤ÊÈ¿»þ·×²óž¡¥RVH¤Ç¤¢¤ë¡¥
È¿»þ·×²óž¤ÏV1¤ÇRS·¿¤Ë¤Ê¤ë¤«¤é±¦¼¼ÈîÂç¤Î¾ò·ï¤Ë¤Ê¤ë¡¥ÇÙÀPÇÈ¡¤S1Q3T3¤Ï
ÇÙ¹¼ºÉ¤Îħ¸õ¡¥Axis¤¬90¡ë°Ê¾å¤ÏLPH¤ÎÁ°¤Ë±¦¼¼ÈîÂç¤ò¹Í¤¨¤ë¡¥
LPH¤Ï¤Þ¤ì¤Ç¤¢¤ë¡¥
V1¤ÎqÇȤÏËÜÍèrÇȤξì½ê¤Ç¤¢¤ë¤¬¡¤±¦¼¼Â¦¤ÎÃæ³Ö¤¬¸ü²á¤®¤Æº¸Êý¤Ë
¶½Ê³ÅÁƳ¤·¤¿¤È¹Í¤¨¤ë¡¥¤Þ¤¿V1R¤ÎĺÅÀ¤ÈV3R¤ÎĺÅÀ¤Î»þÁ꤬°ìÃפ¹¤ë
¤³¤È¤«¤é±¦¼¼Á°Êɶ½Ê³¤¬º¸¼¼¶½Ê³¤Ë¾¡¤Ã¤¿¤È¹Í¤¨¤ë¡¥
13-31 III¤ÎqÇȤÈST¾å¾º¤ËÃíÌܤ¹¤ë¡¥LPH¤Ç¤Ï¤Ê¤¯¡¤IWMI¤Ç¤¢¤ë¡¥
13-32 RBBB¤ÈLAH¡¤NSR¡¤1¡ë¥Ö¥í¥Ã¥¯¡¤LVH
13-33 RBBB¤ÈLAH¡¤NSR¡¤1¡ë¥Ö¥í¥Ã¥¯¡¤LVH
13-34 RBBB¤ÈLAH¡¤PÇȤϤʤ¯¡¤ÀäÂÐÉÔÀ°Ì®¡¥
13-35 RBBB¤ÈLAH¡¤NSR¡¤LVH
13-36 RBBB¤ÈLAH¡¤NSR¡¤LVH
LPH Left Posterior Hemiblock º¸µÓ¸å»Þ¥Ö¥í¥Ã¥¯
13-37 RBBB¤ÈLPH¡¤NSR¡¤RAE¡¤LAE¡¤¶»ÉôÅŶËÉÔÎÉ¡¥
13-38 RBBB¤ÈLPH¡¤I¤¬rS¤ÇIII¤¬qR(qS)¤À¤«¤éÅŵ¤¼´¤Ï90¡ë°Ê¾å¡¥
13-39 RBBB¤ÈLPH¡¤I¤¬rS¤ÇIII¤¬qR(qS)¤À¤«¤éÅŵ¤¼´¤Ï90¡ë°Ê¾å¡¥
504f-509f,
522f ecg 16-21 »°´Ä¹³±µÌô¤Ë¤è¤ëIVCD¡¤1¡ëAV¥Ö¥í¥Ã¥¯¡¥
V1¤ÏrS¤Çº¸µÓ¥Ö¥í¥Ã¥¯ÍͤǤ¢¤ë¤¬¡¤¤½¤Î¸åRS¥Ñ¥¿¡¼¥ó¤ÇV6¤Ç¤âRÇȤÎÁý¹âÉÔÎɤÎ
¤Þ¤Þ¤Ç¤¢¤ê¡¤ÊѲ½¤Ë˳¤·¤¤¡¥QRSÉý¤Ï3mm¤Ç´°Á´º¸µÓ¥Ö¥í¥Ã¥¯¤È¶èÊ̤¬Æñ¤·¤¤¡¥
¤·¤«¤·¡¤´°Á´º¸µÓ¥Ö¥í¥Ã¥¯¤À¤È±¦¼¼¤¬Àè¤Ë¶½Ê³¤¹¤ë¤¿¤áV6¤ÎSÇȤϤʤ¤¡¥
621, 626, 627, 657
13 B QTc¬Äê¤È¤½¤Î°ÕÌ£
¡¡QT»þ´Ö¤È¤Ï¿´ÅſޤÎqÇȤλϤޤ꤫¤éTÇȤνªÎ»»þ¤Þ¤Ç¤Î»þ´Ö¤Ç¤¢¤ê¡¤¿´¼¼¶Ú¤Î¼ý½Ì»þ´Ö(APD)¤òɽ¤¹¡¥¿´¶Ú¼ý½ÌÎϤ¬¶¯¤±¤ì¤Ð¿´¼¼¤Ë½¼Ëþ¤·¤¿·ì±Õ¤Ïû»þ´Ö¤Ç¶î½Ð¤Ç¤¡¤QT»þ´Ö¤Ïû¤¯¤Ê¤ë¡¥µÕ¤Ë¼ý½ÌÎϤ¬¼å¤¯¤Ê¤ë¤È¶î½Ð»þ´Ö¤¬Ä¹¤¯¤Ê¤êQT»þ´Ö¤Ï±äŤ¹¤ë¡¥¤Þ¤¿¿´Çï¿ô¤Ë¤â±Æ¶Á¤ò¼õ¤±¡¤¸ò´¶¿À·Ð»É·ã¤Ç¿´Çï¿ô¤¬Â¿¤¯¤Ê¤ë¤È¡¤¿´¶Ú¼ý½ÌÎϤâÁý²Ã¤¹¤ë¤¿¤á¤Ë QT»þ´Ö¤Ïû¤¯¤Ê¤ë¡¥ QT»þ´Ö¤Ï¿Þ35-A¤Ë¼¨¤¹ÊýË¡¤Ç¬Äꤵ¤ì¤ë¡¥UÇȤˤĤ¤¤Æ¤ÏÌ®Ç郎ÃÙ¤¤¤È¤¤Ë¤è¤¯½Ð¸½¤¹¤ë¤¬¡¤Ä㥫¥ê¥¦¥à·ì¾É¤Ç¤Ïɬ¿Ü¤Î½ê¸«¤Ç¤¢¤ë¡¥ TÇȤÎÇȹâ¤Î1/2¤è¤êÂ礤¤¾ì¹ç¤Ï UÇȤνªÎ»»þ¤Þ¤Ç¤ò´Þ¤á¤ë¤¬¡¤¤½¤ì°Ê²¼¤ª¤è¤ÓÆÈΩ¤·¤¿UÇȤξì¹ç¤ÏTÇȤνªÎ»»þ¤Ç·×¬¤¹¤ë¡¥¤·¤¿¤¬¤Ã¤ÆÆÈΩ¤·¤¿UÇȤÏQT»þ´Ö¤Ë´Þ¤á¤Ê¤¤¤³¤È¤Ë¤Ê¤ë¡¥
¡¡Àµ¾ï¿´ÅſްÂÀÅ»þ¤Ç¤ÎQT»þ´Ö¤È¿´Çï¿ô¤È¤Î´Ø·¸¤ò·×¬¤¹¤ë¤È¿Þ35-B¤Î¤è¤¦¤Ë¿´Çï¿ô¤ËÂФ·¤ÆÄ¾ÀþŪ¤Ë¸º¾¯¤¹¤ë¡¤¤½¤³¤Ç¿´Çï¿ô¤Î±Æ¶Á¤ò½ÐÍè¤ë¤À¤±¾¯¤Ê¤¯¤¹¤ë¥¤¥ó¥Ç¥Ã¥¯¥¹¤òµá¤á¤ëÊýË¡¤È¤·¤ÆBazett¤ÏRR´Ö³Ö¤ò¤â¤Á¤¤¤Æ°Ê²¼¤Ë¼¨¤¹ÊäÀµ¼°¤ò¹Í°Æ¤·¡¤QTc¤È¤è¤Ö¤³¤È¤Ë¤·¤¿¡¥
QT (msec), RR (sec)
¤³¤³¤ÇQT¤Ïmsec¡¤RR´Ö³Ö¤ÏÉäȤ¹¤ë¡¥¤³¤Î¼°¤«¤éʬ¤«¤ë¤è¤¦¤Ë¿´Çï¿ô¤¬ 60°Ê²¼¤Ç¤¢¤ë¤ÈʬÊ줬1°Ê¾å¤Ë¤Ê¤ê¡¤QTc¤Ï¾®¤µ¤ÊÃͤˤʤꡤ¿´Çï¿ô¤¬Â礤¯¤Ê¤ë¤ÈÂ礤ÊÃͤËÊäÀµ¤µ¤ì¤ë¡¥¤³¤ÎÊäÀµ¤Ë¤è¤ëQTc¤ÈǯÎð¤Î´Ø·¸¤ò¿Þ35-C¤Ë¼¨¤¹¡¥·¹¸þ¤È¤·¤Æ¤Ï¡¤QTc¤Ë10ºÍ¤Þ¤Ç¤ÏÃ˽÷¤Îº¹¤Ï¤Ê¤¤¡¥¤·¤«¤·10ºÍ¤ò±Û¤¨¤ë¤È½÷À¤ÏÊѲ½¤¬¾¯¤Ê¤¤¤¬¡¤ÃËÀ¤ÎQTc¤ÏµÞ·ã¤Ë²¼¹ß¤·¡¤25ºÍÄøÅ٤ǺǾ®¤Ë¤Ê¤ë¡¥¤½¤Î¸å¡¤Î¾¼Ô¤ÏǯÎð¤È¶¦¤Ë´Ë½ù¤ËÁý²Ã¤·¡¤80ºÍ¤ò±Û¤¨¤ë¤ÈµÞ·ã¤ËÁý²Ã¤¹¤ë¡¥ Ê¿¶Ñ¤È¤·¤ÆÀ®¿ÍÃËÀ¤Ï400 msec¡¤½÷À¤Ï414 msec¤Ç¡¤ÃˤÎÊý¤¬¿´¶Ú¼ý½ÌÎϤ¬Á᤯¡¢20ºÍ¤¬ºÇ¤âÎ϶¯¤¯¡¤Î¾¼Ô¶¦¤Ë80ºÍ¤ò²á¤®¤ë¤ÈµÞ·ã¤Ë¿ê¤¨¤ë¤³¤È¤ò¼¨¤·¤Æ¤¤¤ë¡¥ÆüËÜ½Û´Ä´ï³Ø²ñ¿ÇÃÇ´ð½à¤Ë¤è¤ë¤È¡¤QTc¤¬ 480msec°Ê¾å¤¬3ÅÀ¡¤460¡Á479 msec¤¬2ÅÀ¡¤450¡Á459 msec¤¬1ÅÀ¤Î²ÃÅÀ¤òÉÕ¤±¤Æ¤¤¤ë¡¥¿Þ35-D¤ËQT-¿´ÇïºÂɸ¤Ë¤ª¤±¤ëQTc¤Î´Ø·¸¤ò¼¨¤·¡¤É½35-E¤ËQT±äĹ¾É¸õ·²¤Î¿ÇÃÇ´ð½à¤ò¼¨¤¹¡¥Í×Ì󤹤ë¤ÈQTc¤È¤Ï¿´¼ý½ÌÎϤÎɾ²Á»ØÉ¸¤Ç¤¢¤ë¤È¶¦¤Ë¡¤QRSÉý¤ÎÊѲ½¤¬¾¯¤Ê¤¤¤³¤È¤è¤êTÇȤÎÉý¤Î±äŤ¬ºÇ¤âÂ礤ʰø»Ò¤È¤Ê¤ë¡¤¶Ëü¤Ê¹â¥«¥ê¥¦¥à·ì¾É¤ÇȯÀ¸¤¹¤ëIVCD¤Ç¤ÏQTc¤Ï¶ËÅ٤˱䍷¡¤R on T¤Ë³¤¯VT¤Îȯ¸½¤ÏÅöÁ³¤Î»ö¤È¤·¤Æ¹Í¤¨¤é¤ì¤ë¡¥

¿Þ35-A QT»þ´Ö¤Î¬ÄêË¡
QT»þ´Ö¤Î¬Äê¤ÏqÇȤλϤޤ꤫¤éTÇȤνªÎ»»þÅÀ¤òÌܻؤǷèÄꤹ¤ë¤è¤ê¡¤TÇȤβ¼¹ßÉô¤ÎÀÜÀþ¤òÁª¤Ö¤Î¤¬°ÂÁ´¤Ç¤¢¤ë(A)¡¥UÇȤÏÀµ¾ï¿´Åſ޽ФâÌ®Ç郎ÃÙ¤¯¤Ê¤ë¤ÈȯÀ¸¤¹¤ë¤¬¡¤Ä㥫¥ê¥¦¥à·ì¾É¤Ç¤Ïɬ¤ºTÇȤ˳¤¤¤Æ½Ð¸½¤¹¤ë¡¥¤³¤Î¾ì¹ç¡¤B¤Ë¼¨¤¹¤è¤¦¤ËTÇȤÎÇȹâ¤Î1/2°Ê²¼¤Ç¤¢¤ì¤ÐͤϤò̵»ë(B)¡¤1/2°Ê¾å¤Ç¤¢¤ì¤ÐUÇȤβ¼¹ßÉô¤ÎÀÜÀþ¤Ç½ªÅÀ¤òÄê¤á¤ë(C)¡¥

¿Þ35-B °ÂÀÅ»þ¿´ÅſޤÈQT»þ´Ö¤È¿´Çï¿ô¤Î´Ø·¸
ÊÆ¹ñ4ɱ¡¤Ç¤Î(½÷À4883¿Í¡¤ÃËÀ5420¿Í)¤Î¼«Æ°·×¬¤ÇÀµ¾ï¤È¿ÇÃǤµ¤ì¤¿¥Ç¡¼¥¿¡¥Ä¾Àþ²óµ¢¤Çy=-19+527¤¬ÆÀ¤é¤ì¤¿¡¥Çò´Ý¤¬ºÇ¤âÉÑÅÙ¤¬¹â¤¯²óµ¢Ä¾Àþ¤Ë½¸Ã椷¤Æ¤¤¤ë¡¥
(ʸ¸¥¡§LuoS, et. al. A comparion of commonly used QT correction formula
: The effect of heart rate on the QTc of normal ECGs. J Electorcaridol.
2004:37(Suppl):81-90)

¿Þ35-C Bazett¼°¤ÇÊäÀµ¤·¤¿QTc¤ÎÃ˽÷ÊÌǯÎð¿ä°Ü
ÀÖ¥Þ¡¼¥¯¤ÏÃËÀ¡¤¹õ¥Þ¡¼¥¯¤Ï½÷À¡¥
(ʸ¸¥¡§½©»³½Óͺ QT´Ö³Ö¤Ë¤è¤ë¿´µ¡Ç½É½²½¤Èͽ¸å¤Îͽ¬¡¥
ÆüËÜ¿´Åſ޳زñ»ï 2013, 33:223-246 ¤è¤ê°ìÉô²þÊÑ)

¿Þ35-D QT-¿´ÇïºÂɸ¤Ë¤ª¤±¤ëQTc¤Î´Ø·¸
Ê¿¶ÑQt¿´ÇïľÀþ¤òNormal line¤È¤·¤ÆQTc¤Î±äĹÃͤòÇËÀþ¤Ç¼¨¤¹¡¥¼ÂÀþ¤ÏQTc¤¬480 msec¤Ç¿ÇÃÇ´ð½à¤Ë¤è¤ë¤È¥°¥ì¡Ý¥É3¤Ë¤¢¤¿¤ë¡¥Normal line¤Î²¼Êý¤Ë¼¨¤¹¶ÊÀþ¤ÏSQT¤Î¿ÇÃÇ´ð½à¤ËÁêÅö¤¹¤ë¡¥

ɽ35-E QT±äĹ¾É¸õ·²¤Î¿ÇÃÇ´ð½à
QT±äĹ¾É¸õ·²¤ÈBrugada¾É¸õ·²¤Î¿ÇÎŤ˴ؤ¹¤ë¥¬¥¤¥É¥é¥¤¥ó(2012)¤è¤ê¡¥
QTc¤Ë¤è¤ë¿´µ¡Ç½É½²½¤Èͽ¸å¤Îͽ¬"
QTc¤Î¼°¡§
Bazett: QTcB=QT/(RR)1/2
Friderica:QTcF=QT/(RR)1/3
Hodges: QTcH=QT+105(1/RR-1)
Bazett¡¤Friderica¡¤Hodges¤ÎÊäÀµ¼°¤Ç¤ÏRR¤Îñ°Ì¤Ïsec¤ò»ÈÍѤ¹¤ë¡¥
Framingham: QTcFr=QT+0.154(1000-RR)
RR¤Îñ°Ì¤Ïmsec¤ò»ÈÍѤ¹¤ë¡¥

Ê¿¶Ñ¡§À®¿ÍÃËÀ 400msec, ½÷À 414msec
ÃˤÎÊý¤¬¿´¶Ú¼ý½ÌÎϤ¬Á᤯¡¢20ºÍ¤¬ºÇ¤âÎϤĤ褤¡¥

¿ÇÃÇ
QTc 480ms °Ê¾å 3
460ms °Ê¾å 2
450ms °Ê¾å 1
ÆüËÜ½Û´Ä´ï³Ø²ñ¿ÇÃÇ´ð½à
gnuplot
set grid
set xrange [40:160]
plot 480*sqrt(60)/sqrt(x) with lines lw 2 dt 1
replot 460*sqrt(60)/sqrt(x) with lines lw 2 dt 2
replot 450*sqrt(60)/sqrt(x) with lines lw 2 dt 3
replot -1.9*x+527 with lines lw 2
replot 360*sqrt(60)/sqrt(x) with lines lw 2 dt 4
replot 340*sqrt(60)/sqrt(x) with lines lw 2 dt 5
replot 330*sqrt(60)/sqrt(x) with lines lw 2 dt 6
lqt.gif
QT»þ´Ö¤¬R-R´Ö³Ö¤Î1/2°Ê¾å¤Ç¤¢¤ì¤Ðlong QT, ¤¹¤Ê¤ï¤ÁQT±äĹ¾É¸õ·²¤È¤¤¤¦¡¥
Ä㥫¥ê¥¦¥à·ì¾É¤ÎUÇȤÏTÇȤβ¼¹ßÉôʬ¤ÈÍ»¹ç¤·¤Æ¤¤¤ë¤¿¤á¤ËUÇȤÏQT»þ´Ö¤Ë
´Þ¤àÊý¤¬¤è¤¤¡¥
¤·¤«¤·½ùÌ®¤ÇȯÀ¸¤¹¤ëUÇȤÏQT»þ´Ö¤Ë´Þ¤á¤Ê¤¤¤Î¤¬ÂÅÅö¤Ç¤¢¤ë¡¥
1.5 mEq/L¤ÎÄãK·ì¾É
UÇȤξå¤ËPÇȤ¬¾è¤Ã¤Æ¤¤¤ë¡¥
Romano-Word syndrome
QT±äĹ¾É¸õ·²¤Ç²¿Å٤⼺¿Àȯºî¤òµ¯¤³¤·¤Æ¤ë¡¥±¢ÀTÇȤËÍÛÀUÇȤ¬¸«¤¨¤ë¡¥
ÄãCa·ì¾É
ST¥»¥°¥á¥ó¥È¤Ï¥Õ¥é¥Ã¥È¤Ç±äŤ¹¤ë¡¤TÇȤÎÇÈ·Á¤ÏÀµ¾ï¡¤
QT±äĹ¾É¸õ·²¤Ç²¿Å٤⼺¿Àȯºî¤òµ¯¤³¤·¤Æ¤ë¡¥±¢ÀTÇȤËÍÛÀUÇȤ¬¸«¤¨¤ë¡¥
R on T¤«¤éTorsades de Pointes
TÇȤξå¤Ç¿´¼¼´ü³°¼ý½Ì¤Ë»÷¤¿ÉûÅÁƳ¤¬È¯À¸¡¤2ÃÊÌ®¤Ç¤¢¤ë¡¤¤½¤Î¸å¡¤¥È¥ë¥µ¥Ç¥Ý¥¢¥óȯÀ¸¡¥
ºÇ¶á¤ÎQT±äĹ¾É¸õ·²¡¤°äÅÁ»ÒÁíÀâ
QT±äĹ¾É¸õ·²¤Î¿´ÅÅ¿ÞÊѲ½
Short QT Syndrome
Short QT Syndrome.pdf
14-1 JÇÈÉÕ¤¤Î¾å¸þ¤TÇȤÏscooped¤È¤¤¤¦¡¥Benign Early Repolarisation (BER)
14-2 JÇÈÉÕ¤¤Î¾å¸þ¤TÇȤÏscooped¤È¤¤¤¦¡¥PRD¤¬¸«¤é¤ì¤ë¡¥pericarditis. cf 10-1
ȿžTÇÈ¡¥
14-3 »Í»èʿóTÇÈ(NSSTC)¡¤¶»Éô¤ÏÂоηÁ¤Î±¢ÀTÇÈ¡¤µõ·ìÊѲ½¡¥
14-4 »Í»èȿžTÇÈ¡¤aVF¤ÏÀµ¾ï¡¤¶»Éô¤Ï¤¹¤Ù¤ÆÈ¿Å¾¤·¡¤¿¼¤¤TÇÈ¡¥wandering P,
µõ·ìÊѲ½¡¥
GE #93 ¶¯¤¤»þ·×²óž¡¤¶»ÉôͶƳ¤Ï¿¼¤¤È¿Å¾TÇÈ¡¤Non-Q MI.
14-5 II,III,aVF¤Î°Û¾ïQÇÈ¡¤III¤Ï¾åTÇÈ¡¤V1¡ÁV6¤Î¿¼¤¤È¿Å¾TÇÈ¡¥LAE.
ischemia, CNS, electrolyte, pericarditis, IWMI. Î×¾²È½ÃÇ¡¥
14-6 TR¤¬V1¡ÁV2, RVH¤Îµ¿¤¤¤¬¤¢¤ë¤¬¡¤¤½¤Î¾ì¹çÈóÂоÎTÇȤǤ¢¤ë¡¥ÂоÎÀTÇȤÇ
¥¹¥È¥ì¥¤¥ó¤Ç¤Ï¤Ê¤¤¤Î¤ÇÈÝÄê¤Ç¤¤ë¡¥
¥Æ¥ó¥È¾õTÇÈ
14-7 V2,V3¤Ï¥Æ¥ó¥È¾õTÇȤˤߤ¨¤ë¤¬¡¤»Í»è¤ò´Þ¤à¾¤Ç¤ÏTÇȤϾ®¤µ¤¤¡¥
Q-T±äŤÏÄãCa·ì¾É¡¤»Í»è¤ÎÄãÅṲ̋϶»¿å¡¥RAE¤ÈLAE¡¤V5¤ÈV6¤ÎSTÄã²¼¤ÈµÕžTÇÈ¡¥
cf 14-18¤ò»²¾È¤¹¤ë¤È¡¤V6µÕžTÇȤϻϤá¤Ë±ú¡¤¼¡¤ËÆÌ¤Î2ÁêÀ¤Ç¤¢¤ë¡¥
14-8 V2¡ÁV5¤Þ¤Ç¤Ï¥Æ¥ó¥È¾õTÇȤǤ¢¤ë¤¬¡¤¤½¤Î¾¤Ï¾®¤µ¤¤¡¥IVCD, ¹âK·ì¾É¡¥
V6¤ÇRBBBÍÍRSÇȤˤʤäƤ¤¤Ê¤¤¤¬IVCD¤Ç¤¢¤ë¡¥
14-9 AV sissociation¡¤wide-complex tachycarda.
final¤Ç¤ÏQRSÉý¤¬0.12Éðʾå¤Ç¿´Çï100 bpm°Ê¾å¤ÈÄêµÁ¤·¤Æ¤¤¤ë¡¥
¤µ¤é¤ËÀŻ߾õÂÖ¤¬¤Ê¤¤¾õÂÖ¤³¤È¤¬É¬Íס¥V2¤Ç¤ÏPÇȤ¬¸«¤é¤ì¤ë¤¬Ë¼¼¼²òÎ¥¤¬
ȯÀ¸¤·¤Æ¤¤¤ë¤«¤éVT¤ÈȽÃǤǤ¤ë¡¥
14-10 ¹â¤¯¡¤Éý¹¤¯¡¤´Ý¤¤TÇÈ¡¥CNS¤Þ¤¿¤Ï¹âK·ì¾É¡¥TR¤ÏV2¡ÁV3¡¥2ÁêÀ¤ÎTÇÈ¡¥
14-11 3rd AV block LBBBÍͤÎventricular escape¡¤IVCD¤Ç¤Ï¤Ê¤¤.
14-12 hyperacute AMI¡¥²¼Êɱ¦¼¼¹¼ºÉ¡¥I, aVL¤ÎSTÄã²¼¤Ï¥ß¥é¡¼¥¤¥á¡¼¥¸¡¤V1¡ÁV4
¤ÎST¾å¾º¤Ï¸åÊɹ¼ºÉ¤Î¥ß¥é¡¼¥¤¥á¡¼¥¸¡¥
14-13 ʿóTÇÈ¡¤LAH¡¤V1¤À¤±¤¬ÈóÂоÎTÇȤǡ¤»Ä¤ê¤ÏÂоÎTÇÈ¡¤°ÊÁ°¤ÎECG¤ò»²¾È¡¥
14-14 AV dissociation, Junctional escape beat. V2¤ÎST¾å¾º¡¥
CNS¼À´µ¤ÇÉý¹¤¤È¿Å¾TÇÈ
14-15 ÂоηÁ¤Ç¿¼¤¤µÕžTÇȤÏCNS¼À´µ¤Îŵ·¿¡¥
14-16 PVC, »Í»èÄãÅŰ̡¤II, III, aVF¤ÎÉý¹¤¤È¿Å¾TÇÈ¡¤TR¤ÏV4¡ÁV5¡¤V4¡ÁV6¤ÎSTD¡¤
PÇȤÏ̵¤¯¡¤Junctional escape, LVH¤ÈȽÃÇ¡¥
CNS¼À´µ¤Ç¤¢¤ë¡¥V1¡ÁV3¤ÇTÇȤβ¼¹ßÉô¤Ë±£¤ì¤¿PÇȤ¬¸«¤¨¤ë¡¥
14-17 »Í»èÉý¹TÇÈ¡¤V1¤ÏST¾å¾º¡¤V2,V3¤ÏÊèÀÐÍÍ¡¤V4¡ÁV6¤ÏST¾å¾ºÈ¿Å¾TÇÈ¡¥
Á°ÊÉÃæ³Ö¹¼ºÉ¤Î͵ÞÀ´ü¡¥
14-18 »Í»èʿóST¥»¥°¥á¥ó¥È¡¤¶»Éô2ÁêÀTÇȤǡ¤Ê¿Ã³ST¥»¥°¡¥QT±äĹ¡¤
ÄãCa·ì¾É¡¥14-7¤Ï¹âK·ì¾É¡¤ÄãCa·ì¾É¤Ç¤¢¤ë¡¥TÇȤϾ®¤µ¤¯¡¤ST¥»¥°¤Ïʿó¡¤
QT±äŤ¬ÆÃħ¡¥V6¤âƱÍͤË2ÁêÀTÇȤˤʤäƤ¤¤ë¡¥
µõ·ì½ý³²
14-19 ¥Õ¥é¥Ã¥È¤ÊSTÄã²¼¤ÎTÇÈ¡¥TÇȤ½¤Î¤â¤Î¤Ï¾å¸þ¤¡¥
severe inferolateral ischemia.
14-20 II, III, aVF¤ÎSTE¡¤I,aVL¤Î¥ß¥é¡¼¡¤V1¡ÁV5¤ÎSTD¡¥²¼Êɱ¦¼¼¹¼ºÉ¡¥
¸åÊɹ¼ºÉ¤È¤¹¤ë¤ÈV6¤Î¹¼ºÉÊѲ½¤¬¤Ê¤¤¡¥¤·¤¿¤¬¤Ã¤Æ¹¼ºÉ¤Ï±¦¼¼¤«¡©
V4¡ÁV6¤Ï¥¹¥È¥ì¥¤¥ó¤ÇLVH¤ÈÆÉ¤á¤ë¡¥
14-21 II, III, aVF¤Î°Û¾ïQÇȤÈST¾å¾º¡¤V1¡ÁV4¤ÎÊèÀÐÍÍÇÈ·Á¡¤V1¤ÎQSÇÈ¡¤
V5¡ÁV6¤ÎQÇȤÈSTE¡¥
²¼Êɹ¼ºÉ¡¤Á°ÊÉÃæ³Ö¤Ï¹¼ºÉ¤«¿´¼¼á¤ÏÎ×¾²È½ÃÇ¡¥°ìÈ̤ËV6¤Þ¤Ç¤Î
¿´¼¼áî¤Ï¤Ê¤¤¡¥
14-22 ¿åÊ¿¤ÊST¤Ïµõ·ìÈ¿±þ¡¤V1¡ÁV4¤Þ¤Ç¤ÎÊèÀÐÍÍTÇÈȿž¡¥
II, III, aVF¤ÎTÇȤÏÈóÂоΤÇÀµ¾ï¤Ç¤¢¤ë¤«¤é¡¤¤½¤ÎqÇȤÏÀµ¾ï¤È¹Í¤¨¤ë¡¥
Á°Êɹ¼ºÉ¤«¿´¼¼á¡©
¥¹¥È¥ì¥¤¥ó¡¤Strain Pattern
JÅÀ¤Ï²¼¹ß¡¤²¼¸þ¤±ú¤ÎST¥»¥°¥á¥ó¥È¡¤È¿Å¾ÈóÂоÎTÇȤ¬ÆÃħ¡¥
14-23 ÇÙÀPÇÈ¡¤±¦¼´Êа̡¤II, III, aVF¤Î¥¹¥È¥ì¥¤¥óTÇÈ¡¤V1, V2¤Î¹âRÇȤÈ
¥¹¥È¥ì¥¤¥ó¡¤V6¤ÎRSÇÈ¡¤±¦¼¼ÈîÂç¡¥
14-24 RBBB¡¤¶»ÉôͶƳ¤Ï14-23¤È»÷¤Æ¤¤¤ë¤¬QRSÉý¤Ï0.12Éðʾå¤Ç¤¢¤ê¡¤V6¤ÎSÇȤÏ
¥¹¥é¡¼¡¥
14-24 ±¦¼´Êа̡¤Î¾¿´Ë¼ÈîÂ硤1SQ3T3¡¤º¸¼¼¹âÅṲ̋è¤êº¸¼¼ÈîÂ硤ξ¿´¼¼ÈîÂç¡¥
º¸¼¼ÈîÂ礬¤¢¤ë¤ÈV1, V2¤ÎRÇȤϱ£¤ì¤ë¡¥
14-53 pericarditis, early repolarization, PRD¤¬0.8mm°Ê²¼¡¥
14-54 pericarditis, early repolarization, PRD¤¬0.8mm°Ê¾å¤ÏͰ١¥
14-55 early repolarization (early ropol)
14-57 IVCD
14-58 CRBBB+LAH
14-59 CLBBB+¦Êɵõ·ì¡¤LBB¤Ç¤Î²¼ÊÉSTD¤ÏÀµ¾ïÈ¿±þ¡¥
15-13 CRBB¤ÈLAH¤ËȯÀ¸¤·¤¿µÞÀÁ°ÊÉÃæ³Ö¹¼ºÉ¡¥
I,aVL¤ÎSTE¡¤II,III,aVF¤ÎSTD¡¤V1-3¤ÎSTE¡¤V4¤Ç¤Ï¿åÊ¿ST¥»¥°¤¬¤ß¤¨¤ë¡¥
V5-6¤ÏÂ礤ÊSÇȤθå¤Ë¾å¸þ¤TÇȤ¬¤ß¤¨¤ë¡¥
I,aVL¤ÎSTE¤è¤ê¹â°Ì¦ÊÉAMI¤ò¿ÇÃÇ¡¥
Ä̾ï¤ÎCRBBB¤Ï13-14, 13-15¤Ç¸«¤é¤ì¤ë¡¥
15-25 ²¼Êɱ¦¼¼¹¼ºÉ¡¥
15-26 ²¼Êɱ¦¼¼¹¼ºÉ¡¥
15-27 ²¼Êɱ¦¼¼¹¼ºÉ¡¥V4¤ÈV5¤ÎSTÉôʬ¤Î¿¶Æ°¤ÏÉÔÌÀ¡¥
15-28 Posterior Wall AMI
15-29 ¸Å¤¤IWMI¤ÈPWMI¤ÈLWMI¡¤¿´¼¼¿´ÇPosterior Wall AMI
15-30 µÞÀIWMI¤ÈPWMI¤ÈLWMI
15-31 µÞÀIWMI¤ÈPWMI¤ÈLWMI
15-32 LBBB¤ËµÞÀIWMI¤ÈPWMI¤ÈLWMI
15-33 µÞÀIWMI¤ÈPWMI¤ÈRVMI
15-34 µÞÀIWMI¤ÈPWMI¤ÈRVMI¡¤V1¤ÎSTD¤Ï¤Ê¤¯¡¤V4-V6¤Þ¤Ç¤ÎSTD¡¤V6R¤ÎSTE¡¤
II¤è¤êIIIͶƳ¤ÎSTE¤¬±¦¼¼¹¼ºÉ¤ÎÆÃħ¤Ç¤¢¤ë¡¥
15-35 µÞÀIWMI¤ÈPWMI¤ÈRVMI¡¤V5-V6¤ÎSTE¤¬¾¯¤Ê¤¤¤¿¤á±¦´§Æ°Ì®Ëܴɤι¼ºÉ¤È
¹Í¤¨¤ë¡¥
16-6 ¹âK·ì¾É¤Ë¤è¤ëIVCD
16-7 ¹âK·ì¾É¤Ë¤è¤ëIVCD
16-8 ¹âK·ì¾É¤Ë¤è¤ëIVCD
16-9 ¹âK·ì¾É¤Ë¤è¤ëIVCD
16-10 ¹âK·ì¾É¤Ë¤è¤ëIVCD¡¤PÇȤÏwandering atrial pacemakter.
16-11 ¹âK·ì¾É¤Ë¤è¤ëIVCD
16-12 ¹âK·ì¾É¤Ë¤è¤ëIVCD
16-13A ¹âK·ì¾É¤Î¥Æ¥ó¥È¾õTÇÈ
µÞÀ¿´³°Ëì±ê¤ÏPR¥»¥°¥á¥ó¥È¤¬Äã²¼¤·¡¤ST¾å¾º¤È´Ö°ã¤¨¤ë¡¥
¤è¤¯¸«¤ë¤È¡¤¤¹¤Ù¤Æ¤Î»Í»èͶƳ¤ÎST¾å¾º¤Ç¤¢¤ë¡¥Íýͳ¤Ï¡¤
¿´Ç¹¤Ë¿å¤¬Ãù¤Þ¤ê¡¤¿´³°Ë즺Ù˦³°ÅṲ̋ÎÅŰÌÄã²¼¤Ë¤è¤ë¡¥
¶»ÉôͶƳ¤ÏR, L, FÅṲ̋¬¥ß¥Ã¥¯¥¹¤µ¤ì¤ë¤¿¤á¡¤ST¾å¾º¤Î¿ÇÃÇ¤ËÆñ¤¬¤¢¤ë¡¥
Ê̤ιͤ¨Êý¤ÏPRD (PR depression) ¤Ç¤¢¤ë¡¥¤·¤«¤·´ðÀþ¤«¤é¸«¤Æ¤âST¾å¾º¤ò¤·¤Æ¤¤¤ë¡¥
PRD¤ÎÍý¶þ¤¬¤ï¤«¤é¤Ê¤¤¡¥ÄãÅṲ̋Ͽ´Åſ޿®¹æ¤ÎϳÅŤˤè¤ë¡¥VͶƳ¤Ç¤âÄãÅŰ̡¥
prd.png #191
IMG_20170912_0005.pdf
final p.142¤è¤ê¡§
ÀܹçÉôĴΧ¡§II¤ÇPÇȲ¼¸þ¤¡¤QRS¤ÎÁ°¤Ç¤Ï0.12ÉÃ°ÊÆâ¡¤¸å¤Ç¤Ï0.19ÉÃ°ÊÆâ¡¥
Àµ¾ïPÇÈ
PÇȤÎÅŵ¤¼´¤Ï0¡Á75¡ë¡¤Junctional P¤Ï-60¡Á-80¡ë¡¥p.91
P-mitrale(LAE): p.93
I¤Þ¤¿¤ÏII¤ÇÉý¤¬0.12s°Ê¾å¡¤hump¤ÎĺÅÀ´Ö¤¬0.04s°Ê¾å¡¥
ĺÅÀ´Ö¤¬0.04s°Ê²¼¤Ê¤éLAE¤È¤Ï¿ÇÃǤǤ¤Ê¤¤¡¥
P-pulmonale(RAE): p.99
¹â¤µ¤¬2.5mm°Ê¾å¡¥¤½¤ì°Ê²¼¤Ê¤éRAE¤Ç¤Ï¤Ê¤¤¡¥
V1ͶƳ¤ÎPÇȾ®¤µ¤¯¡¤¥Õ¥é¥Ã¥È¤Ë¤Ê¤ë¤³¤È¤¬¤¢¤ë¡¥
Åŵ¤¼´¤¬±¦ÊýÊаܤǡ¤RAE¤Ê¤é¡¤LPH¤Ï¸ºß¤·¤Ê¤¤¡¥
¿´Ë¼ÆâÅÁƳÃÙ±ä(IACD)¡§p.105
V1¤Ç2ÁêÀ¤ÎPÇȤǤ¢¤ë¤¬¡¤»Í»èͶƳ¤ÇÇÙÀPÇȤäÁÎ˼ÀPÇȤˤʤé¤Ê¤¤¾õÂÖ¡¥
ex1 V1¤ÎÁ°È¾¤Î¹â¤µ¤¬V6¤Î¹â¤µ¤è¤êÂ礤¤¾ì¹ç -> RAE¤Î²ÄǽÀ¤¬¹â¤¤¡¥
ex2 V1¤Î¸åȾ¤Î´Ù±ú¤¬1mm¤è¤êÉý¤¬¹¤¤¾ì¹ç -> LAE¤Î²ÄǽÀ¤¬¹â¤¤¡¥
ξ¿´Ë¼³ÈÂç(BAE)¡§p.117
ex1 IIͶƳ¤ÎÇÙÀPÇÈ¡ÜV1¤Î2ÁêÌܤδٱú
ex2 IIͶƳ¤ÎÁÎ˼PÇÈ¡ÜV1¤Î1ÁêÌܤγÈÂç
final p.79
˼¼¼ÀܹçÉôĴΧ¡¥A-V junctional rhythm.
Àµ¼°¤Ë¤Ï¿´Çï¿ô40¡Á60ÄøÅ٤ǡ¤QRS¤ÎÉý¤Ï120m sec°Ê²¼¤ÇÀµ¾ïÇÈ·Á¡¥
ƶ˼ĴΧ¤¬·ç»¤¹¤ë¤¿¤á¤Ë˼¼¼·ëÀá¤ÎÆó¼¡Ä´Î§¤È¤Ê¤ë¡¥
µÕ¹ÔÀ¤Ë¿´Ë¼ÇÈ·Á¤¬QRS¤Î¸å¤Ç¸«¤¨¤ë¤³¤È¤¬¤¢¤ë¡¥
¾å¿Þ¤Ï¿´Çï¿ô¤¬73¤Ç¤¢¤ë¤«¤é¡¤Â¥¿ÊÀÀܹçÉôĴΧ¤È¤è¤Ö¡¥
V1¤ÇRÇȤδÕÊÌ¿ÇÃÇ¡¥
Right ventricular hypertrophy
Right bundle branch block
Young children and adolesents
WPW type A
Posterior wall AMI ecg 11-22, GE #57
ecg 11-12, ŵ·¿Åª±¦¼¼ÈîÂç
ecg 11-13, Á°ÊÉÃæ³Ö¹¼ºÉ¤òʻȯ¤·¤Æ¤¤¤ë¤¿¤á¹âV1¤Ë¤Ê¤é¤Ê¤¤±¦¼¼ÈîÂç¡¥´ÕÊÌ¿ÇÃÇ¡¥
GE #28¤ÏII,III,aVF¤Î°Û¾ïQÇÈ¡¤V5-6¤Î°Û¾ïQÇȤˤè¤ê²¼ÊɦÊɹ¼ºÉ¡¤V1-2¤ÎRSÇȤÏ
¸åÊɹ¼ºÉ¤Î¤¿¤á¤Ë¹â¤¤RÇȤˤʤ롥
GE #35¤ÏAf¡¤V1¤ÎQR¡¤V2¤ÎrSR'¤½¤·¤ÆV6¤ÎsÇȤˤè¤êIRBBB¡¥
GE #57¤Ï¦ÊɸåÊɹ¼ºÉ¡¥V1-3¤ÏÂоÎÀ¹âTÇÈ¡¥
ge312.png
GE #312: ËÜÍ豦µÓ¥Ö¥í¥Ã¥¯¤Ç¤¢¤Ã¤¿ECG¤ËÁ°ÊɦÊɹ¼ºÉ¤¬È¯À¸¡¥
¤½¤Î·ë²Ì¡¤V1¤ÎrsR'¤Ç¤¢¤Ã¤¿ÇÈ·Á¤¬qR¤Ë¤Ê¤Ã¤¿¡¥V2-6¤Î¶Ëü¤ÊSTE¡¤
ÊèÀÐÍÍÇÈ·Á¤Ë¤Ê¤Ã¤Æ¤¤¤ë¡¥
I¡¤aVL¤âSTE¤¬¤ß¤é¤ì¡¤II, III, aVF¤âSTE¤ÈTÇȹâ¾å¾º¤¬¸«¤é¤ì¤ë¡¥
¤³¤ì¤ÏµÞÀ¹¼ºÉ¤Î½é´ü¾É¾õ¤Ç¤¢¤ë¡¥
12 Lead ECG p.253
ge #304 ¹¼ºÉ¸å¤Î±¦µÓ¥Ö¥í¥Ã¥¯¡¤µÕ¹ÔÀPÇȤ¬TÇȤΤ¢¤È¤Ë¤¢¤ë¡¥
TÇȤβ¼¹ßÉô¤¬±äĹ¡¤QTc¤¬¹¤¯¡¤K¤â¤·¤¯¤ÏMg¤ÎÅŲò¼Á°Û¾ï¡¥ÉÔÀ°Ì®¤ËÃí°Õ¡¥
His¤«¤é¤Ï¤¸¤á¤Ë±¦µÓ¤¬Ê¬»Þ¡¤¤½¤Î¸åº¸µÓ¤«¤éÁ°»Þ¤È¸å»Þ¤¬Ê¬Î¥¤¹¤ë¡¥
º¸µÓ¸å»Þ¤Ï¹¤¯»Þ¤ï¤«¤ì¤ò¤¹¤ë¤¿¤áº¸µÓ¸å»Þ¥Ö¥í¥Ã¥¯¤Ïµ©¤Ç¤¢¤ë¡¥
¿´ÅſޤÏV1¤ÇRSR'¡¤¤Þ¤¿¤ÏQR'¤Ë¤Ê¤ë¡¥V6¤Ç¤ÏSÇȤ¬³Îǧ¤Ç¤¤ë¡¥
R'ÇȤβ¼¸þ¤Ï¥¹¥é¡¼¡¤¤Þ¤¿SÇȤϱ¦¼¼¤ÎºÙ˦´ÖÅÁƳ¤Ç²¼¸þ¤â¾å¸þ¤â¥¹¥é¡¼¤Ë¤Ê¤ë¡¥
¡ú ±¦µÓ¥Ö¥í¥Ã¥¯¤Ç±¦¼¼ÈîÂç¤Ï¿ÇÃǤǤ¤Ê¤¤¤¬¡¤º¸¼¼¤Ë´Ø¤·¤Æ¤Ï¿ÇÃǤǤ¤ë¡¥
IRBBB¤ÈLAH¤Ï¿ÇÃDzÄǽ¡¥ecg 10-21
¤Þ¤¿¡¤±¦µÓ¥Ö¥í¥Ã¥¯¤ÈÁ°ÊÉÃæ³Ö¹¼ºÉ¤â¿ÇÃǤǤ¤ë¡¥GE #100
¡ú ÉÔ´°Á´±¦µÓ¥Ö¥í¥Ã¥¯¤ÏV1¤ÇrSR'¤Ë¤Ê¤é¤Ê¤¯¡¤rS¤Ç¡¤V2¤ÇrSR'¤Ë¤Ê¤ë¤â¤Î¤â¤¢¤ë¡¥
V6¤ÎS¤¬Â礤±¤ì¤Ð¤½¤Î¤è¤¦¤Ë¿ÇÃǤ¹¤ë¤¬¡¤V6¤ÎS¤¬¾®¤µ¤±¤ì¤ÐIVCD¤Î¿ÇÃǤ¬²Äǽ¤«¤â¤·¤ì¤Ê¤¤¡¥
¤Þ¤¿¡¤ÉÔ´°Á´±¦µÓ¥Ö¥í¥Ã¥¯¡¤±¦¼¼ÈîÂ硤IVCD¡¤¥Ö¥ë¥¬¥À¾É¸õ·²¤Ï¿ÆÀ̤ɤ¦¤·¤Ç¤¢¤ë¡¥
13-1
13-2
13-3
Luna: Clinical Electrocardiography p.162
±¦µÓ¥Ö¥í¥Ã¥¯¤ÎΩÂÎ¥Ù¥¯¥È¥ë¿Þ¡¥
20180729102729.png
rSR'·¿¤Î±¦µÓ¥Ö¥í¥Ã¥¯¤¬Ãæ³ÖÁ°Êɹ¼ºÉ¤ÇqR·¿¤Ë¤Ê¤ë¥á¥«¥Ë¥º¥à¡¥
IMG_20190922_0001.png
QRS < 0.12sec, Axis <-30¡ë(º¸¼´ÊÐ°Ì 205), final p.89
(º¸µÓÁ°»Þ¥Ö¥í¥Ã¥¯ 511)
Ãí°Õ¡§
º¸µÓÁ°»Þ¥Ö¥í¥Ã¥¯¤ÏIIͶƳ¤¬¡Ý¡¤¤·¤¿¤¬¤Ã¤Æ¡¤²¼Êɹ¼ºÉ¤ÎQÇȤȶèÊ̤¹¤ë
ɬÍפ¬¤¢¤ë¡¥É¬¤ºrÇȤθºß¤ò³Î¤«¤á¤ë¤³¤È¡¥BB p. 115.
LAFB¤Ç»þ¤ª¤êqÇȤ¬V2, V3¤Ç¸«¤é¤ì¤ë¤³¤È¤¬¤¢¤ë¤¬¡¤¤½¤ÎÉý¤Ï¶¹¤¯¡¤Á°Êɹ¼ºÉ¤Ç¤Ï¤Ê¤¤¡¥
°ìÈ̤ËLAFB¤Î¶»ÉôͶƳ¤ÏSÇȤ¬Â礤¯¤Ê¤ë¤¬¡¤ÆÃ¤Ë
GE #73¤ÏLAFB¤È¶¦¤ËV1-V6¤Þ¤ÇrSÇÈ·Á¤Ç¤¢¤ë¡¤
¶»ÉôͶƳ¤ÏPRP¤ÇV6¤ËSÇȤ¬È¯À¸¤¹¤ë¡¥¸å»Þ¥Ö¥í¥Ã¥¯¤È¶èÊ̤Ǥ¤Ê¤¤¡¥
»Í»èͶƳ¤ÎÅŵ¤¼´¤Î¤ß¤Ç¿ÇÃǤ¹¤ë¡¥
Luna: Clinical Electrocardiography p.184
20180729103222.png
QRS < 0.12sec, Axis >90¡ë(±¦¼´ÊаÌ), final p.90
Èó¾ï¤ËÄÁ¤·¤¤¡¥GE #100¤Ï1¡ë˼¼¼¥Ö¥í¥Ã¥¯¡¤Á°ÊÉÃæ³Ö¹¼ºÉ¡¤º¸µÓ¸å»Þ¥Ö¥í¥Ã¥¯¡¥
¶»ÉôͶƳ¤ÏPRP¤ÇV6¤ËSÇȤ¬È¯À¸¤¹¤ë¡¥Á°»Þ¥Ö¥í¥Ã¥¯¤È¶èÊ̤Ǥ¤Ê¤¤¡¥
»Í»èͶƳ¤ÎÅŵ¤¼´¤Î¤ß¤Ç¿ÇÃǤ¹¤ë¡¥
Luna: Clinical Electrocardiography p.189
20180729103422.png
BB p.128
º¸µÓ¥Ö¥í¥Ã¥¯¤ÎÆÃħ¤ÏV1¤ÇrS¡¤¤Þ¤¿¤ÏQSÇÈ·Á¤Ç¡¤¤³¤ÎÇÈ·Á¤ÏV4ÄøÅ٤ޤdz¤¯¡£
V6¤Ç¤ÏqÇȤΤʤ¤RÇȤÀ¤±¤ÎÇÈ·Á¤Ç¡¤RR'·¿¤Î¥Î¥Ã¥Á¤¬À¸¤¸¤ë¤³¤È¤â¤¢¤ë¡¥
¤Þ¤¿V6¤Ç¤ÏÅÁƳÃÙ±ä¤Î¤¿¤á¤ËVAT¤Ï0.05Éðʾå¤Ë¤Ê¤ê¡¤
¥Ç¥ë¥¿ÇÈÍͤΥ¹¥é¡¼ÇÈ·Á¤ò¼¨¤¹¤³¤È¤â¤¢¤ë¡¥¤³¤ì¤Ï±¦¼¼
Ãæ³Ö¿´¶Ú¤«¤éºÙ˦´Ö¶½Ê³ÅÁƳ¤Ë¤è¤ê¡¤º¸¼¼Ãæ³Ö¿´¶Ú¤ò¶½Ê³¤µ¤»¤ë¤¿¤á¤Ç¤¢¤ë¡¥
VAT¤ÏŤ¯¡¤ID¤ÏÀµ¾ï¤À¤«¤éRÇȤΥԡ¼¥¯¤Ï¸å¤Ë¤º¤ì¤ë¡¥
Ãæ³Ö¿´¶Ú¤Î±¦Êý¤Ø¤Î¶½Ê³¤¬¤Ê¤¤¤¿¤áI¤ª¤è¤ÓaVL¤Ç¤ÏqÇȤ¬¸«¤é¤ì¤Ê¤¤¡¥
º¸µÓ¥Ö¥í¥Ã¥¯¤Ë¤Ï´°Á´º¸µÓ¥Ö¥í¥Ã¥¯¤ÈÉÔ´°Á´º¸µÓ¥Ö¥í¥Ã¥¯¤¬¤¢¤ê¡¤
QRS < 0.12sec¤Ç¤¢¤ì¤ÐÉÔ´°Á´¡¤¤½¤ì°Ê¾å¤ÎÉý¤Ç¤¢¤ì¤Ð´°Á´º¸µÓ¥Ö¥í¥Ã¥¯¤Ç¤¢¤ë¡¥
´°Á´º¸µÓ¥Ö¥í¥Ã¥¯¤Ç¤ÏTÇȤÏRÇȤËÂФ·¤ÆµÕž(discordant)¤·¤Æ¤¤¤ë¤¬¡¤
ÉÔ´°Á´º¸µÓ¥Ö¥í¥Ã¥¯¤Ç¤¢¤ì¤Ð°ìÃ×(concordant)¤¹¤ë¤³¤È¤¬Â¿¤¤¡¥
¤³¤ì¤Ï¿´³°Ë즳èưÅṲ̋ÎÃٱ䤬¾¯¤Ê¤±¤ì¤Ð°ìÃפ·¡¤Â礤¤¤Èȿž¤¹¤ë¡¥
¤Þ¤¿°ì¸«¥Ç¥ë¥¿ÇȤΤ褦¤ÊRÇȤξ徺¤¬¸«¤é¤ì¤ë¤³¤È¤â¤¢¤ë¡¥
QRSÉý¤¬¹¤¤¤Û¤É¿´µ¡Ç½¤ÏÄã²¼¤¹¤ë¡¥¤Þ¤¿¶Ëü¤Ë¿´ÉÔÁ´¤Ë¤Ê¤ë¤ÈTÇȤÏ
°ìÃ×(concordant)¤ËÊѲ½¤¹¤ë¡¥¤½¤ÎÍýͳ¤ÏÉÔÌÀ¡¥
Åŵ¤¼´¤Ï¿åÊ¿²½¤¹¤ë¤ÈQRSÉý¤Ï¹¤¯¤Ê¤ê¡¤¼ý½Ìǽ¤ÎÄã²¼¤ò¼¨¤·¡¤
¿âľ²½¤¹¤ë¤È¿´¶Ú¾É¤òȼ¤¤Î¾¿´¼¼¤¬³ÈÄ¥¤¹¤ë(BB p.130)¡¥
BB p.128 fig 10.13¤è¤ê
º¸µÓ¥Ö¥í¥Ã¥¯¤Þ¤È¤á
Luna: Clinical Electrocardiography p.174
º¸µÓ¥Ö¥í¥Ã¥¯¤ÎΩÂÎ¥Ù¥¯¥È¥ë¿Þ¡¥
20180729103030.png
Á°ÊÉÃæ³Ö¹¼ºÉ¤Ç¤Îº¸µÓ¥Ö¥í¥Ã¥¯¡¥
Ãæ³Ö¹¼ºÉ¤¬¤Ê¤±¤ì¤ÐV1¤ËrÇȤϤʤ¯¡¤V6¤Ç¤ÏÃæ³Ö¤È¿´ÀíÉô¤«¤é¤Î¶½Ê³¤Î¤¿¤á¤ËV6¤ËÌî¤Ã¤Á¤¬°µÀ©¤¹¤ë¡¥
Ãæ³Ö¹¼ºÉ¤¬¤¢¤ì¤Ð¡¤V1¤ËrÇȤ¬À¸¤¸¤ë¤¬±¦¼¼Â¦Êɶ½Ê³¤Ç¤¢¤ë¡¥¤Þ¤¿¡¤V6¤ËqÇÈ¡¤ÆóÃʤÎRÇȤ¬È¯À¸¤¹¤ë¡¥
IMG_20190922_0002.png
Àµ¾ïTÇȤÎÇȹâ¤Ï»Í»èͶƳ¤Ç¤Ï6mm°Ê²¼¡¤¶»ÉôͶƳ¤Ç¤Ï12mm°Ê²¼¤Ç¤¢¤ê¡¤¤½¤ì°Ê¾å¤Ç¤¢¤ì¤Ð¹âTÇȤǤ¢¤ë¡¥RÇȤޤ¿¤ÏSÇȤÎ2/3°Ê¾å¤ò¹âTÇȤȤ¤¤¦¡¥¤µ¤é¤Ë¡¤º¸±¦ÂоΤǤ¢¤ë¤³¤È¤¬µá¤á¤é¤ì¤ë (p.325)¡¥
positive ÍÛÀTÇÈ
negative ±¢ÀTÇÈ
flipped ȿžTÇÈ (ËÜÍèÍÛÀTÇȤʤΤ˱¢ÀTÇȤˤʤ俾ì¹ç¤ò¼¨¤¹)
¹âK·ì¾É¡§ p.504 ecg 16-6.
¥Æ¥ó¥È¾õTÇȤÏ5.5mEq/L¤Ç¸«¤é¤ì¤ë¡¥
PR´Ö³Ö¤Î±äŤÏ6.5mEq/L°Ê¾å¡¤7.0mEq/L¤Ë¤Ê¤ë¤ÈPÇȤθº¼å¡¤
8.8mEq/L°Ê¾å¤À¤ÈPÇȤϾüº¤¹¤ë¡¥
·ìÞùK+¥¤¥ª¥óÇ»ÅÙ¤¬8.2mEQ/L¤ÎËýÀ¿ÕÉÔÁ´´µ¼Ô¤Î¿´Åſޡ¥
³ÈÄ¥À¿´¶Ú¾É(ÂýÄÛ)¡¤¿´ÆâËì²¼¹¼ºÉ¡¤Ç¾·ì´É¾ã³²
WJC-7-86.pdf
Luna: ECG text p.124
¿´ÈîÂç¤Ï¿´¶Ú¤ÎÈîÂç¤Ç¿´³Æ¹»¤Ï¿´¼¼ÍÆÀѤγÈÂç¤Ç¤¢¤ë¡¥
±¦¼¼ÈîÂç¤Ç¤ÏV1¤ÎRÇȤÎÁý¹â¤ÈÈóÂоÎTÇȤÎȿž¡¥
º¸¼¼ÈîÂç¤Ç¤ÏV5-6¤ÎRÇȤÎÁý¹â¤ÈÈóÂоÎTÇȤÎȿž¡¥
±¦¼¼³ÈÄ¥¤Ç¤ÏV1¤ÎrSR'¤ÎÁý¹â¤ÈÈóÂоÎTÇȤÎȿž¡¥
º¸¼¼ÈîÂç¤Ç¤ÏV6¤ÎqR¤È¹â¤¤ÂоÎÀTÇȤò¼¨¤¹¡¥
RVE: right ventricular enlargement
V1¤Þ¤¿¤ÏV2¤ÎSÇÈ+V5¤ÎRÇÈ > 35mm
¤¤¤º¤ì¤«¤Î¶»ÉôͶƳ > 45mm
aVF > 20mm
aVL > 11mm
I > 12mm
V4, V5, V6¤Ç±¢ÀTÇÈ
º¸¼¼³ÈÄ¥
±¢ÀTÇȤǤʤ¯¤Æ¤â¤è¤¤¡¥
V5, V6¤ÇST´Ù±ú¤ÎÍÛÀTÇÈ
II, III, aVF¤Î1mm°Ê²¼¤Î¾®¤µ¤ÊQÇÈ cf ecg 11-4, 11-5
LPFB¤Î½ü³°¿ÇÃǤËɬÍס¥
RVH¤Ï´ðËÜŪ¤Ë3Ä̤ê¤Î¿´ÅÅ¿ÞÇÈ·Á¤¬¤¢¤ë¡¥BB p.73
Á´¤Æ¤Î¥¿¥¤¥×¤Ç Axis > 90¡ë¤Ï¶¦Ä̤¹¤ë¡¥
1) V1¤ÎR/S > 1. TÇȤϥ¹¥È¥ì¥¤¥ó¤Ë¤Ê¤ë¡¥
11-12 ±¦¼´Êа̡¤È¿»þ·×²óž¡¤V4-6¤ÇSÇȤϤʤ¤¡¥V1¤ÏRS·¿¤Ç¤¢¤ë¡¥
11-13 V1¤ÎR/S¤Ï¾®¤µ¤¤¤¬¡¤V2¤ÇR/S >1, DDX¤Î·ë²Ì±¦¼¼ÈîÂç¤ÈȽÃÇ¡¥
V1-3¤Î¥¹¥È¥ì¥¤¥óT¤â±¦¼¼ÈîÂç¤ÎȽÃǺàÎÁ¤Ë¤Ê¤ë¡¥
BB p.73, fig7.16
BB p.74, fig7.16A
GE #41
V1¤ò³ÈÂ礷¤Æ¸«¤ë¤ÈrsR'¤ÇIRBBB¤ÈƱ¤¸À¼Á¤Ç¤¢¤ë¡¥¤·¤«¤·QRS¤Ï0.9sec¤Ç¤¢¤ë¤«¤é
IRBBB¤Ç¤Ï¤Ê¤¤¡¥V6¤Ç¤Ïº¸¼¼¶½Ê³¤Î¸å¤Ë±¦¼¼¶½Ê³¤¬È¯À¸¤¹¤ë¡¥
2) V1¤¬qR¤ÇRÇȹ⤬7mm°Ê¾å¡¥
IRBBB¤È¶èÊ̤¹¤ëɬÍפ¬¤¢¤ë¡¥V6¤ÎSÇȤ¬¥·¥ã¡¼¥×¤Ç¤¢¤ë¤³¤È¤ò³Îǧ¤¹¤ë¡¥
IͶƳ¤ÇrSÇÈ¡¤¤¹¤Ê¤ï¤Á±¦¼´Êа̤Ǥ¢¤ë¡¥
BB p.74, fig7.16B
AF¤À¤«¤éÇÙÀP¤Î¿ÇÃǤ¬¤Ç¤¤Ê¤¤¡¥
GE #309 ¼´>90¡¤»Í»è¶»ÉôÄãÅŰ̡¤V1¤ÏqR¡¤V2-4¤ÏqrS, V5-6¤ÏRS¡¥COPD¤Î±¦¼¼ÈîÂç¡¥
¿ÇÃÇ¡§4:1¤ÎAF¤«nodal¡¤RVH¡¥±¦¼´Êа̤ÈÄãÅṲ̋Ǥʤ±¤ì¤ÐIRBBB¤òÈÝÄê
¤¹¤ë¤³¤È¤¬¤Ç¤¤Ê¤¤¡¥¶»Éô¤ÎSÇȤÎÉý¤ÏºÙ˦´ÖÅÁƳ¤È¤âÆÉ¤á¤ë¡¥
3) V1¤«¤éV6¤Þ¤ÇrSÇÈ¡¥V1¤ÏQSÇȤǤâ¤è¤¤¡¥
BB p.74, fig7.16B RVH
BB p.74, fig7.16C RVH
1,2,3)¤òÄ̤¸¤ÆV6¤ÎSÇȤ¬¶¦Ä̤¹¤ë¡¥
º¸¼¼¤È±¦¼¼¤È¤ÎÎÏ´Ø·¸¤Ç±¦¼¼¤¬¾¡¤Ã¤¿¾õÂ֤ȹͤ¨¤ì¤ÐǼÆÀ¤Ç¤¤ë¡¥
COPD(fig7.17)¤äS1S2S3·¿¤âƱ¤¸¸¶Íý¤Ç¤¢¤ë¡¥
4) COPD¤Ç¤Ï¿´Â¡¤¬Å©¾õ¤Ë¤Ê¤ê¡¤¶¯¤¤ÇÙÀPÇȤÈÄãÅṲ̋ˤʤ롥ÆÃ¤ËI¤Ï
¿¶Éý¤¬¤Ê¤¯¡¤´ðÀþ¤¬¾¯¤·¿¶Éý¤¹¤ë¤¿¤±¤Ç¤¢¤ë¡¥
¶»ÉôͶƳ¤Î¿¶Éý¤â¾®¤µ¤¤¤¬¡¤V1¤ÇSÇÈ¡¤¤½¤Î¸å¡¤RÇȤÎÁý¹â¤¬¤ß¤é¤ì¤ë¤¬¡¤
¿¶Éý¤ÏV3¤¬ºÇÂ硤V4°Ê¾å¤Ï¿´Â¡¤«¤é±ó¤¯¤Ê¤ë¤¿¤á¸º¿ê¤¹¤ë¡¥»þ·×²óž¤Ç¤¢¤ë¡¥
BB p.75, fig7.17
GE #42¤ÏV6¤Î¤ßRS¤Ç»Ä¤ê¤Î¶»Éô¤ÏrSÇȤǤ¢¤ë(ÇÙµ¤¼ð)¡¥
GE #198¤Î¶»Éô¤ÏrS¤Ç»Ï¤Þ¤êƱÍͤο¶ÉýÁý¸º¤¬¸«¤é¤ì¤ë¡¥
5) Âç¿Í¤ÎS1S2S3·¿. ¤³¤Î¾ì¹ç¡¤Åŵ¤¼´¤ÏNE¤Ë¸þ¤«¤¦¡¥¤¹¤Ê¤ï¤ÁrSÇȤDZ¦¼´ÊÐ°Ì¤ÈÆ±¤¸¡¥
¤½¤Î¤¿¤áaVR¤ÏqR¤Ë¤Ê¤ê¡¤
aVL¤ÏrSr'¤Ë¤Ê¤ë¡¥V1¤ÏqRÇÈ¡¥¶¯¤¤»þ·×²óž¤ÇV6¤ÎSÇȤϥ·¥ã¡¼¥×¡¥RÇȤÎÁý¹â¤Ï¤Ê¤¤¡¥
BB p.75, fig7.18
6) ÇÙ¹¼ºÉ¤ÏÉÑÌ®¤¬´ðËÜ¡¥S1Q3T3¤Ç¡¤¼´¤Ï90¡ë°Ê¾å¡¥¤½¤Î¤¿¤áaVR¤ÏqRÇȤˤʤ롥
V1¤ÏqRÇÈ¡¤V6¤ÏRSÇÈ¡¥¤½¤ÎSÇȤϥ·¥ã¡¼¥×¤Ç¤¢¤ë¡¥
BB p.76, fig7.19
7) ξ¿´¼¼ÈîÂç¤ÏÇÙÀPÇȤÈV1¤Î¹â¤¤RSÇȤǤ½¤Î¸å¤Ïº¸¼¼ÈîÂç¤Î·Á¾õ¤ò¼¨¤¹¡¥
¼´¤Ïº¸¼¼ÈîÂç¤Î±Æ¶Á¤Ç90¡ë°Ê²¼¤Ç¤¢¤ë¡¥
BB p.76, fig7.20
final p.27 ¿Þ16»²¾È(ÇÙÀPÇȤâȼ¤Ã¤Æ¤¤¤ë)¡¥
Åŵ¤¼´¤Ï±¦¼´Êаܡ¥Î¾¿´ÈîÂç¤Ê¤é±¦¼´Êа̤ˤʤé¤Ê¤¤¡¥
ecg 11-27, ecg 11-28.
TR¤¬V1¤äV2¤ÎÈ¿»þ·×²óž¤Ê¤é±¦¼¼ÈîÂç¤ä³ÈÄ¥¤ò¹Í¤¨¤ë¡¥
ST¤ÎµÕž¤¬¤Ê¤±¤ì¤Ð±¦¼¼³ÈÄ¥¡¥
ecg 13-30¤ÏÇÙÀPÇÈ¡¤±¦¼´Êа̡¤S1Q3T3¤Î±¦¼¼ÈîÂç¤ÎÍ×ÁǤò¤â¤Ä¤¬¡¤
V1¤ÇqR¤Ç¤¢¤ê¡¤°ì¸«±¦µÓ¥Ö¥í¥Ã¥¯¤Ë¸«¤¨¤ë¡¥¤³¤ÎqÇȤÏÃæ³Ö¶½Ê³¤Çº¸Êý¤Ë¸þ¤«¤¦¡¥
³¤¯RÇȤϱ¦¼¼Á°Ì̤ο´¶Ú¶½Ê³¤¬¶¯¤¯¤Ê¤ê¡¤º¸¼¼¶½Ê³¤ÎSÇȤò¤·¤Î¤°·ë²Ì¤Ç¤¢¤ë¡¥
BB p.118, fig9.13¤ÏI¤Ç¡Ý¡¤aVF¤Ç¡Ü¤À¤«¤é±¦¼´Êа̡¤II,III,aVF¤ÇÇÙÀPÇÈ¡¤
¶»ÉôV1¤Ç¾®¤µ¤ÊQSÇÈ¡¤v2¡ÁV6¤Þ¤ÇrSÇȤÇRÇȤÎÁý¹â¤â¤Ê¤¤¡¥
¶¯¤¤»þ·×²óž¤Ç¤¢¤ë¡¥¤·¤«¤·¡¤±¦¼¼ÈîÂç¤È¿ÇÃǤ·¤Æ¤¤¤ë¡¥
V1¤Þ¤¿¤ÏV2¤ÎR/SÈæ¤¬1°Ê¾å¡¥
V1¤Þ¤¿¤ÏV2¤¬¥¹¥È¥ì¥¤¥óTÇȤǵÕž¡¥
V6¤Ï¿¼¤¤SÇȤ⤢¤ì¤Ð̵¤¤¾ì¹ç¤â¤¢¤ë¡¥cf ecg 11-12.
Á°ÊÉÃæ³Ö¹¼ºÉ¤ÇV1¤ÎrÇȤ¬QÇȤˤʤë¤È¡¤¤½¤Î¸å¤Î±¦¼¼ÈîÂç¤ÇV1¤ÎRÇȤϾ®¤µ¤¯¤Ê¤ë¡¥
cd ecg 11-13.
´ðËÜŪ¤Ë¤Ï¡§
º¸¼¼ÈîÂç¤ÈƱÍͤ˹âÅŰ̡¤ST¥»¥°¥á¥ó¥È¤Ï¥¹¥È¥ì¥¤¥óµÕžTÇȤǤ¢¤ë¡¥
º¸¼¼¥Ö¥í¥Ã¥¯¤Çº¸¼¼ÈîÂç¤Î¿ÇÃǤ¬¤Ç¤¤Ê¤¤¤Î¤ÈƱÍͤˡ¤
±¦µÓ¥Ö¥í¥Ã¥¯¤Ç¤Ï±¦¼¼ÈîÂç¤Î¿ÇÃǤϤǤ¤Ê¤¤¡¥
Benign Early Repolarisation. ÎÉÀÁá´üºÆÊ¬¶Ë¡¥
¼ãǯÃËÀ¤Ë¿¤¤¡¥Osborn¤È»÷¤¿¥Î¥Ã¥Á¤¬QRS¤Ë³¤¤¤Æ¸«¤é¤ì¤ë¡¥
JÇȤޤ¿¤ÏJÅÀ¤Ï¾å¾º¡¤¾å¤Ë±ú¤ÎST¥»¥°¥á¥ó¥È¤ÇTÇȤÏÈóÂоΤǹ⤤¡¥
There is elevation of the J point
The T wave is peaked and slightly asymmetrical
The ST segment and the ascending limb of the T wave form an upward concavity
The descending limb of the T wave is straighter and slightly steeper than the ascending limb
¥Î¥Ã¥ÁÉÕ¤¤ÎST¥»¥°¥á¥ó¥È¤ò"fish fook" patern¤È¤¤¤¦¡¥
Ì®¤¬Á᤯¤Ê¤ë¤ÈSTE¤¬²¼¤¬¤ê¡¤²þÁ±¤¹¤ë¡¥
¶»ÉôÄˤ¬¤¢¤ê¡¤¿´³°Ëì±ê¤äAMI»÷¤¿ÇÈ·Á¤ò¤¹¤ë¡¥
¿´³°Ëì±ê¤Ç¤ÏPR¥»¥°¥á¥ó¥È¤ÎÄã²¼¤¬¤¢¤ë¤¬¡¤BER¤Ë¤Ï¤Ê¤¤¡¥12 Lead p.129, ECG 10-1.
50ºÍ°Ê¾å¤Ë¤Ê¤ë¤ÈSTE¤Ï¸º¾¯¤·¡¤AMI¤ò¹Íθ¤¹¤ë¡¥70ºÍ°Ê¾å¤ÎBER¤Ïµ©¤Ç¤¢¤ë¡¥
½Ðŵ¡§34_368.pdf
BER(Benign Early Repolarisation)
akiyamalecture11.pdf
Non Q-Wave MI
¶»ÄˤȹÚÁǾ徺¤¬¤¢¤Ã¤Æ°Û¾ïQÇȤ¬È¯À¸¤·¤Ê¤¤¹¼ºÉ¡¥
Evolving ST-T changes may include any of the following patterns:
* Convex downward ST segment depression only (common)
* Convex upwards or straight ST segment elevation only (uncommon)
* Symmetrical T wave inversion only (common)
* Combinations of above changes
Non-Q Wave MI
GE #283
GE ÈóQÇȹ¼ºÉ
2019ǯ 9·î 11Æü ¿åÍËÆü 14:56:39 JST
°Û¾ïQÇȤÎÀ®°ø¡§
½¾Íè¤Î¹Í¤¨Êý¡§
Q1.png
¿ÞA¡§Àµ¾ï¤Î¿´¶Ú¤Ç¤Ï¿´ÆâËì¦(¿´¼¼Æâ¹Ð)¤Ç¤Ï1¤Ë¼¨¤¹QS·¿¤Îæʬ¶ËÅṲ̋¬Â¬Äꤵ¤ì¡¤
¿´³°Ë즤ǤÏ6¤Ë¼¨¤¹R·¿¤Îæʬ¶ËÅṲ̋¬ÆÀ¤é¤ì¤ë¡¥¿´¶ÚÆâ¤Ç¤Ï2¡Á5¤Ë¼¨¤¹¤è¤¦¤Ë
rÇȤ¬¼¡Âè¤ËÂ礤¯¤Ê¤ëÃæ´Ö·¿¤ÎÇÈ·Á¤¬´Ñ¬¤µ¤ì¤ë¤È¹Í¤¨¤é¤ì¤ë¡¥
¿ÞB¡§´ÓÊÉÀ¹¼ºÉ¤Ç¤Ï¹â±ü¿´¶Ú¤¬²õ»à¤·¤Æ¤¤¤ë¤¿¤á¿´³°Ëì¦ÅṲ̋Ͽ´ÆâËì¦ÅṲ̋¬
ľÀÜϳÅŤ¹¤ë¤¿¤á¤Ë°Û¾ïQÇȤȤʤ롥¹¼ºÉÉô°Ì¤È¤Î¶³¦Éô°Ì¤Ç¤ÏQR·¿¤È¤Ê¤ë¡¥
¿ÞC¡§¿´ÆâËì¹¼ºÉ¤Ç¤¢¤ê¡¤¹¼ºÉ¤¬¤Þ¤À¤é¤Ë¿´³°Ë즤˵ڤó¤Ç¤¤¤ë¾ì¹ç¤ÏQr·¿¤È¤Ê¤ë¡¥
¿ÞD¡§¿´ÆâË즤è¤êÃÇÊÒŪ¤Ê¹¼ºÉ¤¬¿´³°Ë즤˵ڤó¤Ç¤¤¤ë¾ì¹ç¤ÏÀµ¾ï¿´¶ÚÎ̤¬¾¯¤Ê¤¯¤Ê¤ë
¤¿¤á¤ËRÇȤÎÇȹâÄ㤯¤Ê¤ë¡¥
¹Í»¡¡§
¤³¤Î¹Í¤¨Êý¤ÏWilson¤ÎÄ󾧤·¤¿ The theory of electrical window¤Ë¤è¤ë¡¥
ºÙ˦¤ÏÀµ¾ï¾õÂ֤Ǥ¢¤ì¤Ð»ñ¼ÁÆó½ÅËì¤Çʤ¤ï¤ì¡¤Åŵ¤Àä±ïÅÙ¤ÏÈó¾ï¤Ë¹â¤¤¡¥¤·¤«¤·
ºÙ˦»à¤Ê¤É¤Î¾ã³²¤¬È¯À¸¤¹¤ë¤Èº¸Ë¼Ëì¤ÎÀä±ïÀ¤¬Äã²¼¤·¡¤¿´ÆâË즤«¤é¿´³°Ë즤ؤÎ
Åŵ¤ÅÁƳÀ¤¬È¯À¸¤·¡¤QSÇȤ¬¤½¤Î¤Þ¤Þ¿´³°Ë즤ǬÄꤵ¤ì¡¤°Û¾ïQÇȤˤʤë¤È¤¤¤¦
¹Í¤¨¤Ç¤¢¤ë¡¥
¤·¤«¤·¡¤ËÜÅö¤Ë¿´ÆâËì¦ÅṲ̋ÏQS·¿¤Î¥Ñ¥ë¥¹ÇÈ·Á¤Ç¤¢¤í¤¦¤«¡¥¥«¥Æ¡¼¥Æ¥ëÅŶˤò
ÁÞÆþ¤·¡¤¡Üü»Ò¤Ç¬Äꤹ¤ë¤ÈQSÇȤ¬´Ñ¬¤µ¤ì¤ë¤¬¡¤¡Ý¶Ë¤ÏÂÎɽ¤ËÁõÃ夷¤¿ÅŶˤǤ¢¤ë¡¥
¤·¤¿¤¬¤Ã¤Æ¡¤¤³¤Îξü»Ò´Ö¤ÎÅŰ̺¹¤ÇQSÇÈ·Á¤¬´Ñ¬¤µ¤ì¤ë¤Ë²á¤®¤º¡¤¿¿¤Î¿´¹ÐÆâÅṲ̋Ï
¿´¶Ú³èưÅṲ̋ÎȿžÇÈ·Á¤Ç¤¢¤ë¤È¹Í¤¨¤ë¤Ù¤¤Ç¤¢¤ë¡¥
ÅÄÃæ¤Î¹Í¤¨Êý¡§
¿´¶ÚºÙ˦¤¬¹¼ºÉ¤Ë¤è¤ê»é¼ÁÆó½ÅËì¤È¤·¤Æ¤Îµ¡Ç½¤¬¤Ê¤¯¤Ê¤ë¤È
³èưÅṲ̋¬¾Ã¼º¤¹¤ë¤È¤È¤â¤ËÅŵ¤ÅÁƳÅÙ¤¬Áý²Ã¤¹¤ë¡¥
½¾¤Ã¤Æ¾ã³²¤òÌȤ줿¿´ÆâË즿´¶Ú¤ÇȯÀ¸¤¹¤ë¿´¹ÐÆâÅṲ̋¬¿´³°Ë즤ËϳÅŤ¹¤ë¡¥
¤³¤ì¤¬°Û¾ïQÇȤȤ·¤Æ¸¡½Ð¤µ¤ì¤ë¡¥´ÓÊÉÀ¹¼ºÉ¤Ë¤Ê¤é¤Ê¤±¤ì¤Ð°Û¾ïQÇȤˤÏ
¤Ê¤é¤Ê¤¤¡¥¿Þ¤Ç¼¨¤¹¤È°Ê²¼¤Î¤È¤ª¤ê¤Ë¤Ê¤ë¡¥
infarc.png °Û¾ïQÇÈȯÀ¸¥á¥«¥Ë¥º¥à¡¥
¿Þ¡§°Û¾ïQÇȤÎȯÀ¸µ¡½ø¡¥
1/4ÂʱߤϿ´¼¼¤ÎÃÇÊÒ¤ò¼¨¤·¡¤³¥¿§¤Ï´ÓÊÉÀ¹¼ºÉÉô°Ì¤ò¼¨¤¹¡¥¿´ÆâË즺Ù˦³°ÅṲ̋ò
ÀÖÀþ¡¤¿´³°Ë즺Ù˦³°ÅṲ̋òÀÄÀþ¤Ç¼¨¤¹¡¥¤Þ¤¿¹¼ºÉÉô°Ì¤è¤êϳ¤ì¤Ç¤ë
¿´ÆâË즺Ù˦³°ÅṲ̋ÏÀÖÇËÀþ¤Ç¼¨¤¹¡¥±¦¿Þ¤Ï¤½¤ì¤¾¤ì¤ÎȿžÇÈ·Á¤ò»þÁê¤ò
¹ç¤ï¤»¤Æ¾å¤è¤ê¿´ÆâË즡¤¿´³°Ëì¦ÅŰ̡¤¤½¤Î°ú¤»»ÇÈ·Á¤¬ÂÎɽ¿´ÅſޤȤʤ롥
¿´³°Ë즤Î2ÇÈ·Á¤ÏÊÂÎó¤Ë²ÙÅŤµ¤ì¡¤¤Þ¤¿¿´ÆâËì¦ÅṲ̋è¤êµÞ½Ô¤Ëɽ¤ì¤ë¤¿¤á¤Ë
°ú¤»»¤¹¤ë¤È±¢À¤ÎQÇȤȤʤ롥¿´ÆâË즺Ù˦³°ÅṲ̋è¤êϳÅŤ¹¤ë¿´³°Ëì¦ÅṲ̋Î
Êý¤¬µÞ½Ô¤ÊΩ¾å¤ê¤ò¼¨¤¹¡¥
12 Lead p.418¡§
´ÓÊÉÀ¹¼ºÉ¤Ç¤Ï²õ»à¤·¤¿¿´¶ÚÊɤ¬¡ÖÁë¡×¤Ë¤Ê¤Ã¤Æ¡¤ÂЦÊɤÎRÇȤòµÕ¸þ¤¤Ë
´Ñ¬¤¹¤ë¡¥´ÓÊÉÀ¹¼ºÉ¤Ç¤Ê¤¤¾ì¹ç¤Ç¤â1/3°Ê¾å¤Î²õ»àÁؤο¼¤µ¤¬¤¢¤ë¤È¡¤
¤½¤ÎÉô°Ì¤ÎPerkinjeºÙ˦¤Î¶½Ê³¤Ï¤Ê¤¤¡¥¤½¤Î¤¿¤á¤ËÀ¸¤»Ä¤Ã¤¿¿´¶Ú¤Ë¤Ï
cell to cellÅÁÇÅ¡¤¤Ä¤Þ¤êºÙ˦´ÖÅÁƳ¤Ç¶½Ê³¤¬ÅÁ¤ï¤ë¡¥¤½¤ÎÃÙ±ä»þ´Ö¤Î
´Ö¡¤¼þ°Ï¤«¤éµÕ¸þ¤¤Î¶½Ê³ÅÅή¤¬´Ñ¬¤µ¤ì¤ë¡¥
¤¤¤º¤ì¤Ë¤»¤è¡¤TÇȵÕž¤ÎÀâÌÀ¤Ï¤Ê¤¤¡¥
12 Lead p.207.
°Û¾ïQÇÈ Signifificat Q wave
I¤ÈaVL¤ÎqÇȤÏÀµ¾ï¤Ç¸«¤é¤ì¤ë¡¥¤â¤·0.03sec°Û¾ï¤Ê¤é°Û¾ï¤Ç¤¢¤ë¡¥
III¤ÎqÇȤÏÅŵ¤¼´¤¬¿åÊ¿¤Ë¸þ¤«¤¦¤È¸«¤é¤ì¡¤Àµ¾ï¤Ç¤¢¤ë¡¥
II¤äaVF¤ËqÇȤ¬¸«¤¨¤ë¤È°Û¾ïQÇȤǤ¢¤ë¡¥
QSÇÈ·Á¤ÏRÇȤ¬¤Ê¤¤¤¿¤á¤ËQÇȤ«SÇȤ«¤ò¶èÊ̤Ǥ¤Ê¤¤¡¥¤·¤¿¤¬¤Ã¤ÆQSÇȤȤ·¤¿¡¥
º¸¼¼ÈîÂç¤Ë¤è¤ëÀµ¾ïqÇȤÎÎã¡¥
9-17 IACD¤ÎLAE¤ÎÎ㡤III, aVF¤ÎQÇȤÏÉý¤¬¶¹¤¯°Û¾ï¤Ç¤Ï¤Ê¤¤¡¥
I¡¤aVL¤ËÂ礤ʥΥåÁ¡¤IVCDefect¤«¡©º¸¼¼¹âÅṲ̋ÈI, V5-V6¤Î¥¹¥È¥ì¥¤¥óT¤Ç
º¸Ë¼Éé²Ù¡¤º¸¼¼ÈîÂç¡¥
final.pdf p.62 ¿Þ33
12 Lead¤Ç¤ÎAMI¤ÎʬÎà¡¥
Anterior Wll MI V3, V4 p.425
Anteroseptal MI V1, V2, V3, V4 p.426
Anteroseptal with Lateral Extention V1, V2, V3, V4, V5, V6 I, aVL p.431
Laeeral Wll V5, V6 LAD¤ÎÂгѻޤι¼ºÉ¡¥
Hight Lateral Wall I, aVL p.443
Inferior Wll II, III, aVF p.446 ±¦´§Æ°Ì®¤Î±Ô³Ñ»Þ¤Î¹¼ºÉ¡¥
Inferolateral AMI II, III, aVF, V5,V6 p.450
Apical AMI p.458
12 Lead p.425
Ãæ³Ö¤ÏV1,V2; Á°ÊɤÏV3,V4¡¥Â¦ÊɤÏV5,V6,I¡¥¹â°Ì¦ÊɤÏaVL¤Ç¤¢¤ë¡¥
Á°ÊÉÃæ³Ö¹¼ºÉ¤Ï»Í»èͶƳ¤Ë¥ß¥é¡¼¤Ê¤É¤Î±Æ¶Á¤Ï¤¢¤¿¤¨¤Ê¤¤¡¥
15-1 V1¡ÁV5¤Þ¤ÇSTE¤Ç¿åÊ¿¡¥RÇȤϻĤäƤ¤¤ë¡¥aVL¤ÎSTE¡¤¤½¤Î¥ß¥é¡¼¤Ç
II,III,aVF¤ÎSTD¡¥
15-2 V1,V2,V3¤ÎQÇÈ¡¤¿åÊ¿¡¤¤â¤·¤¯¤Ï¾å¸þ¤¤ÎSTE¡¥TÇȤÎÂоεÕž¤ÏV1¤«¤éV4¤Þ¤Ç¡¥
aVL¤ÎqÇȤÏÀµ¾ï¡¥
15-3 STE¤ÏV1¡ÁV4¡¤°Û¾ïQÇȤÏV2¡ÁV4¡¤ÂоÎÀȿžT¤ÏV2¡ÁV4¡¥IRBBB¤ÇLAF¤Ç¤¢¤ë¡¥
II,III,aVF¤ÎQSÇȤϤ½¤Î¤¿¤á¤Ç¤¢¤ê¡¤°Û¾ïQÇȤǤϤʤ¤¡¥
¤½¤Î¾Úµò¤Ë¿åÊ¿ST¤Ç¤¢¤ê¡¤AMI¤È¤·¤ÆÇ§¤á¤é¤ì¤Ê¤¤¡¥
12 Lead p.425
GE #270, µÞÀÁ°Êɹ¼ºÉ¡¤V2¡ÁV4¤ÎSTD¤ÈTÇÈÁý¹â¤¬¸«¤é¤ì¤ë¡¥
TÇÈÁý¹â¤Ï¿´³°Ë즿´¶Ú¤ÎÁá´üºÆÊ¬¶Ë¤Ë¸¶°ø¤¹¤ë¡¥
µ¤¤Ë¤¹¤ì¤Ð¡¤I¤ÎSTD¡¤II¤ÎSTE¡¤III¤ÎSTE¤ÈʿóTÇÈ¡¤aVF¤ÎSTE¡¤
aVL¤ÎSTD¤¬¸«¤¨¤ë¡¥
ŵ·¿Åª¤ÊÁ°ÊÉÃæ³Ö¡¤Â¦Êɹ¼ºÉ¡§V6¤ÎQS¥Ñ¥¿¡¼¥ó¤ÈI, aVL¤Î°Û¾ïQÇȤËÃí°Õ¡¥
II, III, aVF¤Ï¥ß¥é¡¼¥¤¥á¡¼¥¸¤ÇSTÄã²¼¤ò¼¨¤¹¡¥¸åÊɤÏÀµ¾ï¿´¶Ú¤Ç¤¢¤ë¡¥
IMG_20180724_0006a.png GE #249
IMG_20180724_0006a.png
p.431. º¸´§Æ°Ì®¤ÎÊĺɤǤ¢¤ì¤Ð¡¤Á°²¼¹ß»Þ¤È²óÀû»Þ¤ÎÊĺɤˤʤ롥
15-4 V1¤ÏÀµ¾ï¡¤V2¡ÁV6¤Þ¤ÇSTE¤Î¹¼ºÉ¡¤¾®¤µ¤ÊqÇȤ¬¤¢¤ë¤¬¡¤Àµ¾ïÈϰϤ«¡¥
I,aVL¤ÎSTE¡¤¥ß¥é¡¼¤ÇIII,aVF¤ÎSTD¡¤¤·¤«¤·III¤¬ºÇ¤â¤Ä¤è¤¤¡¥¤³¤³¤Ë¤â
qÇȤ¬¤¢¤ë¤¬¡¤Àµ¾ïÈϰϤ«¡©
²òÀâ¤Ç¤ÏqÇȤϰ۾ïQÇȤǤ¢¤ë¡¥Ä¶µÞÀ¤ÎSTE¡¥
15-5 V1¡ÁV4¤ÎSTE¤Ç¥É¡¼¥à¾õ¡¤V5¡ÁV6¤ÎÂоÎÀTÇȵÕž¡¥I,aVL¤ÎSTE¡¥
III,aVF¤Î¥ß¥é¡¼STD¡¥VͶƳ¤ÎRÇȤÏÊݤ¿¤ì¤Æ¤¤¤ë¡¥
²òÀâ¤Ç¤ÏV5¤âSTE¤Ç¹¼ºÉ¥Ñ¥¿¡¼¥ó¡¥
15-6 V1¡ÁV6¤Þ¤Ç¤Î°Û¾ïQÇȤÈSTE¡¥I,aVL¤ÎSTE¤ÈȿžTÇÈ¡¥II,III,aVF¤ÎSTD¤È¾å¸þ¤
TÇÈ¡¥
²òÀâ¤Ç¤ÏV1¤ËrÇȤ¬Â¸ºß¤¹¤ë¤«¤éQSÇȤǤϤʤ¤¡¥rSÇȤǤ¢¤ë¡¥
15-7 V1¡ÁV5¤Þ¤Ç¤ÎSTE¡¤I,aVL¤ÎSTE¡¤II,III,aVF¤Î¥ß¥é¡¼¡¥
15-8 Junctional P, I,aVL,V1¡ÁV6¤Þ¤Ç¤Î¾å¸þ¤ST¥»¥°¤ÈSTE¡¥
¦Êɹ¼ºÉ¤ÏV5-6, ¹â°Ì¦Êɹ¼ºÉ¤Ï I,aVL¤Î°Û¾ïQÇȤò¼¨¤¹¡£
15-14 I, aVL¤ÎSTE¤ÈTȿž¡¤II, III, aVF¤ÎSTD¡¥V4-6¤ÏTȿž¤Î¤ß¡¥
BB p.118, fig 9.14
I¤ÈaVL¤ÇQS¥Ñ¥¿¡¼¥ó¡¤LPFB¤È´Ö°ã¤¨¤ë¡¥LPFB¤Ç¤ÏI¤ÈaVL¤ÏrS¤Ç¤¢¤ë¡¥
¤³¤Î¾ÉÎã¤ÏV1¤ÇQr¡¤V2¡ÁV4¤Þ¤Ç°Û¾ïQÇÈ(QS¥Ñ¥¿¡¼¥ó)¤ò¤â¤Ä¡¥
¶»ÉôͶƳ¤ËµÕžTÇȤϤʤ¯¡¤¾å¸þ¤TÇȤǤ¢¤ë¡¥
III¤ÎqÇȤϤ褯¸«¤é¤ì¤ë¤¬¡¤II¤ÎQÇȤ¬¸«¤¨¤ë¤È²¼Êɹ¼ºÉ¤Î²ÄǽÀ¤¬¹â¤¤¡¥
LAFB¤Èʻȯ¤¹¤ë¤È¿ÇÃǤ¬Æñ¤·¤¤¤Î¤Ç¡¤rÇȤ¬Â¸ºß¤·¤Ê¤¤¤³¤È¤ò³Î¤«¤á¤ë¡¥
BB p.115, fig 9.6, II,III,aVF¤ÎTÇȤÏÁ´¤Æ¾å¸þ¤¡¥
GE #28¤Ï²¼Êɹ¼ºÉ¤ÇV5,V6¤Ë°Û¾ïQÇȤè¤ê²¼ÊɦÊɹ¼ºÉ¡¥
¸åÊɹ¼ºÉ¤¬È¼¤Ã¤Æ¤¤¤ë¤È¹Í¤¨¤ë¤È¡¤
V1,V2¤Î¹â¤¤RÇȤȤʤ뤬¡¤V2-V3¤ÎTÇȤÏÈóÂоΤÇÀµ¾ïÇÈ·Á¤Ç¤¢¤ë¡¥
old age¤Î¸åÊɹ¼ºÉ¤Îŵ·¿¤ËÍøÍѤǤ¤ë¡¥
GE #28
#28
¡ú final p.28¤Î¿Þ18¤Î²òÀâ¤Ï´Ö°ã¤Ã¤Æ¤¤¤ë¡¥
V4,V5,V6¤Ï¦Êɹ¼ºÉ¤Î°Û¾ïQÇȤǤ¢¤ë¡¥¤½¤Î¹¼ºÉ¤¬¸åÊɤ˵ڤӡ¤V1¤äV2¤Î¹â¤¤
RÇȤˤʤ롥V5,V6¤ËSÇȤ¬¤Ê¤¤¤³¤È¤Ï±¦µÓ¥Ö¥í¥Ã¥¯¤ä±¦¼¼ÈîÂç¤òÈÝÄꤹ¤ë¾Úµò¤Ç¤¢¤ë¡¥
2018ǯ 7·î 12Æü ÌÚÍËÆü 16:51:08 JST
final¤Î²òÀâ¤Ï´Ö°ã¤¤¤Ç¤Ï¤Ê¤¤¡¥¾å¸þ¤¤Î´§ÀTÇȤϤɤΤ褦¤ËÀâÌÀ¤¹¤ë¤Î¤«
ʬ¤«¤é¤Ê¤¤¡¥GE #28¤ÎV!-V3¤ÏΩÇɤʴ§ÀTÇȤǤ¢¤ë¡¥
15-15 III¤ÈaVF¤Ë¶¯¤¤°Û¾ïQÇȤ¬¤¢¤ë¤¬¡¤STE¤Ê¤É¤ÎÊѲ½¤¬¤Ê¤¤¡¥QÇȤ¬ÉÕ°¤¹¤ëR¤Î
1/3°Ê¾å¡¤¤Þ¤¿¡¤0.03sec°Ê¾å¤Ç¤¢¤ì¤ÐͰ٤Ȥ¹¤ë¡¥ÄĵìÀ²¼Êɹ¼ºÉ¡¥
15-16 V1¤ÈV6¤ÎÅŶ˴ְ㤤¡¤CRBBB¤Ë¿ïȼ¤·¤¿IWMI¡¥
II,III,aVF¤Î°Û¾ïQÇÈ¡¥¾å¤ËÆÌ¤ÎSTE¡¥
»²¾È¥Õ¥¡¥¤¥ë iwmi
9-13 IACD¤ÎLAE¤ÎÎ㡤II, III, aVF¤ËQÇÈ¡¥ÂоÎÀTÇÈȿž¡¥
II,III,aVF¤Ï¤ÏÂоÎÀȿžTÇÈ¡¤V1-6¤ÏÁ´¤ÆÈóÂоΥ¹¥È¥ì¥¤¥óTÇÈ¡¤
»Í»è¤Ï¿åÊ¿ST¡¤LVH¡¤º¸Ë¼Éé²Ù¡¤²¼Êɹ¼ºÉ
²¼ÊɦÊɤ˲䨤ƸåÊɹ¼ºÉ¤ÎÎã
11-22 II, III, aVF¤ÎQÇȤ¬¸²Ãø¡¤V4¡ÁV6¤ÎQÇÈ¡¤V1¤ÎRÇȤ¬¹â¤¯Éý¤¬¹¤¤¡¥
²¼ÊÉ¡¤Â¦Êɤι¼ºÉ¤ÎϢ³À¤«¤é¸åÊɤι¼ºÉ¤¬¹Í¤¨¤é¤ì¤ë¡¥transition¤ÏV1¡ÁV2¡¥
I¤ÎqÇȤϾ¯¤·Â礤¯°Û¾ï¡¤aVL¤ÎqÇȤâ°Û¾ï¤Ç¹â°Ì¦Êɹ¼ºÉ¡¥
V1¤ÎRÇȤ¬¹â¤¯Éý¤¬¹¤¤¤Î¤Ï¡¤¸åÊɹ¼ºÉ¤¬¤¢¤Ã¤¿¤³¤È¤ò¼¨¤¹¡¥
V1,V2¤ÎJÅÀ¤¬Äã²¼¤·¤Æ¤¤¤Ê¤¤¤³¤È¤Ï¡¤¸åÊɤÎST¾å¾º¤¬¤Ê¤¤¤³¤È¤ò¼¨¤¹¡¥
²¼Êɹ¼ºÉ¤Î°Û¾ïQÇȤÏIII>aVF>II¤Î½ç¤Ë¾®¤µ¤¯¤Ê¤ë¤¬¡¤¹â°Ì¦Êɹ¼ºÉ¤¬
ȯÀ¸¤¹¤ë¤ÈI¤Ç°Û¾ïQÇȤ¬¸«¤¨¤ë¤¿¤áIII¤Ç¤Î°ú¤»»¹â²½¤¬¾Ã¤µ¤ì¤ë¡¥
aVL¤ÎQÇȤθº¿ê¤ÏaVL=(i-III)/2¤À¤«¤éI¤ÎQÇȤ«¤éIII¤ÎQÇȤò°ú¤¯¤¿¤á¤Ë
¤µ¤é¤Ë¾®¤µ¤ÊQÇȤˤʤ롥
Posterior Wall AMI (PWMI) 12 Lead p.472
final p.28 ¿Þ18¡¥¤³¤ÎECG¤Î¶»ÉôͶƳ¤Ï GE #57¤È¤½¤Ã¤¯¤ê¤Ç¤¢¤ë¡¥
V9¤äV10¤ÇQÇÈ¡¤ST¾å¾º¡¤TÇȵÕž¤¬¤ß¤é¤ì¤ë¤¬¡¤V1,V2¤Ç¥ß¥é¡¼¥¤¥á¡¼¥¸¤È¤·¤Æ
RÇȾ徺¡¤STÄã²¼¡¤¾å¸þ¤TÇȤˤʤ롥
¥ß¥é¡¼¥¤¥á¡¼¥¸¤È¤ÏRÇȤξ徺¡¤STÄã²¼¡¤¾å¸þ¤¤ËÂоÎÀ¤Î¶¯¤¤TÇȤò°ÕÌ£¤¹¤ë¡¥
RÇȤÏQÇȤεÕž¥¹¥Ñ¥¤¥¯¤¬²Ã»»¤µ¤ì¡¤Î©¾å¤ê¤¬Æß¤¯¡¤Çؤι⤤RÇȤˤʤ롥
PWMI¤ÈIWMI¤Ï¤è¤¯Ê»È¯¤¹¤ë¡¥
V1¤ÈV2¤ÎRÇȤ¬¹â¤¯Éý¤¬0.03Éðʾå¤Ê¤éͽ긫¤Ç¤¢¤ë¡¥V1¤è¤êV2¤ÎÊý¤¬¸²Ãø¤Ë¸½¤ì¤ë¡¥
final p.51 ¿Þ23¡§
II, III, aVF¤ÏÀµ¾ï¤«¤«¤é²¼Êɹ¼ºÉ¤Ï¤Ê¤¤¡¥I, aVL¤Ë¾®¤µ¤ÊrÇȤ¬¤¢¤ê¡¤¤Þ¤¿SET¤¬
¤Ê¤¤¤«¤é¡¤¹â°Ì¦Êɹ¼ºÉ¤Ï½ü³°¤Ç¤¤ë¡¥±¦¼´ÊѰ̤λͻèÄãÅṲ̋Ǥ¢¤ë¡¥
V1-V3¤ÎSTD¤Ç¸åÊɹ¼ºÉ¤Î¥ß¥é¡¼¥¤¥á¡¼¥¸¤Ç¤¢¤ë¡¥V4-V6¤ÎRÇȤÎÁý¹â¤Ï¸«¤é¤ì¤º¡¤
PRP¤Ç¤¢¤ë¡¥V7-V9¤Ï¾®¤µ¤ÊQS¥Ñ¥¿¡¼¥ó¤ÇSTE¤Ç¤¢¤ë¡¥
11-22¤Ï²¼ÊÉ¡¤Â¦ÊÉ¡¤¹â°Ì¦Êɤ˲䨤ƸåÊɹ¼ºÉ¤ò¼¨¤¹.
15-28 µÞÀ¤ÇV1¡ÁV4¤Þ¤Ç¤Î¹â¤¤RÇÈ¡¤STÄã²¼¤È¾å¸þ¤TÇÈ¡¥
²¼Êɹ¼ºÉ¤Ï¤Ê¤¯¡¤ÆÈΩ¤·¤¿¸åÊɹ¼ºÉ¡¥¶»ÉôRÇȤÏV2¤¬ºÇ¤â¹â¤¯V6¤¬ºÇ¤âÄ㤤¡¥
º¸¼¼¤Î³èưÂÎÀѤθº¾¯¤È¹Í¤¨¤ì¤Ð¤è¤¤¡¥avR¤ÏqR¤Ç¤¢¤ë¡¥ÁêÂÐŪ¤Ë±¦¼¼³èư¤¬
Í¥°Ì¤Ë¤Ê¤Ã¤Æ¤¤¤ë¡¥
ECG 15-28
15-29 II,III,aVF¤ÎQÇȤÈV1V2¤ÎRÇȾ徺¡¥¸Å¤¤²¼ÊɸåÊɹ¼ºÉ¡¥
ECG 15-29
GE #57 V1¡ÁV3¤Þ¤ÇRS¤Ç¹â¤¤TÇÈ¡¤V4¡ÁV6¤Ë½¾¤Ã¤ÆRÇȤϾ®¤µ¤¯V6¤ÏQS¤ÇSTE¡¥
¤ß¤¿¤³¤È¤â̵¤¤ÇÈ·Á¡¥±¦¼¼ÈîÂç¡©»Í»èÄãÅŰ̡¥
¸åÊɤÎAMI¡¥V1¤ÎRÇȤϸåÊɹ¼ºÉ¤Î¤¿¤á¡¤¤â¤·¸åÊɹ¼ºÉ¤ÇSTE¤¬È¯À¸¤¹¤ë
¤Þ¤Ç¤Î´Ö¤Ç¤¢¤ì¤Ð¡¤V1¡ÁV3¤Þ¤Ç¤Î¥ß¥é¡¼STD¤ÏȯÀ¸¤·¤Ê¤¤¡¥V5¡ÁV6¤ÎSTE¤Ï
Àµ¤·¤¯AMI¤ò¼¨¤·¡¤II,III,aVF¤ÎÊѲ½¤Ï¤Ê¤¤¤«¤é±¦´§Æ°Ì®¤ÏÀµ¾ï¡¥
½¾¤Ã¤Æ¡¤º¸²óÀû»Þ¤ÎÊĺɤˤè¤ë¦ÊɸåÊɹ¼ºÉ°Ê³°¤Ë¹Í¤¨¤é¤ì¤Ê¤¤¡¥
²¼¿Þ¤ÏGE #57
¾å¤ÈƱ¤¸¿´ÅſޤΥȥê¥ß¥ó¥°.
²¼Êɹ¼ºÉ¤Ëȼ¤Ã¤ÆÈ¯À¸¤¹¤ë¡¥
I, aVL¤Î¥ß¥é¡¼¸ú²Ì¤Ë¤è¤ëSTÄã²¼¡¥
GE #52 ±¦¼¼¹¼ºÉ¤Î²ÄǽÀ¤¬¹â¤¤¡¥
final p.49,
12 Lead p.468
²¼Êɹ¼ºÉ¤Ëȼ¤¦¤¬¡¤STE¤¬II¤è¤êIII¤¬¹â¤¯¡¤¤Þ¤¿¡¤V1¤ÎSTE¤ÈV2¤ÎSTD¡¥
¤è¤êV3¤ÎÊý¤¬STE¤¬¹â¤¤¤È±¦¼¼¹¼ºÉ¤ò¹Í¤¨¤ë¡¥
14-12 hyperacute AMI¡¥V1¡ÁV3¤Ë¾®¤µ¤ÊrÇȤ¬¸«¤¨¤ë¡¥²¼Êɱ¦¼¼¹¼ºÉ¡¥
14-20 IWMI¤ÏÁ´¤ÆÂ·¤¦¤¬¡¤III¤ÎSTE¤¬¸²Ãø¡¤V1¤ÎST¥»¥°¤ÏÇÈÂǤäƤ¤¤ë¡¥
V2¤ÏSTD¡¤V3¤ÏSTD¤«¤é¾å¸þ¤ÎľÀþ¡¤T¤Ïʿó¡¥15-26¤Ë»÷¤Æ¤¤¤ë¡¥
15-25 II,III,aVF¤Î°Û¾ïQ¤ÈSTE¡¤v2¤òÃæ¿´¤È¤¹¤ëSTE¤ÎÊèÀÐÍÍÇÈ·Á¡¥
¤è¤¯¸«¤ë¤ÈV1¡ÁV3¤ÎrÇȤϸºß¤¹¤ë¡¥I,aVL¤ÏSTD¤ÇTÇÈȿž¡¥
15-26 I,aVL¤ÎSTD¡¤II¤Î¾®¤µ¤ÊSTE¡¤QÇȤ⾮¤µ¤¤¡¥III¤ÏÂ礤ÊQÇȤÈÂ礤ÊSTE¡¥
aVF¤âQÇȤϾ®¤µ¤¤¤¬Â礤ÊSTE¡¥V1¤ÈV3¤ÏSTE¤Ç¤¢¤ë¤¬¡¤V2¤ÏSTD¤«¤é
»³·Á¤ËSTE¤·¤Æ¤¤¤ë¡¥
15-26 I,aVL¤ÏSTD¡¤II¤ÎÊѲ½¤Ï¾¯¤Ê¤¤¤¬III¤ÏSTE¡¤aVF¤Ï¾®¤µ¤ÊQÇȤÈSTE¡¥
V1¤ÏSTE¤À¤¬Àµ¾ï¤Ë¤â¸«¤¨¤ë¡¥V2¡ÁV5¤Þ¤ÇÇÈÂǤä¿ST¥»¥°¥á¥ó¥È¡¥
¤³¤ì¤ÏRVI¤Î¿ÇÃÇ´ð½à¤Ë¤Ê¤¤¡¥±¦Â¦Í¶Æ³¤Î¥Ç¡¼¥¿¤Ç³ÎÄꤹ¤ë¡¥
l2 Liead p.458.
±¦´§Æ°Ì®Ëܴɤι¼ºÉ¤ÇȯÀ¸¤¹¤ë¡¥
II,III,aVF,V3,V4,V5,V6,¤½¤·¤ÆI,aVL¤Ë±Æ¶Á¤¹¤ë¡¥
II,III,aVF¤Ï±¦´§Æ°Ì®¸å²¼¹Ô»Þ¡¤
V3,V4¤Ïº¸´§Æ°Ì®Á°²¼¹Ô»Þ¡¤
V5,V6¤Ïº¸´§Æ°Ì®Á°²¼¹Ô»Þ¤ÎÂгѻޡ¥(¦Êɹ¼ºÉ)
final p.62¤è¤ê. coronary.png
15-22
¿´ÀíÉô¹¼ºÉ¡§I¡¤II¡¤III¤ÎSTE¡¥aVR¤ÎSTD¡¥aVL¤Ï¿åÊ¿¡¥V1¤ÎSTD¡¥V3-6¤Þ¤Ç¶¯ÅÙ¤ÎSTE¡¥
15-23
¿´ÀíÉô¹¼ºÉ¡§I¤Ï·ÐÅÙ¤ÎSTE¡¤II¡¤III¤ÎSTE¡¥aVR¤ÎSTD¡¥aVL¤ÏȿžTÇÈ¡¥¡¥V1¤ÏÀµ¾ï¡¥V2-6¤Þ¤Ç¶¯ÅÙ¤ÎSTE¡¥
RÇȤÎÁý¹âÉÔÎÉ (poor r progression/reversed r progression)
²¼¿Þ¤ÏLAFB¤Ë¤è¤êPRP¤¬È¯À¸¤·¤Æ¤¤¤ë¤¬¡¤V2¡ÁV5¤Ç¤Î¥Î¥Ã¥Á¤ÏIVCD¤ò¼¨¤¹¡¥
IVCD GE #243
¹¼ºÉ¸å2W¤¿¤Ã¤Æ¤âSTE¤¬Ìá¤é¤Ê¤±¤ì¤Ð¿´¼¼áî¤Ç¤¢¤ë¡¥Ä̾ïV5¡¤V6
¤ÏSTE¤Ï¤Ê¤¯¡¤TÇȤϵÕž¤¹¤ë¡¥
Á°ÊÉ¿´¼¼áî
Á°ÊÉ¿´¼¼áî1
GE #328¤è¤ê¡§
Á°ÊÉ¿´¼¼áî2
¸åÊÉ¿´¼¼áî
ECG library A-Z
HCM
¿´ÀíÉôÈîÂç·¿¿´¶Ú¾É(»³¸ý¾É¸õ·²)
¿´¶Ú¾É¿ÇÎÅ¥¬¥¤¥É¥é¥¤¥ó(2018ǯ²þÄûÈÇ)
ÉÂÂÖ¤ÎÎò»Ë¡§
1957ǯ¡¤Brigden¤¬ÀèÅ·À¡¤ÊÛËì¾É¡¤µõ·ì¡¤¹â·ì°µÀÊѲ½¤¬¤Ê¤¯¤Æ¿´ÈîÂ硤¿´³ÈÄ¥¤ò¤¤¿¤¹¾ÉÎã¤ò¿´¶Ú¾É¤È¤è¤ó¤À¡¥º¸¼¼Î®½ÐÏ©¶¹ºõ¤òȯÀ¸¤¹¤ë¼À´µ¤È¤·¤ÆÆÃȯÀÈî¸üÀÂçÆ°Ì®ÊÛ²¼¶¹ºõ¾É idiopathic hypertrophic subaoric stenosis (IHSS)¡¤ÈîÂç·¿ÊĺÉÀ¿´¶Ú¾É hypertrophic obstructive cariomyopathy (HOCM)¤ÎÉÂ̾¤¬¤Ä¤±¤é¤ì¤¿¡¥¤½¤Î¸å¡¤Î®½ÐÏ©¶¹ºõ¤Ï¿´¼¼Ãæ³Ö¤Î°Û¾ïÈî¸ü¤Ë¤è¤ëÆó¼¡ÅªÊѲ½¤Ç¤¢¤ë¤È¹Í¤¨¤é¤ì¡¤ÈîÂç·¿¿´¶Ú¾É HCM¤¬ÄêÃ夷¤¿¡¥¿´¶Ú¾É¤ÎʬÎà¤È¤·¤Æ¤Ï¡¤
1¡¥³ÈÄ¥·¿¿´¶Ú¾É¡Êdilated cardiomyopathy; DCM)¡¤
2¡¥ÈîÂç·¿¿´¶Ú¾É¡Êhypertrophic cardiomyopahy; HCM)¡¤
3¡¥¹´Â«·¿¿´¶Ú¾É¡Êrestrictive cardiomyopathy; RCM)¡¤
4¡¥ºÅÉÔÀ°Ì®À±¦¼¼¿´¶Ú¾É¡Êarrhythmogenic right ventricular cardiomyopathy¡Ë¡¤
5¡¥Ê¬ÎàÉÔǽ¤Î¿´¶Ú¾É¡Êunclassified cardiomyopathy) ¡¤
6. ÆÃÄê¿´¶Ú¾É¡Êspecific cardiomyopathies¡Ë¤È¤Ê¤ë¡¥
°ìÊý¡¤Ê¬»Ò°äÅÁ³Ø¤Î¿ÊÊâ¤Ë¤è¤ê¼¡¡¹¤È¿´¶Ú¾É¤Îɰø°äÅÁ»Ò°Û¾ï¤¬Æ±Äꤵ¤ì¤Æ¤¤¤ë8¡Ë¡¤9¡Ë¡¥HCM ¤Ç¤Ï¤³¤ì¤Þ¤Ç¤Ë¿´¶Ú¦Â¥ß¥ª¥·¥ó½Åº¿¡¤¿´¶Ú¥È¥í¥Ý¥Ë¥óT¡¤¿´¶Ú¥ß¥ª¥·¥ó·ë¹çÃÁÇòC¤Ê¤É¤Î¾¯¤Ê¤¯¤È¤â10¼ï¤Î¥µ¥ë¥³¥á¥¢¡Ê´ØÏ¢¡Ë°äÅÁ»Ò¤Ë200°Ê¾å¤ÎÆÍÁ³ÊѰۤ¬Êó¹ð¤µ¤ì¤Æ¤¤¤ë¡¥³ÈÄ¥·¿¿´¶Ú¾É¤Ç¤â¥¢¥¯¥Á¥ó¡¤¥¸¥¹¥È¥í¥Õ¥£¥ó¤Ê¤É¤Î°äÅÁ»Ò°Û¾ï¤¬¤ß¤é¤ì¤ë¤³¤È¤¬Êó¹ð¤µ¤ì¤Æ¤ª¤ê¡¤¿´¶Ú¾É¤Ï¤â¤Ï¤ä¡È¸¶°øÉÔÌÀ¤Ê¿´¶Ú¼À´µ¡É¤È¤Ï¤¤¤¨¤Ê¤¯¤Ê¤Ã¤¿¡¥¤³¤Î¤è¤¦¤Ê¿ÊÊâ¤ò¤¦¤±¤ÆWHO/ISFC ¹çƱ°Ñ°÷²ñ¤ÎÄ󰯤¬1995ǯ¤Ë²þÄû¤µ¤ì¤¿¡¥
ÈîÂç·¿¿´¶Ú¾É
¿´¼¼ÃæÉôÊĺÉÀ¿´¶Ú¾É
³ÈÄ¥·¿¿´¶Ú¾É¤Ê¤é¤Ó¤Ë´ØÏ¢¤¹¤ëÆó¼¡À¿´¶Ú¾É¤Î¿ÇÎŤ˴ؤ¹¤ë¥¬¥¤¥É¥é¥¤¥ó
¤è¤ê¡¥
³ÈÄ¥·¿¿´¶Ú¾É¥Þ¥¯¥í
³ÈÄ¥·¿¿´¶Ú¾É¥ß¥¯¥í
ÆÃȯÀ¿´¶Ú¾É¤ËÃÖ¤±¤ë¿´¶ÚÀ¸¸¡Ê¼Ë¡¤ÎÉÂÍý·×Âà³ØÅª¸¡Æ¤
³ÈÄ¥·¿¿´¶Ú¾É¤Î¿´ÅÅ¿Þ¤ÎÆÃħ¡§
¡¡³ÈÄ¥·¿¿´¶Ú¾É¤ËÆÃ°ÛŪ¤Ê¿´Åſ޽긫¤Ï¤Ê¤¤¡¥¤·¤«¤·¤Ê¤¬¤é¡¤¿´¶Ú¤ÎÀþ°Ý²½¡¤¿´Ë¼¿´¼¼¤Î³ÈÄ¥¡¤»É·ãÅÁƳ·Ï¤Î¾ã³²¡¤¿´ÉÔÁ´Åù¤ËͳÍ褹¤ëÇÈ·ÁÊѲ½¡¤ÉÔÀ°Ì®¤¬Ç§¤á¤é¤ì¤ë¡¥ÆÃ¤Ëº¸¼¼¤Î³ÈÄ¥¡¤Àþ°Ý²½¤¬¿Ê¹Ô¤¹¤ë¤È¡¤º¸¼¼¹âÅŰ̢·º¸¼¼ÈîÂç¡Ê³ÈÂç¡Ë¡¤r Çȸº¹â¡ÊÆÃ¤ËV1¤«¤éV3 ͶƳ¤Îpoor r progression¡Ë¡¤°Û¾ïQÇÈ¡¤QRSÉý±äĹ¡¤º¸Â¦¶»ÉôͶƳ¤Ë¤ª¤±¤ëVAT±äĹ¡¤ µÓ»Þ¥Ö¥í¥Ã¥¯¡¤ ¿´¼¼Æâ¥Ö¥í¥Ã¥¯¡¤ ST-TÊѲ½¤Ê¤É¤¬½Ð¸½¤¹¤ë¡¥º¸¼¼¤Î³ÈÄ¥¤¬¤µ¤é¤Ë¿Ê¹Ô¤¹¤ë¤È¡¤QRSÉý¤¬0.12Éäòͤ¨¡¤º¸µÓ¥Ö¥í¥Ã¥¯½ê¸«¤òÄ褹¤ë¤¬¡¤¤½¤ÎÇÈ·Á¤Ïº¸¼¼³ÈÂç¤òȼ¤ï¤Ê¤¤Ãæ¿õÀ¤Îº¸µÓ¥Ö¥í¥Ã¥¯¤È¤Ï°Û¤Ê¤ê¡¤QRSÇȤËÊ£¿ô¤Înotch¤ò´Þ¤à¤è¤¦¤Ê°Û¾ï¤ÊÇÈ·Á¡ÊËö¾¿À¤Îº¸µÓ¥Ö¥í¥Ã¥¯¡Ë¤È¤Ê¤ë¡¥¤Þ¤¿¡¤º¸¼¼¤ÎÀþ°Ý²½¤¬¶ËÅ٤˿ʹԤ¹¤ë¤È¡¤º¸¼¼¤Îµ¯ÅÅÎϤ¬Äã²¼¾Ã¼º¤·¤Æ¡¤º¸Â¦¶»ÉôͶƳ¤ÎRÇȤ¬ÃøÌÀ¤Ë¸º¹â¤·¡¤SÇȤ¬¼çÂΤζ»ÉôͶƳÇÈ·Á¤ò¼¨¤¹¡Ê±¦µÓ¥Ö¥í¥Ã¥¯Îã¤ò½ü¤¯¡Ë¤È¤È¤â¤Ë¡¤»Í»èͶƳ¤ÏÄãÅŰ̲½¤¹¤ë¤è¤¦¤Ë¤Ê¤ë¡¥°ìÊý¡¤±¦¼¼¤Î³ÈÂ硤°µÉé²Ù¤¬À¸¤¸¤ë¤È±¦Â¦¶»ÉôͶƳ¤ÇTÇȤ¬±¢Å¾²½¤·¡¤¤½¤ì¤¬¤è¤êÃøÌÀ¤Ë¤Ê¤ë¤ÈV4¡¤V5ͶƳ¤Þ¤ÇT±¢Å¾¤¬Çȵڤ¹¤ë¤¬¡¤Æ±»þ¤Ëº¸¼¼³ÈÂ礬¸ºß¤¹¤ë¤È¡¤¤½¤ÎÊѲ½¤ÏÌÜΩ¤¿¤Ê¤¯¤Ê¤ë¡¥
¡¡¿´Ë¼¤â˼¼¼ÊۤεÕή¤äº¸¼¼³ÈÄ¥Ëö´ü°µ¤Î¾å¾º¤Ëȼ¤Ã¤Æ³ÈÂç¤ÈÀþ°Ý²½¤¬À¸¤¸¡¤PÇÈÉý¤Î±äĹ¤äº¸Ë¼Éé²Ù½ê¸«¤òÄ褷¡¤¿´Ë¼À´ü³°¼ý½Ì¡¤¿´Ë¼ºÙư¡ÊAF¡ËÅù¤Î¿´Ë¼ÀÉÔÀ°Ì®¤¬½Ð¸½¤·¤Æ¤¯¤ë¡¥¿´¼¼´ü³°¼ý½Ì¤â¿´µ¡Ç½¤ÎÄã²¼¤È¤È¤â¤Ë¿ȯ¤¹¤ë¤è¤¦¤Ë¤Ê¤ê¡¤Ï¢È¯¤ä¿¸»À´ü³°¼ý½Ì¤â½Ð¸½¤¹¤ë¡¥
¡¡³ÈÄ¥·¿¿´¶Ú¾É¤Ç¤Ï¼ç¤È¤·¤Æº¸¼¼¤ËÉÂÊѤòͤ¹¤ë¤¿¤á¡¤¿´¼¼´ü³°¼ý½Ì¤ÎÇÈ·Á¤Ï±¦µÓ¥Ö¥í¥Ã¥¯¤òÄ褹¤ë¤³¤È¤¬Â¿¤¤¤¬¡¤¿´¥µ¥ë¥³¥¤¥É¡¼¥·¥¹¤ÇÃæ³Ö´ðÉô¤ËÉÂÊѤòȼ¤¦¾ì¹ç¤Ï¡¤±¦µÓ¥Ö¥í¥Ã¥¯¡Ê¤Þ¤¿¤Ïº¸µÓ¥Ö¥í¥Ã¥¯¡Ë¡Ü²¼Êý¼´·¿¤Î´ü³°¼ý½Ì¢·¿´¼¼ÉÑÇï¡ÊVT¡Ë¤¬À¸¤¸¤ë¡¥¡¥
¡¡¿´ÉÔÁ´¾õÂ֤Ǥϳµ¤ÍÉÑÌ®¤È¤Ê¤ë¤¬¡¤¤½¤ÎºÝ¤ËPÇÈ·Á¤¬°Û½êÀ¿´Ë¼µ¯¸»¤ò¼¨¤·¤Æ¤¤¤¿¤ê¡Êƶ·ëÀᵯ¸»¡áI¡¤II¡¤ IIIͶƳ¤ÇPÇȤ¬ÍÛÀ¡Ë¡¤¿çÌ²Ãæ¤â100/ʬ¤òͤ¨¤ëƶÉÑÌ®¤òÄ褷¤Æ¤¤¤ë¾ì¹ç¤Ï¡¤ ¿´Ë¼ÉÑÇï¤äÉÔŬÀÚÆ¶ÉÑÌ®¡Êinappropriate sinus tachycardia¡Ë¤Ë´ð¤Å¤¯ÉÑ̮ͶȯÀ¿´¶Ú¾É¤òµ¿¤¦32¡Ë¡¥¿´¶Ú¤ÎÊÑÀ¤Ë¤è¤ê»É·ãÅÁƳ·Ï¤¬½ý³²¤µ¤ì¤ë¤È¡¤I¡ÁIIIÅÙ˼¼¼¥Ö¥í¥Ã¥¯¤òÀ¸¤¸¤ë¤¬¡¤¿´¥µ¥ë¥³¥¤¥É¡¼¥·¥¹¤Ç¤Ïɽé´ü¤«¤é˼¼¼¥Ö¥í¥Ã¥¯¤òȼ¤¤¤ä¤¹¤¤33¡Ë¡¥¡Ê12 ͶƳ¿´Åſޡ§¥ì¥Ù¥ë4a¡¤¥°¥ì¡¼¥ÉA¡Ë
³ÈÄ¥·¿¿´¶Ú¾É1
V2¤ÎSÇÈ > 35mm¤À¤«¤éLVH¡¤±¦¼´Êа̤À¤«¤éξ¿´¼¼ÈîÂ硤LAE¡¤II¤ÎPÇȤ¬¹â¤¯RAE¡¥
V5,6¤ÎRÇȤ¬Ä㤤¤³¤È¤«¤éº¸¼¼¿´¶Ú¤Ï³ÈÄ¥¤È¹Í¤¨¤ë¡¥STÉý¤¬Ä¹¤¤¤³¤È¤è¤êÇï½Ð»þ´Ö¤Î±äŤ¬¹Í¤¨¤é¤ì¤ë¡¥·ë²Ì¤È¤·¤ÆQTC¤Ï°Û¾ï¤ËŤ¯¤Ê¤ë¡¥
³ÈÄ¥·¿¿´¶Ú¾É2
ŵ·¿Åª¤ÊLVH¥Ñ¥¿¡¼¥ó¡¤V1¤ÎPÇȤÏRAE¤ÈLAE¤¬¸«¤é¤ì¤ë¡¥RVH¤Î½ê¸«¤Ï¤Ê¤¤¤¬¥¨¥³¡¼¤è¤êξ¿´¼¼ÈîÂ礬³Îǧ¤µ¤ì¤¿¡¥QTc¤ÏŤ¤¡¥
³ÈÄ¥·¿¿´¶Ú¾É3
±¦¼´Êа̤Ⱥ¸¼¼ÈîÂç¡¥QRSÉý¤Ï¹¤¯CLBBBÍͤǤ¢¤ë¤¬¡¤V6¤Ë¾®¤µ¤ÊqÇȤ¬¤¢¤ë¤¿¤á¤ËÅÁƳÃÙ±ä(IVCD)¤Ç¤¢¤ë¡¥²¼¹ß¤¹¤ëST¥»¥°¥á¥ó¥È¤Ï¥¹¥È¥ì¥¤¥ó¤«¥¸¥®¥¿¥ê¥¹¸ú²Ì¤«ÉÔÌÀ¡¥
³ÈÄ¥·¿¿´¶Ú¾É4
Af¤«¤éLBBBÍÍVT¤ÏDCM¤Ç¤è¤¯¸«¤é¤ì¤ë¡¥Îɤ¯¸«¤ë¤ÈR on T¤ÎVT¤Ç¤Ï¤Ê¤¯¡¤AF¤Ë¤è¤ëÉÑÌ®¤Ç¤¢¤ë¡¥
ÈîÂç·¿¿´¶Ú¾É¤Î¿ÇÎŤ˴ؤ¹¤ë¥¬¥¤¥É¥é¥¤¥ó(2007)
ÈîÂç·¿¿´¶Ú¾É¥Þ¥¯¥í
ÈîÂç·¿¿´¶Ú¾É¥ß¥¯¥í
dagger.png
dagger2.png
dagger3.png
apical.png
apical2.png
apical3.png
apical4.png
HCM¤ÏÄ̾￴¼¼Ãæ³Ö¤ÎÈîÂç¤òȯÀ¸¤·¡¤¤½¤ì¤¬º¸¼¼Î®½ÐÏ©¤Ë¤Þ¤ÇÇȵڤ¹¤ë¤ÈÊĺÉÀÈîÂç·¿¿´¶Ú¾É(HOCM 25%)¤È¤è¤Ö¡¥ÆÃ¼ì¤Ê·¿¤È¤·¤Æº¸¼¼¼«Í³ÊɤËÈîÂ礬µÚ¤Ö¤È¿´¼¼ÃæÉôÊĺÉÀ¿´¶Ú¾É(20%)¡¢Ãæ³Ö¤Ç¤Ï¤Ê¤¯¿´ÀíÉô¤ÇÈîÂ礹¤ë¤È¿´ÀíÉôÈîÂç·¿¿´¶Ú¾É(10%)¤È¤è¤Ó¡¤ÅìËÌ¥¢¥¸¥¢¿Í¤Ë¿¤¤¡¥
¡¡HCM ¤ÎÌóȾ¿ô¤Ë¾ïÀ÷¿§ÂÎÀÍ¥À°äÅÁ¤Î²È²Æâȯ¾É¤¬¤ß¤é¤ì¤ë¡¥¸ÉȯÎã¤ÎHCM ¤Î¤Ê¤«¤Ë¤Ï¤È¤ê¤ï¤±¿´ÀíÉôÈîÂç·¿¿´¶Ú¾É¤¬Â¿¤¯´Þ¤Þ¤ì¡¤HOCM ¤Ï¾¯¤Ê¤¤¡¥ C·¿´Î±ê¥¦¥¤¥ë¥¹¡ÊHCV¡Ë¤ÏHCM ¤Î¸¶°ø¤È¤·¤Æ½ÅÍפǤ¢¤ë¤³¤È¤¬¼¨º¶¤µ¤ì¤Æ¤¤¤ë29¡Ë¡¥ HCM ¤Ç¤Ï³ÈÄ¥ÉÔÁ´¤¬¼çÉÂÂ֤ǡ¤¼ý½Ìǽ¤Ï°ìÈÌŪ¤Ë¤ÏÊÝ»ý¤µ¤ì¤Æ¤¤¤ë56¡Ë¡¤67¡Ë¡¥
¡¡º¸¼¼Î®½ÐÏ©¶¹ºõ HOCM ¤Ï¡¤HCM Á´ÂΤÎÌó25¡óÄøÅ٤Ȥµ¤ì¤Æ¤¤¤ë75¡Ë¡¥¼«³Ð¾É¾õ¤Ë¶»Äˤ¬Â¿¤¤¡¥¤·¤«¤·¡¤ °¡¾Ë»ÀÌô¤Ï HCM ´µ¼Ô¤ËÂФ·¤Æ¤Ï¶Ø´÷Ìô¤Ç¤¢¤ê¡¤¶»ÄˤËÂФ·¤Æ¤ÏŬÀڤʿÇÃǤ¬É¬ÍפǤ¢¤ë¡¥Æ°Ø©¤ÏÉÔÀ°Ì®¡¤ÉÑÌ®¤½¤·¤Æ¼ý½ÌÎϤÎÁýÂç¤Ê¤É¤Çǧ¤á¤é¤ì¤ë¡¥
¡¡Ä̾ïHCM ´µ¼Ô¤Ç¤Ï¾å¼¼À¤¢¤ë¤¤¤Ï¿´¼¼ÀÉÔÀ°Ì®¤Ë¤è¤ëưة¤¬Â¿¤¤¡¥µ©¤Ê¤é¤º¡¤È¯ºîÀ¿´Ë¼ºÙư¤ä»ý³À¿´Ë¼ºÙư¤Î¤¿¤á¤Îưة¤â¤¢¤ê¡¤¥Û¥ë¥¿¡¼¿´ÅſޤʤɤÇŬÀÚ¤«¤ÄÁá´ü¤Î¿ÇÃǤ¬É¬ÍפǤ¢¤ë¡¥
¡¡º¸¼¼¹âÅṲ̋ÎÉÑÅ٤ϡ¤¼ãǯHCM ¤Ç¤ÏÄ㤯121)¡¤À®¿Í¹âÎð¼Ô¤Ç¤Ï¹â¤¯¤Ê¤ë122)¡¥
ii¡Ë°Û¾ïQ ÇȤʤé¤Ó¤ËÃæ³ÖÀQ ÇȤξüº¡¡°Û¾ïQ ÇȤϡ¤¾®»ùHCM ¤ÎÌóȾ¿ô¤Ë121)¡¤À®¿Í¤Î25¡Á31¡ó¤Ëǧ¤á¤é¤ì¤ë80)¡¤117)¡¥°Û¾ïQÇÈ·ÁÀ®¤Ë¤Ï¡¤Ãæ³Ö¤ÎÉÔ¶ÑÅù¤ÊÈîÂç¤È¿´¶ÚÊÑÀ¤Î2 ¤Ä¤ÎÀ®°ø¤¬¿ä¬¤µ¤ì¤ë127¡Ë¡¥Á°¼Ô¤ÏÈóÂоÎÀÃæ³ÖÈî¸ü¤Ë¤è¤ë½é´ü¥Ù¥¯¥È¥ë¤ÎÉԶѹդǤ¢¤ê¡¤Éý¤Î¶¹¤¤¿¼¤¤Q ÇȤò¼¨¤·¡¤½é´üÃæ³Ö¥Ù¥¯¥È¥ë¤¬º¸¤«¤é±¦Êý¸þ¤Ë¸þ¤«¤¦¾ì¹ç¤Ë¤ÏV5,6 ¤Ë¡¤¾åÊý¸þ¤è¤ê¤Ç¤¢¤ì¤ÐII¡¤III¡¤aVF ¤ËQ ÇȤ¬·ÁÀ®¤µ¤ì¤ë¡¥Ãæ³Ö¤Ë¸Â¶É¤·¤¿¼ãǯÈîÂçÎã¤Ç°Û¾ïQ ÇȤÎÉÑÅÙ¤¬¹â¤¯117¡Ë¡¤ÈîÂ礬º¸¼¼¼«Í³ÊɤؿÊŸ¤¹¤ë¤«¡¤Ãæ³Ö¤Î¿´¶Ú¤ËÀþ°Ý²½¤¬À¸¤¸¤ì¤Ð¡¤Ãæ³Ö¥Ù¥¯¥È¥ë¤ÎÁêÂÐŪ¸º¾¯¤Ë¤è¤ê¡¤Q ÇȤϸº¹â¤·¡¤HCM ¤Î15¡ó¤Ç¤Ï¾Ã¼º¤¹¤ë¡¥¤Þ¤¿¡¤¿´ÀíÉôÈîÂç·¿¿´¶Ú¾É¤ä±¦¼¼ÈîÂçÎã¤Ç¤Ï¡¤°Û¾ïQ ÇȤòȼ¤ï¤Ê¤¤128¡Ë¡¥¡¡¸å¼Ô¤Ï¡¤¿´¶Ú¤ÎÊÑÀ¡¤Àþ°Ý²½¤Ë¤è¤ë¶É½ê¤Îµ¯ÅÅÎϾüº¤Ç¤¢¤ê¡¤RÇȤθº¹â¤È¤È¤â¤Ë¿·¤¿¤Ê°Û¾ïQ ÇȤ¬½Ð¸½¤¹¤ë¡¥¤³¤ÎQ ÇȤÏÉý¹¤¤¤³¤È¤¬Â¿¤¯¡¤V4-6 ͶƳ¤Ë¤ß¤é¤ì¤ë¡¥ D-HCM (dilated phase of hypertrophic cardiomyopathy: ³ÈÄ¥ÁêÈîÂç·¿¿´¶Ú¾É)¤Ë¿¤¤¡¥
iii)¤½¤Î¾¤ÎQRS °Û¾ï
¡¡¼´Êа̤Ï20¢·30¡ó¤Ëǧ¤á¤é¤ì¡¤º¸¼´Êа̤¬Â¿¤¤¡¥¿´¼¼ÆâÅÁƳ¾ã³²¤Ï»É·ãÅÁƳ·Ï¤Î¾ã³²¤òÈ¿±Ç¤¹¤ë¡¥15¡ó¤ËWPW¾É¸õ·²¤Ê¤É¿´¼¼Áá´ü¶½Ê³¤¬¹çÊ»¤·129¡Ë-131¡Ë¡¤µ©¤ËÆÍÁ³»à¤Î¸¶°ø¤È¤Ê¤ë130¡Ë¡¥
b¡ËST-T ÊѲ½
¡¡ST²¼¹ß¤È±¢ÀTÇȤÏ70¢· 95¡ó¤Ëǧ¤á¤é¤ì¤ë¡¥µ¡½ø¤È¤·¤Æ¤Ï¡¤¿´¼¼ÈîÂç¤Ëȼ¤¦¿´ÆâËì²¼¿´¶Ú¤ÎÁêÂÐŪ¿´¶Úµõ·ì¡¤ÈîÂç¿´¶Ú¤ÎºÆÊ¬¶Ë²áÄø¤ÎÃÙ±ä¤Ëȼ¤¦°ì¼¡ÀÊѲ½¡¤Ã¦Ê¬¶Ë²áÄø¤ÎÊѲ½¤Ëȼ¤¦Æó¼¡ÀÊѲ½¤Ê¤É¤¬¿ä¬¤µ¤ì¤ë¡¥¥¹¥È¥ì¥¤¥ó¥Ñ¥¿¡¼¥ó¤¬Â¿¤¤¤¬¡¤Äã²¼¤ÎÄøÅÙ¤ÏÈîÂç¤ÎÄøÅÙ¤ÈÁê´Ø¤·¤Ê¤¤¡¥
¡¡¿´ÀíÉôÈîÂç·¿¿´¶Ú¾É¤Ç¸«¤é¤ì¤ëº¸Â¦¶»ÉôͶƳ¤Î¹âÅṲ̋òȼ¤¦µðÂç±¢ÀTÇȤÏV3 ¢· 5¤òÃæ¿´¤Ë¡¤1.0mV°Ê¾å¤ÇÂоÎÀ¤ò¼¨¤·¡¤¤·¤Ð¤·¤ÐST²¼¹ß¤ò¤ß132¡Ë¡¤¿´ÀíÉôÈî¸ü¤ÎÄøÅÙ¤¬¶¯¤¤¤Û¤É¿¼¤¯¤Ê¤ë133¡Ë¡¥¿´ÀíÉôÈîÂç·¿¿´¶Ú¾É¤Î70 ¡ó¤Ç¤Ï¡¤¹âÅṲ̋äµðÂç±¢ÀTÇȤϷвá¤È¤È¤â¤Ë¸º¾¯¡¤¾Ã¼º¤·124¡Ë¡¤¤½¤Î¸¶°ø¤ÏÈîÂç¿´¶Ú¤ÎÊÑÀ¡¤Àþ°Ý²½¤Ëȼ¤¦Âà¹ÔÀÊѲ½¤È¹Í¤¨¤é¤ì¤ë¡¥
¡¡»þ¤Ë¡¤º¸Â¦¶»ÉôͶƳ¡¤II¡¤III¡¤aVF¡¤¤¢¤ë¤¤¤ÏI¡¤ aVLͶƳ¤Ë¡¤RÇȤθº¹â¤äÉý¤Î¹¤¤°Û¾ïQ ÇȤòȼ¤¦ST ¾å¾º¤òǧ¤á¤ë¤³¤È¤¬¤¢¤ê¡¤¿´¶ÚÊÑÀ¤Î¿Ê¹Ô¤¬¿ä¬¤µ¤ì¤ë 134¡Ë¡¥D-HCM ¤ä¿´ÀíÉô¿´¼¼áî¹çÊ»Îã¤Ë¤·¤Ð¤·¤Ð¤ß¤é¤ì¤ë¡¥
ÈîÂç·¿¿´¶Ú¾É1 Dagger-like Q Waves
ÈîÂç·¿¿´¶Ú¾É2 Giant T wave inversion
ÈîÂç·¿¿´¶Ú¾É3 Classic HCM with asymmetrical sptal hypertrophy
ÈîÂç·¿¿´¶Ú¾É4 ¾å¤ÈƱ¤¸Ê̤ÎÎã
ÈîÂç·¿¿´¶Ú¾É5
ÈîÂç·¿¿´¶Ú¾É6
ÈîÂç·¿¿´¶Ú¾É¥¨¥³¡¼
ÈîÂç·¿¿´¶Ú¾É¥¨¥³¡¼3
ÈîÂç·¿¿´¶Ú¾É¥¨¥³¡¼2
ÈîÂç·¿¿´¶Ú¾É¥¨¥³¡¼4
ÈîÂç·¿¿´¶Ú¾É¥¨¥³¡¼5
ÈîÂç·¿¿´¶Ú¾É¥¨¥³¡¼6
12%¤ÎWPW¤ÏPR´Ö³Ö¤¬Àµ¾ï¤Ç¤¢¤ë¡¥
memo
ÉûÅÁƳϩ¤Î°ÌÃ֤Ϻ¸¼¼¼«Í³Êɤ¬ºÇ¤â¿¤¯55%¡¤
¤Ä¤¤¤Ç¸åÊÉÃæ³Ö¤¬33%¡¤±¦¼¼¼«Í³Êɤ¬9%¡¤
±¦¼¼Á°ÊÉÃæ³Ö¤¬3%¤ÈÊó¹ð¤µ¤ì¤Æ¤¤¤ë¡¥
(Wellens: p.80)
GE #305¡§
°ì¸«V1¤ÇLBBB¡¤V6¤ÇRSÇȤÀ¤«¤éIVCD¤Î¤è¤¦¤Ë¸«¤¨¤ë¤¬¡¤V6¤ÎSÇȤϥ·¥ã¡¼¥×¤Ç¤¢¤ë¡¥
¤·¤¿¤¬¤Ã¤Æ¡¤RBBB¤ÎV6¤Ç¤Ï¤Ê¤¤¡¥PQû½Ì»Í»èͶƳ¤Î¦¤ÇȤ«¤éB·¿¤ÎWPW¤Ç¤¢¤ë¡¥
ÅÁƳÉô°Ì¤Ï(3A)±¦¼¼¸åÊÉÃæ³Ö¤Ë¤Ê¤ë¡¥
¿ÇÃÇ¡§final p.97.
IMG_20170912_0002.pdf
IMG_20170912_0002.pdf¤ÏGE #190¡¥²èÁü°¤¯ºî¤ê¤Ê¤ª¤·¡¥
III¤ÈaVF¤Î¥Ç¥ë¥¿ÇȤϥǥ륿ÇȤǤϤʤ¤¡¥
P-Rû½Ì¤Ç°Û¾ïQÇȤÏWPW¾É¸õ·²¤È´Ö°ã¤¨¤Ê¤¤¤è¤¦¤Ë¤·¤Ê¤±¤ì¤Ð¤Ê¤é¤Ê¤¤¡¥
(12 Lead p.137¤è¤ê)
Type A:
V1¤Ç¾å¸þ¤¦¤ÇÈ¡¤Á´¤Æ¤Î¶»ÉôͶƳ¤¬RÇȤˤʤ롥º¸¼¼(Kent«)¤ËÉûÅÁƳϩ¤¬¤¢¤ë¤«¤é
±¦µÓ¥Ö¥í¥Ã¥¯·¿¤Ë»÷¤ë¡¥
Type B:
V1¤Ç²¼¸þ¤¦¤ÇÈ¡¤º¸Â¦¶»ÉôͶƳ¤Ï¾å¸þ¤¤ÎRÇȤˤʤ롥±¦¼¼¤ËÉûÅÁƳϩ¤¬¤¢¤ë¤«¤é
º¸µÓ¥Ö¥í¥Ã¥¯·¿¤Ë»÷¤ë¡¥
GE #186: ´Ö·çWPW¡¥
Type C:
V1¤«¤éV4¤Þ¤Ç¤Ï¾å¸þ¤¡¤V5, V6¤Ï²¼¸þ¤SÇÈ¡¤µ©¤Ç¤¢¤ë¡¥
Type B¤ÎII, III, aVF¤Î±¢À¦¤ÇȤϿ´¶Ú¹¼ºÉ¤Î°Û¾ïQÇȤȴְ㤨¤ä¤¹¤¤¡¥
pseudoinfarct¤È¤¤¤ï¤ì¤Æ¤¤¤ë¡¥Type A¤Î¹â¤¤RÇȤϸåÊɹ¼ºÉ¤È´Ö°ã¤¨¤ä¤¹¤¤¡¥
IVCD¤È´Ö°ã¤¦WPW¡¥
GE #305 PQû½Ì¡¤IVCD¡¥
¿ÇÃÇ¡§WPW¡¥V4-6¤ÎSÇȤÏÀµ¾ï¤Ç¤¢¤ê¡¤IVCD¤ÏÈÝÄê¤Ç¤¤ë¡¥
¶½Ê³¤¬Kent«¤«¤é¿´¼¼¤ËÆþ¤ê¡¤µÕ¹ÔÀ¤ËAV node¤ò°ì½ä¤¹¤ë¿´¼¼ÉÑÇï¤Ï
antidromic¤È¤è¤Ð¤ì¤ë¡¥wide-complex tachycardia¤ÇVT¤È¶èÊ̤Ǥ¤Ê¤¤¡¥
ÉÑÇï¤Ç¤¢¤ë¡¥¤Þ¤¿AF¤äAf¤È¤Î1:1Âбþ¤ÏÉÑÇ郎Áᤤ¡¥
µÕ¤ËAV node¤«¤éKent«¤Ë¸þ¤«¤¦¥ë¡¼¥×¤Ïorthodromic¤È¤è¤Ð¤ì¤ë¡¥
Àµ¾ïÅÁƳ¤Ç¤¢¤ë¤«¤énarrow-complex tachycardia¤Ç¤¢¤ê¡¤´í¸±ÅÙ¤ÏÄ㤤¡¥
AV node¤ÎÃٱ䤬Ư¤¯¤¿¤á¤Ç¤¢¤ë¡¥ÉÑÇï¤ÏÃÙ¤¤¡¥
´§ÀÅ̮ƶ¤ÏÁÎ˹ÊÛ¤ÎÇØÂ¦¤òÁö¹Ô¤·¡¤º¸¼¼¸åÊÉÃæ³Ö¤Ë°ÌÃÖ¤¹¤ë¡¥
¤½¤Î¤¿¤á¤Ë¡¤´§ÀÅ̮ƶĴΧ¤ÎWPWÉûÅÁƳϩ¤Ïº¸¼¼¸åÊÉÃæ³ÖÉÕ¶á¤È¹Í¤¨¤é¤ì¤ë¡¥
wpw2.png
´§ÀÅ̮ƶĴΧ¤Ë¤è¤ëWPWÇÈ·Á
2018ǯ12·î22Æü(ECG4.doc)¤è¤ê
¿´Çï¿ô 80¡¤P¼´ 118, QRS¼´ 77, T¼´ 85
wpw3.pdf
concordant ¶ËÀ¤¬°ìÃ×
discordat ¶ËÀ¤¬ÉÔ°ìÃ×(µÕž¡¤È¿Å¾)
ºÇ¸å¤ÎQRS¤ÎÊý¸þ¤Ëdiscordant¤¬Àµ¾ï¤Ç¤¢¤ê¡¤concordant¤Ç¤Ïµõ·ìÊѲ½¤È¤ß¤Ê¤¹¡¥
RBBB¤ª¤è¤ÓIRBBB¤Ç¤ÏSÇȤϲ¼¸þ¤¤À¤«¤é¾å¸þ¤¤ÎTÇȤˤʤꡤÀµ¾ï¤È¶èÊ̤Ǥ¤Ê¤¤¡¥
final p.86
ÇÙ¹¼ºÉ
¤½¤ÎPE¤Î¿´Åſ޽긫¤Ç¤Ï¡¤¤¤¤ï¤æ¤ëS1Q3¤Î±¦¼¼Éé²Ù¥Ñ¥¿¡¼¥ó¡Ê¿Þ3º¸¡Ë¤¬Í̾¤Ç¤¹¤¬¡¤
¤ß¤«¤±¤ëÉÑÅÙ¤Ï30¡ó°Ê²¼¤Ç¤¹¡£¤·¤«¤â½Å¾ÉÅ٤ȤϤ¢¤Þ¤êÁê´Ø¤·¤Þ¤»¤ó¡£
¼Â¤Ï¡¤¤½¤ì¤è¤ê¤â±¦Â¦¶»ÉôͶƳ¡ÊV1-3¡Ë¤ÎTÇȤÎÊѲ½¤Î¤Û¤¦¤¬Í½¸å¤ò¤è¤¯È¿±Ç¤·¤Þ¤¹¡Ê¿Þ3±¦¡Ë¡£
¤·¤«¤·»Äǰ¤Ê¤¬¤é¡¤¤¤¤º¤ì¤âÉÑÈˤˤߤ«¤±¤ë½ê¸«¤Ç¤Ï¤¢¤ê¤Þ¤»¤ó¡£
McGinn-White¤Îpattern¤È¤ÏS1Q3T3¤Î¿´Åſޤò¤¤¤¦¡¥
II¤ÈIII¤Î±¢ÀTÇȤϲ¼Êɤεõ·ì½ê¸«¤ÈƱ¤¸¡¥
V1¡ÁV3¤Î±¢ÀTÇȤÏËÜÍè¾å¸þ¤ÍÛÀTÇȤ¬Àµ¾ï¤Ç¤¢¤ë¤Î¤Ç
ÌÀ¤é¤«¤Ë°Û¾ï¤Ç¤¢¤ë¡¥
T¥Ù¥¯¥È¥ë¤¬¸åÊý¤Ë¸þ¤«¤¦½ê¸«¤È¤¤¤ï¤ì¤Æ¤¤¤ë¤¬¡¤
±¦¼¼¿´¶Ú¤Î³ÈÄ¥¤äÈîÂç¤Ëȼ¤¦¿´ÆâË즿´¶Ú¤ÎÁá´üºÆÊ¬¶Ë
¤Ë¤è¤ë°Û¾ï¤È¹Í¤¨¤ë¡¥
PE¤Ç¤Ï±¦¼¼³ÈÄ¥¤¹¤ë¤¬¡¤±¦¼¼ÈîÂç¤Ë¤Ï¤Ê¤é¤Ê¤¤¡¥¤½¤Î¤¿¤áV1¤ÎRÇȤϾ®¤µ¤¤¡¥
V1¤ÎrSR'¤Ï±¦¼¼ÈîÂç¤Ç¤â¶¦Ä̤¹¤ë½ê¸«¤Ç¤¢¤ë¡¥V6¤ÎSÇȤò¸«¤Æ¡¤Éý¤¬¤»¤Þ¤±¤ì¤Ð
±¦µÓ¥Ö¥í¥Ã¥¯¤Ç¤Ï¤Ê¤¤¡¥S1¤ÎSÇȤÏÉý¤¬¶¹¤¤¡¥
BB p.76, fig7.19 ÇÙ¹¼ºÉ¡¤S1Q3T3¡¤I¤ÎrS¤Ë¤è¤ë±¦¼´Êа̡¤V1¤ÏqR¤Þ¤¿¤ÏrR'¡¤V6¤ÏRS¡¤»þ·×²óž¡¥
transiton °Ü¹ÔÂÓ R/SÈæ¤¬1¤Î¾ì½ê¡¥p.219
Àµ¾ï¤Ê¤éV3¤ÈV4¤Î´Ö¤Ë¤¢¤ë¡¥
°Ü¹ÔÂÓ¤¬
V1¤Ë¶á¤Å¤¯¤ÈÈ¿»þ·×²óž(counterclockwise rotation)¡¤
V6¤Ë¶á¤Å¤¯¤È»þ·×²óž(clockwise rotation).
¶Ëü¤Ê»þ·×²óž¤Ïecg 9-11¤Ç¸«¤é¤ì¤ë¡¥
¸¶Íý¡§
±¦¼¼¤Ï±¦¼Ð¤áÁ°Êý¤Ë°ÌÃÖ¤¹¤ë¡¥º¸¼¼¤Ïº¸Ë¼¤äÂçÆ°Ì®¤Ë¸ÇÄꤵ¤ì¡¤°Üư¤·¤Ë¤¯¤¤
¾õÂ֤Ǥ¢¤ë¤¬¡¤±¦¼¼¤Ï¿´ÈîÂç¤È¶¦¤Ë±¦Â¦Êý¤Ë°Üư¤Ç¤¤ë¡¥
¤·¤¿¤¬¤Ã¤Æ¡¤È¿»þ·×²óž¤ÏÍÆ°×¤ËͤêÆÀ¤ë¡¥
°Ü¹ÔÂÓ¤¬V1¡ÁV2¤Ê¤ÉÈ¿»þ·×²óž¤¹¤ë¤ÈRÇȤ¬¹â¤¯¤Ê¤ê¡¤±¦¼¼ÈîÂ硤¸åÊɹ¼ºÉ¤ò¹Íθ¤¹¤ë¡¥
ecg 11-22¡¥
»þ·×²óž¡§
º¸¼¼ÈîÂ硤
V1¤ÎR¤¬¾®¤µ¤¯¤Æ¤âȯÀ¸¤¹¤ë±¦¼¼ÈîÂç(MS, PH, COPD, PE)¡¥
ξ¿´ÈîÂç¡¥
ALFB
pectus exavatum(ϳÅͶ»)
¿´Â¡¤¬¿åÊ¿°Ì¤Ë¤Ê¤ë¤ÈÈ¿»þ·×Êý¸þ²óž(good R progression, early transition)¤ò
¤ª¤³¤·¤ä¤¹¤¤¡¥V1¤Îr¤¬Â礤¯¤Ê¤ë¡¥
I¤ÈaVF¡¤II¤ÈaVF¤Ï»÷¤Æ¤¤¤ë¡¥
S1S2S3¤ÏÉÔÄê¼´¤Ë¤Ê¤ë¡¥
¿´Â¡¤¬È¿»þ·×Êý¸þ²óž¤ò¤ª¤³¤»¤Ð¡¤
V1¤ÈV6¤ÎRÇȤ¬¹â¤á¤Ë¤Ç¤ë¡¥
EMS 12 Lead
Prominent R Wave in Lead V1: Electrocardiographic Differential Diagnosis.
Mattu, Brady, et al.
Am J Emerg Med 2001;19:504-513.
Right bundle branch block
Left ventricular ectopy
Right ventricular hypertrophy
Acute right ventricular dilation
Wolff-Parkinson-White syndrome Type A
Posterior myocardial infarction
Hypertrophic cardiomyopathy
Progressive muscular dystrophy
Dextrocardia
Misplaced precordial leads
Normal variant
´§Æ°Ì®¤Î²ò˶¡§final p.60
ÉáÄ̤ο´ÅſޤǤϣ±£²Í¶Æ³¿´ÅſޤȤ¤¤Ã¤Æ¡¢
¿´Â¡¤ò£±£²¤ÎÊý¸þ¤«¤é¿´ÅſޤòµÏ¿¤¹¤ë¤ó¤Ç¤¹¤¬¡Ê¿ÈÂΤËÉÕ¤±¤ëÅŶˤϣ±£°¸Ä¡Ë
¤½¤Î¤¦¤Á¤Î IIͶƳ¤ÈIIIͶƳ¤ÈaVfͶƳ¤È¤¤¤¦½ê¤Î£ÐÇȡʿ´Ë¼¤Î¼ý½Ì¤¹¤ë¤È¤¤ÎÇȡˤ¬
²¼¸þ¤¤Ë¤Ê¤Ã¤Æ¤¤¤ë¡ÊÄ̾ï¤Ï¾å¸þ¤¡Ë¤â¤Î¤ò´§ÀÅ̮ƶĴΧ¤È¸Æ¤ó¤Ç¤¤¤Þ¤¹¡£
GE #272, PR 0.13, Axis -20¡ë¡¤ÊаÌÌ̤¬V1¤ÈV2¤Î´Ö¤Ï°Û¾ï¡¥NSTWC¡¥
¿´ÅÅ¿ÞII,III,aVFͶƳ¤Ç¤Î±¢ÀPÇȤǼ¨¤µ¤ì¤ëµÕ¹ÔÀPÇÈĴΧ¤Ï¸Å¤¯¤è¤ê´§ÀÅ̮ƶĴΧ¤È
¸Æ¤Ð¤ì,ÀèÅ·À¿´¼À´µÆÃ¤Ëº¸¾åÂçÀÅÌ®°ä»Ä¾É,ÀÅ̮ƶ·¿¿´Ë¼Ãæ³Ö·ç»¾É,
²¼ÂçÀÅÌ®·ç»¾ÉÎã¤Ç¹âÉÑÅ٤ˤߤé¤ì¤ë¤³¤È¤¬ÃΤé¤ì¤Æ¤¤¤ë.
·Ð¸³¤·¤¿¤³¤ì¤é¼À´µ·²¤Î¤¦¤Á,´§ÀÅ̮ƶĴΧ¤òÄ褷¤¿¤Î¤Ï
º¸¾åÂçÀÅÌ®°ä»Ä¹çÊ»Îã35ÎãÃæ7Îã(20.0%),ÀÅ̮ƶ·¿¿´Ë¼Ãæ³Ö·ç»¾É14ÎãÃæ4Îã(28.6%)¤Î
¹âΨ¤Ç¤¢¤Ã¤¿.²¼ÂçÀÅÌ®·ç»Îã¤Î1Îã¤Ïº¸¾åÂçÀÅÌ®¸¯»Ä¤ò¹çÊ»¤·´§ÀÅ̮ƶĴΧ¤Ç¤¢¤Ã¤¿.
ÂоȤȤ·¤ÆÁª¤ó¤ÀÍñ±ßãÝ·¿¿´Ë¼Ãæ³Ö·ç»¾É173ÎãÃæ´§ÀÅ̮ƶĴΧ¤Ï5Îã(2.9%)¤Ë
¤È¤É¤Þ¤Ã¤¿.Íñ±ßãÝ·¿¿´Ë¼Ãæ³Ö·ç»¾ÉÎã¤Î½Ñ¸å¿´ÅÅ¿Þfollow upÃæP¼´¤Îº¸¼´²½¤ò
43Îã(24.9%)¤Ëǧ¤á,¤½¤Î¤¦¤Á´§ÀÅ̮ƶĴΧ¤Ø¤Î°Ü¹Ô¤¬22Îã(12.7%)¤Ë¤ß¤é¤ì¤¿.
ÂçÀÅÌ®¤Ø¤Î¥¿¡¼¥Ë¥±¥Ã¥È¤ò»ÈÍѤ¹¤ë¿´Ë¼Ãæ³Ö·ç»¾É½¤Éü¤Ç¤Ï,¤³¤ì¤Ë¤è¤ëƶ·ëÀá¤Î
¾ã³²¤Ë¤è¤ê½Ñ¸å´§ÀÅ̮ƶĴΧ¤òÀ¸¤¸¤ë¤â¤Î¤È¹Í¤¨¤é¤ì¤¿.
PR¤Ï 0.12Éðʾå¤Ç¤¢¤ë¡¥
´§ÀÅ̮ƶĴΧ (coronary sinus rhythm)
irregularly irregular ÀäÂÐŪÉÔÀ°Ì®
ST¾å¾º(STE)¤ËÂФ·¤ÆÂЦ¿´¶Ú¤ÎSTÄã²¼(STD)¤ò¼¨¤¹¡¥
TÇȤËÂФ·¤Æ¤ÏÊѲ½¤¬¤Ê¤¯¡¤µÕž¤ÏÀ¸¤¸¤Ê¤¤¡¥Ã±¤ËÀÅ»ßÅṲ̋À¤±¤ÎÊѲ½¤Ç¤¢¤ë¡¥
cf. final p.52
¦Êɹ¼ºÉ¡§I,aVL¤ÎSTE¤ËÂФ·¤ÆII,III,aVF¤ÎSTD¡¤II¤ÎÊѲ½¤Ï¾¯¤Ê¤¤¡¥GE #104¡¥
²¼Êɹ¼ºÉ¡§II, III, aVF¤ÎSTE -> I, aVL¤ÎSTD
±¦¼¼¹¼ºÉ¡§VR¤ÎSTE ->V1, V2¤ÎSTD¡¤¤·¤«¤·±¦¼¼¹¼ºÉ¤ÏV1,V2¤ÎSTE¤¬Í¤êÆÀ¤ë¡¥
±¦¼¼Êɤ϶»ÉôÁ°Ì̤ˤ¢¤ë¤¿¤á¡¥
¸åÊɹ¼ºÉ¡§V6¡ÁV9¤ÎSTE -> V1, V2¤ÎSTD
Æþ±¡Ãæ¤Ë¿´Åſ޽긫¤¬¥¹¥È¥ì¥¤¥ó¥Ñ¥¿¡¼¥ó¤ËÊѲ½¤·¤¿Ä¶¹âÎ𿲶ñÁ´¤Î1Îã
²¼·¦ Ű¡¤Ç÷ÅĹ̰ìϺ¡§Æþ±¡Ãæ¤Ë¿´Åſ޽긫¤¬¥¹¥È¥ì¥¤¥ó¥Ñ¥¿¡¼¥ó¤ËÊѲ½¤·¤¿Ä¶¹âÎð¿´ÉÔÁ´¤Î1Îã¡¥¿´Â¡ 43:43-48, 2011.
LVH
º¸¼¼ÈîÂç¤Î½ê¸«¤È¤·¤Æ¤Ïº¸¼¼¹âÅŰ̡¢QRS»þ´Ö¤Î±äĹ¡¢ÆÃ¤ËVAT¡Ê¿´¼¼¶½Ê³»þ´Ö¡Ë¤¬±ä
Ť¹¤ë¡¢ST-TÊѲ½¤È¤¤¤Ã¤¿¤â¤Î¤¬ÃΤé¤ì¤Æ¤¤¤ë¡£º¸¼¼¹âÅṲ̋ΤߤǤϺ¸¼¼ÈîÂç¤È¤Ï¸À
¤ï¤Ê¤¤¡£ÈîÂ礬¿Ê¤à¤È¡¢TÇȤÎʿ󲽡¢ST²¼¹ß¡¢TÇȤα¢Å¾²½¤¬Ç§¤á¤é¤ì¤ë¤è¤¦¤Ë¤Ê¤ë¡£
¤³¤ì¤é¤ò¥¹¥È¥ì¥¤¥ó·¿ST-TÊѲ½¤È¤¤¤¦¡£¥¹¥È¥ì¥¤¥ó·¿¤Ç¤Ï¾å¤ËÆÌ¤ÎSTÄã²¼¤Ç¤¢¤ê¡¢
Á°È¾¤¬¤Ê¤À¤é¤«¤Ç¸åȾ¤¬µÞ·ã¤Êº¸±¦ÈóÂоÎÀ¤Î±¢ÀTÇȤȤʤ롣I, aVL, V4¡ÁV6ͶƳ¤Ë
ǧ¤á¤é¤ì¤ë¤³¤È¤¬Â¿¤¤¡£Î©°Ì¿´¤Ç¤ÏI,aVL¤Ç¤Ï¤Ê¤¯II,III,aVFͶƳ¤Ë¤³¤ì¤é¤ÎÊѲ½¤¬
ǧ¤á¤é¤ì¤ë¤³¤È¤¬¤¢¤ë¡£
RVH
±¦¼¼ÈîÂç¤ÏÇÙ¹â·ì°µ¾É¤Ê¤É¤Çǧ¤á¤é¤ì¤ë½ê¸«¤Ç¤¢¤ë¡£¥¨¥³¥Î¥ß¡¼¥¯¥é¥¹¾É¸õ·²¤Ê¤É
ÇÙºÉÀò¾É¤Ç¤Ï½Å¾ÉÅÙ¡¢¼£ÎÅË¡¤ò·èÄꤹ¤ë¤¦¤¨¤Ç¤É¤ÎÄøÅÙ¤ÎÇÙ¹â·ì°µ¤¬¤¢¤ë¤Î¤«¤¬
½ÅÍפȤʤäƤ¯¤ë¤¿¤á¡¢±¦¿´ÈîÂç¤Î½ê¸«¤ÏÈó¾ï¤Ë½ÅÍפǤ¢¤ë¡£±¦¼´Êа̡¢ÇÙÀPÇÈ
¡ÊPÇȤι⤵¤¬25mm°Ê¾å¡Ë¡¢V1¢·V3¤ÎRÇȤÎÁý¹â¡¢VAT¤¬0.03¤«¤é0.05Éá¢V1¡ÁV3¤Î
¥¹¥È¥ì¥¤¥ó¥Ñ¥¿¡¼¥ó¡¢I, aVL, V5, V6¤Î¿¼¤¤SÇÈ¡¢ÉÔ´°Á´±¦µÓ¥Ö¥í¥Ã¥¯¤È¤¤¤Ã¤¿
½ê¸«¤òÁȤ߹ç¤ï¤»¤ÆÇÙ¹â·ì°µ¤ÎÄøÅÙ¤òͽ¬¤¹¤ë¡£ÇÙºÉÀò¾É¤Ç¤Ï¤³¤ì¤é¤Î½ê¸«¤òºÙ¤«¤¯
ʬÀϤ¹¤ë¤È80¡ó°Ê¾å¤Î¾ÉÎã¤Ç¿´Åſް۾郎»ØÅ¦¤Ç¤¤ë¤È¤µ¤ì¤Æ¤¤¤ë¡£ÁÛÄê¼À´µ¤Ë¤è¤Ã¤Æ
Àµ¾ï¤ÎÈϰϤ¬ÊѲ½¤¹¤ë½ÅÍפÊÎã¤Ç¤¢¤ë¡£
¿´ÅÅ¿Þ¤ÎÆÉ¤ßÊý
II, III, aVF¤Î¾®¤µ¤ÊqÇÈ¡¢±¢ÀTÇȤËÃí°Õ¡¥
V6¤ÎRÇȤ¬¾®¤µ¤¤¡¥º¸¿´¼¼¤Îµ¡Ç½Äã²¼¤Ç¤¢¤ë¡¥
BB fig. 10.19 (p.133)CLBBB¤Ç¤ÏV1-V5¤¬QS¥Ñ¥¿¡¼¥ó¡¤V6¤À¤±¤¬¾®¤µ¤¯Éý¤Î¹¤¤RÇÈ¡¥
°ìÈ̤ËCLBBB¤Ïº¸¼¼ÅÁƳÃÙ±ä¤À¤«¤éQRS¤Î¿¶Éý¤ÏÂ礤¯¤Ê¤ë¡¥
GE #57 V6¤ÇQSÇÈ·Á¡¤Â¦ÊɸåÊɹ¼ºÉ¡¥aVR¤¬qRÇÈ·Á¡¥
GE #73 ¼´-60 V1-V5¤Þ¤ÇrS¤Ç»÷¤¿ÇÈ·Á¡¤V6¤ÏRS¤À¤¬S¤ÎÊý¤¬Â礤¤¡¥
LAFB, QRSÉý¤¬0.14¤À¤«¤é,¤Þ¤¿¥Î¥Ã¥Á¤¬¤¢¤ë¤¿¤áIVCD¡¥
GE #121 II, aVF¤¬¡Ý¤À¤«¤é¼´¤Ï-30¡ë°Ê²¼¡¤V1¤¬PVC¤Î¤è¤¦¤Ë¸«¤¨¤ë¤¬µðÂç¤ÊrsR'
¤Ç¤¢¤ë¡¥V1-V3¤Þ¤ÇrsR'¤ÇȿžTÇÈ¡¤V4-V6¤ÏrSÇȤÇÍÛÀTÇÈ¡¥
¿ÇÃÇ¡§LAFB+CRBBB¡¥ËÜÍèRBBB¤Ï±¦¼¼ÈîÂç¤Î¿ÇÃǤϽÐÍè¤Ê¤¤¤¬¡¤
V1¤Î°Û¾ï¤Ê¹â¤µ¤ÎR'¤ÈV6¤ÎSÇÈ¡¤¤½¤·¤ÆÈ¿Å¾TÇȤÏRVH¤òµ¿¤ï¤»¤ë¡¥
Ä̾ï¤ÎCRBBB¤Ç¤ÏV6¤ÏRÇȤÈÉý¹¤ÎSÇȤǤ¢¤ë¤¬¡¤RVH¤Ç¤ÏRÇȤ¬¾®¤µ¤¯¡¤
SÇȤϱԤ¯¿¼¤¤¡¥
GE #196 ¼´90°Ê¾å¡¤ÇÙÀPÇÈ¡¤V1¤ÏrsR'¤Ç¤¢¤ë¤¬¡¤rs¤ÏÈó¾ï¤Ë¾®¤µ¤¤¡¥R'¤Ï¥·¥ã¡¼¥×¤Ç
Ä̾ï¤Î±¦µÓ¥Ö¥í¥Ã¥¯¤È°Û¤Ê¤ë¡¥V2¡ÁV6¤Þ¤Ç¤Ï¶¯¤¤Éý¤Î¶¹¤¤SÇÈ¡¥±¦µÓ¥Ö¥í¥Ã¥¯
¤Ç¤¢¤ì¤ÐS¤ÏÉý¤¬¹¤¤¤«¤é¡¤¤³¤ÎÅÀ¤«¤é¸«¤Æ¤âRBBB¤È¤Ï°Û¤Ê¤ë¡¥V1¤Ï
±¢ÀTÇȤǡ¤V2¤Ïʿó¡¤V3-V6¤ÏÄ̾ï¤ÎTÇÈ¡¥RÇȤÏV3¤¬ºÇ¤â¹â¤¯¡¤
V6¤Ë¹Ô¤¯¤Ë¤·¤¿¤¬¤Ã¤ÆÇȹâ¤Ï¾®¤µ¤¯¤Ê¤ë¡¥ÇÙÀPÇȤȱ¦¼¼ÈîÂç¡¥
GE #249 I,aVL¤ËQÇÈSTE¡¤V1¡ÁV6¤Þ¤ÇQS¡¤STE¡¤ST¤Ï¾å¸þ¤±ú¤Ç¤¢¤ë¡¥Á°ÊɦÊɹ¼ºÉ¤Î
·ìÀò½üµî¸å¡¥V6¤Ê¤ÉËÜÍèRÇȤǤ¢¤ëÉô°Ì¤¬¹¼ºÉ¤Ë¤è¤êQS¤Ë¤Ê¤ë¤È¡¤
ÅṲ̋⸺¼å¤µ¤ì¡¤µæ¶Ë¤ÎPRP¤Ë¤Ê¤ë¡¥
ecg 9-16 Á´¤Æ¤Î¶»ÉôͶƳ¤ÇQS¥Ñ¥¿¡¼¥ó
ecg 16-7 ¹âK·ìÞù¤Ç¶»ÉôͶƳ¤¬rS¥Ñ¥¿¡¼¥ó¤Ë¤Ê¤ëIVCD¡¥V6¤âÉý¹rS¥Ñ¥¿¡¼¥ó
#57 ¦ÊɸåÊɹ¼ºÉ
#249 Á°ÊÉÃæ³Ö¦Êɹ¼ºÉ
#293 ²¼ÊɦÊɹ¼ºÉ
#294 ¿´¼¼¥Ú¡¼¥·¥ó¥°
V1¤Î¿¶Éý¤¬¾®¤µ¤¤¾ì¹ç¤ÏÇÙµ¤¼ð¤ò¹Í¤¨¤ë¡¥
BB p.46, fig4.34 I¤ÇrS, ±¦¼´ÊѰÌ, RVH, COPD¡¤ÇÙÀPÇÈ¡¤»þ·×²óž¡¥V1¤ÏQS¡¤V6¤ÏrS¡¥
BB p.63, fig7.4 RVH, COPD¡¤ÇÙÀPÇÈ¡¤»þ·×²óž¡¤V1¤ÏQS¡¤V6¤ÏrS¡¥
BB p.75, fig7.17 RVH, COPD¡¤ÇÙÀPÇÈ¡¤»þ·×²óž¡¤V1¤ÏQS¡¤V6¤ÏrS¤ÇÄã¿¶Éý¡¥I¤Ï¿åÊ¿¡¥
BB p.76, fig7.19 ÇÙ¹¼ºÉ¡¤S1Q3T3¡¤I¤ÎrS¤Ë¤è¤ë±¦¼´Êа̡¤V1¤ÏqR¤Þ¤¿¤ÏrR'¡¤V6¤ÏRS¡¤»þ·×²óž¡¥
BB p.87, fig8.17 ²¼Êɹ¼ºÉ¡¤V1¤ÏrS¡¤V3¤ÎrS¤ÏÉԻ׵ġ¤ÅŶ˴ְ㤤¤Î²ÄǽÀ¡¥
BB p.117, fig9.11 LPFB º¸¼¼¸å»Þ¥Ö¥í¥Ã¥¯¡¥V1¤ÏrS¤Ç¤¢¤ë¤¬¡¤RÇȤÎÁý¹â¤ÏÀµ¾ï¡¥
BB p.118, fig9.13 RVH¡¤ÇÙÀPÇÈ¡¤¼´90¡ë°Ê¾å¡¤V1¤ÏQS¡¤V2¡ÁV6¤Þ¤ÇrSÇÈ¡¥
BB p.118, fig9.14 ¹â°Ì¦Êɹ¼ºÉ¡¤v1¤ÏqrÇÈ¡¤V2¡ÁV4¤Þ¤ÇQSÇÈ¡¤¡¥
BB p.126, fig10.12 Idioventricular Rhythm.
BB p.142, fig11.5A Ventricular escape.
BB p.143, fig11.6A Ventricular escape.
GE #25 Axis -30, rS¤ÇÀµ¾ïÇÈ·Á¡¥-30¤Ê¤éLAFB¤È¤»¤º¤ËÀµ¾ï¤Ë¤¹¤ë¡¥
GE #186 ´Ö·çŪWPW Type B¤À¤«¤éº¸µÓ¥Ö¥í¥Ã¥¯·¿¡¥intermittent preexcitation.
¿´¼¼ÆâÊѹÔÅÁƳ¡Òaberrant intraventricular conduction¡Ó
a) ¾å¼¼Éô¤«¤é¤Î¥¤¥ó¥Ñ¥ë¥¹¡ÊÅŵ¤Åª»É·ã¡Ë¤¬¿´¼¼¤ËÅþ㤷¤¿»þÅÀ¤Ç¡¢¿´¼¼Æâ»É·ãÅÁƳ·Ï¤¬Àè
¹Ô¤¹¤ë¿´¼þ´ü¤Î¶½Ê³¤«¤é³Ð¤á¤¤é¤ºÉÔ±þ´ü¤Ë¤¢¤ë¾ì¹ç¡¢¥¤¥ó¥Ñ¥ë¥¹¤Î¿´¼¼ÆâÅÁÇŤ¬°Û¾ï¤Ë
Ãٱ䤹¤ë¤¿¤áÊѹԤ¹¤ë¤³¤È¤ò¿´¼¼ÆâÊѹÔÅÁƳ¤È¤¤¤¦¡£ÊѹÔÅÁƳ¤Ï±¦µÓ¥Ö¥í¥Ã¥¯·¿¡¤
º¸µÓ¥Ö¥í¥Ã¥¯·¿¡¤¤Þ¤¿¤Ïº¸µÓ¤Îʬ»Þ¥Ö¥í¥Ã¥¯·¿¤Ç¤¢¤ë¡¥
b) °ìÈ̤˿´¶Ú¤ÎÉÔ±þ´ü¤ÏÀè¹Ô¤¹¤ë¿´¼þ´ü¤ÎŤµ¤ËÈæÎ㤷¡¢Àè¹Ô¿´¼þ´ü¤¬Ã»¤¤¤È¤¤ÏÉÔ±þ´ü¤¬
û¤¯¡¢Ä¹¤¤¤È¤¤ÏÉÔ±þ´ü¤âŤ¤¡£¿´¼¼Æâ»É·ãÅÁƳ·Ï¤ÎÃæ¤Ç±¦µÓ¤ÎÉÔ±þ´ü¤¬ºÇ¤âŤ¯¡¢V1Ͷ
Ƴ¤ÇrSR'·¿¤Î±¦µÓ¥Ö¥í¥Ã¥¯·¿ÇÈ·Á¤È¤Ê¤ë¡£
c) ¿´¼¼ÆâÊѹÔÅÁƳ¤Ë¤è¤ê¡¢¿´Åſ޾åQRSÇȤ¬¿´¼¼´ü³°¼ý½Ì¤ÎÇÈ·Á¤Ë»÷¤Æ¤¤¤ë¤¿¤á¿´¼¼´ü
³°¼ý½Ì¤ÈȽÃǤµ¤ì¤¿¤ê¡¢¾å¼¼À¤ÎÉÑÇï»þ¤ËQRSÇȤÎÉý¤¬¹¤¤¤¿¤á¤Ë¿´¼¼ÉÑÇï¤È´Ö°ã¤¨¤é¤ì
¤ë¤³¤È¤¬¤¢¤ë¡£
ʸ¾Ïa)¤Î¡ÖÀè¹Ô¤¹¤ë¿´¼þ´ü¤Î¶½Ê³¤«¤é³Ð¤á¤¤é¤ºÉÔ±þ´ü¤Ë¤¢¤ë¾ì¹ç¡×¤È¤Ï¡¤
¿´¶Ú¤¬ºÆÊ¬¶Ë¤¹¤ë¤Þ¤Ç¤Î»þ´Ö¤ò¼¨¤·¡¤Phase 3 Aberration,
¤¹¤Ê¤ï¤ÁTÇȤÎÅÓÃæ¤Ç¼¡¤ÎQRS¤¬È¯À¸¤¹¤ë¤³¤È¤ò°ÕÌ£¤¹¤ë¡¥
¡ú °ã¤¤¡§
¡û ventricular ectopy¡¡°Û½êÀ¿´¼¼¶½Ê³¡¢¿´¼¼´ü³°¼ý½Ì
Éý¤Î¹¤¤QRS¤ÇTÇȤϵÕž¤¹¤ë¡¥¹â¿¶Éý¡¥Ä´Î§¤È´Ø·¸¤Ê¤¯È¯À¸¡¥
¡û aberrancy ÊѹÔÅÁƳ¡¥
Phase3¤Þ¤¿¤Ï4¤ÇȯÀ¸¤¹¤ë±¦µÓ¥Ö¥í¥Ã¥¯¤Þ¤¿¤Ïº¸µÓ¥Ö¥í¥Ã¥¯·¿¤ÎQRS¤ÇVT¤äSVT¤Ê¤É¤Î
ÉÑÌ®¤Ë¤Ê¤ë¤³¤È¤¬Â¿¤¤¡¥
2:1¤ÎAFĴΧ¤«¤éPhase 3¤Îº¸µÓ¥Ö¥í¥Ã¥¯·¿¤ÎÊѹÔÅÁƳ¤¬3Ϣȯ³¤¡¤¤½¤Î¸å1:1¤ÎAF¤ÎPSVT¤Ë¤Ê¤Ã¤Æ¤¤¤ë¡¥
3Ϣȯ¤ÎQRSÉý¤¬¶¹¤¯¤Ê¤ëÍýͳ¤Ïº¸µÓ¥Ö¥í¥Ã¥¯¤¬¤½¤Î´Ö¤Ë²þÁ±¤µ¤ì¤¿¤¿¤á¤Ç¤¢¤ë¡¥
aberrant.pdf
abe1.pdf
abe2.pdf
¡ú retrograde concealed conduction µÕ¹ÔÀÉÔ¸²ÀÅÁƳ
µÓ¥Ö¥í¥Ã¥¯¤Î¶½Ê³ÅÁƳ¤¬Â¾Â¦¤ËÅÁÇŤ¹¤ë¤È¤½¤ì¤Ï°ìÈÌ¿´¶Ú¤ÎÅÁƳ¤Ë¤Ê¤ë¡¥
¤½¤Î¿´¶Ú¶½Ê³¤¬µÕ¹ÔÀ¤Ë»É·ãÅÁƳ·Ï¤ò¶½Ê³¤µ¤»¤ë¤¿¤á¡¤ºÆ¤ÓµÓ¥Ö¥í¥Ã¥¯¤¬
»ý³¤¹¤ë¤³¤È¤ò°ÕÌ£¤¹¤ë¡¥SVT¤Î°ìÈÌŪ¤Ê½ê¸«¤Ç¤¢¤ë¡¥
¡ú IKur¤ÈIKs¤Ïæʬ¶Ë½ªÎ»¸å¤¹¤°¤µ¤ÞK¥Á¥ã¥Í¥ë¤òÊĤ¸¤ë¤¬¡¤
IKr¤ÏK¥Á¥ã¥Í¥ë¤Î³«¸ý¾õÂÖ¤¬¤·¤Ð¤é¤¯»ý³¤¹¤ë¡¥
ÄãK·ì¾É¤Ë¤Ê¤ë¤È¡¤¤³¤Î»ý³³«¸ý¸ú²Ì¤¬¸º¼å¤¹¤ë¡¥¤·¤¿¤¬¤Ã¤ÆLQT¤ÇÄãK·ì¾É¤Ë¤Ï
Ãí°Õ¤¬É¬ÍפǤ¢¤ë¡¥
cf. Channel.pdf.
¡ú concealed conduction ÉÔ¸²ÀÅÁƳ
PVC¤Î¸å¡¤¼¡¤ÎƶĴΧ¤¬·ç»¤¹¤ë¾ì¹ç¡¤PVC¤¬µÕ¹ÔÀ¤ËAV Node¤ò»É·ã¤·¤Æ
ÉÔ±þ´ü¤Ë¤Ê¤ë¤¿¤á¤ËÁêĴΧ¤ÎÅÁƳ¤¬ÍÞÀ©¤µ¤ì¤ë¤¿¤á¤Ç¤¢¤ë¡¥
·ì°µ¤Ê¤É½Û´ÄưÂÖ¤¬°ÂÄꤷ¤¿¾õÂ֤ǤÎVT¤ò´Ö°ã¤Ã¤ÆSVT¤ÈȽÃǤ·¡¤
SVT¤Î¹³ÉÔÀ°Ì®ÌôºÞ¤òÅêÍ¿¤¹¤ë¤È´Ö¤¸¤ã¤Î¾õÂÖ¤òÈó¾ï¤Ë°²½¤µ¤»¤ë¾ì¹ç¤¬Â¿¤¤¡¥
¤½¤Î¤¿¤á¤ËVT¤ÈSVT¤È¤Î´ÕÊ̤ϽÅÍפǤ¢¤ë¡¥
VT¤ÈSVT¤Î´ÕÊÌ¡§
Welens p.47 Fig 3-7¤Èp.49 Fig 3-9
Wide QRS Tachycardia¤Î´ÕÊ̤ϡ¤²¼¿Þ¤ò»²¹Í¤Ë¤¹¤ë¡¥
SVT¤Î¾ì¹ç¤Ï±¦µÓ¥Ö¥í¥Ã¥¯·¿¡¤º¸µÓ¥Ö¥í¥Ã¥¯·¿¤¬¤¢¤ë¡¥
CRBBB·¿¤Ç¤ÏV1¤ÏrsR'·¿¤Ç¡¤V6¤ÏRS·¿¤Ç¤¢¤ê¡¤V6¤ËqÇȤ¬¸«¤¨¤ë¤³¤È¤â¤¢¤ë¡¥
CLBBB·¿¤Ç¤ÏV1¤ÏÉý¤Î¶¹¤¤rS·¿¡¤V6¤ÏqÇȤΤʤ¤RÇȤǤ¢¤ë¡¥
ËܼÁŪ¤ËPurkinjeÅÁƳ¤ò¹Ô¤¦¤Î¤Ç¡¤ÇÈ·Á¤ÏµÞ½Ô¤Ç¤¢¤ë¡¥
±¦µÓ¥Ö¥í¥Ã¥¯·¿¤ÎVT¤ÏRÇȤβ¼¹ÔÉô¤Ë¥Î¥Ã¥Á¤¬¤¢¤ë¤³¤È¤â¤¢¤ë¡¥
RsÇÈ¡¤qRÇȤˤʤ뤳¤È¤â¤¢¤ë¡¥V1¤¬RÇȤˤʤëÉÑÌ®¤ÏrsR'¤Ç¤Ê¤±¤ì¤ÐVT¤Ç¤¢¤ë¡¥
V6¤Ïɬ¤ºrSÇȤǤ¢¤ë¡¥SVT¤Ç¤ÏRSÇȤǤ¢¤ë¡¥
º¸µÓ¥Ö¥í¥Ã¥¯·¿¤ÎVT¤ÏÉý¤Î¹¤¤rÇȤȥΥåÁ¤Þ¤¿¤Ï¥¹¥é¡¼¤òȼ¤¦V1¤Ç¤¢¤ê¡¤
V6¤âÉý¤Î¹¤¤qÇȤǤ¢¤ë¡¥V6¤ÎRÇȤÏĺÅÀ¤¬1¤Ä¤Ç¤¢¤ë¡¥
ËܼÁŪ¤ËºÙ˦´ÖÅÁƳ¤ò¹Ô¤¦¤Î¤Ç¡¤ÇÈ·Á¤ÏÆßËá¤Ç¤¢¤ë¡¥
V1¤«¤éV6¤Þ¤ÇÁ´¤ÆS·¿¤ÏVT¤Ç¤¢¤ë¡¥Wellens: p.60 fig3-17
¿Þ7¤Ç¤ÏB¤ËÁêÅö¤¹¤ë¡¥
V1¤«¤éV6¤Þ¤ÇÁ´¤ÆR·¿¤Ïº¸¼¼¿´´ðÉôµ¯¸¶¤Ç¤¢¤ê¡¤Ä̾ﺸ¼¼¸åÊÉÉûÅÁƳϩµ¯¸¶¤Ë¤Ê¤ë¡¥
¥Ç¥ë¥¿ÇȤ¬È¼¤¦¤È³Î¤«¡¥¿´Ë¼ÁÆÆ°¡¤¿´Ë¼ºÙư¡¤¿´Ë¼ÉÑÇï¤Ç¤¢¤Ã¤Æ¤â¤è¤¯¡¤
AVN¤òµÕ¹ÔÀ¤ËÅÁƳ¤¹¤ë¤Èantidoromic circus movement È¿Êý¸þÀÀû²ó±¿Æ°¤È¤Ê¤ë¡¥
Wellens: p.61 fig3-18
orthodoromic conduction ÀµÊý¸þÀÅÁƳ
antidoromic conduction È¿Êý¸þÀÅÁƳ
circus movement Àû²ó±¿Æ°
antidoromic circus movement È¿Êý¸þÀÀû²ó±¿Æ°
Iipes & Jelife
Cardiac Electrophysiology Frim Cell to Bedside
Figure 80-6
Figure 80-4
AVNRT atrioventicular nodal reentrant tachycardia ˼¼¼·ëÀá¥ê¥¨¥ó¥È¥ê¡¼ÉÑÇï
Ä̾﷿(Slow-Fast·¿)
ÈóÄ̾﷿(Fast-Slow·¿¡¢Slow-Slow·¿, ¿½ÅÅÁƳϩ)
Slow pathway ÃÙÅÁƳϩ
Fast pathway ®ÅÁƳϩ
Over View AVNRT-²¹¸ÎÃο·-
fast-slow AVNRT¤Î1Îã
Åŵ¤À¸Íý³ØÅª½ê¸«¤«¤é¤ß¤¿AVNRT¤Î¿ÍÍÀ
Lifeint
hefastlane.com-AVNRT
Accelerated Idioventricular Rhythm Â¥¿Ê·¿¿´¼¼¸ÇÍĴΧ
BB p.157, fig12.26 AIVR¡¥
I, aVR, aVL¤ÏQS·¿¤Ç¤½¤Î¾¤ÏÁ´¤ÆÉý¤Î¹¤¤RÇÈ¡¥CRBBB·¿¤Ç¤¢¤ë¤¬¡¤
º¸¼¼´ðÉô¤Î¸¶È¯¤Î´ü³°¼ý½Ì¤ÎϢ³ÇÈ·Á¤Ç¤¢¤ê¡¤º¸¼¼¤Î¤ß¤Îñ°ì¿´Â¡¤ÎÍͤ˸«¤¨¤ë¡¥
(V6¤Ç¤ÎSÇȤϤʤ¤)
±¦µÓ¥Ö¥í¥Ã¥¯·¿¤ÎPurkinjeºÙ˦¤Î¼«Æ°Ä´Î§¤Ç¿´Çï¿ô¤¬70ÄøÅÙ¡¥
BB p.157, fig12.27 AIVR+µÕ¹ÔÀPÇÈ¡¥
ÉÔ´°Á´º¸µÓ¥Ö¥í¥Ã¥¯¤ËµÕ¹ÔÀPÇÈ¡¥
IMG_20180724_0002.png
IMG_20180724_0004.png
IMG_20180724_0006.png
aa1.gif
B¤ò¸«¤ë¤È¡¤¿´ÆâË즳èưÅṲ̋«¤é¿´³°Ë즳èưÅṲ̋ò¤Ò¤¤¤Æ¤¤¤ë¡¥
RÇȤÎSTD¤ÏÀâÌÀ¤Ç¤¤Æ¤¤¤ë¤¬¡¤TÇȤϾå¸þ¤¤Ë¤Ï¤Ê¤é¤Ê¤¤¡¥
0.2, CRBBB+LPFB+Á°ÊÉÃæ³ÖMI¡¥
¿ÇÃÇ¡§peri-infarction block. #343¤ÈƱ¤¸ÇÈ·Á¡¥
GE #1 IRBBB, V2-3¤ÎTÇȤ«¤éRVH¤ÏÈÝÄê¤Ç¤¤Ê¤¤¡¥
GE #2 LAFB+IRBBB, LAFB¤Ï¼´-70¤Ç¤ï¤«¤ë¡¥IRBBB¤ÏV1¤ÎrSR'¤ÈV6¤ÎSÇȤǤ狼¤ë¡¥
aVR¤ÎQR¤¬Â礤¤¡¥LAFB¤ÏPRR¤Ë¤Ê¤ë¡¥
GE #3 long QT¤ÈLAA¡¤TÇȤÎΩ¤Á²¼¤¬¤ê¤¬¤ï¤ë¤¤¡¥¥Ç¥â¤Ë»ÈÍѤǤ¤ë¡¥
GE #4 1¡ëAV¥Ö¥í¥Ã¥¯¡¤LAFB¡¤I¤ÈaVL¤ÎȿžÂоÝTÇÈ¡¥V5-6¤ÎTÇȤÏÀµ¾ï¤Ç¤Ï¤Ê¤¤¡¥
V2-3¤ÏSTE¡¤¾å¸þ¤ST¥»¥°¥á¥ó¥È¤ò¿åÊ¿¤Ë¸«¤ë¤ÈµÕžTÇȤˤʤ롥
Á°ÊÉÃæ³Ö¤ÎÆâËì²¼¹¼ºÉ¤Î²ÄǽÀ¤¬¤¢¤ë¡¥cf GE #283.
GE #5 I,II¤ÎSTD¡¤Tȿž¡¤III¡¤aVF¤ÎȿžTÇÈ¡¥V1-2¤ÎQS¹âÅŰ̡¥PRPV4-6¤ÎȿžTÇÈ¡¥LVH¡¥
¿ÇÃÇ¡§AF¡¤Á°ÊÉMI¡¤digitalis effect
GE #6 ¿´Çï30¡¤3¡ëA-V ¥Ö¥í¥Ã¥¯¡¤¿´¼¼Ê佼ĴΧ¡¥V1¤ÏqR, V6¤ÏrS¤ÇÉý¤¬¹¤¤¡¥
IVCD¤È»÷¤Æ¤¤¤ë¡¥TÇȤÏȿž¤·¤Æ¤¤¤ë¡¥¿´¼¼´ü³°¼ý½Ì¤ÈƱ¤¸¡¥
GE #7 *Á°ÊÉÃæ³Ö¦Êɹ¼ºÉAMI¡¤²¼ÊɤÏÈ¿±þÀ¤ËSTE¡¥°Û¾ïQÇÈ¡¥
GE #8 *I, aVL¤Î°Û¾ïQÇÈ¡¤STE¡¥II, III, aVF¤ÎSTD¡¥V2-6¤Î°Û¾ïQÇÈ¡¤STE¡¥Á°ÊɦÊɹâ°Ì¦ÊɤÎAMI¡¥
¿ÇÃÇ¡§·ìÀò½üµî¸å4h¡¥cf. #39¤È¤¢¤ë¤¬#7¤Î´Ö°ã¤¤¡¥#7¤Ï·ã¤·¤¤STÊѲ½¡¥
GE #9 AVNRT, µÕ¹ÔÀPÇȤÏT¤Î¾å¸þÉôʬ¤Ë¤¢¤ë¡¥
¿ÇÃÇ¡§¿´Çï¿ô180¤ÎÉÑÌ®¡¤AF¤Ç¤¢¤ì¤Ð°ìÈÌŪ¤Ë300¤Ç¤¢¤ë¤«¤é1/2¤À¤È150¤Ë¤Ê¤ë¡¥
T¤Î¾å¸þÉôʬ¤Ïupstroke of the T wave in the precordial leads.
GE #10 I, aVL¤ÎȿžTÇÈ¡¥V5-6¤Î¿åʿȿžTÇÈ¡¥
¿ÇÃÇ¡§1¡ëAV¥Ö¥í¥Ã¥¯¡¥STÊѲ½¤Ï¶¯¤¯¤Ê¤¯non-specific ST-T changes.P-R´Ö³Ö¤Ï6mm.
GE #11 ¿´Ë¼¿´¼¼¥Ú¡¼¥·¥ó¥°¡¥
GE #12 *CRBBB, LAFB, 2:1¤ÎAF, LVH
¿ÇÃÇ¡§¿´Çï90¤ÎNSR¡¤TÇȤΥΥåÁ¤ÏCRBBB¤Î±¦¼¼¶½Ê³¤Ç¤¢¤ë¡¥aVL¤ÎQÇȤϹ¼ºÉ¤Î°Û¾ïQÇȤǤ¢¤ë¡¥
GE #13 AFÉÑÌ®¡¤¸Å¤¤²¼Êɹ¼ºÉ¡¥¶»Éô¤ÎSTD¡¥
¿ÇÃÇ¡§AF¡¤LVH¡¤LVH¤ÈÉÑÌ®¤Ë¤è¤ë¿¼¤¤STD¡¥
GE #14 SNR, CRBBB.
¿ÇÃÇ¡§CRBBB¡¤Á°ÊɤȲ¼ÊɤÎSTE¤«¤é¹¼ºÉÇÈ·Á¤Ç¤¢¤ë¡¥
the ST's are upwardly convex and T inversion and ST elevation.
GE #15 CLBBB¤ÈÉÑÌ®¡¥NSR¡¥
¿ÇÃÇ¡§I¡¤aVL¤ÎSTD¤è¤êLVH¡¥V6¤ÎSTD¤¢¤ê¡¥
GE #16 WPW, V1¡ÁV6¤Þ¤Ç¤¹¤Ù¤Æ¦¤RÇÈ¡¤V1¤òRBBB¤È¹Í¤¨¤ë¤ÈV6¤ËSÇȤ¬¤Ê¤¤¤Î¤Ç
ÈÝÄê¤Ç¤¤ë¡¥ST¤Ï¿åÊ¿¤â¤·¤¯¤Ï²¼¹ß¤ÇÍÛÀTÇÈ¡¥µõ·ì¡¥
GE #17 QRS 0.13, CRBBB, PÇȤ¬¤Ê¤¯Nodal, QT¤¬Ä¹¤¯¡¤V6¤ò¤ß¤ì¤ÐTÇȽªÎ»¤¬Ä¹¤¤¡¥
LQT¡¥TÇȤÏconcodal. SÇȤ¬Â礤¤¤Ë¤â´Ø¤ï¤é¤º2ÁêÀ¤Ç¤Ï¤Ê¤¤¡¥
GE #18 V1-4¤ÎQSÇȤÈSTE¡¤Á°ÊÉÃæ³ÖAMI¡¥
¿ÇÃÇ¡§1¥ö·î°ÊÆâ¤ÎMI¤Ç»ý³¤¹¤ëST¾å¾º¤Ï¿´¼¼áî¤ò»×¤ï¤»¤ë¡¥
GE #19 II,III,aVL¤ÏÀµ¾ï¡¤V1¤ÏQ¡¤V2¤Ïº¯À×ÄøÅÙ¤ÎR, V1¡ÁV4¤Þ¤Ç¿¼¤¤ÂоÎÀT¡¥
Á°ÊÉÃæ³Ö¹¼ºÉ¡¥
GE #20 I, aVL¹âÅŰ̥¹¥È¥ì¥¤¥óTÇÈ¡¤º¸¼¼ÈîÂç¡¥
¿ÇÃÇ¡§¾å¤ÈƱ¤¸¡¥
GE #21 Àµ¾ï¡£
GE #22 LAH, II,III,aVF¤ÎST¿åÊ¿¡¤V4¡ÁV6¤ÎST¿åÊ¿¡¤µõ·ì¡¥
¿ÇÃÇ¡§IVCD¡¥V1¤ÈV2¤ÎQRS¤Ë¥Î¥Ã¥Á¤¬¤½¤ó¤¶¤¤¤¹¤ë¤¿¤á¤ËIVCD¤È¤Ê¤ë¡¥
GE #23 NSTWC
GE #24 II,III,aVF¤Î°Û¾ïQÇÈ¡¤ST²¼¹ß¡¤¸Å¤¤²¼Êɹ¼ºÉ¡¥
GE #25 LAH,È¿»þ·×²óž¡¤¾®¤µ¤ÊV1¡¥
-30¡ë¤ÏÀµ¾ï¤Ç¤â¤¢¤ë¤«¤é·Ú¡¹¤Ë¿ÇÃǤ¹¤Ù¤¤Ç¤Ê¤¤¡¥
GE #26 I¤¬21mm, aVL¤â´Þ¤á¤Æ¥¹¥È¥ì¥¤¥ó¡¤¶¯¤¤»þ·×²óž¡¤UÇȤò´Þ¤á¤ÆLQT¡¥
º¸¼¼ÈîÂç¡¥²¼Êɹ¼ºÉ¤Î²ÄǽÀ¡¥Á°ÊÉÃæ³Ö¹¼ºÉ¤Ç¤Ï¤Ê¤¤¡¥
III,aVF¤ÎQS¤ÏT¤Ï¾å¸þ¤¤Ç¥¹¥È¥ì¥¤¥ó¤È¹Í¤¨¤ë¡¥II¤ÏRSÇȤÇQÇȤ¬¤Ê¤¤¡¥
¤½¤Î¤¿¤á²¼Êɹ¼ºÉ¤È¿ÇÃǤǤ¤Ê¤¤¡¥
GE #27 II,III,aVF¤Î¾®¤µ¤ÊQÇÈ¡¤III¤ÈaVF¤Ï²¼¹ßST¡¥V2,V3,V4¤Î¹â¤¤TÇÈ¡¥
¹âK·ì¾É¤Ç¤Ï¤Ê¤¯Benign Early Repolarisation(BER)¡¥
GE #28 Nodal, »Í»è¥Õ¥é¥Ã¥È¡¤V1,V2¤ÎR/S¤Ï¤Ü¤Ü1¡¥V2¤ÎRS¤¬ºÇ¤âÂ礤¯PRP¤Ç¤¢¤ë¡¥
±¦¼¼ÈîÂç¤Ë¤·¤Æ¤ÏV1¤ÎT¤¬È¿Å¾¤·¤Æ¤¤¤Ê¤¤¡¥°ì±þ±¦¼¼ÈîÂç¡¥
V6¤ÎÂ礤ÊQ¤¬µ¤¤Ë¤Ê¤ë¡¥
¿ÇÃÇ¡§1¡ëAV block, PQ 0.24, ²¼Êɹ¼ºÉ¡¥Axis -30.
LAH¤Î¾ì¹çII,III,aVF¤ËrÇȤ¬É¬ÍפÀ¤¬¡¤¤½¤ì¤¬Ìµ¤¤¤«¤é°Û¾ïQÇȤǤ¢¤ë¡¥
LAH¤Î¥Æ¥¥¹¥È¤òÆÉ¤à¤È¡¤I¤ÏqR¤â¤·¤¯¤ÏRÇÈ¡¤III¤ÏrSÇȤǤ¢¤ë¡¥
¤È¤³¤í¤¬II¤ÏQr¤Ç¤½¤ÎrÇȤθå¤ËID¤¬Â¸ºß¤¹¤ë¡¥¤³¤ì¤Ï±¦¼¼¤«º¸¼¼Â¦ÊɤÎ
¶½Ê³ÇÈ·Á¤Ç¤¢¤ë¡¥
V1¤Î¹â¤¤RÇȤϸåÊɹ¼ºÉ¤Î±Æ¶Á¤È¹Í¤¨¤ì¤ÐǼÆÀ¤Ç¤¤ë¡¥¤½¤ÎÍýͳ¤Ï
V5,V6¤ÎQÇȤ¬Â¸ºß¤¹¤ë¤«¤éÅöÁ³¸åÊɹ¼ºÉ¤òȼ¤Ã¤Æ¤¤¤ë¤È¹Í¤¨¤ë¤Ù¤¡¥
II,III,aVF¤Î¹¼ºÉ¤Î±äŤǤ¢¤ë¡¥
GE #29 V3-5¤ÎNSST-TWC.
¿ÇÃÇ¡§V3-6¤Þ¤Çsagging TÇÈ¡¥
GE #30 CRBBB+LVH¡¥º¸Ë¼ÈîÂ硤LQT¡¥
¿ÇÃÇ¡§¾å¤ÈƱ¤¸¡¥
GE #31 I,aVL¤ÏTȿž¡¤I,III,aVF¤ÏÀµ¾ï¡¤V1¡ÁV3QÇȤÇTÇÈȿž¡¤V4¡ÁV6¿åÊ¿ST¤ÇTȿž¡¥
V2¤ÏST¾å¾º¡¤Á°ÊÉÃæ³Ö¹¼ºÉ¡¥¿ÇÃǤˤÏÃæ³Ö¹¼ºÉ¤Ï¤Ê¤¤¡¥
GE #32 QRSÉý¹¤¤¡¤Á´¤Æ¤ÎͶƳ¤ÇR¤ÈT¤¬È¿Å¾¡¤º¸µÓ¥Ö¥í¥Ã¥¯·¿¤Î¿´¼¼Ê佼ĴΧ¡¥
¿ÇÃǤÏAF¡¤IVCD¡¤LVH¡¥¤·¤«¤·V6¤ËSÇȤϤʤ¯¡¤ILBBB¤Ç¤¢¤ë¡¥
GE #33 PR0.28ÉäǤ¢¤ë¤¬WPW¡¥V1¤ÏRÇÈ¡¤¼´¤Ï¡Ý¤À¤«¤é±¦¼¼ÈîÂç¤Ï¿ÇÃǤǤ¤Ê¤¤¡¥
¿ÇÃǤÏIRBBB¡¤1¡ë¥Ö¥í¥Ã¥¯¡¤LVH¡¥¡¥¤·¤ç¤²¤ë¡¥V6¤ÎS¤Ëµ¤¤¬¤Ä¤¤¤Æ¤¤¤Ê¤¤¡¥
GE #34 1¡ë¥Ö¥í¥Ã¥¯¡¤V1-3¤Î1ÇïÌܤÏWPWÍ;弼À´ü³°¼ý½Ì¤Ë¸«¤¨¤ë¤¬¿ÇÃǤË
µ½Ò¤Ê¤·¡¥
GE #35 Af¡¤V1¤ÎQR¡¤V2¤ÎrSR'¤½¤·¤ÆV6¤ÎsÇȤˤè¤êIRBBB¡¥
V1¤ÎQÇȤϹ¼ºÉÇÈ·Á¤Ç¤Ï¤Ê¤¤¡¥V2¤Ç¤ÏrSR'¤Ë¤Ê¤Ã¤Æ¤¤¤ë¤¿¤á¡¥
GE #36 Af, digitals, LVH¡¥
GE #37 II, III, aVF¤ÎSTD, digitaris¤ÎTÇÈ¡¤1¡ëAV- Block, V2-V4¤Î¶¯¤¤STD¡¤
Puls 125¤Ë¤è¤ëµõ·ìÊѲ½¡¥old Á°ÊÉÃæ³Ö¹¼ºÉ¡¥
¿ÇÃÇ¡§¾å¤Ç¹ç¤Ã¤Æ¤¤¤ë¤¬¥¸¥®¥¿¥ê¥¹¤Ç¤Ï¤Ê¤¤¡¥
GE #38 normal ECG¡¥
GE #39 tachy, lafb, old a-s MI,
¿ÇÃÇ¡§PÇȤʤ¯¡¤SVT¡¥Â¾¤Ï¹ç¤Ã¤Æ¤¤¤ë¡¥
GE #40 º¸Ë¼ÈîÂ硤V1-2¤¬QS¤À¤¬Àµ¾ï¤«¡©
¿ÇÃÇ¡§¸Å¤¤Ãæ³Ö¹¼ºÉ¤È¤·¤Æ¤â¤è¤¤¡¥V5-6, I, aVLÁ´¤Æ¤¬Ù¨Ê¿TÇÈ¡¥
GE #41 ±¦¼´Êа̡¤LAE,RAE, V1¤ÏrsR'¤ÇT¥¹¥È¥ì¥¤¥óµÕž¡¤V6¤ÇÂ礤ÊRSÇÈ¡¤±¦¼¼ÈîÂç¡¥
¤³¤ÎV1¤ÏIRBBB¤È´Ö°ã¤¦¡¥V6¤ÎSÇȤ¬¥¹¥é¡¼¤Ç¤Ê¤¤¤³¤È¤ËÃí°Õ¡¥
QRS 0.9¤¬¥Ö¥í¥Ã¥¯¤Ç¤Ê¤¤¾Úµò¤Î°ì¤Ä¤Ç¤¢¤ë¡¥
ÇÙÀ¿´
GE #42 ξ¿´Ë¼ÈîÂ硤¼´90¡ë¡¤II,III,aVF¤ÎqÇÈ¡¤1SQ3T3¡¤»þ·×²óž¡¤
V6¤ÎTʿó¡¥I¤ÎÄãÅŰ̡¥²¼Êɹ¼ºÉ¤È¤¹¤ë¤ÈTÇȤÎÊѲ½¤¬¾¯¤Ê¤¤¡¥
¶»Éô¤ÎrS¤è¤ê±¦¼¼ÈîÂç¡¥
¿ÇÃÇ¡§ÇÙµ¤¼ð¡¥
ÇÙÀ¿´¡¤Ãæ³ÖQÇÈ
GE #43 AF¡¤II,III,aVF¤ÎÉý¹Â礤ÊQS·¿¡¥I,II¤è¤ê¿´¼¼¥Ú¡¼¥·¥ó¥°¡¥
V1¤ÏV1-5¤Þ¤ÇQS·¿¡¤V6¤ÇrS·¿¡¤V6¤ÇRÇȤˤʤé¤Ê¤¤¤¿¤áLBBB¤È¤Ê¤é¤º
IVCD¤È¤Ê¤ë¡¥±¦¼¼¿´ÀíÉô¥Ú¡¼¥·¥ó¥°¤À¤Èº¸µÓ¥Ö¥í¥Ã¥¯¡¤¼´¤Ï-60°Ê²¼¤Ë¤Ê¤ë¡¥
GE #44 ¸Å¤¤²¼Êɹ¼ºÉ¡¤ÅṲ̋è¤êº¸¼¼ÈîÂç¡¥¥¸¥®¥¿¥ê¥¹¡¥
¿ÇÃÇ¡§II,III¤ËrÇȤ¬¸«¤¨¤ë¤«¤é²¼Êɹ¼ºÉ¤Ç¤Ï¤Ê¤¤¡¥
GE #45 ¼´¿åÊ¿¡¤V5-6, I, aVL¤ÎȿžTÇÈ¡¤II, III, aVF¤ÎȿžTÇÈ¡¥PÇȤϤʤ¤¡¥Ë¼¼¼Ä´Î§¡¥
¿ÇÃÇ¡§accelerated nodal rhythm. ²¼ÊɤÎNon-Q-MI¤È¿ÇÃǤ¹¤ë²ÄǽÀ¤â¤¢¤ë¤¬¡¤
Î×¾²¾É¾õ¤¬¤Ê¤¤¤«¤®¤ê¡¤¤½¤ì¤È¤Ï¿ÇÃǤǤ¤Ê¤¤¡¥
GE #46 V1-3¤ÎQS¡¤STE¡¤PVC¿ȯ¡¤V6, I, aVL¤Îflat TÇÈ¡¥Á°ÊÉÃæ³Ö¹¼ºÉ¡¤¿´¼¼áî¤Î²ÄǽÀ¤â¤¢¤ë¡¥
¿ÇÃÇ¡§¾å¤ÈƱ¤¸¡¥
GE #47 1¡ëAV Block, ½ùÌ®¤Ë³¤¯VT¡¥
¿ÇÃÇ¡§¿´Çï150¤À¤«¤é2:1¤ÎAF¤È¤â¹Í¤¨¤é¤ì¤ë¤¬QRS¤ÎÉý¤¬¹¤¤¤¿¤á¤ËSVT¤Ç¤Ï¤Ê¤¯VT¤Ç¤¢¤ë¡¥
GE #48 ¿´Ë¼¥»¥ó¥¹¿´¼¼¥Ú¡¼¥·¥ó¥°¡¤±¦µÓ¥Ö¥í¥Ã¥¯·¿¡¥
¿ÇÃÇ¡§¥Ú¡¼¥·¥ó¥°¤ÏCRBBB¡ÜLAFB·¿¡¥
GE #49 ±¦Ë¼ÈîÂ硤IVCD¡¤III, aVF¤ÎȿžTÇÈ¡¥º¸¼¼¹âÅŰ̡¥
¿ÇÃÇ¡§IIIͶƳ¤Î¿¼¤¤È¿Å¾TÇȤò¸«¤ë¤È non-Q-MI¤ò»×¤ï¤¹¡¥
GE #50 V5¤¬QS¤Ë¸«¤¨¤ë¤¬¡¤ÅŶˤΰì´Ö°ã¤¤¡¥V6, I, aVL¤Îflat TÇȤ¬´ü¤Ë¤Ê¤ë¡¥
GE #51 3¡ëAV Block, Â¥¿Ê˼¼¼Ä´Î§¡¥ÉÑÌ®V4-6¤È»Í»èͶƳ¤Î¤ÎSTD¡¥
¿ÇÃÇ¡§Af¤ÈÉÑÌ®¤ÈÉÑÌ®¤Ë¤è¤ëSTD¡¥
GE #52 II, III, aVF¤Î°Û¾ïQÇÈ¡¤v2-6¤Î¶¯ÅÙ¤ÎSTD¡¤TÇȤϾå¸þ¤¡¥I,aVL¤Î¥ß¥é¡¼STD¡¥²¼Êɱ¦¼¼¹¼ºÉ¡¥
¿ÇÃÇ¡§±¦´§Æ°Ì®ËÜ´´¤Î¹¼ºÉ¡¥±¦¼¼¹¼ºÉ¤Îµ½Ò¤Ï¤Ê¤¤¡¥II¤è¤êIII¤ÎSTE¤¬¶¯¤¤¡¤
V6¤ÎSTD¤Ç¸åÊɹ¼ºÉ¤Ï½ü³°¤Ç¤¤ë¡¥
GE #53 º¸¼´Êа̡¤È¿»þ·×²óž¡¤ST¤¬¿åÊ¿¡¤LQT¡¥
¿ÇÃÇ¡§¤Û¤ÜÀµ¾ï¡¥flat ST's in inferolateral leads¤Ï½ê¸«¡¥
GE #54 PVCÉÑȯ¡¤Ëß¾õTÇÈ¡¤¥¸¥®¥¿¥ê¥¹¸ú²Ì¡¥
¿ÇÃÇ¡§PÇȤÏÀµ¾ïĴΧ¤ÇÊѲ½¤Ï¤Ê¤¯¡¤´ÖÂÚÀPVC¤Ç¤¢¤ë¡¥II¤ÈV1¤«¤éLAA¤Ç¤¢¤ë¡¥
GE #55 II,III,aVF¤ÎSTE¤ÈȿžTÇÈ¡¤V5-6¤ÎȿžTÇÈ¡¥°Û¾ïQÇȤϤʤ¤¡¥º¸¼¼ÈîÂç¤Ç¤Ï¤Ê¤¤¡¥²¼ÊÉMI¤Î²ÄǽÀ¡¥
¿ÇÃÇ¡§²¼Êɹ¼ºÉ¤Î·ìÀòÍϲò¸å¡¥
GE #56 I¡¤aVL¤ÎSTD¡¥¤½¤Î¤Ä¤â¤ê¤Ç¤ß¤ë¤È¡¤II¡¤III¡¤aVF¤ÎSTE¤ÈȿžTÇÈ¡¥V5¤ÎSTD¡¤
V6¤Î¿åÊ¿¡¤È¿Å¾TÇÈ¡¥µÞÀ²¼Êɹ¼ºÉ¡¥
¿ÇÃÇ¡§µÞÀ²¼Êɹ¼ºÉ¡¥
GE #57 V1¡ÁV3¤Þ¤ÇRS¤Ç¹â¤¤TÇÈ¡¤V4¡ÁV6¤Ë½¾¤Ã¤ÆRÇȤϾ®¤µ¤¯V6¤ÏQS¤ÇSTE¡¥
¤ß¤¿¤³¤È¤â̵¤¤ÇÈ·Á¡¥±¦¼¼ÈîÂç¡©»Í»èÄãÅŰ̡¥
¸åÊɤÎAMI¡¥V1¤ÎRÇȤϸåÊɹ¼ºÉ¤Î¤¿¤á¡¤¤â¤·¸åÊɹ¼ºÉ¤ÇSTE¤¬È¯À¸¤¹¤ë
¤Þ¤Ç¤Î´Ö¤Ç¤¢¤ì¤Ð¡¤V1¡ÁV3¤Þ¤Ç¤Î¥ß¥é¡¼STD¤ÏȯÀ¸¤·¤Ê¤¤¡¥V5¡ÁV6¤ÎSTE¤Ï
Àµ¤·¤¯AMI¤ò¼¨¤·¡¤II,III,aVF¤ÎÊѲ½¤Ï¤Ê¤¤¤«¤é±¦´§Æ°Ì®¤ÏÀµ¾ï¡¥
½¾¤Ã¤Æ¡¤º¸²óÀû»Þ¤ÎÊĺɤˤè¤ë¦ÊɸåÊɹ¼ºÉ°Ê³°¤Ë¹Í¤¨¤é¤ì¤Ê¤¤¡¥
GE #58 Nodal, PÇȤ¬¸«¤¨¤Ê¤¤¡¥I, aVL¤Î²¼¹ßST¡¤µÕžTÇÈ¡¤V4-6¤Þ¤Ç¤ÎµÕžTÇÈ¡¥
¿ÇÃÇ¡¤II,III,aVF¤ÎµÕžT¤òͰ٤ȹͤ¨¤ÆNon-Q-MI¤ò¹Íθ¤¹¤ë.
GE #59 I¡¤aVL¤Î¿åʿȿžTÇÈ¡¥V1-3¤Î°Û¾ïQÇȤÈSTE¡¥PVC¡¥µÞÀÁ°Êɹ¼ºÉ¡¥
¿ÇÃÇ¡§µÞÀÁ°Êɹ¼ºÉ¡¥
GE #60 AF¤È±¦¼¼ÈîÂç
PÇȤ¬¸«¤¨¤Ê¤¤¤¬V1¤ò¸«¤ë¤È4:1¤ÎAF¤Ç¤¢¤ë¡¥
110¡ë¤Î±¦¼¼Êа̤ÈV1¤ÎÉÔ´°Á´±¦µÓ¥Ö¥í¥Ã¥¯¡¤TÇȵÕž¤ÏV1-v3¤Þ¤Ç¤¢¤ê¡¤
V6¤ÎSÇȤÏͰդËÂ礤¤¡¥»Í»èͶƳ¤Ï±¦¼´Êа̤ÈÄãÅŰ̡¤II, III, aVF¤Î
²¼¹ß¤¹¤ëST¥»¥°¥á¥ó¥È¤È¾å¸þ¤TÇȤϿ´¶Úµõ·ì¤ò»×¤ï¤¹¤¬¡¤¼ç¤¿¤ë½ê¸«¤Ç¤Ï¤Ê¤¤¡¥
GE #61 I,aVL¤ÎȿžTÇÈ¡¤V1-4¤ÎSTE¤ÈȿžTÇÈ¡¥Á°ÊÉÃæ³Ö¹¼ºÉ¤Î½é´ü¡¥
¿ÇÃÇ¡§V2¤ËrÇȤ¬¤¢¤ë¤¿¤á¤ËnonQ-MI¤Î²ÄǽÀ¤¢¤ê¡¥
GE #62 I,aVL¤ÎSTD¡¤II,III,aVL¤ÎSTE¤ÈȿžTÇÈ¡¥V3-6¤ÎSTD¡¥²¼Êɹ¼ºÉ¡¥
¿ÇÃÇ¡§²¼Êɹ¼ºÉ¤ÎµÞÀ´ü¡¥
GE #63 ¿´Ë¼¥Ú¡¼¥·¥ó¥°¡¥Ã±¶Ë¥Ú¡¼¥·¥ó¥°¤À¤«¤éÅṲ̋ÏÂ礤¯¥¹¥Ñ¥¤¥¯¤¬¥Æ¡¼¥ê¥ó¥°¤¹¤ë¡¥
GE #64 ´°Á´º¸µÓ¥Ö¥í¥Ã¥¯¡¤
GE #65 1¡ëAV¥Ö¥í¥Ã¥¯¡¤¥¸¥®¥¿¥ê¥¹¸ú²Ì
UÇȤòQTc¤Ë²Ã»»¤·¤Æ¤¤¤ë¡¥¿åÊ¿ST¤ä²¼¹ßST¤Ï¥¸¥®¥¿¥ê¥¹¸ú²Ì¡¥
GE #66 ÉÑÌ®¡¤II,III,aVF¤ÎSTE¡¥I,aVL¤ÎSTD¡¥V5-6¤ÎȿžTÇÈ¡¥²¼Êɹ¼ºÉ¤ÎµÞÀ´ü¡¥
¿ÇÃÇ¡§V6¤Ë¾¯¤·¤ÎSTE¤¬¤¢¤ë¤¿¤á¤Ë²¼ÊɦÊɹ¼ºÉ¤Ç¤¢¤ë¡¥V4¤ÎSTD¤Ï¥ß¥é¡¼¸ú²Ì¡¥
GE #67 ½ùÌ®¡¤I,aVL, V2-5¤Î¶¯¤¤È¿Å¾TÇÈ¡¥nonQ-MI.
¿ÇÃÇ¡§¾åµ¤ÈƱ¤¸¡¥non-Q infarction.
GE #68 ±¦µÓ¥Ö¥í¥Ã¥¯¡¤II,III,aVF¤ÎSTE¡¤V5-6¤ÎSTE¡¤V2-3¤ÎSTD¡¥µÞÀ²¼ÊÉ¡¤Â¦ÊÉ¡¤¸åÊɹ¼ºÉ¡¥
¿ÇÃÇ¡§²¼ÊɦÊɹ¼ºÉ¡¥¸åÊɤε½Ò¤Ï¤Ê¤¤¡¥¤Þ¤¿±¦µÓ¥Ö¥í¥Ã¥¯¤Îµ½Ò¤â¤Ê¤¤¤¬¡¤
I¡¤V2-3¤ÎÂ礤ÊRÇȤϱ¦µÓ¥Ö¥í¥Ã¥¯¤ò¼¨º¶¤¹¤ë¡¥
GE #69 º¸¼´Êа̡¤LAFB¡¥PRP¡¤Ê¿Ã³±¢ÀTÇÈ¡¥
¿ÇÃÇ¡§1¡ëAV¥Ö¥í¥Ã¥¯¡¤NSTWC's¡¥
GE #70 ½ùÌ®¡¤1¡ëAV¥Ö¥í¥Ã¥¯¡¤V5-6¤ÎSTD¤ÈËß¾õTÇÈ¡¥¥¸¥®¥¿¥ê¥¹¸ú²Ì¡¥
¿ÇÃÇ¡§¾å¤ÈƱ¤¸¡¥
GE #71 ÊèÀÐÍÍÇÈ·Á
RBBB¤ËÁ°ÊɦÊÉAMI¤¬È¯À¸¡¥II¡¤aVF¤âSTE¤À¤«¤é¡¤µÞÀ²¼Êɹ¼ºÉ¤âȯÀ¸¤·¤Æ¤¤¤ë¡¥
V1-5¤Þ¤Ç°Û¾ïQÇÈ¡¥
GE #72 1¡ëAV Block¡¤LQT¡¤
¿ÇÃÇ¡§¾å¤ÈƱ¤¸¡¥
GE #73 ¼´-60 V1-V5¤Þ¤ÇrS¤Ç»÷¤¿ÇÈ·Á¡¤V6¤ÏRS¤À¤¬S¤ÎÊý¤¬Â礤¤¡¥
LAFB, QRSÉý¤¬0.14¤À¤«¤é,¤Þ¤¿¥Î¥Ã¥Á¤¬¤¢¤ë¤¿¤áIVCD¡¥
GE #74 WPW¡¥
GE #75 *I¡¤aVF¤è¤ê±¦¼´Êа̡¤»Í»èÄãÅŰ̡¤»Í»è¤Ç¤ÏÉÔÌÀÎÆ¤À¤¬V1¤ÎPÇȤè¤ê±¦Ë¼ÈîÂç¡¥
V1¤ÎRÇȤÈV1-3¤ÎȿžTÇȤè¤êRVH¡¥
¿ÇÃÇ¡§V6¤ÎSÇȤâ½ÅÍס¥Éý¤¬¶¹¤¤¤³¤È¤«¤éIRRB¤Ç¤Ï¤Ê¤¤¡¥cor pulmonale.
GE #76 Axis -30°Ê²¼¡¤ÄĵìÀÁ°ÊÉÃæ³Ö¹¼ºÉ¡¥
¿ÇÃÇ¡§ÉÑÌ®¡¤LAA¡¤¿´ÉÔÁ´¤òͽÁÛ¤·¤Ê¤±¤ì¤Ð¤Ê¤é¤Ê¤¤¡¥
GE #77 ?ÉÑÌ®¡¤CLBBB¡¤ÉÑÌ®¤Ë¤è¤ëSTD¡¥V6¤ËSÇȤ¬¤Ê¤¤¡¥
¿ÇÃÇ¡§2:1¤ÎAF¡¤V5-6,I¤Ï¾®¤µ¤¤¤¬°Û¾ïQÇȤǤ¢¤ë¡¥II,III,aVF¤â°Û¾ïQÇÈ¡¤¤·¤¿¤¬¤Ã¤Æ²¼ÊɦÊɹ¼ºÉ¡¥
GE #78 ?4:1¤ÎAF¡¤PVC¡¤IRBBB¡¤CLBBB¡¥V4-5¤Î°Û¾ïQÇȤÏÍý²ò¤Ç¤¤º¡¥Á°Êɹ¼ºÉ¤«¡©
¿ÇÃÇ¡§AF¤Ç¤¢¤ë¤¬R-R´Ö³Ö¤ÏÉÔÄê´ü¡¥IRBBB¤Ë¤Ä¤¤¤Æ¤Îµ½Ò¤Ï¤Ê¤¤¡¥
GE #79 ÄĵìÀ²¼Êɹ¼ºÉ¡¥»þ·×²óž¡¥
¿ÇÃÇ¡§¾å¤ÈƱ¤¸¡¥
GE #80 CLBBB¤Ë¸«¤¨¤ë¤¬i, aVL¤ËqÇȤ¬Â¸ºß¤¹¤ë¡¥
¿ÇÃÇ¡§LAFB¡¤IVCD¡¤PAP¡¤LAA¡¥
GE #81 QRS 0.16, I,aVL¤ÏCLBBB¤ÎV6¤ÎÍͤËÉý¹RÇÈ¡¤II,III,aVF¤ÏQSÇÈ¡¤
V1¤ÏCLBBBÍÍrSÇÈ¡¤V6¤ÏrsR'S'¤Ç±¦µÓ¥Ö¥í¥Ã¥¯ÍÍ¡¥IVCD¡¥Long-QT¡¥
¿ÇÃÇ¡§ÅŲò¼Á¸¡ººÉ¬Íס¥
GE #82 II,III,aVF¤ÏQS¡¤I,aVF¤Ï¿åÊ¿ST¡¤I¤Î°Û¾ïQÇÈ¡¤V5,V6¤ÏQSÇÈ¡¤ÆÌTÇÈ¡¤
¸Å¤¤²¼ÊɦÊɹ¼ºÉ¡¤LAFB¡¥
¿ÇÃÇ¡§II,III,aVF¤ÎQS¤Ï¼´<-60¤Ç¤¢¤ë¤«¤é¡¤LAFB¤ÎŬ±þ¤Ë¤Ê¤ë¤¬¡¤
¹¼ºÉ¤Î¾ì¹çLAD¤ÇLAFB¤Ï¿ÇÃǤǤ¤Ê¤¤¤È¤¤¤¦¡¥¤·¤«¤·peri-infarction block
¤ò¤¤¤¦¤Ê¤éLAFB¤Ï¿ÇÃǤ·¤Ê¤±¤ì¤Ð¤Ê¤é¤Ê¤¤¤È»×¤¦¡¥
GE #83 Af, QRS 0.8, I¤ÏR¡¤II¡¤III¤ÏrS¡¤aVL¤Ë¾®¤µ¤ÊqÇÈ¡¤»Í»è¤ÎT¤ÏÁ´¤ÆµÕž¡¥
V1¤Ïº¸µÓ¥Ö¥í¥Ã¥¯ÍÍrS¤Þ¤¿¤ÏSÇÈ¡¤V2¡ÁV4¤ÏrSÇÈ¡¤V5,V6¤ÏRsÇÈ¡¤IVCD¡¤LAFB¡¥
¿ÇÃÇ¡§¾åµ¤ÈƱ¤¸¡¥
GE #84 normal ECG
GE #85 Á´ÂÎŪ¤ËÄãÅŰ̡¤STʿó¡¤T±ú¡¤
¿ÇÃÇ¡§cardiomyopathy¤ÇÆÃ°Û¤Ê½ê¸«¤Ï¤Ê¤¤¡¥
GE #86 II,III,aVF¾®¤µ¤ÊQÇÈ¡¤V4¡ÁV6STD¿åÊ¿T¡¥µõ·ì¡¤¸Å¤¤IWMI¤«¡©
¿ÇÃÇ¡§STD¤Ï¥¸¥®¥¿¥ê¥¹¤Îsagging¡¥QÇȤÏͰ٤ǤϤʤ¤¡¥
GE #87 QRS 0.12, II,III,aVF¤ÏQr¡¤Af¡¤V1¡ÁV6¤Þ¤ÇrSÇÈ¡¥T¤ÏV6°Ê³°¾å¸þ¤¡¥
¼´¤Ï-50¡ë¡¥Af¤À¤«¤éPÇȤοÇÃǤ¬¤Ç¤¤Ê¤¤¤¬¡¤IWMI¡¥
¿ÇÃÇ¡§IWMI¡¤IVCD¡¥V6¤¬rS¤Ç¤Ê¤¯¾®¤µ¤ÊQS¤Ç¤¢¤ë¤¬¡¤IVCD¤Ë¤¹¤ë¡¥
Ge #88 ƶÉÔÀ°Ì®¡¤V5,V6¤ÎSTD¡¥
¿ÇÃÇ¡§wandering P, digoxine¤Îsagging T.
Ge #89 BER.
¿ÇÃÇ¡§¹âK·ì¾É¡¥
GE ?#90 IVCDÍͤÎVT¡¥¹âK·ì¾É¡¥
¿ÇÃÇ¡§aVR¤ÇPÇȤ¬¸«¤¨¤ë¤«¤éSVT¡¥
GE #91
GE #92 II, III, aVF¤Î¾®¤µ¤Ê°Û¾ïQÇȤÈTÇÈȿž¡¥¸Å¤¤¿´¶Ú¹¼ºÉ¡¤V1¤Î
RÇȤÏÀµ¾ïÈϰϡ¤È¿»þ·×²óž¡¤¶»Éô¤ÇUÇȤ¬¸«¤¨¤ë¤¬Àµ¾ïÈϰϡ¥
GE #93 ¶¯¤¤»þ·×²óž¡¤¶»ÉôͶƳ¤Ï¿¼¤¤È¿Å¾TÇÈ¡¤Non-Q MI.
GE #94 ƶÀÉÑÌ®¤Î¥Ú¡¼¥·¥ó¥°¡¥
¿ÇÃÇ¡§¾å¤ÈƱ¤¸¡¥
GE #95 »Í»èÄãÅŰ̡¤II,III,aVF¤ÎSTE¡¤aVL¤Î¥ß¥é¡¼STD¡¤V2-3¤Î¥ß¥é¡¼STD¡¤V5-6¤ÎSTE¡¥ÃæÀ¤²¼ÊɦÊɹ¼ºÉ¡¥
¿ÇÃÇ¡§¾å¤ÈƱ¤¸¡¥¿´³°Ëì±ê¤Ç¤Ï¥ß¥é¡¼STDÇÈȯÀ¸¤·¤Ê¤¤¡¥
GE #96 LAE, CRBBB·¿ÊѹÔÅÁƳ¡¤V2-4¤ÎSTDȿžTÇÈ¡¥Á°ÊɦÊɤÎnon-Q IM¤Îµ¿¤¤¡¥
¿ÇÃÇ¡§ÊѹÔÅÁƳ¤Ç¤Ï¤Ê¤¯PVC¤È¤·¤Æ¤ë¡¥
GE #97 LAA, PVC, ÄĵìÀÁ°ÊÉÃæ³Ö¹¼ºÉ¡¥ILBBB.
¿ÇÃÇ¡§Axis -50¤ÇLAFB¡¤PÇȤ¬QRSľ¸å¤Ë¾è¤Ã¤¿ectopic beat(°Û½êÀÇïÆ°)¡¤V6¤ËSÇȤ¬¤Ê¤¤¡¥
? II,III,aVF¤ÇȯÀ¸¤¹¤ëÍÛÀTÇȤÏÀµ¾ï¤«°Û¾ï¤«¡©
Åú¤¨¡§°Û¾ïTÇȤǤ¢¤ë¡¥I,IIͶƳ¤Ç¤Ï¾å¸þ¤R¤Ç²¼¸þ¤TÇÈ¡¥¤½¤ÎÍý¶þ¤Ê¤éII,III,aVF¤ÏÁ´¤Æ
°Û¾ï¤ÊȿžTÇȤǤʤ±¤ì¤Ð¤Ê¤é¤Ê¤¤¡¥
GE #98 ƶÀÉÔÀ°Ì®¡¤È¿»þ·×²óž¡¥
¿ÇÃÇ¡§¾å¤ÈƱ¤¸¡¥
GE #99 aVR¤ò¤Î¤¾¤¯Á´¤Æ¤ÎͶƳ¤ÇSTE¡¤PR´Ö³Ö¤ÎÄã²¼¡¤¿´³°Ëì±ê¡¥
¿ÇÃÇ¡§¾å¤ÈƱ¤¸¡¥
GE #100 Á°ÊÉÃæ³Ö¹¼ºÉ¤Ë¤è¤ëCRBBB+LPFB¡¥1¡ëAV block
¿ÇÃÇ¡§Â¿¤¯¤Îʬ»Þ¥Ö¥í¥Ã¥¯¤ÏMI¤È´Ø·¸¤Ê¤¤¤¬¡¥¤³¤ì¤Ï"peri-infarction block"¤Ç¤¢¤ë¡¥
GE #101 PR 0.24, È¿»þ·×²óž¡¤V3¡ÁV5¤ÎSTD¡¤µõ·ì¡¥
¿ÇÃÇ¡§L-QT, NSSTWC. paroxysmal AF¤ÎͽËɤËquinidine¤òÉþÍÑ¡¥
TÇȤΥơ¼¥ê¥ó¥°¤ËÃí°Õ¡¥
GE #102 wanderling P, PAC, LAD,
¿ÇÃÇ¡§Multifocal atrial tachycardia (MAT)
GE #103 Junctional rhythm
¿ÇÃÇ¡§Nodal bradycardia, rectrograde P.
GE #104 I,aVL¤ÏSTE¡¤II¤ÏRS¤Ç¾å¸þ¤T¡¤III,aVF¤ÏSTD¾å¸þ¤TÇȤǥߥ顼¡¤
V1¤ÏrS¤ÇSTDȿžTÇÈ¡¤V2,V3¾å¸þ¤ÍÛÀTÇÈ¡¤V4,V5,V6¤ÏSTEÊèÀÐÍÍTÇÈ¡¤
Á°ÊɦÊɹ¼ºÉ¡¥
GE #105 LAFB+CRBBB, V2¤À¤±STE¤Ç¤¢¤ë¤¬¡¤CRBBB¤Ë¤è¤ëÊѲ½¡¥
¿ÇÃÇ¡§V2¤Î¤ß¤Ê¤é¤º¡¤V1¤«¤éV3¤Þ¤ÇSTE¤Ç¤¢¤ë¤«¤é¡¤µÞÀÁ°ÊÉÃæ³Ö¹¼ºÉ¤Ç¤¢¤ë¡¥
GE #106 GE #106 CLBBB¤ÈLVH¡¥Axis -60¡ë¤ÇLAD¡¥¤·¤«¤·LAFB¤È¤Ï¿ÇÃǤ·¤Ê¤¤¡¥
V1¤ÎrÇȤÏÌÀ¤é¤«¤Ç¤Ï¤Ê¤¤¡¥V6¤ÏRÇȤΤߤÇsÇȤϤʤ¤¡¥±¦¼¼Êɤò¼¨¤¹sÇȤϱ¦µÓ¤¬Àµ¾ï
¤Ç¤¢¤ë¤¿¤á¤Ë¤¹¤Ç¤Ëæʬ¶Ë¤·¤Æ¤¤¤ë¡¥º¸¼¼¹â°Ì¦Êɤζ½Ê³¤Ï¿´ÀíÉô¤ÈƱ¤¸
¥¿¥¤¥ß¥ó¥°¤Ç¤¢¤ë¤«¤ésÇȤÏȯÀ¸¤·¤Ê¤¤¡¥
GE #107 LAFB¡¥PRP¡¥
GE #108 Àµ¾ï¤Î¤è¤¦¤Ë¸«¤¨¤ë¤¬II, III, aVF¤ÎSTE¡¥I, aVL, V2¤ÎSTD¤è¤ê½é´ü¤Î²¼Êɹ¼ºÉ¡¥
GE #109 Eisenmenger, ±¦¼¼ÈîÂ硤±¦¼´Êа̡¤ÉÔ´°Á´±¦µÓ¥Ö¥í¥Ã¥¯¤Ë¸«¤¨¤ë¤¬¡¥VͶƳ¤Ç¥·¥ã¡¼¥×¤ÊSÇÈ·Á¡¥
GE #110 ξ¿´Ë¼ÈîÂç¤ÈSTȿž¤òȼ¤¦LVH¡¥
GE #111 AF, IRBBB¡¥
¿ÇÃÇ¡§V5,V6¤ÎRÅŰ̡¤STD¤è¤êº¸¼¼³ÈÄ¥¡¥Marfan's syncrome¤ÈAR¡¥
GE #112 PÇȤϤʤ¯¡¤Ë¼¼¼Ä´Î§¤Î½ùÌ®¡¥V2-5¤Î±¢ÀTÇȤǤ¢¤ë¤¬¡¤¿¼¤¯¤Ê¤¯¿´ÆâËì²¼¹¼ºÉ¤Ç¤Ï¤Ê¤¤¡¥
¿ÇÃÇ¡§½ùÌ®ÀÀܹçÉôĴΧ¡¤PRP¡¥NSST-TWC's.
GE #113
GE #114
GE #115
GE #116 Accerated juctional rhythm, pericarditis
GE #117 4:1AF¡¤LVH¡¤V1¤ÎQÇȤÏÀµ¾ï¡¥¥¸¥®¥¿¥ê¥¹¸ú²Ì¡¥
¿ÇÃÇ¡§STD¤Ç¤¢¤Ã¤Æ¤âTÇȤϾå¸þ¤¤À¤«¤éLVH¤Î±Æ¶Á¡¥
GE #118 1¡ëAV ¥Ö¥í¥Ã¥¯¡¤CLBBB¤ËPVC¡¥
¿ÇÃÇ¡§3:2 Wenckebach¡¤
GE #119 *CLBBB
GE #120 LAE, RAE, LVH
GE #121 *II, aVF¤¬¡Ý¤À¤«¤é¼´¤Ï-30¡ë°Ê²¼¡¤V1¤¬PVC¤Î¤è¤¦¤Ë¸«¤¨¤ë¤¬µðÂç¤ÊrsR'
¤Ç¤¢¤ë¡¥V1-V3¤Þ¤ÇrsR'¤ÇȿžTÇÈ¡¤V4-V6¤ÏrSÇȤÇÍÛÀTÇÈ¡¥
¿ÇÃÇ¡§LAFB+CRBBB¡¥ËÜÍèRBBB¤Ï±¦¼¼ÈîÂç¤Î¿ÇÃǤϽÐÍè¤Ê¤¤¤¬¡¤
V1¤Î°Û¾ï¤Ê¹â¤µ¤ÎR'¤ÈV6¤ÎSÇÈ¡¤¤½¤·¤ÆÈ¿Å¾TÇȤÏRVH¤òµ¿¤ï¤»¤ë¡¥
Ä̾ï¤ÎCRBBB¤Ç¤ÏV6¤ÏRÇȤÈÉý¹¤ÎSÇȤǤ¢¤ë¤¬¡¤RVH¤Ç¤ÏRÇȤ¬¾®¤µ¤¯¡¤
SÇȤϱԤ¯¿¼¤¤¡¥
GE #122 II¡¤III¡¤aVF¤Î¾®¤µ¤ÊqÇÈ¡¤ST¤ÏÀµ¾ïÇÈ·Á¡¥VͶƳ¤ÏÈ¿»þ·×²óž¤ÇÀµ¾ï¡¥Æ¶Ä´Î§¤ÇPR¤Ï160ms¡¥¤Û¤ÜÀµ¾ïÇÈ·Á
¿ÇÃÇ¡§°Û¾ïQÇȤȤ·¤Æ¸«¤ë¤«¤É¤¦¤«¤ÏÆñ¤·¤¤¡¥
GE #123 I¡¤aVL¤ª¤è¤ÓV1-6¤Þ¤Ç¤ÎȿžÂоÎTÇÈ¡¥¿´ÆâËì¹¼ºÉ¡¥
¿ÇÃÇ¡§ÈóQÇÈÀÁ°Êɹ¼ºÉ¡¥LQT¤¬¤¢¤ê¡¤VT¤Ë¤Ê¤ê¤ä¤¹¤¤¡¥
GE #124 II¡¤III¡¤aVF¤Î°Û¾ïQÇȤÈSTE¡¥I¡¤aVL¤ÎSTE¤ÈȿžTÇÈ¡¥¶»Éô¤ÏV1¤¬RSÇȤǰܹÔÂÓ¡¥¶Ëü¤ÊÈ¿»þ·×²óž¡¥
µÞÀ²¼Êɹ¼ºÉ¡¥
¿ÇÃÇ¡§µÞÀ²¼Êɹ¼ºÉ¡¥V1-2¤ÎSTD¤â½ê¸«¤ËÆþ¤ì¤ë¡¥
GE #125V1¤è¤ê±¦¼¼ÅÁƳÃٱ䡥
Àµ¾ï¿´Åſޡ¥
GE #126 II¡¤III¡¤aVF¤ÎSTE¤ÈV2-4¤ÎSTD¡¥I¡¤aVL¤ÎSTD¡¥µÞÀ²¼Êɹ¼ºÉ¡¥
¿ÇÃÇ¡¨µÞÀÁ°Êɹ¼ºÉ¤È¿ÇÃǤ·¤Æ¤¤¤ë¤¬¡¤¤ï¤«¤é¤ó¡¥
GE #127 ƶÀÉÑÌ®¡¤º¸Ë¼ÈîÂ硤LQT¡¤LVH¡¤¥¹¥È¥ì¥¤¥óTÇÈ¡¥
¿ÇÃÇ¡§aortic stenosis¤Ë¤è¤ëLVH¡¥
GE #128
GE #129
GE #130 V1-2¤ÎQSÇÈ·Á¤è¤êÁ°Êɹ¼ºÉ¤Î²ÄǽÀ¤¬¤¢¤ë¤¬¡¢Àµ¾ï¤«¤â¤·¤ì¤Ê¤¤¡¥
GE #131 IRBBB¤Ç¤¢¤ë¤¬¡¤V1¤ÎTÇȤϵÕž¤·¤Æ¤¤¤ë¡¥±¦¼´Êа̤Ǥ¢¤ì¤Ð
±¦¼¼ÈîÂç¤Î²ÄǽÀ¤¬¤¢¤ë¤¬¡¤¤³¤ÎÅŵ¤¼´¤Ï45¡ë¤À¤«¤é¡¤Î×¾²¾É¾õ¤¬È¼¤ï¤Ê¤±¤ì¤ÐÌäÂê»ë¤·¤Ê¤¤¡¥
GE #132 PRû½Ì¡¤´§ÀÅ̮ĴΧ¡¤È¿»þ·×²óž¡¤WPW¤Î²ÄǽÀ¤Ï¤¢¤ë¡¥
¿ÇÃÇ¡§low atrial or coronary sinus pacemaker¤Ç¾å¤ÈƱ¤¸¡¥
GE #133 ¼´-30Åٰʾ塤LAFB¸Í¿ÇÃǤ·¤¿¤¤¤¬¡¤V1-6¤Þ¤ÇrS¤Ç¤¢¤ë¡¥·Á¤È¤·¤Æ¤ÏIVCD¤Ç¤¢¤ë¤¬¤¬¡¤QRSÉý¤¬¶¹¤¤¡¥
¿ÇÃÇ¡§°ìÈÌŪ¤Ë²¼Êɹ¼ºÉ¤Î¾ì¹ç¤ÏII¡¤III¡¤aVF¤ÇQSÇȤˤʤ뤿¤á¡¤LAFB¤È¤Ï¿ÇÃǤ·¤Ê¤¤¡¥
¤³¤ÎÎã¤Ç¤ÏII¤ËrÇȤ¬¤¢¤ë¤«¤é²¼Êɹ¼ºÉ¤Ç¤Ï¤Ê¤¯¡¤¤Þ¤¿V2¤ËrÇȤ¬¤¢¤ë¤¿¤á¡¤Á°Êɹ¼ºÉ¤Ç¤Ï¤Ê¤¤¡¥
³ÈÄ¥À¿´¶Ú¾É¤Ç¤¢¤ë¡¥
GE #134 *AF¡¤ÉÑÌ®¡¤II¡¤III¡¤aVF¤ÎSTD¡¤V2-6¤Î¹âÅŰ̡¤STD¤¬¤¢¤ê¡¤LVH¡¥¶ì¤·¤½¤¦¡¥
¿ÇÃÇ¡§AF¡¤ÉÑÌ®¤Ë°Í¸¤¹¤ëSTD¡¥º¸¼¼¹âÅṲ̋Ϥʤ¤¡¥»Í»èͶƳ¤ÇRÇȤβ¼¹ßÉôʬ¤¬±äŤ·¤Æ»°³Ñ·Á¤Ë¸«¤¨¤ë¤Î¤Ï¡¤
¿´³°Ëì¦æʬ¶Ë¤¬Ãٱ䤹¤ë¤¿¤á¤Ç¤¢¤ë¡¥LVH¤âƱ¤¸¹Í¤¨¤¬ÄÌÍѤ¹¤ë¡¥¶»ÉôͶƳ¤Ç¤ÏSÇȤαƶÁ¤Ç¿ÃͲ¼¤¬¤ê¤Ï
µÞ½Ô¤Ë¤Ê¤ë¡¥
GE #135 *II¤Ç¦ÄÇȤΤ褦¤Ë¸«¤¨¤ë¤¬¡¤´°Á´±¦µÓ¥Ö¥í¥Ã¥¯¡¤PAC¤Ë¤è¤ëÊ佼ĴΧ¡¥
¿ÇÃÇ¡§ST¤ÎÉÑÌ®¤ËPAC¤¬¤¢¤ë¡¥V3-5¤ÎSTE¤ÏAMI¤ÈȽÃǤ¹¤ë¡¥
µ¿Ìä¡§PAC¤Ë¤è¤ëHIS¦¶áÊÕ¤ÎÊ佼ĴΧ¤Î¸Æ¤ÓÊý¡©
GE #136 ½é´ü¤ÎÁ°ÊÉÃæ³Ö¹¼ºÉ
¿ÇÃÇ¡§QT±äŤò½Ò¤Ù¤Æ¤¤¤ë¤¬¡¤V1-5¤Î¾å¤ËÆÌ¤ÎST¥»¥°¥á¥ó¥È¤Ë¤Ïµ½Ò¤µ¤ì¤Æ¤¤¤Ê¤¤¡¥
GE #137 PAC¡¥Â³¤¯QRST¤ÏÀµ¾ïÇÈ·Á¡¥
GE #138 ƶÄä»ß¡¥
GE #139 ¿´¼¼¥Ú¡¼¥·¥ó¥°
GE #140 Àµ¾ïƶĴΧ
GE #141 ƶÀÉÔÀ°Ì®
GE #142 ƶÀÉÑÌ®
GE #143 ¥¥ã¥ê¥Ö¥ì¡¼¥·¥ç¥ó¡¤calibratin pulses.
GE #144 ¥Ï¥à¡¤AC interference.
GE #145 ÂÎÆ°¡¤Mucle Tremor (Somatic).
GE #146 ¿ÍÂÎÆ°Íɤˤè¤ë´ðÀþ°Üư
GE #147 ¥Ú¡¼¥¹¥á¡¼¥«¡¼¤È¤Î¥Õ¥å¡¼¥¸¥ç¥ó
GE #148 ¥Ú¡¼¥¹¥á¡¼¥«¡¼»É·ãÉÔÎÉ
GE #149 ¥Ú¡¼¥¹¥á¡¼¥«¡¼¥»¥ó¥·¥ó¥°ÉÔÎÉ¡¥
GE #150 ¥Ú¡¼¥¹¥á¡¼¥«¡¼½ÐÎÏÉÔÎÉ¡¥
GE #151 ¿´Ë¼¿´¼¼Ää»ß¡¥
GE #152 AF¤È¿´¼¼¥Ú¡¼¥·¥ó¥°
GE #153 ¿´Ë¼¥Ú¡¼¥·¥ó¥°
GE #154 ¿´Ë¼¿´¼¼¥Ú¡¼¥·¥ó¥°
GE #155 ¿´¼¼ÉÑÇï
GE #156 ¿´¼¼¥Õ¥å¡¼¥¸¥ç¥ó¼ý½Ì¡¥
ñ¤Ê¤ë´ü³°¼ý½Ì¤«¤ï¤«¤é¤Ê¤¤¡¥PÇȤ˳¤¤¤Æ¿´¼¼´ü³°¼ý½Ì¤¬¤¢¤ë¤è¤¦¤Ë¤â¸«¤¨¤ë¡¥
GE #157 ƶÄä»ß¤Ë¤è¤ë¿´¼¼ÀÊ佼ĴΧ¡¥
GE #158 VF
GE #159 ƶÀÉÑÇII, III, aVF¤ÎSTD¡¤ÉÔ´°Á´±¦µÓ¥Ö¥í¥Ã¥¯¡¥short PRI
¿ÇÃÇ¡§Lown-Ganong-Levine Syndrome.
GE #160 WPW¡¤V2-4¤Þ¤ÇTÇȵÕž¡¥
¿ÇÃÇ¡§TÇȵÕž¤ÏWPW¤ÎÉûÅÁƳϩ¤Î±Æ¶Á¤«¡¤ÉÂÍýŪ¤Ê¤â¤Î¤«ÉÔÌÀ¡¥
GE #161 ξ¿´Ë¼ÈîÂ硤LQT¡¤
¿ÇÃÇ¡§IVCD¤È¤µ¤ì¤Æ¤¤¤ë¤¬¡¤RÇȤÎΩ¾å¤ê¤ÎÉÔϢ³ÅÀ¤ò¼¨¤·¤Æ¤¤¤ë¤Î¤«¡©
GE #162 MAT¡¤PRP¡¤RAD
¿ÇÃÇ¡§±¦¼´Êа̡¤PRP¤ÈV6¤ÎSÇȤ«¤éRVH¤ò¿ÇÃǤ·¤Æ¤â¤è¤¤¡¥¿´Çï¿ô120¤Ï°Û¾ï¤Ç¤¢¤ë¡¥
GE #163 R on T¡¤
¿ÇÃÇ¡§µ½Ò¤µ¤ì¤Æ¤¤¤Ê¤¤¤¬¡¤MAT¤Ç¤¢¤ê¡¤3ÇïÌܤϦÄÇȤǤ¢¤ë¡¥
GE #164 PVC2Ϣȯ¡¥
GE #165 3Ϣ³PVC¡¥
GE #166 PVC¤Î2ÃÊÌ®¡¥
GE #167 PÇȤ¬¤Ê¤¤¤È¿ÇÃǤ·¤Æ¤¤¤ë¤¬¡¤Æ¶Ä´Î§¤Ç¤¢¤ë¡¥PVC¡¥
GE #168 °ì¸»À¿´¼¼´ü³°¼ý½Ì
GE #169 ¿¸»À¿´¼¼´ü³°¼ý½Ì
GE #171 Nodal µÕ¹ÔÀPÇÈ¡¤V3-6¤ÎTÇȵÕž¡¥ ¿ÇÃÇ¡§I¡¤aVL¤ÎSTE¤Ï¦Êɹ¼ºÉ¤Î¤è¤¦¤Ë¸«¤¨¤ë¡¥
GE #172 Ãæ³ÖÁ°ÊÉAMI¡¤ÊèÀÐÍÍÇÈ·Á¡¥
¿ÇÃÇ¡§V1¤ÎqR¤«¤éRBBB¤ÎAMI¤Ç¤¢¤ë¡¥II¡¤III¤ÎrS¤«¤éLAFB¡¥
GE #173 AF¤Î½ùÌ®¡¤II¡¤III¡¤aVF¤ÎSTE¤ÈI¡¤aVL¤Î¥ß¥é¡¼¤Ë¤è¤ëSTD¡¥
¿ÇÃÇ¡§junctional escape rhythm. ÀܹçÉôÊ佼ĴΧ¡¥SA arrest.
GE #174 WPW, III, aVF¤Î°Û¾ïQÇȤÏWPW¤Î¦ÉûÅÁƳϩ¤ÇȯÀ¸¤·¤Æ¤¤¤ë¡¥¦ÄÇȤϳ¤¯QRS¤ÈÉÔϢ³¤Ç¤¢¤ë¡¥
GE #175 I¤ÏrS¤ÇSTE¡¤II,III,aVF¤ÏSTE¤ÇÈó¾ï¤Ë¾®¤µ¤Êq¡¤V1¤ÏR'¤Ç¶¯¤¤STD¡¤
V2¡ÁV4¤Þ¤Ç¤ÏRSr'¤Ç¶¯¤¤STD¡¤V5¤ÏRS¤ÇSTD¤È¾å¸þ¤TÇÈ¡¤V6¤Ï
R¤ÇSTE¡¥²¼Êɹ¼ºÉ¡¤Â¦Êɹ¼ºÉ¤È¸åÊɹ¼ºÉ¤Ç¤¢¤ë¤¬¡¤¥ß¥é¡¼¤¬¶¯²á¤®¤ë¤¿¤á
Á°ÊÉÃæ³Ö¤ÎÆâËì²¼¹¼ºÉ¤òʻȯ¤·¤Æ¤¤¤ë¡¥
GE #176 II,III,aVF¤Î°Û¾ïQÇÈ¡¤V2¡ÁV4¤ÏÊèÀÐÍÍÇÈ·Á¡¤V5¡ÁV6¤ÏQ¤ÈSTE¡¤
¸Å¤¤¸åÊɤȵÞÀ¤ÎÁ°ÊɦÊɹ¼ºÉ¡¥
GE #177 II, aVF¤ÎSTE¡¤V2-4¤ÎSTE¤Ç¤¢¤ë¤¬¡¤²¼¤ËÆÌ¤ÎST¥»¥°¥á¥ó¥È¡¥µÞÀÁ°Êɹ¼ºÉ¤«¡¥
¿ÇÃÇ¡§¿´¼ê½Ñ¸å¤Î¿´³°Ëì±ê¡¥
GE #178 V2-4¤Î¶¯ÅÙ¤ÊSTE¤È¾å¤ËÆÌ¤ÎST¥»¥°¥á¥ó¥È¡¥µÞÀÁ°Êɹ¼ºÉ¡¥
¿ÇÃÇ¡§²¼Êɤò´Þ¤àµÞÀÁ°Êɹ¼ºÉ¡¥aV¤ÎSTD¤Ï¥ß¥é¡¼¥¤¥á¡¼¥¸¡¥¿´³°Ëì±ê¤Ç¤Ï¤Ê¤¤¡¥
#177¤Ç¤ÏaVL¤Ç¤âSTE¤Ç¤¢¤ë¡¥
GE #179 PVC3ÃÊÌ®¡¤Trigeminal PVC's.
GE #180 4ÇïËè¤ÎPVC¡¥
GE #181 ¿´¼¼¸ÇÍĴΧ¡¥idioventricular rhythm.
GE #182 Â¥¿Ê·¿¿´¼¼¸ÇÍĴΧ¡¥accelerated idioventricular rhythm.
GE #183 ƶÀÉÑÌ®¡¤º¸Ë¼ÈîÂ硤V-3°Û¾ïQÇÈ¡¤º¸¼´Êа̤Ǥ¢¤ë¤¬¡¤LAFB¤Ç¤Ï¤Ê¤¤¡¥(V6¤ÎSÇȤ¬¤Ê¤¤¤¿¤á)¡¥
¿´ÉÔÁ´¤Ç¤¢¤ë¤¬¡¤MI¤È¤Ï´Ø·¸¤·¤Ê¤¤¡¥
GE #184 ¿´Çï¤Îjanctonal tachycardia, I, II, III, aVF, V5, V6¤ÎST¾å¾º¤Ï¿´³°Ëì±ê¤Î¤¿¤á¡¥
¿´³°Ëì±ê¤ÏST¡¤AF, JT¤Ç¤è¤¯È¯À¸¤¹¤ë¡¥
GE #185 Wenckebach 4:3 ¤ÎAV B;ock, µÞÀ²¼Êɹ¼ºÉ¡¤II, III, aVF¤Î°Û¾ïQÇȤÈST¾å¾º¡¤
V2¤ÎSTD¤È¹âTÇȤϸåÊɹ¼ºÉ¡¥ÉÔÀ°Ì®¤Ï¦ÉûÏ©¤Î²þÁ±¤ÏÌÂÁö¿À·Ð¤Î¶ÛÄ¥Äã²¼¤Ç²þÁ±¤¹¤ë¡¥
GE #186 ´Ö·çÀWPW¡¤È¿Å¾TÇȤÏWPW¤Ë¤è¤ë°Û¾ïºÆÊ¬¶Ë¡¥
GE #187 Àµ¾ï¿´Åſޡ¥
GE #188 1¡ë˼¼¼¥Ö¥í¥Ã¥¯¡¤I,aVL¤ÎµÕžÂоÎÀTÇÈ¡¤aVL¤Ï°Û¾ïQÇÈ¡¤V2,V3¤ÎSTE
¿åÊ¿ST¥»¥°¡¤È¿Å¾TÇÈ¡¤V4¤ÎȿžTÇÈ¡¤V5¤Ï¿åÊ¿ST¤ÇTÇȤϤʤ¤¡¥
V6¤ÏSTD¡¤¿åÊ¿ST¥»¥°¡¤¾å¸þ¤TÇÈ¡¥
¿ÇÃÇ¡§Lateral ST and T abnormality.¤È¤Ê¤Ã¤Æ¤¤¤ë¤¬¡¤¹â°Ì¦Êɹ¼ºÉ¤Î½é´ü¡¤Á°ÊÉÃæ³Ö¹¼ºÉ¤Î
½é´ü¤È¸«¤ì¤ÐII¡¤III¡¤aVF¤Î¥ß¥é¡¼STD¤ÏÀâÌÀ½ÐÍè¤ë¡¥
GE #189 PÇȤÏQRS¤Î¸å¡¤II,III,aVF¤Î°Û¾ïQÇȤÈTÇÈȿž¡¤ST¤ÏII¤è¤êIII¤ÎÊý¤¬¹â¤¤¡¥
I¤ÈaVL¤ÏSTD¤Ç¾å¸þ¤TÇÈ¡¥v1¡ÁV3¤Ï°Û¾ïQÇÈ¡¤¾å¸þ¤Ä¾ÀþST¥»¥°¡¤TÇȾå¸þ¤¡¤
V4¡ÁV6¤ÏSTD¡¤¾å¸þ¤TÇÈ¡¥
²¼Êɹ¼ºÉ¡¤Á°ÊÉÃæ³Ö¹¼ºÉ¡¤V5-6.I,aVL¦ÊÉ(¥ß¥é¡¼STD)µõ·ì
GE #190 II,III,aVF¤¬°Û¾ïQÇȤΤ褦¤Ë¸«¤¨¤ëWPW¡¤ST¥»¥°¤ÈTÇȤÏÀµ¾ï¡¥
GE #191 Ì®Çï120¡¤»Í»è¤È¶»ÉôÄãÅŰ̡¤PRD¡¤ST¤ÏÁ´¤ÆÀµ¾ï¡¥
Acute pericarditis
GE #192 Ì®Çï75¡¤I,aVL¤ÎST²¼¹ßȿž¡¤LVH¡¤LAH¡¤µÞÀÁ°ÊÉÃæ³Ö¹¼ºÉ¡¥
¥ï¥ó¥À¥ê¥ó¥° ¥Ú¡¼¥¹¥á¡¼¥«¡¼¤Ë¤è¤ëÉÔÀ°Ì®.
¿ÇÃǤϲ¼Êɹ¼ºÉ¤È¤Ê¤Ã¤Æ¤¤¤ë¤¬¡¤II,III,aVF¤ÎÊѲ½¤Ï¤Ê¤¤¡¥¸í¿Ç¡¥
GE #193 I,aVL¤ÎSTD¤ÈTµÕž¡¤II,III,aVF¤Î°Û¾ïQ¤ÈSTE¡¤V2¡ÁV6¤Î¶¯¤¤STD¤È¾å¸þ¤T¡¥
²¼ÊÉ¡¤±¦¼¼¹¼ºÉ¡¥±¦´§Æ°Ì®¤ÎÊĺɤ¬È½¤Ã¤Æ¤¤¤ë¤«¤é±¦¼¼¹¼ºÉ¤Ç¤¢¤ë¡¥
V1¤ÎÊѲ½¤¬¾¯¤Ê¤¯¡¤V2,V3¤ÎSTD¤¬¶¯¤¤¤³¤È¤ËÃí°Õ¤¹¤ë¡¥
GE #194 Poor P wave¤ÎSinus Rhythm. LAFB¡¤V1-3¤ÏPoor R Progression¤Ç¤¢¤ê¡¤MI¤Ç¤Ï¤Ê¤¤¡¥VͶƳ¤Î3ÇïÌܤÏSVT¡¥
GE #195 ´°Á´±¦µÓ¥Ö¥í¥Ã¥¯¤Ç¤¢¤ê¡¤¶»ÉôͶƳ¤ÎTÇȤϵÕž¡¥¤³¤ì¤Ï´°Á´±¦µÓ¥Ö¥í¥Ã¥¯¤Ç¤ÎÀµ¾ï¤ÊÊѲ½¤Ç¤¢¤ë¡¥º¸¼¼ÈîÂç¤Ï¤Ê¤¤¡¥
GE #196 ¼´90°Ê¾å¡¤ÇÙÀPÇÈ¡¤V1¤ÏrsR'¤Ç¤¢¤ë¤¬¡¤rs¤ÏÈó¾ï¤Ë¾®¤µ¤¤¡¥R'¤Ï¥·¥ã¡¼¥×¤Ç
Ä̾ï¤Î±¦µÓ¥Ö¥í¥Ã¥¯¤È°Û¤Ê¤ë¡¥V2¡ÁV6¤Þ¤Ç¤Ï¶¯¤¤Éý¤Î¶¹¤¤SÇÈ¡¥±¦µÓ¥Ö¥í¥Ã¥¯
¤Ç¤¢¤ì¤ÐS¤ÏÉý¤¬¹¤¤¤«¤é¡¤¤³¤ÎÅÀ¤«¤é¸«¤Æ¤âRBBB¤È¤Ï°Û¤Ê¤ë¡¥V1¤Ï
±¢ÀTÇȤǡ¤V2¤Ïʿó¡¤V3-V6¤ÏÄ̾ï¤ÎTÇÈ¡¥RÇȤÏV3¤¬ºÇ¤â¹â¤¯¡¤
V6¤Ë¹Ô¤¯¤Ë¤·¤¿¤¬¤Ã¤ÆÇȹâ¤Ï¾®¤µ¤¯¤Ê¤ë¡¥ÇÙÀPÇȤȱ¦¼¼ÈîÂç¡¥
GE #197 PSVT¡¤TÇȤλϤޤê¤ËµÕ¹ÔÀPÇÈ¡¤STD¤¬¸«¤¨¤ë¡¥
GE #198 COPD, Wandering AT, ¶»ÉôͶƳ¤ÏCOPD¤ÎÆÃħ¡¤ cf¡¥BB p.75, fig7.17
GE #199 I,aVL¤ÎSTE¡¤II,III,aVF¤ÎST²¼¹ß¤È2ÁêÀTÇÈ¡¤V6¤ÎÊѲ½¤Ï¾¯¤Ê¤¤¡¥
¹â°Ì¦ÊɤÎAMI¡¥
GE #200 ±¦¼´Êа̡¤V1¤ÎR/S>1, ¥¹¥È¥ì¥¤¥óT¡¤RVH¡¥RAA¤Ï¤Ê¤¤¡¥
V4¤¬TR¤ÇÀµ¾ïTÇȤÇV6¤Ë¤Ê¤ë¤¬¡¤V6¤Ç¤âRSÇȤǤ¢¤ë¡¥
GE #201 ƶÀÉÑÌ®¡¤º¸Ë¼ÈîÂ硤II¡¤III¡¤aVF¤Î°Û¾ïQÇÈ¡¤STE¡¤VͶƳ¤è¤êLVH¡¥
¿ÇÃÇ¡§AS¤Ë¤è¤ëLVH¡¥²¼Êɹ¼ºÉ¤ÏÆÉ¤ß²á¤®¡¥¤·¤«¤·I¡¤aVL¤ÎSTD¤ÈTÇÈȿž¤Î¤è¤¦¤Ë¸«¤¨¤ë¡¥
GE #202 1ÅÙAV¥Ö¥í¥Ã¥¯¡¤IVCD¤«´°Á´º¸µÓ¥Ö¥í¥Ã¥¯¡¥V6¤ÏrS·¿¤À¤«¤éIVCD¤À¤í¤¦¡¥
¿ÇÃÇ¡§LBBB¡¥I¡¤aVL¤ËqÇȤ¬¤Ê¤¤¤«¤é¡¤LBBB¡¥
GE #203 V2-6¤ÎÂоÎÀµÕžTÇȤè¤ê¡¤¿´ÆâËì²¼¹¼ºÉ¡¥
¿ÇÃÇ¡§¿´ÆâËì²¼¹¼ºÉ¡¤ST¥»¥°¥á¥ó¥È¤Î±äĹ¤Ï¤è¤¯¸«¤é¤ì¤ë¡¥QTD¤Ë¤Ê¤ê¡¤¼ý½Ì»þ´Ö¤Î±äŤò°ÕÌ£¤¹¤ë¡¥
GE #204 I,aVL¤ÎST±ú¡¤II,III,aVL¤Ër¤¢¤ê¡¤V1¤ÏQS¡¤V2¡ÁV6¤Ë¤ÏRÇÈ¡¤
»þ·×²óž¡¤¿ÇÃǤˤϵ½Ò¤µ¤ì¤Æ¤¤¤Ê¤¬LAH¤Ç¤¢¤ë¡¥
GE #205 I,aVL¤ÎSTD±ú¡¤II,III,aVF¤ÎSTEÆÌ¡¤V1,V2¤ÎSTD¤ÈÆÌTÇÈ¡¤V5,V6¤ÎSTE¤ÈÆÌT¡¥
²¼ÊɸåÊÉAMI¡¥
¿ÇÃÇ¡§V1,V2¤Î²ò¼á¤¬¤Ê¤¤¡¥¹ÈϤʹ¼ºÉ¤Ç¤¢¤ê¡¤±¦¼¼¹¼ºÉ¤ò´Þ¤à¤È»×¤ï¤ì¤ë¡¥
GE #206 I,aVL¤ÎSTD¡¤II,III,aVF¤Î°Û¾ïQÇÈ¡¤STE¡¤TµÕž¡¥V1,V2¤Î¹â¤¤TÇÈ¡¥
V2¤ÏSTD¡¤V6¤ÎSTʿó±úTÇÈ¡¥Î¾¿´Ë¼ÈîÂ硤²¼Êɹ¼ºÉ¡¤¸åÊɤ˵ڤ֡¥
¿ÇÃÇ¡§¾å¤ÈƱ¤¸¡¥#213¤Î½ê¸«¤Î¼¡¤ÎÆü¤ÎECG¤È½ñ¤¤¤Æ¤¤¤ë¤¬ÉÔÌÀ¡¥
GE #207 I,aVL¤ÎSTD±ú¡¤II,III,aVF¤Î°Û¾ïQÇȤȿåÊ¿¾®¤µ¤Ê±úT¡¥V1¤ÏSTE¤ÈÆÌT¡¤
V2¤ÏSTD¤ÈÆÌT¡¥V6ST¤Ï¿åÊ¿¡¥¸Å¤¤²¼Êɹ¼ºÉ¡¥
¿ÇÃÇ¡§V2,V3¤è¤êÁÎ˼PÇÈ¡¤V2¤ÎR¤¬¹â¤¤¡¥È¿»þ·×²óž¡¥¸åÊɹ¼ºÉ¤Ë¤·¤Æ¤ÏV1¤ÎrÇȤ¬Äã²á¤®¤ë¡¥
GE #208 4:1¤ÎAF¡¤PRP¡¤V4-5¤ÎSTD
¿ÇÃÇ¡§¥¸¥®¥¿¥ê¥¹¸ú²Ì¡¥
GE #209 I, aVL¤Îflat TÇÈ¡¤V5-6¤Î±¢ÀTÇÈ¡¥
¿ÇÃÇ¡§Î¾¿´Ë¼ÈîÂ硤º¸¼¼¹âÅŰ̡¤
GE #210 I, aVL¤ÎSTD¡¥II, III, aVF¤ÎSTE¤è¤êµÞÀ²¼Êɹ¼ºÉ¡¥
GE #211 Mobitz II¡¤2ÅÙAV ¥Ö¥í¥Ã¥¯¡¥
GE #212 3ÅÙAV ¥Ö¥í¥Ã¥¯¡¥
GE #213 WPW¡¤TÇȵÕž¤ÏWPW¤Ç¤ÎÀµ¾ïÊѲ½¡¥
GE #214 1ÅÙAV ¥Ö¥í¥Ã¥¯¡¥
GE #215 CLBB
GE #216 WPW
GE #217 1ÅÙAV ¥Ö¥í¥Ã¥¯¡¥
GE #218 Mobitz I (Wenckebach) 2ÅÙAV ¥Ö¥í¥Ã¥¯¡¥
GE #219 Â¥¿Ê·¿AV ÀܹçÉôĴΧ¡¥
GE #220 ÀܹçÉôÉÑÇµÕ¹ÔÀPÇÈ¡¥Ãí°Õ¡¥
GE #221 Wandering Pacemaker °ìÈÌŪ¤Ë¿´Çï¿ô¤Ï60°Ê²¼¤Ë¤Ê¤ë¡¥Ãí°Õ¡¥
GE #222 ±¦µÓ¥Ö¥í¥Ã¥¯¡¥
GE #223 ¿´Ë¼ÉÑÇï
GE #224 ¿´Ë¼ÁÆÆ°¡¥
GE #225 ¿´Ë¼ºÙư¡¤ÁÆÆ°¤ËÈæ¤Ù¤Æ¿¶Éý¤¬¾®¤µ¤¤¡¥
GE #226 ÀܹçÉôĴΧ¡¥±¦µÓ¥Ö¥í¥Ã¥¯¤ÇSTE¡¥
GE #227 ¿´Ë¼´ü³°¼ý½Ì¡¥
GE #228 ¿´Ë¼´ü³°¼ý½ÌÆóÃÊÌ®¡¥
GE #229 3th Phase ±¦µÓ¥Ö¥í¥Ã¥¯·¿ÊѹÔÅÁƳ¡¥
GE #230
GE #231
GE #232
GE #233
GE #234 II,III,aVF¤Î°Û¾ïQÇÈ¡¤III,aVF¤ÎST²¼¹ß¡¤È¿Å¾T¡¥¸Å¤¤²¼Êɹ¼ºÉ
II¤ÎST¤ÏÀµ¾ï¡¥¿ÇÃÇ¡§´û±ýÎò¤ÇMI¤«È½ÃǤ¹¤ë¡¥Àµ¾ïqÇȤ«¤â¤·¤ì¤Ê¤¤¡¥
GE #235 Á°ÊÉÃæ³ÖAMI¡¥III¤ÎQÇȤÀ¤±¤Ç¤Ï²¼Êɹ¼ºÉ¤Î¿ÇÃǤϤǤ¤Ê¤¤¡¥
GE #236 I,aVL¥¹¥È¥ì¥¤¥óTÇÈ¡¤ÁÎ˹PÇÈ¡¤LVH¡¥
GE #237 LAH, V1¤ÎqR, V6¤ÎRS¤è¤êIRBBB.
¿ÇÃÇ¡§¾åµ¤ËÄɲä·¤Æ1st AV block, LAH.
I,aVL¤Î¹âÅṲ̋Ϻ¸¼¼ÈîÂç¤Î¾ò·ï¤ËŬ±þ¤¹¤ë¡¥
GE #238 ÇÙÀP¡¤IÄã¿¶Éý¡¤¼´90, »þ·×²óž¡¤Î¾¿´Ë¼ÈîÂ硤ÉÑÌ®¡¤±¦¼¼ÈîÂç¡¥
¿ÇÃÇ¡§ÇÙµ¤¼ð¤Ç¤¢¤ê¡¤±¦¼¼ÈîÂç¤È¤Ï¸À¤¨¤Ê¤¤¡¥
GE #239 ½ùÌ®¡¤PÇȤʤ·¡¤Af, II,III,aVF¤ÎÂ礤ÊQÇÈ¡¤CLBBB.
¿ÇÃÇ¡§IVCD, CLBBB¤Ê¤éV6¤ÏRÇȤ¬É¬Íס¤¤·¤«¤·V5¤ÇrSr', V6¤ÇQS¤Ç¤¢¤ë¡¥
IVCD¤ÏQRSÉý¤¬0.12sec°Ê¾å¡¢V1¤Çº¸µÓ¥Ö¥í¥Ã¥¯·¿(rS)¡¤V6¤Ç±¦µÓ¥Ö¥í¥Ã¥¯·¿(Rs)¤Ç¤¢¤ë»ö¡¥
Af¤ÏNodal¤ÇŬÅö¤Ê¿´Çï¤òÊݾڤ¹¤ë¤¬¡¤½ùÌ®¤Ë¤Ê¤ë¤Èsick AV node¤È¤¤¤¦¡¥
GE #240 CRBBB,LAFB,LVH,LQT
GE #241 LAFB, IRBBB, PRP
GE #242 WPW
GE #243 QRS 0.12, Axis <-60, LAFB, PRP¡¤V1¡ÁV6¤Þ¤ÇrS¥Ñ¥¿¡¼¥ó¡¥IVCD¡¥aVL¤ËqÇȤ¬¸«¤¨¤ë¤«¤éLBBB¤Ç¤Ï¤Ê¤¤¡£
¿ÇÃÇ¡§Á°ÊÉÃæ³Ö¹¼ºÉ¤Î½é´ü¡¥
GE #244 1¡ëAV block, II, III,aVF¤Î²¼¹ßST¤È¾å¸þ¤TÇÈ¡¥digitalis¤Ë¤è¤ëËß¾åTÇÈ¡¥
GE #245 ÉÑÌ®¡¤CRBBB¡¤
¿ÇÃÇ¡§2:1¤Î¿´Ë¼ÁÆÆ°¡¥STD¤ÏÉÑÌ®¤Ë¤è¤ë±Æ¶Á¡¥¿´Ë¼ÁÆÆ°¤Ï¤è¤¯¤ï¤«¤é¤Ê¤¤¡¥
GE #246 AF¤ÈÉÑÌ®¡¥ÉÑÌ®¤Ë¤è¤ëSTD¡¤LVH¡¥
GE #247 NSST-TWC. digitalis¸ú²Ì¡¥
GE #248 axis -30, SN, ¦ÊÉ¡¤¹â°Ì¦Êɵõ·ì¤Ç¤Ï¤Ê¤¯NSSTC¡¤IVCD¤Ç¤¢¤ë¡¥
GE #249 I,aVL¤ËQÇÈSTE¡¤V1¡ÁV6¤Þ¤ÇQS¡¤STE¡¤ST¤Ï¾å¸þ¤±ú¤Ç¤¢¤ë¡¥Á°Êɹ¼ºÉ¡¤
·ìÀòÍϲò¸å4»þ´Ö¡¥III, aVF¤Ë¥ß¥é¡¼STD¡¥¿´¼¼áî¤Ç¤Ï¤Ê¤¤¡¥
GE #250 I¤ÈaVL STD¡¥II, III, aVF¤ÎSTE¡¤III¤À¤±QÇÈ¡¤V1¤ÏrR¤ÇSTD±¢ÀTÇÈ¡¤V2-3¤ÏRS¤ÇSTD¡¤ÍÛÀTÇÈ¡¤
V5-6¤ÎRÇȤϾ®¤µ¤¯¡¤STE¤Ë¸«¤¨¤ë¡¥²¼ÊɸåÊɹ¼ºÉ¡¥
¿ÇÃÇ¡§²¼Êɹ¼ºÉ¤Ï³Î¤«¡¥V5-6¤ÎSTE¤è¤ê¦Êɹ¼ºÉ¡¥¸åÊɹ¼ºÉ¤Ï¦Êɹ¼ºÉ¤ÎϢ³¤È¸«¤Æ¤â¤è¤¤¡¥
GE #251 normal ECG.
GE #252 V1-2¤Î°Û¾ïQÇȤè¤ê¸Å¤¤Ãæ³Ö¹¼ºÉ¡¥
¿ÇÃÇ¡§²¼ÊÉ¡¤Ãæ³Ö¹¼ºÉ¤Ïµ¿Ìä¡¥I, aVL, V5-6¤ÎʿóTÇȤËÃí°Õ¡¥
GE #253 I, aVL V2-V5¤Þ¤Ç¤Î±¢ÀTÇȤè¤ê¿´ÆâËì²¼¹¼ºÉ¡¥
¿ÇÃÇ¡§non-Q infarction.
GE #254 AF, IVCD, LVH. AF¤ÈLVH¤Ï³Î¤«¤Ç¤¢¤ë¡¥CLBBB¤Ç¤Ï¤Ê¤¯IVCD¤ÎÍý¶þ¤Ï¤ï¤«¤é¤Ê¤¤¡¥
GE #255 3¡ëAV Block¡¤CRBBB¡¤½ùÌ®¡¥
¿ÇÃÇ¡§Ì®Çï30¤Îentricular escae rhythm. CRBBBÍͤǤ¢¤ë¤¬AV NodeĴΧ¤Ç¤Ï¤Ê¤¤¡¥
V1¤òqR·¿¤ÎCRBBB¤È¤¹¤ë¤ÈV2¤ÎrÇÈ¡¤I¡¤aVL¤ÎrÇȤÎÀâÌÀ¤¬¤Ç¤¤Ê¤¤¡¥
GE #256
GE #257
GE #258 I,aVL¤ÎQÇÈ¡¤STE¡¤PRD¡¤II,III,aVF¤ÎSTD¡¤V1¤ÎrÇȤÏÉÔÌÀQS¤«¤â¡¤V2-6¤Î
QS¡¤STD¡¥Á°ÊÉÃæ³Ö¦ÊÉAMI¡¤²¼ÊɤΥߥ顼¡¥
¿ÇÃÇ¡§AMI¤Ç¤ÏQT-long¤Ë¤Ê¤ê¡¤VT¤¬È¯À¸¤·¤ä¤¹¤¤¡¥
GE #259 PR 0.20, QT-long, V2-6¤ÎSTD¡¤¾å¸þ¤TÇÈ¡¥ÉÑÌ®¤Ë¤è¤ëÈ¿±þÀµõ·ì¡¥
¿ÇÃÇ¡§¾å¤ÈƱ¤¸¡¤PR¤Ï0.24¤È¿ÇÃÇ¡¥
GE #260 ¦ÊɸåÊɹ¼ºÉ¡¥µÞÀ´ü¡¤I, aVL¤ÎQÇȤÈST¾å¾º¡¥V6¤âQÇȤÈST¾å¾º¡¥
V1-3¤Î¹â¤¤RÇȤÈÂоÎÀ¹âTÇÈ¡¥
GE #261 AF¡¤V2¤¬¹â¿¶Éý¤Ç¤¢¤ê¡¤LVH
GE #262
GE #263
GE #264 Axis -40¡ë¡¤º¸¼´Êа̡¤PRP¡¤LAFB¡¤idiopathic, dilated cardiomyopathy. RÇȤΤߤʤ餺¡¤
SÇȤ⾮¤µ¤¯¤Ê¤ê¡¤V6¤Ç¤ÏÅṲ̋¬Èó¾ï¤Ë¾®¤µ¤¤¡¥
GE #265
GE #266
GE #267
GE #268
GE #269 I,aVL¤ÏSTD,ȿžT¡¤II,III,aVF¤ÏSTE¡¤QÇȤʤ·¡¤V4STDÆÌTÇÈ¡¤V5,V6TÇȵÕž¡¥
IWAMI¡¥
¿ÇÃÇ¡§V6¤ÏSTE¡¤²¼ÊɦÊɹ¼ºÉ¡¥V4¤ÏI,aVL¤ÈƱÍͤΥߥ顼ÊѲ½¡¥
GE #270 I,aVL¤ÏSTD¡¤¾å¸þ¤TÇÈ¡¤II,III,aVF¤ÏSTE¡¤V1¡ÁV4¤Þ¤ÇSTD¡¤V4¤¬ºÇ¤â¶¯¤¤¡¥
V6¤ÎSTE¡¥²¼ÊɦÊɸåÊÉAMI¡¥
¿ÇÃÇ¡¨¤³¤Î²ò¼á¤Ï´Ö°ã¤Ã¤Æ¤¤¤ë¡¥
GE #271 V1,V2¤ËrÇȤϤʤ¤¤¬¡¤Àµ¾ï¡¥
¿ÇÃÇ¡§ºÆ¸¡¤Î·ë²Ì¡¤V2¤ËrÇȤò³Îǧ¡¤Àµ¾ï¿´Åſޡ¥
GE #272 Nodal, »Í»è¤ÇTÇȤ¬Ê¿Ã³¡¤V1¤ÇrS¤ÇTÇÈʿó¡¤V2°Ê¹ß¤ÏRÇȤÇÈóÂоξå¸þ¤
TÇÈ¡¥¶Ëü¤ÊÈ¿»þ·×²óž¡¥¼´¤Ï-30°ÊÆâ¡¥
¿ÇÃÇ¡§´§ÀÅ̮ƶĴΧ¡¥¶»ÉôͶƳ¤ÎÀâÌÀ¤Ê¤·¡¥
»ä¸«¡§¿´ÆâË즤ȿ´³°Ë즤ÎÇÈ·Á¤¬°ìÃפ¹¤ë¤ÈST¥»¥°¤âTÇȤâʿó¤Ë¤Ê¤ë¡¥
¶»ÉôͶƳ¤Ç¤ÏV2°Ê¹ß¤Î¾å¸þ¤ST¤ª¤è¤ÓTÇȤ¬¸º¿ê¤·¤ÆV6¤Ç¥Õ¥é¥Ã¥È¤Ë
¤Ê¤ë¤Î¤ÏǼÆÀ¤Ç¤¤ë¡¥
GE #273 ¼´20, »Í»è¤ÎSTT¤Ïʿó¡¤V1¡ÁV5¤Þ¤ÇrS¡¤V6¤ÏR¡¥ÉÔ´°Á´º¸µÓ¥Ö¥í¥Ã¥¯¡¥
¿ÇÃÇ¡§¶»Éô¤Ë´Ø¤¹¤ë¥³¥á¥ó¥È¤Ï¤Ê¤¤¡¥
GE #274 I,aVL¤Çº¸¼¼ÈîÂç¡¥V1,V2¤ÏQS¡¤V6¤ÎRS¤è¤ê»þ·×²óž¡¥
¿ÇÃÇ¡§º¸¼¼ÈîÂ硤V1,V2¤ÎQS¤ÏÌäÂê¤Ë¤·¤Æ¤¤¤Ê¤¤¡¥V6¤ÎRS¤Î¤¿¤á
º¸¼¼ÈîÂç¤Îŵ·¿Åª½ê¸«¤ÏÆÀ¤é¤ì¤Æ¤¤¤Ê¤¤¡¥
GE #275 SN, ½ùÌ®¡¤I,aVL¤ÇSTD¡¤III¤ÏQÇȤÇSTE¡¤V1¡ÁV4¤ÎSTE¤Ç¤¢¤ë¤¬¡¤ST¥»¥°¤Ï
¾å¤Ë±ú¡¤Á°ÊÉÃæ³Ö¹¼ºÉ¤Î½é´ü¤Þ¤¿¤Ï²¼ÊɸåÊɹ¼ºÉ¤Î½é´üÃʳ¬¡¥
¿ÇÃÇ¡§V5-6¤ÎSTE¤È½Ò¤Ù¤Æ¤¤¤ë¤¬°ÕÌ£¤¬¤ï¤«¤é¤ó¡¥
GE #276 ƶÉÑÌ®¡¤LAH¡¤V1-3¤Þ¤ÇQS¡¤Tȿž¡¤V4-6¤ÇRÇÈÁý¹â¡¤¾å¸þ¤T¡¥
¿ÇÃÇ¡§SVT¡¤LAH¡¥
GE #277 V1¡ÁV6¤Þ¤ÇrSÇÈ¡¤¤½¤ÎľÁ°¤Ë¥Ú¡¼¥·¥ó¥°¥Î¥¤¥º¤¬¤¢¤ë¡¥TÇȤÏÁ´¤ÆÈ¿Å¾¡¥
º¸µÓ¥Ö¥í¥Ã¥¯·¿¤Î¿´Ë¼¥»¥ó¥¹¡¤±¦¼¼¥Ú¡¼¥·¥ó¥°¡¥
GE #278 I,aVL¤ÏSTDȿžT¡¥II,III,aVF¤ÏSTEÂоÎTÇÈ¡¤V1,V2¤ÎSTD¤È¾å¸þ¤T¡¥
V5,V6¤Ï¤ä¤äSTD¤ÇÂ礤ÊÊѲ½¤Ê¤·¡¥
¿ÇÃÇ¡§²¼ÊÉAMI. µ½Ò¤Ë¤Ê¤¤¤¬¡¤±¦¼¼¹¼ºÉ(¸åÊɹ¼ºÉ)¤â¹Í¤¨¤é¤ì¤ë¡¥
final¤Î¥ß¥é¡¼¥¤¥á¡¼¥¸¿Þ22¤ÈƱ¤¸½ê¸«¤Ç¤¢¤ë¡¥
GE #279
GE #280 ÇÙÀPÇÈ¡¤±¦¼´ÈîÂç¡¥V1¤ÏrsR·¿¡¤V6¤ÏRS·¿¤Ç V3-6¤Þ¤ÇSÇȤ¬Â礤¤¡¥±¦Ë¼±¦¼¼ÈîÂç¡¥
¿ÇÃÇ¡§»°ÀíÊÛÊĺ¿ÉÔÁ´¤Ë¤è¤ë±¦Ë¼º¸Ë¼±¦¼¼ÈîÂç¡¥º¸Ë¼ÈîÂç¤ÏV1¤ÎȿžTÇÈ¡¥
GE #281
GE #282
GE #283 I,aVLÂоÎÀTȿž¡¥V1-4¤âÂоÎÀTȿž¡¥V5¤ÏÈóÂоÎTȿž¡¥V6¤Ï¿åÊ¿¡¥
ÆÃ°Û¤ÊºÆÊ¬¶Ë¥Ñ¥¿¡¼¥ó¡¥
¿ÇÃÇ¡§Á°ÊÉÃæ³Ö¤ÎNon-Q MI. ¿´ÆâËì²¼¹¼ºÉ¡¥
GE #284 #43¤ÈƱ¤¸¿´Åſޡ¥I,II¤Ë¥Ú¡¼¥·¥ó¥°¥¯¥ê¥Ã¥¯¡¥CLBBBÍÍIVCD¡¥
¿´Ë¼¥Ú¡¼¥·¥ó¥°¡¥¿´Çï100. II,III,aVF¤ÎSTE¡¥
¿ÇÃÇ¡§¾å¤ÈƱ¤¸¡¥Ã±¶Ë¿´Ë¼¥Ú¡¼¥·¥ó¥°¡¥
GE #285
GE #286
GE #287
GE #288
GE #289
GE #290 PR 0.2, QRS 0.14, CLBBB,
¿ÇÃÇ¡§ÉÑÌ®¤Ë¤è¤ëCLBBB¤Ç¡¤Ì®ÇïÄã²¼¤¹¤ì¤Ð²þÁ±¤¹¤ë¡¥
GE #291 PR 0.24, PAC¤¬¤¢¤ë¤¬¡¤V1-3¤Ï»þ·×²óžÍͤǤ¢¤ë¡¥TR¤Ï V4-5°Ê³°¤Ë°Û¾ï¤Ê¤·¡¥
¿ÇÃÇ¡§¾åµ¤ÈƱ¤¸¡¥isoelectric¤È¤ÏR/SÈæ¤¬1¤ò°ÕÌ£¤¹¤ë¡¥
GE #292 CLBBBÍÍ¥Ú¡¼¥·¥ó¥°¡¥
¿ÇÃÇ¡§¿´Ë¼¿´¼¼¥Ú¡¼¥·¥ó¥°¡¥
GE #293 SN ½ùÌ®¡¤II,III,aVF¤ÎQSȿžT¡¥V5-6¤ÎQS¤ÈȿžT¡¥»Í»èÄãÅŰ̡¤²¼ÊɦÊÉMI¡¥
¿ÇÃÇ¡§¾åµ¤ËLAD¤òÄɲ᥼´¤Ï¾ï¤Ë¹Í¤¨¤ë¡¥
GE #294 ±¦¼¼¥Ú¡¼¥·¥ó¥°¡¥Åµ·¿Åª¤Êº¸µÓ¥Ö¥í¥Ã¥¯ÇÈ·Á¤Ë¤Ê¤ë¡¥V6¤ÇQS¥Ñ¥¿¡¼¥ó
¿ÇÃÇ¡§¥Ú¡¼¥·¥ó¥°»É·ã¤ÎÁ°¤ËPÇȤ¬¤¢¤ê¡¤P¥»¥ó¥¹V¥Ú¡¼¥·¥ó¥°¡¥
GE #295 LAFB. È¿»þ·×²óž¡¥
¿ÇÃÇ¡§¥Ü¡¼¥À¡¼¥é¥¤¥ó¤À¤«¤é¿ÇÃǤ·¤Æ¤Ï¤¤¤±¤Ê¤¤¡¥
GE #296 I,aVL¤ÎSTD¡¤II¤ÎQÇȤϾ®¤µ¤¤¤¬III¤ÎQÇȤÏÂ礤¤¡¥V5¤ÏSTD¡¤V6¤ÏTȿž¡¥
¿ÇÃÇ¡§ÉÑÌ®¤ÈII,III,aVF¤ÎȿžT¤ÏAMI¤Ç¤¢¤ë¡¥
GE #297 ƶÀ½ùÌ®¡¥
¿ÇÃÇ¡§V2-4¤òTUÇÈ¤ÈÆÉ¤à¡¥2ÁêÀ¤Ç¤Ï¤Ê¤¯ÆÌÆÌÇÈ·Á¤Ç¤¢¤ë¤³¤È¤ËÃí°Õ¡¥
GE #298 I,aVL¤è¤êLVH¡¤TR¤ÏV4-5¤À¤«¤éÈ¿»þ·×²óž¡¥V1-2¤ÎQS¤ÏÀµ¾ïÈϰϡ¥
¿ÇÃÇ¡§¾å¤ÈƱ¤¸¡¥¹â¤¤I,aVL¤ÇLVH¡¤V6¤ÇRS¤À¤«¤é»þ·×²óž¡¤PRP¤Ç¤¢¤ë¡¥
¤½¤Î¤¿¤á¤ËV1,V2¤ÎQSÇÈ·Á¤ÏÁ°Êɹ¼ºÉ¤ÎQÇȤǤϤʤ¤¡¥
I,aVR,aVL,V1,V2¤Ê¤ÉRÇÈñÆÈÇÈ·Á¤Çlate intrinsicoid deflection¤¬¸«¤¨¤ë¡¥
ÉÔ´°Á´º¸µÓ¥Ö¥í¥Ã¥¯¤È¿ÇÃǤ·¤Æ¤â¤è¤¤¡¥
cf 11-10.
GE #299 LAD, CRBBB,CRBBB¤Ç¤ÎLVH¤ÏV5¤Þ¤¿¤ÏV6¤ÎR¤ÈV1¤Þ¤¿¤ÏV2¤ÎSÇȤÎÂ礤µ¤Ç
ȽÃǤ¹¤ë¡¥2ÁêÀ¤ÎST¤Ë´Ø¤·¤Æ¤Ï¡¤¥¹¥È¥ì¥¤¥óÍͤÎST¥»¥°¥á¥ó¥È¤ÇȽÃÇ¡¥
°ìÈ̤ËRSÇÈ·Á¤Ç¤¢¤ì¤ÐTÇȤˤĤ¤¤Æ¤Ï²¼¾å¤ÎµÕžTÇȤˤʤ롥
GE #300 V1¤ÏCRBBBÍÍ¡¤V6¤ÏCRBBBBÍͤˤè¤êIVCD¡¥
¿ÇÃÇ¡§Àµ³Î¤Ë¤ÏIVCD¤Èµ½Ò¤·¤Æ¤¤¤Ê¤¤¤¬¡¤ÅŲò¼ÁKÇ»ÅÙ¸¡ººÉ¬ÍפȽҤ٤롥
GE #301 I,aVL¤ÎSTD¤È¥¹¥È¥ì¥¤¥óT¡¥II,III,aVF¤Î¶¯¤¤STE¤è¤ê²¼ÊÉAMI¡¥V1¹â¤¤RS¡¤
V2-3¤ÏRS¤ÇSTD¡¤V6¤Ï¼å¤¤STD¤ÇÀµ¾ïTÇÈ¡¥
¿ÇÃÇ¡§²¼ÊÉAMI¡¥V1-2¤Î¹â¤¤R¤Îµ½Ò¤Ê¤·¡¥Â¦Êɤ䱦¼¼¤Î¹¼ºÉ¤Ï¤Ê¤¤¤È¹Í¤¨¤ë¡¥
GE #302 CLBBB. II¤Ï>0¤À¤«¤éLAFB¤Ï¿ÇÃǤǤ¤Ê¤¤¡¥
¿ÇÃÇ¡§AMI¤Ç·ìÀòÍϲò¸å¤ÎECG¡¥
GE #303 È¿»þ·×²óž¡¤Àµ¾ï¿´Åſޡ¥
GE #304 IRBBB, QT±äĹ¡¥
¿ÇÃÇ¡§¾å¤Ë²Ã¤¨¤ÆNodal¤ÈV1-3¤ÇµÕ¹ÔÀP¤¬QRS¤Î¸å¤Ë¸«¤¨¤ë¡¥
GE #305 PQû½Ì¡¤IVCD¤È»×¤Ã¤¿¤¬WPW¤Ç¤¢¤ë¡¥
¿ÇÃÇ¡§WPW¡¥V4-6¤ÎSÇȤÏÀµ¾ï¤Ç¤¢¤ê¡¤IVCD¤ÏÈÝÄê¤Ç¤¤ë¡¥
IVCD¤Ç¤ÏRÇȤÎΩ¾å¤ê¡¤Î©¤Á²¼¤¬¤ê¶¦¤Ë¥¹¥é¡¼¤Ë¤Ê¤ë¡¥CLBBB¤Ç¤ÏV6¤ÎSÇȤϤʤ¤¡£
GE #306 LAH, È¿»þ·×²óž¡¥
¿ÇÃÇ¡§¾å¤ÈƱ¤¸¡¤¼´¤Ï-30¤Ç¤¢¤ë¤«¤é¿ÇÃǤϿµ½Å¤Ë¡¥
GE #307 LAH, CRRB, V1-3¤Î¿¼¤¤QÇÈ¡¤Á°ÊÉÃæ³Ö¹¼ºÉ¡¥
¿ÇÃÇ¡§Á°ÊÉÃæ³Ö¹¼ºÉ¤Ë¤Ä¤¤¤Æ¤Ïµ½Ò¤Ê¤·¡¥
GE #308 ¥¹¥±¡¼¥ë¥ª¡¼¥Ð¡¼¤ÎCRBBB¡¥TÇȤνª¤ê¤ËµÕ¹ÔÀPÇÈ¡¤Æ¶ÀÉÑÌ®
¿ÇÃÇ¡§CRBBB¤Ç¤ÏLVH¤äLAH¤Ï¿ÇÃǤǤ¤Ê¤¤¤¬¥¹¥±¡¼¥ë¥ª¡¼¥Ð¡¼¤·¤Æ¤¤¤ë¤¿¤á¤Ë
LVH¤È»×¤ï¤ì¤ë¡¥
GE #309 ¼´>90¡¤»Í»è¶»ÉôÄãÅŰ̡¤V1¤ÏqR¡¤V2-4¤ÏqrS, V5-6¤ÏRS¡¥COPD¤Î±¦¼¼ÈîÂç¡¥
¿ÇÃÇ¡§4:1¤ÎAF¤«nodal¡¤RVH¡¥±¦¼´Êа̤ÈÄãÅṲ̋Ǥʤ±¤ì¤ÐIRBBB¤òÈÝÄê
¤¹¤ë¤³¤È¤¬¤Ç¤¤Ê¤¤¡¥¶»Éô¤ÎSÇȤÎÉý¤ÏºÙ˦´ÖÅÁƳ¤È¤âÆÉ¤á¤ë¡¥
GE #310 I,aVL¤ÎÇȹâ¤è¤êLVH, IWMI¡¥
¿ÇÃÇ¡§LAD¤è¤êLAH¤Î¿ÇÃǤò¤¹¤ë¤«¤É¤¦¤«¤ÏÉÔÌÀ¡£
GE #311 Af¤Ë¤è¤ëÉÑÇSTD¤ÏÈ¿±þÀ¡¥
GE #312 V1-5¤Î°Û¾ïQÇÈ¡¤V2-V6¤ÎSTE¡¥II,aVF¤ÎSTE¡¥Á°ÊÉÃæ³Ö²¼ÊÉAMI¡¥
¿ÇÃÇ¡§QRS 0.16¤À¤«¤é¥Ö¥í¥Ã¥¯¤¬ÂÅÅö¡¤V1¤ÎRÇȤòÀâÌÀ¤¹¤ë¤¿¤á¤ËCRBBB¡¥
V6¤Þ¤ÇSTE¤À¤«¤é¦ÊÉAMI¡¥V6¤Þ¤ÇSTE¤¬¤¢¤ë¤ÈII¤äaVF¤ÎSTE¤ÏÅöÁ³¤Î·ë²Ì¡¥
V1¤ÏSTD¤ÈȿžTÇȤǤ¢¤ê¡¤AMI¤ÎSTE¤ò¼¨¤µ¤Ê¤¤¡¥CRBBB¤ÇÁ°ÊÉÃæ³ÖAMI¤Ç
¤¢¤ì¤ÐSTE¤Ë¤Ê¤ë¡¥cf ecg 15-13.
µÞÀ¿´¶Ú¹¼ºÉ¤Ç¤ÏËÜÍèTÇÈȿž¤Ç¤âST¾å¾º¤È¾å¸þ¤TÇȤˤʤ롥
tombstoneÇÈ·Á¡¤GE #331¤ÈƱ¤¸¡¥
GE #313 ¶»ÉôÀµ¾ï¡¤¼´ 20¡¤Àµ¾ïÈϰϡ¥
GE #314 II,III,aVF¤Î°Û¾ïQÇÈ¡¤»Í»è¤ÎST¤Ï¿åÊ¿¡¤¶»ÉôQRS0.12, V1¤Ï¹â¤¤RÇÈ¡¤
È¿»þ·×²óž¡¤V5-6¤Î°Û¾ïQÇÈ¡¤¸Å¤¤²¼ÊɦÊɹ¼ºÉ¡¤V1¤ÎR¤è¤ê¸åÊɹ¼ºÉ¡¥
¿ÇÃÇ¡§PR±äĹ¡¤¼´-30, ¸Å¤¤²¼ÊɦÆÀhµ¤¹¼ºÉ¡¥¸åÊɤε½Ò¤Ê¤·¡¥
GE #315 PR 0.2, III¤Î¤ßQrÇÈ, I,aVL¤Î¹âRÇÈ¡¤¶¯¤¤È¿»þ·×²óž¡¤NSSTWC, º¸¼¼ÈîÂç¡¥
¿ÇÃÇ¡§V3-5¤ÎST¤Ïsagging.
GE #316 I,aVL¿åÊ¿ST¡¤Tȿž¡¤V1-4¤Ï¾å¤ËÆÌ¤ÎST¡¤Tȿž¡¤V3¤ÏSTE¡¥Á°ÊÉÃæ³ÖAMI¡¥
¿ÇÃÇ¡§Non-Q MI.
GE #317 SNÉÑÌ® PR 0.16, Á´ÂΤËsagging ST¥»¥°¡¤TÇȤÏÌÀ³Î¤Ç¤Ê¤¤¡¥V2-4¤ÏSTD¡¥
ÉÑÌ®¤Ë¤è¤ëµõ·ìÈ¿±þ¡¥
¿ÇÃÇ¡§¾åµ¤Ë²Ã¤¨¤ÆV1-2¤Ï°Û¾ïQÇȤÀ¤«¤éÁ°ÊÉÃæ³Ö¹¼ºÉ¤¬¤¢¤ë¡¥
GE #318 ½ùÌ®¡¤CRBBB·¿¤Î¥¨¥¹¥±¡¼¥×¥ê¥º¥à
GE #319 normal.
GE #320 I,aVL¿åÊ¿ST¡¤TµÕž¡¤II,III,aVF¿åÊ¿ST¡¤V6µÕžT¡¥º¸¼¼ÈîÂç¡¥
¿ÇÃÇ¡§NSSTWC.
GE #321 IWAMI, I,aVL¥ß¥é¡¼¡¤V1-v5¿åÊ¿ST¤ÈÀõ¤¤TÇÈ¡¤V6STE¡¥Â¦ÊɤËMIÇȵڡ¥
¿ÇÃÇ¡§¥³¥á¥ó¥È¤¬Ê̤ÎECG¤Ç¤¢¤ë¡¥
GE #322 IRBBB,LAH
LAH¤ÏPRP¤òȼ¤¦¡¥PRP¤ÏV3-6¤ÎR/SÈæ¤ÎÁý²Ã¤¬¾¯¤Ê¤¤¤³¤È°ÕÌ£¤¹¤ë¡¥
GE #323 #320¤ÈƱ¤¸¡¥
GE #324 CRBBB+LAFB, II,III,aVF¤Ë¤Ï¾®¤µ¤ÊRÇȤ¬Â¸ºß¤¹¤ë¡¥
¿ÇÃÇ¡§V1-3¤ËrÇȤ¬Ìµ¤¤¤Î¤ÇÁ°ÊÉÃæ³Ö¹¼ºÉ¤òȼ¤Ã¤Æ¤¤¤ë¡¥
qR'·¿¤ÎRBBB¤ÏÁ´¤ÆÁ°ÊÉÃæ³Ö¹¼ºÉ¤«¡©
GE #325 II,III,aVF¤ÎSTD¡¤SNÉÑÌ®¡¤º¸Ë¼Éé²Ù¡¤IRBBB¡¤LongQT, V2-V6¾å¸þ¤TÇÈ¡¥
¿ÇÃÇ¡§¾å¤Ë²Ã¤¨¤ÆPRû¡¤LGL¾É¸õ·²¡¥PR 0.8¡¥
GE #326 V1-6¤ÎrSÇÈ·Á¡¤PÇȤθºß¡¤QRS¤Î»Ï¤Þ¤ê¤Ë¥¹¥Ñ¥¤¥¯¡¤DDD¥Ú¡¼¥·¥ó¥°ÉÑÌ®¡¥
GE #327 sagging ST, PAC,
¿ÇÃÇ¡§¥¸¥®¥¿¥ê¥¹ÃæÆÇ¡¤
GE #328 SN, V1-4¤Î°Û¾ïQÇȤÈSTE¡¤Á°ÊÉÃæ³ÖAMI¡¥
STE¤Ï¾å¸þ¤Ä¾ÀþŪ¤Ç¤¢¤ê¡¤µÞÀÊѲ½¤Ç¤Ï¤Ê¤¤¡¥ËýÀ¤ÎÁ°ÊÉ¿´¼¼áî¡¥
GE #329 V1¤Ç²¼¸þ¤PÇÈ¡¤rS¾å¸þ¤T¡¤V2¤ÏrS¤ÇST¾å¾º¡¤V3-6¤Ï°Û¾ïQÇȤÇST¾å¾º¡¥
II,III,aVF¤ÏQR¿åÊ¿ST¥»¥°¡¤¾å¸þ¤TÇÈ¡¥Á°ÊɦÊÉAMI¡¥
¿ÇÃÇ¡§¾åµ¤Ë²Ã¤¨¤Æ²¼ÊɤθŤ¤¹¼ºÉ¡¥V1¤ÎPÇȤè¤êLAA¡¥
AMI¡¤ÊèÀÐÍÍÇÈ·Á
GE #330 Wenckebach, V4-6¤Îpoor T.
¿ÇÃÇ¡§II,III,aVF¤ÎQÇÈ¡¤STE¡¤È¿Å¾TÇȤè¤êAMI¡¥
GE #331 tombstone )ÊèÀÐÍÍÇÈ·Á)
GE #332 ±¦¼´ÊаÌV1¤ÇqRÇÈ·Á¡¤ÉÔ´°Á´±¦µÓ¥Ö¥í¥Ã¥¯¡¤¼Â¤ÏRVH¤ÇEisemenger's.
V6¤Ç¤âSÇȤÏÂ礤¤¡¥V1¤ÏrsR'¤Ë¤Ï¤Ê¤Ã¤Æ¤¤¤Ê¤¤¡¥
GE #333 VͶƳ¤ò´Þ¤àÁ´Í¶Æ³¤ÇSTE -> ¿´³°Ëì±ê (¿´Â¡¼ê½Ñ¸å¤Ç¤Ï¾ï¤Ë¸«¤é¤ì¤ë)
GE #334
GE #335
GE #336
GE #337
GE #338
GE #339
GE #340
GE #341
GE #342 1ÅÙAV ¥Ö¥í¥Ã¥¯¡¤Æ¶À½ùÌ®¡¤PVC¡¥LAFB¡¥PRP¡¥
¿ÇÃÇ¡§PVC¤Î2ÃÊÌ®¡¥
GE #343 V1¤ÏQR'¡¤V6¤ÏRS¤ÇCRRB¡¤V2,V3¤ÏÂ礤ÊQR'¤À¤«¤éÁ°ÊÉÃæ³Ö¹¼ºÉ¡¤
¼´¤¬120¡ë¤è¤êLPFB¡¤II¤ÎPÇȤϲ¼¸þ¤¡¤Junctional¤Ï0.12°ÊÆâ¤Ë¤Ê¤ë¤«¤é
º¸Ë¼Ä´Î§¤Î²ÄǽÀ¤¬Â礤¤¡¥¹¼ºÉ¤Ëȼ¤¦2»Þ¥Ö¥í¥Ã¥¯¤Ç¤¢¤ë¤«¤é
peri-infalction block¤Ç¤¢¤ë¡¥
Ä̾ïqR·¿¤ÎRBBB¤Ç¤ÏV2°Ê¹ß¤ÏRÇȤ¬Àè¹Ô¤¹¤ë¤«¤é¹¼ºÉQÇȤǤ¢¤ë¡¥
GE #344 I, aVL¤ÎSTE¡¤III, aVF¤ÎSTE¡¤V3-6¤ÎSTE¡¥Â¦ÊÉ¡¤¾å°Ì¦ÊÉAMI¡¥
¿ÇÃÇ¡§¾å¤ÈƱ¤¸¡¥¥Á¥ã¡¼¥È¤Î1ÇïÌܤÏPVC¡¥
GE #345
GE #346
GE #347
GE #348
GE #349
GE #350
GE #351
GE #352
GE #353
GE #354
GE #355
GE #356
GE #357
GE #358
GE #359
GE #360
GE #361 I,aVL¤ÎSTD¡¤II,III,aVF¤ÎSTE¡¤V4-V6¤ÎSTE¤È¾å¸þÀST¥»¥°¥á¥ó¥È¡¥
µÞÀ²¼Êɹ¼ºÉ¡¤I,aVL¤Ï¥ß¥é¡¼¥¤¥á¡¼¥¸¡¥¿ÇÃÇ¥³¥á¥ó¥È¤Ï´Ö°ã¤¤¡¥
GE #362
GE #363
GE #364
GE #365
¤½¤Î¤¿¤á¤ËPurkinje¤ÏºÇ¤âŤ¯Ã¦Ê¬¶Ë¤·¤Æ¤¤¤ë¡¥¤Þ¤¿¡¤TTX¤¬ºîÍѤ·¤Ê¤¤¡¥
¿´ÉÔÁ´HF¤Ëav1.8¤ÏÂ礤¯´ØÍ¿¤¹¤ë¡¥
¿´ÉÔÁ´¤ÈNav1.8
AF¤ÈNav1.8
Shaker¤È¤Ï°äÅÁ»Ò̾¤Ç¤¢¤ê¡¤¤½¤Î°äÅÁ»Ò¤«¤éºî¤é¤ì¤ë¥¿¥ó¥Ñ¥¯¤òShaker¥Á¥ã¥Í¥ë¤È¤¤¤¦¡¥
Shaker¥Á¥ã¥Í¥ë¤È¤ÏK, Rb, Se¤Ê¤É¤Î¥¢¥ë¥«¥ê¶â°¤òÄ̲᤹¤ë¥¤¥ª¥ó¥Á¥ã¥Í¥ë¤Ç¤¢¤ë¤¬¡¤
¼ç¤ËK¥Á¥ã¥Í¥ë¤ò¼¨¤¹¡¥4ÎÌÂΤΥݥê¥Ú¥×¥Á¥É¤Ç¤¢¤ë¡¥
²¼¿Þ¤Î¤è¤¦¤Ëæʬ¶Ë(³«¸ý)¤·¤Æ¤«¤éºÇ¤âÁ᤯Êĸý¤¹¤ë¤Î¤¬Shaker¤Ç¡¤
ºÇÂçÅÅή¤¬ÃÙ¤ì¤ë¤ÈƱ»þ¤ËÊĸý¤âÃÙ¤ì¤ëK¥Á¥ã¥Í¥ë¤¬¤¢¤ë¡¥
IKur¤¬KV1.5¡¤IKr¤¬KV11.1¡¤IKs¤¬KV7.1
(¥¤¥ª¥ó¥Á¥ã¥Í¥ë A to Z p.62¤è¤ê)
IKur: ĶµÞ®³èÀ²½ÃÙ±äÀ°Î®ÀK+¥Á¥ã¥Í¥ë
IKr: µÞ®³èÀ²½ÃÙ±äÀ°Î®ÀK+¥Á¥ã¥Í¥ë
IKs: ´Ë½ù³èÀ²½ÃÙ±äÀ°Î®ÀK+¥Á¥ã¥Í¥ë
K+ÅÅή¤À¤«¤é³°¸þ¤¤Ç¡ÜÊý¸þ¤Ç¤¢¤ë¡¥
Shab¤äShaw¤Ï³«¸ý¤âÃÙ¤¤¤¬¡¤¤Ê¤«¤Ê¤«Êĸý¤·¤Ê¤¤¡¥
¹¹¤Ë¡¤IKr¤äIKs¤ÏÃÙ¤ì¤ë¡¥
wakaru3.1pdf p.41¤è¤ê¡¥
IKur¤ÏĶµÞ®³èÀ²½ÃÙ±äÀ°Î®K¥Á¥ã¥Í¥ë¡§
IKr¤ÏKV11.1¤ÇÊÌ̾hERG¤Ç¤¢¤ë¡¥wakaru3.1 p.59.
IKr¤ÏµÞ®³èÀ²½ÃÙ±äÀ°Î®K¥Á¥ã¥Í¥ë¡§
æʬ¶Ë¸å¤¹¤°¤µ¤ÞKÅÅή¤¬È¯À¸¤·¡¤ºÆÊ¬¶Ë¤Ë¸þ¤«¤¦¡¥
³èÀ²½¥²¡¼¥È¤¬³«¤¯¤ÈƱ»þ¤ËÉÔ³èÀ²½¥²¡¼¥È¤â³«¤¯¤¿¤á
»É·ã¤¬¶¯²á¤®¤ë¤ÈµÕ¤ËKÅÅή¤¬¾¯¤Ê¤¯¤Ê¤ë(0 V °Ê¾å¤Î¾ì¹ç)¡¥
IKs¤Ï´Ë½ù³èÀ²½ÃÙ±äÀ°Î®K¥Á¥ã¥Í¥ë¡§¦Â¥æ¥Ë¥Ã¥È¤ËminK¤¬ÉÕ¤¯¡¥
æʬ¶Ë¸å¤·¤Ð¤é¤¯¤·¤Æ¤«¤éKÅÅή¤¬È¯À¸¤·¡¤ºÆÊ¬¶Ë¤Ë¸þ¤«¤¦¡¥
KV7.1¤ÏIKs¤Ç¤¢¤ë¡¥¦Â¥æ¥Ë¥Ã¥È¤ËminK¤¬Åº²Ã¤µ¤ì¤ë¤È¡¤¿Þ3-17¤Î¤è¤¦¤Ë
¶¯ÎϤÊÃÙ±äÅÅή¤Ë¤Ê¤ê¡¤ºÆÊ¬¶Ë¤¬²Äǽ¤Ë¤Ê¤ë¡¥(wakaru3.1 p.57)
ÉÑÌ®¤Ë¤Ê¤ë¤ÈKÅÅή¤Î³«¸ý»þ´Ö¤Î¤¿¤á¤ËAPD¤¬Ã»¤¯¤Ê¤ê¡¤ÅԹ礬¤è¤¤¡¥
(ÃßÀѸú²Ì ¥¤¥ª¥ó¥Á¥ã¥Í¥ë Ato Z p.65¤è¤ê)
¤³¤Î¤³¤È¤ÏµÕ¤ËLQT1¤Î¾É¾õ¤Ç¸½¤ì¡¤ÉÑÌ®¤ÇAPD¤¬Ã»½Ì¤·¤Ê¤¤¡¥
minK(KCNE1)¤¬S5-S6´Ö¤Îp¥ë¡¼¥×¤ËÀø¤ê¹þ¤ó¤Ç¤¤¤ë¡¥
ÀÅ»ßÅṲ̋òºî¤ëÆâ¸þ¤À°Î®K¥Á¥ã¥Í¥ë¤Ï¥»¥°¥á¥ó¥ÈS5,S6¤·¤«¤Ê¤¯
ÅŰ̴¶¼õÀS4¤¬¤Ê¤¤¡¥S5,S6¤òM1,M2¤È¸Æ¤Ö¡¥
p loop¤ËÁêÅö¤¹¤ë³èÀ²½¥²¡¼¥È¤Ï¸ºß¤¹¤ë¤¬¡¤PIP2¤Ë¤è¤ê
¾ï¤Ë³«Êü¾õÂ֤Ǥ¢¤ë¡¥¤·¤«¤·¡¤ºÙ˦²õ»à¤Ë¤Ê¤ë¤È¡¤ÂçÎ̤ËÀ¸»º¤µ¤ì¤ë
¥ê¥¾¥ê¥ó»é¼Á¤Ë¤è¤ê¡¤PIP2¤¬¾ÃÌפ·¡¤¤½¤Î·ë²Ì³èÀ²½¥²¡¼¥È¤Ï
Êĺ¿¤¹¤ë¡¥¤½¤Î¤¿¤á¤ËºÙ˦²õ»à¤Ç¤ÏÀÅ»ßÅṲ̋¬¾å¾º¤¹¤ë¡¥
(¿´Â¡¥¤¥ª¥ó¥Á¥ã¥Í¥ë A to Z p.73¤è¤ê)
Lysophosphoglycerides¤ÎÉÔÀ°Ì®Í¶È¯ºîÍÑ
¿´¶Úµõ·ì¤ÈK+¥Á¥ã¥Í¥ë
T-wave alternans¡ÊTWA¡Ë¸òÂØÀ(¤³¤¦¤¿¤¤¤»¤¤)TÇÈ
TÇȤÎÇȹ⡤ÇÈ·Á¤¬°ì²ó»ö¤ËÊѤëÇÈ·Á¤ò¼¨¤¹¡¥
ÉÑÇï»þ¤ËIto¤ÎÉÔ³èÀ²½¤«¤é¤Î²óÉü¤¬ÃÙ¤¤¤¿¤á¤Ë³èưÅŰ̻ý³»þ´Ö(APD)¤Ë
ÊѲ½¤¬À¸¤¸¤ë¡¥»ý³»þ´Ö¤¬±äŤ¹¤ë¤ÈTÇȤ¬Ä㤯¡¤Ã»½Ì¤¹¤ë¤ÈTÇȤ¬¹â¤¤¡¥
(¥¤¥ª¥ó¥Á¥ã¥Í¥ë A to Z p.62)
T-wave alternans¡ÊTWA¡Ë
U wave LITFL
UÇȤÎȯÀ¸¸¶°ø¤ÏÉÔÌÀ¤Ç¤¢¤ë¤¬¡¤Purkinje fiber¤ÎÃÙ±äÀºÆÊ¬¶Ë¡¤
M-cell¤ÎÃÙ±äÀºÆÊ¬¶Ë¡¤
¿´¼¼ÊɤÎʪÍýŪ±¿Æ°¤¬¸À¤ï¤ì¤Æ¤¤¤ë¡¥
°Û¾ïUÇȤȤϡ§
°Û¾ï¤Ë¤ª¤ª¤¤¤UÇÈ (Prominent U waves)
>1-2mm ¤Þ¤¿¤Ï¡¡ TÇȤΠ25¡ó¡¡°Û¾ï¤Î¹â¤µ¡¥
¸¶°ø¡§
¡¡½ùÌ®¡¤¹âÅÙ¤ÎÄãK·ì¾É
¡¡¤½¤Î¾¡¤ÄãCa·ì¾É¡¤ÄãMg·ì¾É¡¤ÄãÂβ¹¡¤Ç¾°µÐ¶¿Ê¡¤º¸¼¼ÈîÂ硤ÈîÂçÀ¿´¶Ú¾É
¡¡ÌôºÞÀ¤Ë¤Ï
¡¡Digoxin, Phenothiazines (thioiazine),
¡¡Ia Äñ¹³ÉÔÀ°Ì®Ìô (quinidine, procainamide),
III Äñ¹³ÉÔÀ°Ì®Ìô (sotalol, amiodarone)
µÕžUÇÈ (iInverted U waves)
¸¶°ø¡§
¡¡´§Æ°Ì®¼À´µ¡¤¹â·ì°µ¡¤ÊÛ¼À´µ¡¤ÀèÅ·À¿´¼À´µ¡¤¿´¶Ú¾É¡¤¹â¹Ã¾õÁ£¾É
¡¡Prinzmetal angina(°Û·Á¶¹¿´¾É)
U wave ´§Æ°Ì®¼£ÎÅ
uwave.pdf
ÄãK·ì¾É¤Ë¤Ê¤ë¤ÈUÇȤ¬½Ð¸½¡¤PR´Ö³Ö¤Ï±äŤ¹¤ë¡¥
Ä̾ï¤ÏÄãK·ì¾É¤ÇUÇȤÏȯÀ¸¤¹¤ë¤¬¡¤¤½¤ì°Ê³°¤ËǾµõ·ì¤ÇȯÀ¸¤¹¤ë¡¥
·ìÞùK+Ç»ÅÙ¤¬1.4mEq/L¤ËÄã²¼¤·¤¿¸¶È¯À¥¢¥ë¥É¥¹¥Æ¥í¥ó´µ¼Ô¤Î¿´Åſޡ¥
Utah ECG Uwave
The U wave is the only remaining enigma of the ECG, and probably not for long. The origin of the U wave is still in question, although most authorities correlate the U wave with electrophysiologic events called "afterdepolarizations" in the ventricles. These afterdepolarizations can be the source of arrhythmias caused by "triggered automaticity" including torsade de pointes. The normal U wave has the same polarity as the T wave and is usually less than one-third the amplitude of the T wave. U waves are usually best seen in the right precordial leads especially V2 and V3. The normal U wave is asymmetric with the ascending limb moving more rapidly than the descending limb (just the opposite of the normal T wave).
Persistent giant U wave inversion with anoxic brain injury
µÞÀǾ½ý³²¤Ç¤Ï¾å¸þ¤¤ÎUÇȤ¬È¯À¸¤·¡¤¹â·ì°µ¤Ê¤É¤Î½Û´Ä½ý³²¤Ç¤Ï²¼¸þ¤¤ÎUÇȤ¬È¯À¸¤¹¤ë¡¥
ËÜÎã¤ÏµÞÀǾ½ý³²¤Ç¤Î²¼¸þ¤¤ÎUÇȤÎÎã¤Ç¤¢¤ë¡¥°ß´É¤òÈ´µî¤¹¤ë¤ÈUÇȤϾ䨤¿¡¥
uwave/uw1.png
Giant U waves: an important clinical clue
The patient U wave
Book¤è¤ê°úÍѤ·¤¿UÇȵ½Ò
Google:
Hypothesis 2: delayed repolarization
¸¡¿Ç¤ÇÆÀ¤é¤ì¤¿¼«¸³Îã
uwave/uwave1.png
uwave/uwave2.png
uwave/uwave3.png
uwave/uwave4.png
ŬÀÚ¤ÊÎ×¾²Åª¥¢¥×¥í¡¼¥Á¤Ë¤è¤ëJÇȾɸõ·²¤Î¿ÇÃÇ
¿Þ¤«¤é¤âʬ¤«¤ë¤è¤¦¤Ë0.2mV°Ê¾å¤ÎJÅÀ¥Î¥Ã¥Á¤Ï´í¸±¡¥¤µ¤é¤ËST¥»¥°¥á¥ó¥È¤Î
¿åÊ¿Éôʬ¤¬¤Ê¤¯¡¤¤¹¤°¤Ë¾å¾º¤·¤Æ¤¤¤¯ÍͻҤϿ´³°Ë즿´¶Ú¤ÎÁá´üºÆÊ¬¶Ë¤¬
¸¶°ø¤Ç¤¢¤êPhase 2¤ÎR on T¤¬È¯À¸¤·°×¤¯¤Ê¤ë¡¥
35_195.pdf¤è¤ê¡¥JÇȤϥΥåÁÍͤǤ¢¤ë¡¥¤½¤Îľ¸å¤è¤ê¾å¸þÀTÇȤˤʤäƤª¤ê¡¤
¿åÊ¿Éôʬ¤¬¤Ê¤¤¡¥0:00¤Ç¤ÎJÇȤϾ®¤µ¤¤¤¬2:00¤ÏÂ礤¯À®Ä¹¤·¤Æ¤¤¤ë¡¥
3:00¤Ç¤ÏTÇȤνªÎ»»þ¤ËRÇȤ¬È¯À¸¡¤¤½¤ì¤¬R on T¤Ç¤¢¤ê¡¤vf¤Ë°Ü¹Ô¤¹¤ë¡¥
»²¹Í¡§final p.76 Ito¤Ë¤è¤ë²áʬ¶Ë¤¬Brugada 2·¿¤òºî¤ë¡¥
lqt.gif
early repolarization syndrome
early1.gif
Áá´üºÆÊ¬¶Ë¾É¸õ·²¤Î12ͶƳ
early2.gif
Áá´üºÆÊ¬¶Ë¾É¸õ·²¤ÎR on T
Áá´ü¿ÇÃǤËÀ®¸ù¤·¤¿Wellens¾É¸õ·²¤Î3¾ÉÎã
Æü¾ï¿ÇÎŤÇÃΤäƤª¤¤¿¤¤Tips
Rhinehardt J, et al. Electrocardiographic manifestations of Wellens¡Ç syndrome. Am J Emerg Med. 2002;20¡Ê7¡Ë:638-43.
¡¡¢¬Wellens¾É¸õ·²¤Ë¤Ä¤¤¤Æ¤ÎÏÀʸ
Brugada¾É¸õ·²¤ÎȯÀ¸µ¡½ø
GE #331 (tombstone) IMG_20180625_0002-a.png
GE #312 (tombstone) IMG_20180625_0001-a.png
uwave/delta1.png
uwave/delta2.png
uwave/delta3.png
uwave/delta4.png
https://www.ionadventure.com/content.html
ÄɲûñÎÁ¥¤¥ª¥ó¥Á¥ã¥Í¥ë
Mechanisms of sodium channel inactivation
google sodium inactivation bedside cell physiology
¥¤¥ª¥ó¥Á¥ã¥Í¥ë¡¡¥Ç¡¼¥¿¥Ù¡¼¥¹
http://www.guidetopharmacology.org/GRAC/FamilyIntroductionForward?familyId=82
¡ù ¥¤¥ª¥ó¥Á¥ã¥Í¥ë¤Ï»é¼ÁÆó½ÅËì¤ò´ÓÄ̤¹¤ëË쥿¥ó¥Ñ¥¯¤Ç¡¤Ãæ¤Ë¹¦¤¬³«¤¤¤Æ¤¤¤ë¡¥
¥¤¥ª¥óÁªÂòÀ¤Ï¹¦¤ÎÂ礤µ¤ÇÄê¤Þ¤ê¡¤k+ < Na+ < Ca++¤Ç¤¢¤ë¡¥¤·¤¿¤¬¤Ã¤Æ¡¤
K¥Á¥ã¥Í¥ë¤Ïk+¥¤¥ª¥ó¤·¤«Ä̲ᤷ¤Ê¤¤¤¬¡¤Na¥Á¥ã¥Í¥ë¤Ï k+¤ÈNa+¥¤¥ª¥ó¤¬Ä̲᤹¤ë¡¥
ºÙ˦³°¤Ë¤ÏËÉÙ¤ËNa+¤¬¤¢¤ê¡¤k+¤Ï¾¯¤Ê¤¤¡¥
¤Þ¤¿¡¤¥Á¥ã¥Í¥ë¸ý¤Ï¡Ý¤ËÂÓÅŤ·¤Æ¤¤¤ë¤¿¤á¡¤ÍÛ¥¤¥ª¥ó¤ËÂФ·¤Æ¾ïµÛ°úÎϤò»ý¤Ä¡¥
½¾¤Ã¤Æ¡¤Na¥Á¥ã¥Í¥ë¤ÏNa+¤¬Î®Æþ¤·¤ä¤¹¤¤¾õÂ֤ˤ¢¤ë¡¥
¤³¤ÎÍý¶þ¤ÏCa++¥¤¥ª¥ó¤Ë¤Ä¤¤¤Æ¤âƱÍͤǤ¢¤ê¡¤Ca¥Á¥ã¥Í¥ë³«¸ý»þ¤Ë¤Ï
Na+¥¤¥ª¥ó¤âƱ»þ¤ËήÆþ¤¹¤ë¡¥¤³¤ÎNa+¤Ïæʬ¶Ë»þ¤Î¾ã³²¤Ë¤Ï¤Ê¤é¤Ê¤¤¡¥
Na¥Á¥ã¥Í¥ë
Heartland p.163
Readers will understand and retain
how the heart functions at the ionic-molecular level including:
¡ù The teleology of the ion-kinetic mechanisms of the ionic-molecular microcosm
¡ù How three little ions produce conduction through, and contraction of, the heart
¡ù The simple ionic mechanism of cell-to-cell myocardial conduction
¡ù How ion movement translates into vectors
¡ù The movement of ions that produces EKG recordings
¡ù How the atria contract without backflow into the great veins and pulmonary veins
¡ù Why there are automaticity foci in the large vein ostia of the atria
¡ù The homeostatic necessity of automaticity foci in emergency situations
¡ù A simplified methodology for understanding autonomic function
¡ù How troponin components participate in myocyte contraction and relaxation
¡ù TnC, TnI, and TnT function
¡ù Size of ions matters
¡ù Why ion-kinetic (ion-moving) structures like ion channels are essential to cell function
¡ù How the ion pumps produce the gradients that drive ions through ion channels and ion exchangers
¡ù Evolution of the Na/Ca ATPase pump
¡ù How the Autonomic Nervous System (ANS) controls ion-kinetic structures by phosphorylation and dephosphorylation
¡ù The nature of sympathetic stimuli and parasympathetic inhibition on the ionic-molecular level
¡ù Voltage versus ligand activation of ion channels
¡ù The peculiar Cl- channels and their purpose during the Action Potential
¡ù How ion channels select certain ions
¡ù How Ca++ ions produce myocyte contraction on the ion level
¡ù The function of the CICR
¡ù How the CICR produces effective myocyte contraction and generates an outward Ca++ ion gradient
¡ù The necessity of ryanodine Ca++ channels
¡ù The tandem function of L-type and ryanodine-type Ca++ channels
¡ù How the sarcoplasmic reticulum (SR) functions
¡ù How the SR stores and releases Ca++ ions
¡ù How myocytes employ Ca++ binding proteins
¡ù The ionic-molecular function that initiates and maintains the myocyte power stroke
¡ù Why T tubules are necessary in the myocyte yet absent from Purkinje cells
¡ù Why myocytes need both superficial and deep cisternae
¡ù The ionic-molecular physiology of myocyte relaxation (diastole) following contraction (systole)
¡ù Why both the cell membrane and the sarcoplasmic reticulum need Ca++ ATPase pumps
¡ù The functions of Na/Ca exchangers
¡ù How and why Na/Ca exchanger function is linked to Na+ channel function
¡ù Explanation of why Na/Ca exchanger function fluctuates during the Action Potential
¡ù Although the cell membrane Ca++ATPase pump and the Na/Ca exchanger remove free Ca++ ions from the myocyte, most Ca++ ions go elsewhere
¡ù Why the myocardium acts like a syncytium to conduct with negligible resistance
¡ù Why gap junction terminology is being replaced by the more specific connexon/connexin protein model
¡ù How gradients move ions through connexons
¡ù The exact nature of cell-to-cell conduction
¡ù The fascinating mechanisms of cell-to-cell depolarization
¡ù How ion channel threshold potential perpetuates cell-to-cell conduction
¡ù Homeostatic function of the Na/H pump and its emergency response
¡ù How myocytes, AV node cells, and Purkinje cells depolarize
¡ù How advancing Na+ ion waves produce the vectors of myocardial conduction
¡ù The nature of \u201cfast\u201d and \u201cslow\u201d Na+ currents
¡ù The anatomy, physiology, and kinetics of Na+ channel opening
¡ù Why ion channel flow is described in terms of open probability
¡ù Why ion channel function requires three operational states
¡ù The necessity of closed versus inactivated ion channel status
¡ù The specific peptide loop dynamics of fast and slow inactivation
¡ù Why ion channels have periods of refractoriness and responsiveness
¡ù The clinical importance of ion channel recovery from inactivation
¡ù The ionic-molecular dynamics of repolarization
¡ù How K+ channels repolarize the myocyte to baseline potential
¡ù Methodology of rectification of ion channel currents; how and why
¡ù The repolarizing K+ channels and the K+ channels that maintain baseline potential
¡ù The teleology of the delayed-rectifier K+ channels
¡ù The physiological reason for the extended plateau of the action potential
¡ù IK1 function and baseline potential
¡ù The ion-kinetic structures that participate in the plateau
¡ù The pathophysiology of Long QT (LQT) syndromes
¡ù Autonomic modulation via G protein intermediaries
¡ù How autonomic function affects automaticity
¡ù How autonomic function affects myocardial conduction and contraction
¡ù How the autonomic nervous system (ANS) regulates AV node conduction
¡ù Discovery of the ionic-molecular etiology of Wenckebach conduction
¡ù ANS input via sensor-receptors provides the data for cardiac homeostasis
¡ù How sympathetic and parasympathetic receptors modulate the function of ion-kinetic structures
¡ù How sympathetic and parasympathetic receptors affect each other\u2019s function
¡ù How parasympathetic influence interferes with sympathetic phosphorylation of ion-kinetic structures
¡ù Bouton-bouton parasympathetic inhibition of sympathetic stimulation
¡ù Parasympathetic inhibition of sympathetic ganglia
¡ù G protein participation in phosphorylation and dephosphorylation activity
¡ù Adenosine \u2013 where and why it originates, and how it works
¡ù Phospholamban and Ca++ sequestration in the sarcoplasmic reticulum
¡ù Homeostatic parasympathetic-sympathetic interaction and interdependance
¡ù Wenckebach conduction as vital homeostatic emergency mechanism
¡ù How K+ channel modulation modifies the action potential and affects the heart
¡ù The function of A1 receptors and M2 receptors
¡ù Na/K ATPase pumps produce and maintain of K+ and Na+ gradients
¡ù The AV node as a homeostatic necessity
¡ù Filtering effects of the AV node
¡ù The role of automaticity foci
¡ù Why AV node cells lack Na+ channels, but Na+ ion influx initiates AV node depolarization
¡ù How Ca++ channels select Ca++ ions from a sea of Na+ ions
¡ù Ca++ channel: structural kinetics of activation
¡ù Fast and slow inactivation kinetics of Ca++ channels
¡ù Slow AV node conduction at the ionic-molecular level
¡ù Calmodulin-assisted fast inactivation of Ca++ channels
¡ù Peptide loop slow inactivation of Ca++ channels
¡ù Sympathetic stimulation of ion-kinetic structures of AV node cells and their parasympathetic inhibition
¡ù Parasympathetic IK(ACh) channel activation inhibits AV node conduction
¡ù Purkinje cell conduction and the ventricular conduction system
¡ù Ionic-molecular mechanisms that facilitate rapid conduction through Purkinje cells
¡ù Na+ channel and Na/Ca exchanger participation in Purkinje depolarization
¡ù Refractoriness of Purkinje cells and Mobitz AV block
¡ù How Mobitz block at normal sinus rates or high degree Mobitz block causes dangerous bradycardia
¡ù Purkinje repolarization and K+ channel activity
¡ù The relation between Purkinje depolarization and conduction
¡ù Ionic-molecular explanation of refractoriness of the ventricular conduction system
¡ù LQT3 and Na+ channel function
¡ù Autonomic regulation of the SA node and automaticity foci
¡ù Autonomic sensor-receptors and SA node homeostasis
¡ù The ion-kinetic structures of the P (pacing) cells of the SA node
¡ù Autonomic modulation of P cell pacing
¡ù Sympathetic/parasympathetic modulation of ion-kinetic structures of the SA node
¡ù IK(ACh) channels and parasympathetic inhibition of the sinus pacing rate
¡ù Ion-kinetic structures are responsible for every aspect of cardiac physiology and pathophysiology.
---------------------------------------------------
final p.18¤è¤ê
final p.136¤è¤ê
¹âCa·ì¾É¤Ç¤Ï2Áê¥×¥é¥È¡¼Á꤬û½Ì¤·¡¤ST¤Îû½Ì¡¤QT¤Îû½Ì¡¤UÇÈÁýÂ礬¸«¤é¤ì¤ë¡¥
Ca¥¤¥ª¥óÊäÀµ¸å¡¤16.4mg/dl¤«¤é10.2mg/dl¤Ë¤Ê¤Ã¤¿¡¥¤¢¤Þ¤êÊѲ½¤Ï¤Ê¤¤¡¥
Ìܼ¡¤ËÌá¤ë¡£